医生:这是一份有价值的延迟满足

“你刚踏入这个行业,成为一名医生时,也许认为这份工作需要的不过是谨慎的诊断、高超的技术以及关怀他人的善心。但你很快就会发现,事实并非如此。我们面临着似乎永无休止、花样百出的障碍。”

——阿图·葛文德《医生的精进》




我在胸外科从医数十年,期间接诊过形形色色的患儿,其中不少患儿都给我留下了极为深刻的印象。今天,我想和大家分享一位小患者涵涵(化名)的故事,她曾受肺部阴影困扰长达一年之久。

时间回溯至 2023 年 8 月,年仅 4 岁的涵涵,因发热、咳嗽被家人紧急送往当地医院。X 光线检查结果显示为急性支气管炎,随后,涵涵接受了为期两周的对症治疗,发热与咳嗽症状总算有所缓解,一家人如释重负地办理了出院手续。

然而,回家没多久,涵涵再度发热、咳嗽,病情出现反复。进一步的 CT 检查确诊为大叶性肺炎,又经过 5 天的精心治疗,病情逐渐好转。可10 天后复查 CT 时,结果却让家长的心又悬了起来:双肺呈现多发斑片密度增高影及磨玻璃阴影。

彼时,尽管涵涵已不再发热、咳嗽,可肺部的阴影却如同一片阴霾,始终笼罩在家长心头。为了探究病因,家长带着孩子辗转于多家医院,西药治疗、中药调理,各种方法都试过,遗憾的是,孩子肺部的阴影迟迟未见消散。

2024 年 1 月,心力交瘁的家长带着涵涵来到我院胸外科,寄希望于通过肺部活检来一锤定音,明确病因。

我们医疗组接过涵涵的 CT 片子,仔细端详,难题却接踵而至。倘若阴影靠近肺外周,借助气管镜下或楔形切除取样进行活检并非难事,可涵涵肺部的阴影呈散分布,位置还很深,若强行实施活检,必然会给孩子稚嫩的肺部造成极大创伤。一时间,这肺部的阴影究竟为何物,我们这些也陷入了困惑。

我们反复比对过往的 CT 结果,同时紧密结合涵涵的体征以及各项检查指标,终于从细微之处捕捉到了关键线索,进而大胆推测:肺部阴影可能是过敏性肺泡炎。

作为主管医生,我将这一判断如实告知了家长,并与他们沟通了激素治疗。令人欣喜的是,激素治疗仅三天,奇迹便如我们所预判的那般出现了。复查片子显示,涵涵肺部的斑片状阴影较之前范围明显缩小,这无疑证实了我们的判断准确无误,孩子患的正是过敏性肺泡炎。然而,新的问题接踵而至,究竟是什么引发了过敏?在对涵涵进行激素规范化治疗的同时,找出并脱离过敏原也至关重要。为此,我们多次与家长深入交流,逐一排查真菌、细菌、动植物蛋白类抗原等各类可能的过敏因素,可遗憾的是,过敏原始终如一团迷雾,隐匿不见。住院一周后,考虑到病情相对稳定,我们安排涵涵出院,并反复叮嘱家长务必遵医嘱服药,定期复查 CT。

图片

 2024 年 4 月,涵涵的治疗已然持续了三个月,可此时治疗效果却仿佛遭遇了瓶颈,肺部阴影的吸收状况不尽如人意。我们再次向家长详细询问近期孩子的生活细节,吃的、用的、居住环境等各个方面都不放过。

家长思索良久,试探性地询问是不是给孩子防晒喷雾使用不当有关。中国食品药品检定研究院最新发布的《儿童化妆品技术指导原则》中提出:「不建议儿童使用喷雾型防晒化妆品,如必须使用时,应当充分考虑吸入风险,在使用方法中标注‘请勿直接喷于面部’‘避免吸入’等类似警示用语」。

2024年5月复查中,涵涵肺部阴影较之前有所缩小。根据治疗规范,持续接受治疗半年后,于2024年7月停用了激素治疗。

图片




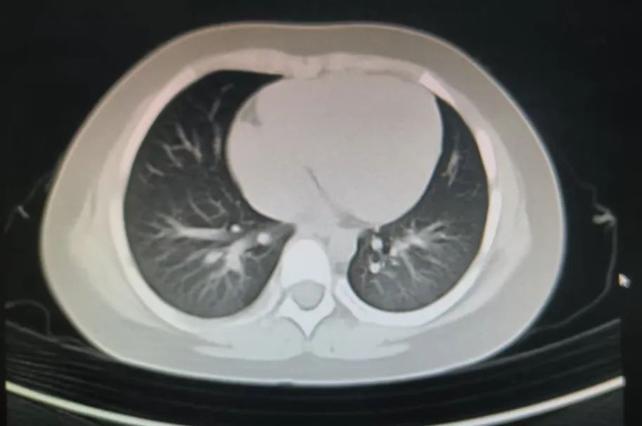
2025 年 1 月,我像往常一样在门诊坐诊,涵涵在家人的陪同下来院复诊,拍摄CT影像结果令人振奋:双肺上散在的斑片状阴影已然完全吸收。

图片




让我倍感温暖的是,小姑娘还特意为我准备了一份新年礼物——一幅手绘的鸳鸯火锅图,她眨着亮晶晶的眼睛对我说,要请我吃火锅。那一刻,我深切感受到作为一名医生的成就感与幸福感,所有的付出都是值得的。

图片


图片

排版:宣传科  侯晶晶| 审核:宣传科  杨馥羽