我眼睛发炎,医生说病根在腰上

问AI · 眼睛发炎为啥病根在腰上?

多年前的我,大学毕业刚进入职场,正是意气风发的年龄。

 

同大多数年轻人一样,我爱熬夜。有朋友在,熬夜趴踢;自己一个人,就熬夜刷剧、玩游戏。某种意义上,我甚至把熬夜当成了一种时尚,每逢有人说撑不住要睡觉了,这个人无论年龄大小,在我心目中都一律归为中老年人。

 

然而,眼睛的疼痛,让我放弃了熬夜。

 

魔兽是赢了,眼睛越来越疼

 

2012年的一天晚上,我熬夜跟人对战魔兽。十点多感觉右眼一阵疼痛,然后就有个小点一直在疼。我那么年轻,怎能把这点疼放心上?我忍着疼跟对方微操团战,一局一局地打。

 

凌晨一点半决胜局,我的山丘之王一锤子把他的死亡骑士砸落马下,他打出gg认输。但就在此刻,我感觉右眼内嗡一声,疼痛感从点扩大到了面。我还是没在意,带着胜利的喜悦沉沉睡去。

 

第二天去上班,迎面碰到同事,他说:“哦,小周,你的右眼怎么这么红?”

 

我跑到洗漱间照镜子,右眼一片鲜红。想着去医院太麻烦,我干脆去药店买了瓶氧氟沙星自己点。谁想到,从早点到晚,眼红一点都没消退。晚上看手机时,我忽然感觉眼底一阵疼痛。很奇怪的是,明明是右眼红,闭上右眼用左眼看手机,也是一样的疼。

 

我心知不好,赶快躺下。半夜上厕所,朦胧中感觉右眼前头有块糊糊的眼屎样的东西。早上起床,只觉右眼看东西像隔了一层雾。

 

图片

看东西像隔了一层雾丨pixabay


看东西不清楚,

是眼睛里的水浑浊了

 

看不清东西让我不再迟疑,赶快请假跑到最近的医院加号看病。医生让我把脸趴在一个金属架上(后来知道那玩意叫裂隙灯),用强光灯照了半天,然后问:“还有啥表现?分泌物多吗?”

 

我说:“有,不是很多。结膜炎我也得过,好像都没这次严重……”

 

医生略带生气地打断我:“什么结膜炎?你这是虹膜睫状体炎!一种很复杂的眼病!怎么就得了这个病呢?

 

他还耐心地给我科普,右眼看东西像隔一层雾,是因为房水有炎症渗出物,浑浊得很。这个病的症状之一是畏光,所以看手机屏会疼,而且视神经左右相连,哪只眼看都疼。

 

我上过生物课,虹膜还是知道的,但睫状体是啥就不清楚了,也不关心。医生开了药,一种不透明的白色小瓶装的白色混浊液体,叫醋酸泼尼松龙,还有左氧氟沙星。还有一个透明的高瓶子,叫阿托品,这个我配眼镜时见过,散瞳用的。


图片

虹膜睫状体炎,房水混浊让我看不清丨wikipedia


点上药好很多,为啥问我的腰?

  

然后我就开始了点药生涯。醋酸泼尼松龙一小时一次,左氧氟沙星一天四次,阿托品一天一次。当天我可学乖了,从早到晚都在床上躺着,闭着眼。反正右眼睁开也没啥用,散瞳加上云雾啥也看不到。

 

就这么熬过了一天一夜,再起床时,散瞳效果还在,看东西还是有点雾,但和昨天那种隔了层东西的感觉已经不一样了。我又去医院看,医生说醋酸泼尼松龙可以减到一天四次。

 

继续点了一周,复诊时换了位女医生。她对着裂隙灯照了一会说:“小伙子,这次就算过去了,你把醋酸泼尼松龙减到一天一次,再点一周就能自己停药了。不过这个病很容易复发,你一定要注意别再熬夜了。另外,你有自身免疫性疾病没有?比如强直性脊柱炎?”

 

我不知道。但我的腰经常疼,左右髋关节,就是连接屁股和大腿那块,有时候一替一天轮流疼。

 

听完我的症状描述,医生说十有八九就是,让我去风湿免疫科查一查。我不敢怠慢,现场挂了号,下午已经坐在了诊室里。抽血化验,在大夫面前做了几个动作,第二天拿到诊断结果:确诊强直性脊柱炎。

 

当天病人少,我是最后一号,医生有充足的时间科普。于是八年前的那个下午,在风湿免疫科的诊室里,掩盖世界黑暗的面纱在我面前又揭开了一层。

 

强直性脊柱炎与虹膜炎的纠缠


医生告诉我,强直性脊柱炎与基因有关,因为免疫系统对自身发起攻击,所以髋关节时常没有来由地疼,时间久了还可能会驼背、弯不下腰。以目前的医学水平,无法治愈该病。最有效的治疗方式,是用生物制剂抑制免疫系统,但这意味着抗癌能力减弱。

 

虹膜炎算是强直性脊柱炎在眼睛上的表现,属于很凶险的眼科疾病治疗不及时可能会并发白内障等,也可能导致瞳孔缩小、黏连,甚至锁死。

 

另外,这个病治疗起来也很麻烦。一是激素(如醋酸泼尼松龙)使用时间长,可能引发白内障,或者升高眼压;二是容易复发,每次治疗起来都比上一次棘手。要减少复发几率,只能改善生活习惯,不抽烟、喝酒、熬夜,也要注意别感冒,防止免疫系统启动。

 

当天下午阳光明媚,我却听得全身发凉,透心的那种凉。我才24岁,却注定要与这种疾病相伴一生,人生不幸怎么就落在我的身上?命运对我的打击,怎么就如此沉重?

