隐藏在冷凝集素综合征背后的毛细胞白血病

作者|万权松1,杜鹃2

单位|1.隆昌市人民医院医学检验科,2.西南医科大学附属医院血液内科

    



前言


冷凝集素综合征,也被称为“冷凝集素病”,是一种自身免疫性疾病,其特点是免疫球蛋白M(IgM)抗体异常激活。在较低温度下,这些抗体与患者自身的红细胞相互作用,导致细胞凝集,阻碍了末梢微循环,进而可能引起手足紫绀症或溶血性贫血。


案例经过


患者,男,66岁。6月前无明显诱因头晕、气促、乏力不适,无头痛、意识障碍、胸闷、胸痛、发热、盜汗,无关节疼痛、皮疹、雷诺现象等不适,于外院检查提示贫血(具体不详),经治疗后好转出院(治疗经过不详),但症状仍反复。


1+月前出现面黄,伴全身水肿,无厌油、纳差、小便颜色改变,再次于外院诊疗(具体不详),症状无好转,为求进一步治疗至我院就诊。门诊以“贫血原因待查”收入我院血液内科。自发病以来,食欲欠佳,睡眠欠佳,小便黄,大便无明显变化,体重无减轻。


入院查体:体温36.6℃,脉搏79次/分,呼吸20次/分,血压145/89mmHg,皮肤巩膜黄染,睑结膜苍白,全身淋巴结未扪及肿大,胸骨无压痛,心肺查体无异常,腹部无压痛及反跳痛,肝脾肋下未触及,双下肢无水肿。


初步考虑:溶血性贫血?


入院完善相关检查:


图片

图1  患者血常规检测


图片

图2  患者凝血功能检测


图片图3  患者常规生化检测


图片

图4  患者造血原料检测


胸片:双肺纹理增多。


肝脾B超:肝脏:形态大小正常,包膜完整,实质回声均匀,血管纹理清晰,肝内胆管不扩张。门静脉主干内径约1.2cm,CDFI示门静脉血流充盈好。脾脏:厚约5.4cm,长约14.7cm,包膜完整,实质回声均匀。脾静脉主干内径约0.7cm。脾门区查见大小约1.0x0.9cm的等回声,形态规则,边界清。结论:肝脏未见明显异常,脾大,副脾。


血常规报告如图1显示:血红蛋白(HGB)79g/L,提示中度贫血,网织红细胞率:4.61%,网织红细胞计数:92.7E+09;HGB/RBC比例为39>30,红细胞平均体积(MCV):106.50fl↑及红细胞平均血红蛋白浓度(MCHC)369g/L↑。


生化如图3提示总胆红素96.5μmol/L升高,以间接胆红素79.4μmol/L升高为主,提示存在溶血。


综合患者病程长、病情反复,有贫血、溶血的症状、体征,血常规提示中度贫血伴网织红细胞升高、生化提示间接胆红素升高,无造血原料的缺乏,影像学检查提示脾脏增大,目前考虑诊断:自身免疫性溶血性贫血(AIHA)。且患者红细胞相关参数异常明显、仔细观察抗凝管壁上有细沙样颗粒,高度怀疑冷凝集素综合征可能。进一步明确是否存在红细胞自身抗体及排查继发性病因。


如图5示:血涂片下可见红细胞成团聚集,证实冷凝集的存在。最终结果经过温育纠正后发出。


图片

图5  外周血涂片(瑞-吉染色,X1000)


Coombs试验检测见图6:


图片

图6  Coombs试验


如图6示:患者Coombs试验检测出有红细胞自身抗体存在,且为补体C3型。综合诊断为冷凝集素综合征。给予糖皮质激素地塞米松控制溶血对症治疗,同时积极寻找冷凝集素综合征的病因。


