宝宝咳了半个月,“元凶”竟是一粒葡萄籽!远离气道异物,这些预防措施家长须知

半个多月前,10个月大的小希(化名)开始出现咳嗽症状,妈妈以为是不小心着凉,给她多穿了点衣服。可几天后,小希咳嗽越来越频繁,还出现喘息症状,尤其晚上更严重,有时哭闹不止,全家都睡不好。

妈妈带小希到家附近的诊所检查,拍了胸片后医生判断是支气管炎。但是吃抗生素、止咳药以及进行雾化治疗后,小希的症状不但没缓解,反而喘得更厉害,因为呼吸费劲,吃奶也断断续续,咳嗽剧烈时甚至会呕奶。看着宝宝这么难受,妈妈再也坐不住,带着她前往广州医科大学附属第二医院儿科就诊。

支气管内取出一颗葡萄籽

广医二院儿科副主任医师温红艳详细询问了小希的病史,听着她肺部像吹哨子一般高调的声音,感觉很是异常。考虑到小希咳嗽、喘息时间长,原因不明,与家长详细沟通后,医生建议做胸部CT检查。

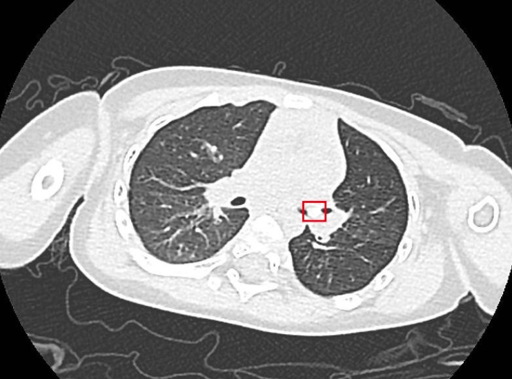
结果出来了,医生发现在小希的左侧支气管内有一个直径仅为4毫米的异物。小希妈妈想起半个多月前给她喂过一颗葡萄。儿科医生团队讨论后,推测当时小希可能发生过呛咳,异物很可能是一粒葡萄籽!

图片

随后,通过电子纤维支气管镜,医生在小希的支气管中精准找到了异物,用特制的异物钳小心翼翼地夹住后慢慢取出来,果然是一粒葡萄籽。取出异物后,小希咳嗽喘息的症状明显减轻,吃奶和睡觉很快正常了。

图片
医生从宝宝的支气管中取出了一粒葡萄籽。

提醒:这个错误很多家长易犯

小希的经历并非个例,广医二院儿科医生表示,该门诊曾接诊过不少因气道异物就诊的儿童。尤其3岁以下的婴幼儿,吞咽功能和咳嗽反射尚未发育完善,气管狭窄且娇嫩,一旦异物进入气管,会引发咳嗽、喘息、呼吸困难等症状,严重时还可能导致窒息危及生命。

儿科医生提醒,为了避免类似的危险发生,家长在照顾宝宝时一定要做好以下预防措施:

1.给婴幼儿添加辅食时,要根据孩子的月龄和咀嚼能力处理食物。像花生、瓜子、坚果、豆类、葡萄、樱桃、果冻、年糕等容易呛入气管的食物,要处理成适合孩子吞咽的形态,另外还要警惕带籽的水果,要处理好果籽再喂食。

2.不要在孩子哭闹、大笑、跑动或玩耍时喂食,因为这种情况下孩子的注意力不集中,呼吸急促,食物很容易呛入气管。喂食时要让孩子保持安静、坐直的姿势,家长也要专注,不要边给孩子喂食边看手机或做其他事情。

3.不要让3岁以下婴幼儿接触细小的物品,如纽扣、珠子、小零件、别针等;家长还要定期检查孩子的玩具,及时清理脱落的小零件。

4.一旦发现孩子疑似异物呛咳,特别是出现呼吸困难、面色发紫等症状时,应立即采取急救措施,比如海姆立克急救法,同时拨打120急救电话,争取黄金抢救时间。

文/广州日报新花城记者:翁淑贤 通讯员:李敏、许咏怡

图/广州日报新花城记者:翁淑贤 通讯员:李敏、许咏怡

视频剪辑/广州日报新花城记者:翁淑贤

广州日报新花城编辑:魏丽娜