“三高”没管好,天天不离酒,老人心脏血管长“顽石”,专家用“冲击波”打通生命线

极目新闻记者 刘迅

通讯员 吕惠 宋蒙

“三高”没管好,冠心病找上门,62岁的老人却戒不了白酒,每晚要喝2两,结果心脏血管长满“石头”,堵得血流几乎无法通过,心脏岌岌可危。4月8日,武汉亚洲心脏病医院专家在血管“透视眼”的帮助下,通过冲击波“凿石开路”,成功植入支架,解决了“心头大患”。目前,老人已康复出院,医生叮嘱一定要远离烟酒、控制基础疾病。

图片宋丹(左)、刘华云(右)为患者手术

心脏血管被“石头”完全堵住

吴爹爹今年62岁,十多年前就查出了糖尿病高血压高血脂,尽管一直在吃药,但仍控制得不太理想。据吴爹爹回忆,2016年体检时,他被确诊为冠心病,此后便听医嘱戒了烟,可就是离不了白酒,每晚都要喝上2两才尽兴。

直到2025年3月,吴爹爹去医院复查,医生发现前降支严重狭窄,还有弥漫性重度钙化,血管内壁像铺满了一粒粒的小石头,严重阻挡了血液的正常流动。4月2日,老人来到武汉亚洲心脏病医院就诊,医生判断,老人病情复杂,若不尽早打通血管、恢复血流,随时可能突发心梗

武汉亚洲心脏病医院院长、心内科专家鄢华表示,随着年龄的增长,血管本会逐渐失去弹性并出现斑块,加上患者的“三高”长期没控制好,还长期饮酒,这些危险因素叠加,加速了血管硬化,引发严重冠心病,最终导致血管被堵、血流受阻。

像吴爹爹这样的血管情况很糟糕,血管被“石头”堵住,传统的球囊、支架都难以通过病变部位,“开山通路”的难度大大增加。该院院长鄢华、心内科宋丹主任团队评估后,计划在腔内影像的辅助下,采用国际前沿的冲击波球囊技术进行治疗。

冲击波“以柔克刚”打通生命线

4月8日,吴爹爹的手术开始。宋丹主任、刘华云主任带领手术团队,在腔内影像“透视眼”的帮助下,确认了钙化病变的位置、大小和程度。随后,通过发射器产生的冲击波,借助球囊将血管内的钙化“石头”隔空震碎。最后,在前降支血管植入心脏支架并充分撑开,成功打通“生命线”,手术历时2个小时。

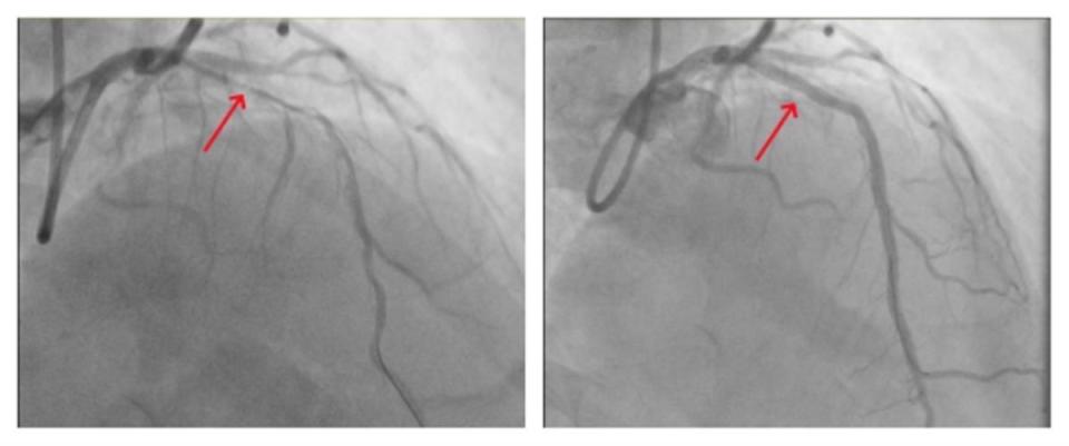
图片术前血管严重狭窄(左),术后恢复血流通畅(右)

术后,老人恢复迅速,当天就转回了普通病房,目前已康复出院。

图片老人术后康复出院

“严重钙化病变增加了介入手术的难度和风险,一直以来都是让医生头痛的‘硬骨头’。”鄢华院长表示,随着冲击波球囊技术的广泛应用,专家团队可利用冲击波“遇软则软,遇刚则刚”的特性,在保护正常血管壁软组织的情况下,解决钙化病变难题。

据了解,本次冲击波球囊技术使用的是GennWave冲击波导管,是进口Shockwave技术的国产产品。随着该导管的应用,武汉亚洲心脏病医院将为“顽石型”钙化病变患者的介入治疗带来新选择。

(来源:极目新闻)

更多精彩资讯请在应用市场下载“极目新闻”客户端,未经授权请勿转载,欢迎提供新闻线索,一经采纳即付报酬。24小时报料热线027-86777777。