喂给老鼠的塑料水,原来我们点外卖时也经常喝……喝多了可能会“伤心”!

图片

撰文 | Cloud

审校|Ziv
外卖解决了许多人日常的吃饭问题。在当今快节奏的生活中,有些人甚至是每一顿午饭都点外卖
那么,请问你平时点的外卖通常使用什么样的餐盒?是不是经常能见到塑料盒

图片

装在塑料盒里的外卖
除了用塑料盒装食物,在有些地方,如果人们想打包带走有热汤的螺蛳粉、米线等食物,得到是一个个装有汤汤水水的塑料袋。有些小摊贩售卖的食物,甚至直接裹着塑料袋在蒸锅上一直加热着。

图片

你试过用塑料袋打包带走食物吗?图源自网络
韩国的路边小吃摊也有类似情况,顾客使用的塑料盘或塑料碗上会套着塑料,而刚出锅的鱼饼、年糕和米肠等食物会被直接放在这些塑料制品上。等这位客人吃完了,扔掉上面用过的塑料袋,简单擦拭一下塑料食盘或者不擦直接套上一个新的塑料袋,就可以给下一位客人使用了。
在新加坡,一些小贩仍会使用塑料袋装热食和汤。而在泰国旅游时点了外卖的游客们,大多也会惊讶地发现送来的食物竟然都用一个个塑料袋装着。

图片

用塑料袋装食物在韩国、泰国等地区也挺常见的,图源自网络
使用塑料盒、塑料袋装外卖食物给顾客和商家都带来了便利,但与此同时,一些研究者对此可能引发的健康问题表示担忧。去年年底发布的一项研究就表示,吃饭时使用由塑料制成的外卖容器,可能会增加心力衰竭的风险
心血管疾病的风险增加
这项研究来自宁夏医科大学,旨在探讨一次性塑料外卖容器在热接触后的浸出液对心血管系统的影响。研究分成两部分进行,采用了问卷调查和动物实验相结合的方法。
首先,研究人员通过问卷随机选择了3000多名参与者,调查这些人过去一个月内接触塑料容器的频率、心血管健康状况等。之后,研究者进行了动物实验。
在实验中,研究者让一次性塑料外卖容器与沸水接触,并在不同时间段内收集它们的浸出液,然后给老鼠喝,持续三个月。这些老鼠被分成了四组,其中三个是实验组——分别对应着塑料容器接触沸水1分钟、5分钟和15分钟,此外还有一个是对照组。

图片

浸出液是指在液体(例如水)通过固体物质(例如塑料等)时,溶解和携带其中的化学物质或污染物而形成的液体。实验用的是SD大鼠,全称是斯普拉格-道利大鼠(Sprague-Dawley rat)。图源:参考资料[1]
实验结束后,研究者利用代谢笼收集老鼠的粪便,做微生物组和代谢组学分析,然后在老鼠麻醉时收集它们的血液样本,检测心血管系统相关的生化指标。最后,老鼠会被安乐死,研究者会立即取出它们的心脏组织并做处理,用来观察心肌组织的病理变化
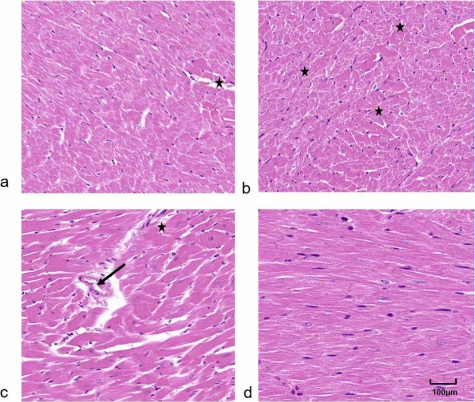
通过结合流行病学调查和动物实验,研究发现,高频率的塑料暴露和心力衰竭呈现出显著相关。动物实验的结果显示,塑料接触热水后的浸出液对大鼠的心肌组织造成了明显的病理损伤,并增加了炎症反应。
图片
老鼠的心肌组织出现问题,黑色箭头表示炎性细胞浸润,黑色五角星表示心肌细胞间出血。图源参考资料[1]
可能的原因
接触热水后,一次性塑料外卖容器释放的浸出液可能通过多种机制影响心血管系统,增加心力衰竭的风险。例如,塑料暴露可能改变肠道微生物组的组成,而肠道微生物组与宿主健康密切相关,能够调节免疫反应和代谢过程。当塑料浸出液进入体内时,可能通过改变微生物的群落结构,导致与代谢综合征和心血管疾病相关的炎症反应。
此外,塑料产品中常含有的内分泌干扰化学物质,例如双酚A(BPA)和邻苯二甲酸盐(PAEs),也会干扰体内的激素平衡,影响心血管健康。而塑料的一些特性,例如会在高温下释放化学物质的特点,也会增加人体对有害物质的摄入。
怎么办?
事实上,目前专家们的观点是偶尔接触问题不大,但如果日常吃饭时会长期接触塑料容器,尤其是总用塑料容器来加热食物或盛放滚烫的热食,那就应该小心潜在的健康危害在加热的过程中,塑料化学物质的渗出速度会变快,可能导致更多的有害物质渗入食物中。

