致瘤新机制!南京医科大学邹健教授团队:抑制胶质瘤并提高化疗敏感性的新策略

图片

【导读】乙酰化对于p53激活至关重要,但人们对于胶质母细胞瘤(GBM)中p53的乙酰化调控机制了解甚少。

12月4日,南京医科大学邹健教授研究团队在期刊《Advanced Science》上发表了研究论文,题为“Smad1 Promotes Tumorigenicity and Chemoresistance of Glioblastoma by Sequestering p300 From p53”,这项研究揭示,无论p53状态如何,p53乙酰化都是GBM患者的有利预后标志,并且Smad1参与了这一过程。Smad1与p53和p300形成复合物,抑制p300与p53的相互作用,导致GBM中p53乙酰化减少和Smad1乙酰化增加。这导致肿瘤生长增强和对化疗的耐药。研究发现,K373乙酰化对于Smad1的致癌功能至关重要,但在p53不存在的情况下并不赋予化疗耐药。因此,研究人员通过虚拟筛选确定了一种小分子,它可以特异性地破坏Smad1-p300相互作用,为通过抑制Smad1乙酰化和恢复p53乙酰化来抑制GBM和提高化疗敏感性提供了有希望的策略。

图片

https://onlinelibrary.wiley.com/doi/10.1002/advs.202402258

关于胶质母细胞瘤

 01 

胶质母细胞瘤(GBM)是人类脑部最常见的恶性原发肿瘤,恶性程度极高,难以完全治愈,因此预后不佳,整体生存率较低,这是因为它们对抗癌药物具有耐药性,且病症多样。因此,迫切需要确定有效的诊断、预后和治疗GBM的指标。

p53肿瘤抑制剂是人类癌症中研究最广泛的生物标志物和功能分子之一。它对于癌症的发生、发展和恶性过程至关重要。由于p53基因/蛋白质的改变而导致的功能丧失或转化是癌症中最常见的分子事件之一。在人类原发性胶质母细胞瘤中,约30%的样本存在TP53突变。普遍的看法是,p53突变体获得了新的功能,这种获得性功能(GOF)促成了癌症的恶性表型。此外,p53经常升高,与病理分级胶质瘤和较差的总体生存率相关。然而,p53突变并不影响胶质瘤患者的无病生存期或总体生存期,这表明GOF可能无法完全解释突变p53在胶质瘤中的作用。

通常情况下,p53的乙酰化是由组蛋白乙酰转移酶(HATs)完成的,包括p300/CBP/PCAF或Tip60/MOF/MOZ等,在多个赖氨酸残基上进行。令人惊讶的是,突变p53可以在与野生型p53相同的残基上被乙酰化,但结果却大不相同。证据表明,乙酰化后,突变p53保留了野生型p53的功能,这为肿瘤中突变p53的乙酰化调控作为治疗靶点提供了新的见解。虽然HATs不仅乙酰化p53,但其乙酰化受到多种因素的影响,如蛋白质结构的变化、蛋白质-蛋白质相互作用以及各种生理或病理条件。因此,p53乙酰化与预后的关系以及GBM中p53乙酰化的调控机制仍不为人所知。

Smad1上调促进GBM肿瘤发生和体内外化疗耐药

 02 

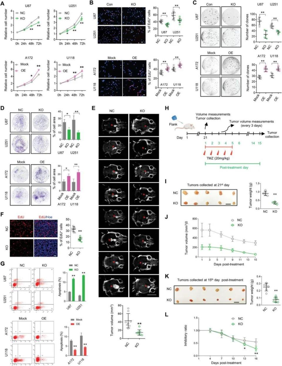
为确定Smad1是否对GBM表型起作用,研究人员选取GBM细胞系,根据Smad1蛋白水平建立Smad1过表达和敲除模型。通过细胞生长实验、EdU掺入实验和克隆形成实验证明,Smad1敲除显著抑制细胞增殖和DNA合成。侵袭实验显示,它也导致侵袭细胞数量减少。相反,Smad1的异位表达促进细胞增殖,DNA合成,克隆形成和侵袭。为了评估Smad1对体内肿瘤发生的影响,研究人员使用Smad1缺失或对照载体的U87细胞进行了裸鼠颅内异种移植实验。MRI监测肿瘤体积。Smad1敲除导致肿瘤生长和肿瘤细胞增殖显著下降。随后,研究人员使用膜联蛋白V/7-氨基放线菌素D (7-AAD)染色和流式细胞术检测Smad1对细胞凋亡的影响。接下来,研究人员在裸鼠体内进行异种移植实验,以确定Smad1敲除是否促进GBM的体内化疗敏感性。与颅内移植瘤的结果一致,移植后第21天来源瘤的肿瘤重量分析显示,Smad1敲除显著抑制皮下移植瘤的生长。如图1J所示,低剂量TMZ导致两组肿瘤体积逐渐减小,Smad1 KO在最后一个时间点引起的肿瘤明显更小。研究还显示Smad1敲除导致了显著的肿瘤消退,证实了Smad1敲除对化疗敏感性的促进作用。综上所述,这些数据证明Smad1是一种重要的调节GBM致瘤性和化疗敏感性的癌蛋白。

图片

Smad1在体外和体内促进GBM肿瘤的发生和化疗耐药

根据细胞生长实验,发现化合物618显示出生长抑制能力。克隆形成和细胞凋亡实验提供了进一步的证据,证明化合物618能够抑制细胞增殖并促进细胞凋亡。随后发现,添加化合物618会阻碍Smad1-p300的结合并促进p53-p300的相互作用,导致U87和U251细胞中p53乙酰化增加和Smad1乙酰化减少。因此,研究人员进一步在体内模型中研究了化合物618的肿瘤抑制作用。研究显示,化合物618显示出显著的肿瘤抑制作用。化合物618显著抑制了p53敲除U87细胞重新表达野生型p53(WT)所产生的肿瘤的生长。这种肿瘤抑制作用同样出现在p53敲除U87细胞重新表达R175H突变(R175H)所产生的肿瘤中。因此,化合物618治疗导致Smad1与p300之间的相互作用减少,同时增加了p53与p300的结合。这导致衍生肿瘤中乙酰化p53及其靶基因水平升高,以及ID1和乙酰化Smad1水平降低。总之,这些结果表明,化合物618是一种有效的策略,可通过破坏Smad1和p300的结合来抑制GBM。

结论

 03

综上所述,这项研究揭示了胶质母细胞瘤(GBM)中一种新的机制,其中Smad1利用p300诱导p53的乙酰化程度降低,从而导致自身乙酰化并促进肿瘤生长。此外,它还提出了cpd.618作为一种潜在的抗癌药物,可以破坏Smad1-p300相互作用,促进p53乙酰化。这一方法旨在抑制Smad1驱动的肿瘤生长活动,并对抗突变p53介导的化疗耐药性。

【参考资料】

https://onlinelibrary.wiley.com/doi/10.1002/advs.202402258

【关于投稿】

转化医学网(360zhyx.com)是转化医学核心门户,旨在推动基础研究、临床诊疗和产业的发展,核心内容涵盖组学、检验、免疫、肿瘤、心血管、糖尿病等。如您有最新的研究内容发表,欢迎联系我们进行免费报道(公众号菜单栏-在线客服联系),我们的理念:内容创造价值,转化铸就未来!

转化医学网(360zhyx.com)发布的文章旨在介绍前沿医学研究进展,不能作为治疗方案使用;如需获得健康指导,请至正规医院就诊。