 

有时候我想,项羽是重瞳子,眼睛里有两个瞳孔,会不会就是这个疾病导致的瞳孔黏连?历史记载苏轼有反复发作的红眼病,会不会也是这个问题?虹膜炎错过治疗时机是可能致盲的,苏轼和项羽那时候哪有激素,是怎么没有失明的?

 

图片

记住醋酸泼尼松龙这个药,下边还会出现丨作者供图

 

抵抗不住的熬夜,让我复发了

 

好了伤疤忘了疼,我曾发誓再不熬夜,但慢慢也就抛于脑后。我能忍住不玩游戏,可这个年龄正是职场主力,靠加班熬业绩的时候,哪能轻易睡?于是慢慢地,我的睡觉时间从九点拖到了十点,然后又到了十二点。

 

不难想见,2016年,我的虹膜炎复发,这次是左眼中招。我发现眼疼赶快休息,可是已经晚了,一觉醒来眼前又是一片云雾。

 

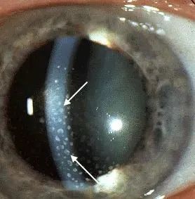
我跑去医院,向医生描绘自己的疾病史和感受。大夫听完赶快把我拽到裂隙灯前。“呀,你的眼里好多KP。”她说。

 

这是我第一次听到“KP”这个词。回家点完药,我闭着左眼用一只眼在手机上查资料。KP全称是角膜后沉着物,是眼内炎症的表现,也是虹膜炎的主要特征之一。

 

图片

角膜后沉着物丨wikimedia

 

这次的病情严重了许多,眼睛里的云雾两天都没有散去。我硬着头皮搭地铁去复诊,地铁站里看到灯光周围有彩虹一样的光环。复诊医生已经认识我了,他耐心地解释,这个是因为虹膜炎缩小了瞳孔,导致眼压降低,所以我会看到彩虹。

 

这次减药更慢了一些,两周后我的点药频率还是每天四次。但职场不等人,长期缺位很容易就被边缘化,所以我咬着牙去上班,上午去办公室,下午去医院。这么治疗了三周,医生告诉我一个坏消息:我的眼压升高了。

 

“正常人眼压是10~21毫米汞柱,你的是22.6毫米汞柱,”她说,“但激素还不能停。我给你开点降眼压的眼药水吧。”

 

于是我的眼药水里又增加了降眼压的盐酸卡替洛尔,一共四种。我忐忑不安地点了三天药,然后去复查,医生说眼压降下来了,等再过一段激素停了就好了。

 

本来好转,用眼加感冒让我住院了

 

就这个“再过一段”出了问题。那几天我开车,晚上堵在高速路,眼睛盯着路灯看了一个小时,偏偏那时又有点感冒。到了家我停好车,想闭眼休息下,却感觉左眼热得很。

 

第二天,我赶紧跑到医院,医生很无奈地告诉我:你的病情出现反复了。感冒会启动免疫系统,可能加重症状。本来我眼睛里的KP已经消失,快要停药了,这么一来,她又看到了四颗。

 

于是我只能回家企盼让感冒快点好。那几天,我连续做了同样的梦,面前的敌人跟我对打,身后还有敌人捅我刀,我却无法转身。

 

感冒很快好了,但有了这次反复,医生不敢停药,只好让我一直点醋酸泼尼松龙。激素用药时间越长,升高眼压的作用越明显,即使用着降眼压药,我的眼压还是从22上升到25毫米汞柱,再升到28,最后到33。

 

医生也有点慌,开了每天五次眼压监测,让我直接在眼科门诊等待。当护士测完眼压报出40.2的数值时,我已经双腿发软。医生看我这个怂样,使出大招,开了一张住院单,我顶着40.2毫米汞柱的眼压跑上跑下办住院手续。

 

图片

眼压测量丨wikipedia


主管医生是个博士毕业没多久的小姑娘,跟我谈了许久,做出一个艰难的决定:停药!这个决定艰难,是因为谁也不知道停药之后,病情会不会再反复。医生安慰我,反正我就在病房里,万一有反复,大不了第一时间治嘛。

 

就这样,我在眼科病房里安顿下来。

 

幸运的是,病情没有再反复,醋酸泼尼松龙停药之后我的眼压也降下来了。出院后一周去复查,接待我的医生用裂隙灯看完之后问:“你是哪只眼有问题来着?”

 

那一刻我开心极了。医生都认不出来,那就是康复了!