图片

常点热食外卖的人要更加小心
值得一提的是,未标明“微波炉安全”的产品都会在微波炉中变软并变形,但标注了“微波炉安全”的塑料容器只是表示它不会在微波炉中融化,并不意味着它不会向食物中释放少量化学物质或微塑料。此外,不同品牌和类型的塑料可能有不同的质量和释放特性。
不仅仅是在微波炉中,塑料在洗碗机中受热或者在接触了强力肥皂等情况中都会分解。在家中,我们可以尽量选择由非塑料材料制成的容器,例如玻璃、陶瓷或不锈钢材质的。已有的塑料食品容器可以用来储存冷藏食物。
无论塑料中含有哪种化学物质,塑料都会随着时间的推移而分解,并可能将微量化学物质释放到食物中。当塑料被加热、出现破损了或老化,或被反复清洗和使用,其危害健康的可能性就更大。
至于每天上班都只能点外卖的情况应该如何应对,目前还无解……

图片

你常点什么外卖呢?

参考资料:

[1] Effects of leachate from disposable plastic takeout containers on the cardiovascular system after thermal contact. (2024, December 11). Academic Press. doi: 10.1016/j.ecoenv.2024.117383
[2] Perkins, T. (2025). Eating from plastic takeout containers can increase heart failure risk – study. the Guardian. Retrieved from https://www.theguardian.com/us-news/2025/feb/12/plastic-food-containers-heart-failure
[3] Pizzorno, J. (2024). Plastic Food Container Safety. Integrative Medicine: A Clinician's Journal, 23(2), 6. Retrieved from https://pmc.ncbi.nlm.nih.gov/articles/PMC11193405
[4] Seoul's Zero Restaurant Project: A Leap Towards Sustainable Food Delivery - Be Korea-savvy. (2025, February 17). Retrieved from http://koreabizwire.com/seouls-zero-restaurant-project-a-leap-towards-sustainable-food-delivery/269881
[5] The Age of Food Delivery: The Issue of Plastic Overuse. (2025, February 17). Retrieved from https://english.kookmin.ac.kr/kookmin/special/346?spart=%E2%89%BB=&sq=
[6] ABC News. (2025, February 17). Story research needed expose potential hazards plastic food containers. Retrieved from https://abcnews.go.com/GMA/Food/research-needed-expose-potential-hazards-plastic-food-containers/story?id=116775029
[7] Rogers, K. (2023). What you should know about Tupperware and plastic container safety. CNN. Retrieved from https://edition.cnn.com/2023/04/14/health/tupperware-safety-tips-plastic-containers-wellness/index.html


将“把科学带回家”
不错过每条有趣科学推文!

图片


凡本公众号转载、引用的文章 、图片、音频、视频文件等资料的版权归版权所有人所有,因此产生相关后果,由版权所有人、原始发布者和内容提供者承担,如有侵权请联系删除。