一家6口出游5人感染甲流……医生紧急提醒:出现这些症状需48小时内使用抗病毒药物治疗

据浙大二院消息,近日,有患者家庭一行6人出游,结果5人都感染了甲流。

凌晨1点,浙大二院发热门诊来了一位50多岁的李阿姨(化名)。

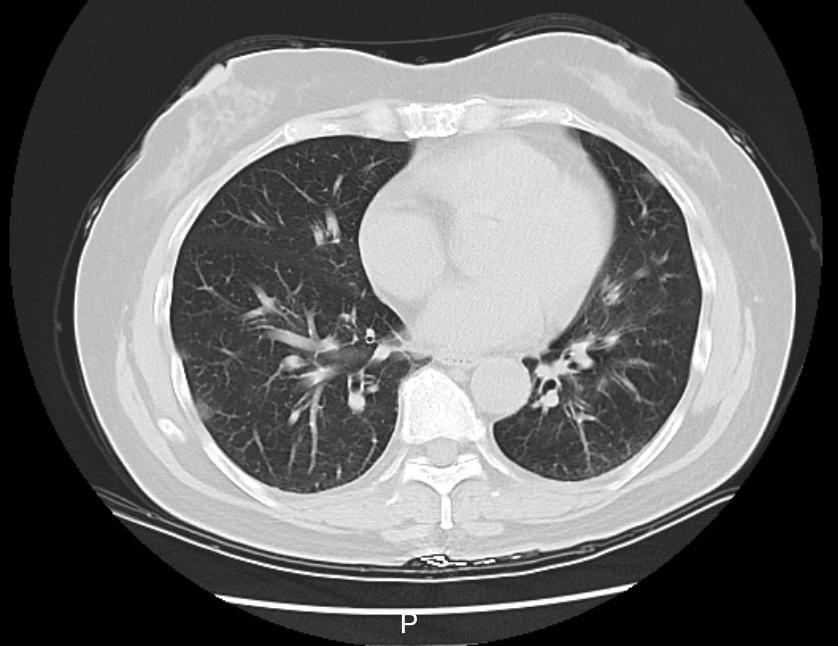
“我们一大家子一周前去旅游了,到那第二天就开始发热咳嗽喉咙痛,全身肌肉也连带着酸痛,买了个体温计量一量,最高的时候在39℃以上。硬扛了几天,前天实在是顶不住了,去了当地一家医院查了胸片,查出来说是肺炎,建议我住院。我听着吓坏了,赶紧坐飞机回来看病了。”李阿姨拿出来一张胸片报告,上面写着“左下肺炎”。

接诊的庞医生了解到,李阿姨在当地接受了一些治疗,但体温仍居高不下。家中同行的6个人,有5个人都先后发烧了。庞医生判断,李阿姨大概率是得了传染性较强的呼吸道疾病,立即给她安排了血常规、相关病毒抗原检测,以及更清晰的肺部CT检查,以便进一步了解病情。

检测结果显示,李阿姨已经得了病毒性肺炎,甲型流感病毒核酸呈阳性。这一下,罪魁祸首找到了,是甲流搞砸了这一家人一次本该圆满的旅行。

图片图|李阿姨肺部CT影像

发热门诊医生立即给她用上了玛巴洛沙韦抗病毒。不出2天,李阿姨的体温恢复了正常,咳嗽咽痛等症状也有了明显好转。

医生提醒:发病后48小时内服药效果最好

谨防拖成肺炎

一旦出现甲流症状,建议早期(发病48小时内)及时使用抗病毒药物治疗,可以减缓症状,缩短病程。前文中的李阿姨如能在发病早期进行抗病毒治疗,应该也不至于发展成肺炎。

专家提醒,目前无论是玛巴洛沙韦还是奥司他韦,一般都是建议在流感症状开始有的第一天或者第二天,尽快开始流感抗病毒药的治疗,最佳的服药时间是发病后的48小时之内

图片

专家介绍,包括玛巴洛沙韦、奥司他韦在内的药物都属于抗病毒药物,此类药物专门针对病毒进行攻击,帮助病人减轻症状。尽早使用抗病毒药物可缩短病程,降低发生重症和传染他人的风险。因此,抗病毒药物在出现症状后48小时内使用效果最好。

图片

另外,奥司他韦和玛巴洛沙韦都是处方药,服用需要严格遵照医嘱。

专家提醒,如果病人出现了流感的相关症状,比如病人出现高热、咳嗽、喉咙痛、肌肉的疼痛、疲劳乏力这些明显的流感相关的症状,建议及时地到医院的发热门诊就诊。如果确认是流感病毒,可以直接用抗病毒药来对症下药。如果不是流感病毒,而是细菌感染,即使买了这两种药的话,也是没有作用的,因为细菌感染是需要服用抗生素来治疗的。

抗流感病毒的药,是不是人人适用?

我们要看到底是不是流感病毒感染,确认是流感病毒感染我们才能用,要在医生的指导下使用,包括服药的次数、服药的剂量。

流感的常见检测方法有两种:流感病毒抗原检测和流感病毒核酸检测,抗原检测速度快,但敏感性低于核酸检测;抗原阳性可以诊断流感,但阴性不能排除流感;病毒核酸检测的特异性和敏感性都很高。

感染甲流后有哪些症状?

感染甲流后的主要表现为突然的高热,常有咳嗽、咽喉痛、鼻塞、流涕等呼吸道症状,伴有头痛、肌肉酸痛等全身不适,部分患者会出现胃肠道不适感

图片

资料来源:浙大二院、央视新闻、洛阳疾控、红星新闻、科普中国等

(大众新闻记者 黄鑫 整理)