 

第二次复发,在眼睛上打针

 

八年后,我又经历了一次复发。原因还是一样:熬夜。

 

熬夜追剧的我,左眼忽然开始疼。我开始还想挣扎下,避免在疫情期间去医院,怎奈越来越疼,最后还是没能避免面对裂隙灯。

 

当时疫情还很严重,眼科也抽调了人去前方,留下的医生并不多。给我观察的男医生似乎有点不太自信,特地喊来一位资深女医生一起看,两人很快确定,我这就是复发了。

 

“这次是轻症,幸亏你来得早”,疫情期间的眼科诊室里人烟稀少,两位医生面对我一个病人,一起安慰我。安慰归安慰,这次的治疗手段比上次明显要加码。医生取出两个小玻璃瓶,我一看就怕了,这怎么有点像打针用的玻璃瓶啊?

 

我没猜错,医生就是要给我打针。两名护士把我摁在治疗台上,然后一根注射器扎进了我的下眼皮,一种说不清的感觉袭来。那还只是麻药,紧跟着又是一针。不疼,但看着一根针在自己眼前,心里的害怕与无助感无以复加。

 

一针下去,疼痛感当场消失。医生特别温柔,一边推药一边科普,这是妥布霉素地塞米松注射液,含有比醋酸泼尼松龙更强效的激素。

 

我没说什么,其实心里可慌了,觉得医生说的轻症可能就是安慰我,不过具体啥样,咱也不知道,咱也不敢问……

 

医生让我别再来了

 

这次治疗过程还比较顺利,一周之内症状就全消了,进入了用药巩固期。但毕竟是第二次复发,而且上次复发有过反复经历,所以医生很谨慎,药量一点点往下减,不敢急。

 

结果就是,症状只持续了不到一周,治疗却持续了四周。我吃够了这个病的苦头,这四周里每天都准时去医院打卡,搞得整个眼科的医生全认识我。我每次去,他们都跟我打招呼,又来啦?快坐下,我给你看看虹膜!没事,别害怕!

 

停药后一周复查,总算没有任何复发迹象,我松了口气,医生也松了口气。这次复诊的医生正是最开始接待我的那位,当我拿起病历准备离开时,她忽然说:“这次就算过去了,答应我别来了。”

 

我一边“嗯嗯”道了谢往外走,一边想,我也不想生病啊!


医生点评

苗森 | 首都医科大学附属北京安贞医院眼科主治医师

是什么引起了虹膜炎(虹膜睫状体炎)?什么样的人容易得这个病呢?


虹膜睫状体炎的病因非常复杂,与感染、免疫功能紊乱、创伤均有一定的关系。感冒、熬夜等不良生活习惯引起的劳累,都会影响自身免疫系统,诱发虹膜睫状体炎。


需要重视的是,虹膜睫状体炎可以是单独出现的眼部疾病,也可能是风湿、类风湿、强直性脊柱炎这些免疫性疾病的眼部表现。所以患这类免疫性疾病的患者,通过增强体质,避免劳累、熬夜、压力大等影响免疫状态的情况,可以在一定程度上减少虹膜睫状体炎的发生。


如何判断自己得了虹膜睫状体炎?什么时候需要尽快就医呢?


虹膜睫状体炎的初期症状与常见的结膜炎很相似,很多人在初期没有重视,没有及时就医进行正确的用药,导致了后期出现严重的并发症。它的诊断需要专业的眼科医生,应用专业的仪器(裂隙灯)进行检查后才能判断。


如果眼部出现疼痛、异常眼红、明显畏光、流泪,尤其是视物模糊或视力下降,应该尽快就医,避免耽误病情。


就诊时需要挂哪个科室的号呢?


怀疑自己有虹膜睫状体炎时,应当首先到眼科就诊。如果同时还有关节疼痛、腰痛、皮肤红斑及口腔溃疡等症状,还应该到风湿免疫科就诊,判断是否有自身免疫性疾病。


如果已经确诊自身免疫性疾病,建议在治疗眼病的同时到风湿免疫科复诊,判断是否因这些疾病控制不佳诱发虹膜睫状体炎。控制好自身免疫性疾病,也能在一定程度上预防虹膜睫状体炎的发生。


如何治疗?


主要是局部应用眼药水,如果出现了并发症,可能还需要进一步的激光和手术处理。需要注意的是,用眼药水的时候一定要遵医嘱。无论是治疗的用药、用药的频次,还是复查的时间,都需要严格听从大夫的要求。按时复查不仅利于及时发现并发症,避免耽误病情,还可以帮助判定疗效,以便适时减少激素药物用量。擅自停药可能会导致疾病的再次复发或恶化。


虹膜睫状体炎真的那么可怕么?


其实不然,绝大多数患者在得到及时有效的治疗后,可以完全恢复正常,只有极少数控制不佳的患者可能会出现白内障、青光眼等并发症。


虹膜炎,不可怕,

及时就医很重要,

遵医嘱,勤复查,

增强体质防复发!

个人经历分享不构成诊疗建议,不能取代医生对特定患者的个体化判断,如有就诊需要请前往正规医院。


作者:周小黑

编辑:代天医