47岁男性患者出现急性意识混乱、构音障碍和共济失调,原因为何?

病例简介


患者为47岁男性,既往高血压和肺挫伤病史,因“急性和步态不稳”就诊。家属发现患者言语不清,遂联系救护车送至急诊室,到达急救室时距离最后正常时间4小时。过去5天,患者有上呼吸道感染症状,包括和发烧。在抢救室,患者表现为心动过速、呼吸急促、高血压、低氧血症、体温高达39.4℃、烦躁不安、神志不清。


查体显示:严重构音障碍、左上肢、左下肢踝阵挛,步态明显不稳。未见或异常扫视,肌张力正常,四肢肌力5/5,深肌腱反射为2+(左脚踝除外)。NIHSS评分为3分。此外,尽管否认复视,患者注视时常闭着一只眼睛。


患者的表现包括急性意识混乱、构音障碍和伴有步态不稳的四肢共济失调;无轻瘫、感觉异常或特定的延髓受累体征。可定位于小脑,但缺乏其他支持性体征。鉴于胼胝体压部病变可出现意识混乱、共济失调和构音障碍,也可定位于胼胝体压部。急性发作需考虑急性缺血性或出血性卒中,但头颅CT未见出血,CTA未见大血管闭塞或狭窄。其他原因包括感染、中毒、缺乏、肿瘤、副肿瘤综合征或自身免疫性病变。


动脉血气显示继发于乳酸酸中毒的阴离子间隙酸中毒;白细胞15.7;肝肾功能障碍。胸部CT显示双侧实变(图);快速COVID-19测试呈阴性。头颅MRI平扫显示胼胝体压部有一小的弥散受限病灶(图)-与细胞毒性病变一致。鉴于该部位血管性原因可能性不大,需进一步筛查感染性病因,包括HIV、军团菌、细小病毒B19、CMV、EBV,以及A型和B型流感腺病毒、副流感和等呼吸道全套检测。


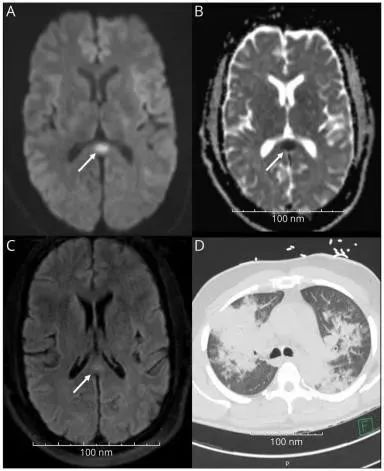
图片

图 头颅MRI大脑和胸部CT。(A)MRI弥散加权序列可见胼胝体压部高信号病灶。(B)ADC序列显示胼胝体压部低密度信号。(C)FLAIR显示胼胝体压部高信号病灶。(D)胸部显示双肺实变。


患者随后开始服用广谱抗生素,但因败血症和心源性休克,需进重症监护室进行插管。感染性检查结果显示尿嗜肺军团菌血清群1抗原阳性。抗生素治疗方案调整为500 mg/日。


患者于入院3天后拔管,但因严重军团菌肺炎伴脑病、心肌病、急性肾衰竭和肝休克,需要在ICU住院16天。尽管经过治疗,患者的神经症状仍然存在。对于持续的躁动,持续1周。


胼胝体压部病变的鉴别诊断有哪些?

可以考虑什么治疗方法?

欢迎讨论





欢迎到医脉通病例平台发表你的观点,共同讨论病例!









医脉通是专业的在线医生平台,“感知世界医学脉搏,助力中国临床决策”是平台的使命。医脉通旗下拥有「临床指南」「用药参考」「医学文献王」「医知源」「e研通」「e脉播」等系列产品,全面满足医学工作者临床决策、获取新知及提升科研效率等方面的需求。