如图7示自身抗体谱检测结果为:阴性。


图片

图7  自身抗体谱检测


患者无感染、风湿结缔组织疾病、其他实体肿瘤等相关征象,进一步完善骨髓穿刺及活检血液系统肿瘤性疾病。


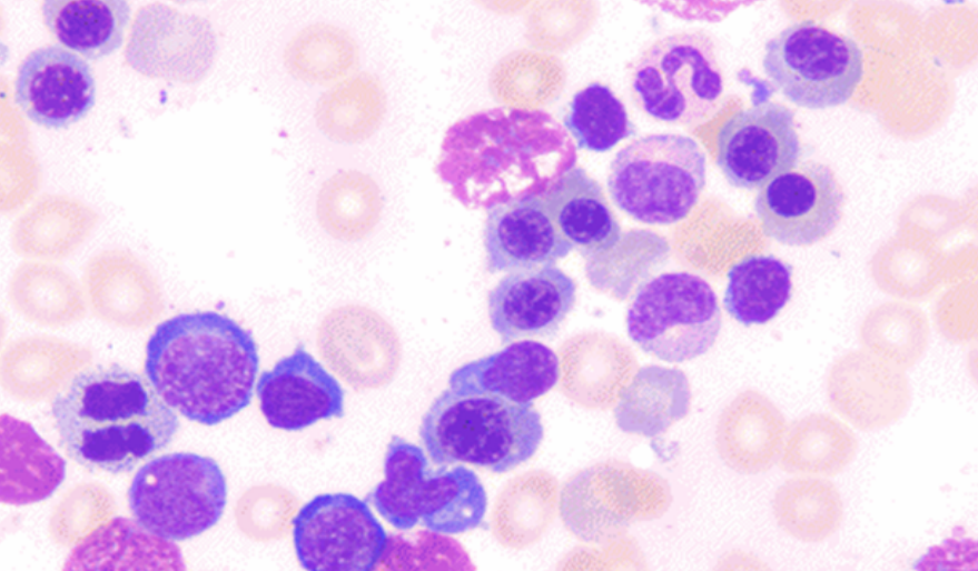
骨髓形态学检查如图8示:骨髓有核细胞增生明显红活跃,以红系增生为主,各期细胞可见核浆发育不平衡;成熟红细胞轻度大小不均,中心淡染区多不扩大。淋巴细胞少数细胞胞体偏大,形状不规则,浆量较丰富,胞浆浆样变明显,核大,偏位,核质多呈条索状分布,未见典型核仁。结论:增生性贫血,淋巴细胞发育不良,请结合临床考虑诊断。


图片

图8  骨髓细胞形态学(瑞-吉染色,X1000)


图片

图9  骨髓流式细胞免疫分析部分结果


骨髓免疫分型报告:异常细胞占有核细胞20.56%,表达CD45,CD19,CD20,CD22,CD103,KAPPA,CD200,CD25,sIgM;不表达TCRgd,CD2,CD3,CD4,CD5,CD7,CD8,CD10,CD16,CD23,CD38,CD56,CD57,CD123,FMC7,CD45RO。结论:符合CD5-CD10-BLPD免疫表型,细胞体积小,SSC较大,考虑毛细胞白血病(HCL);请结合形态及遗传学检查。


图片

图10  骨髓免疫组化CD20+CD103+


骨髓活检报告:

1.骨髓有核细胞增生极度活跃,取代脂肪组织;

2.可见小淋巴样细胞弥漫增生,约占有核细胞70%;三系细胞可见,未见明显形态学异常;

3.网状纤维染色:网状纤维中度增生(MF-2);

4.免疫组化检测:增生的淋巴样细胞CD3(-),PAX5(+),CD20(+),CD79a(+),CycimnD1(-),CD103(+),ANXA1(部分+),CD5(-),CD23(+),Bc2(+,90%),Ki-67(+,10%)。


结论:骨髓有核细胞增生极度活跃,査见惰性小B细胞肿瘤浸润,肿瘤细胞占有核细胞比例约70%,网状纤维中度增生,结合临床及免疫组化检测结果,符合毛细胞白血病。


患者最终诊断:1.HCL 2.继发性冷凝集素综合征。



案例分析


检验案例分析:

患者入院检查血常规HGB79g/L,中度贫血,生化提示总胆红素96.5μmol/L升高,以间接胆红素79.4μmol/L升高为主,考虑患者存在溶血,进一步检查Coombs实验:


直接、间接Coombs实验均阳性,诊断自身免疫性溶血性贫血(AIHA),结合患者血常规提示冷凝集,血涂片下证实红细胞聚集,温育后聚集现象好转,直接Coombs试验红细胞自身抗体为补体C3型,表明患者为冷凝集素综合征。


冷凝集素综合征的病因可分为原发性和继发性,诊断原发性冷凝集素病(CAD),首先需排除继发性因素。通过排查,该患者无明确感染、风湿结缔组织疾病及实体肿瘤等疾病征象。进一步完善骨髓穿刺及活检排查血液系统肿瘤性疾病。


骨髓形态学提示:增生性贫血;淋巴细胞少数细胞胞体偏大,形状不规则,浆量较丰富,胞浆浆样变明显,核大,偏位,核质多呈条索状分布,未见典型核仁,提示淋巴细胞存在异常。


骨髓流式免疫分型:检测出20.56%的异常细胞群,表达CD45,CD19,CD20,CD22,CD103,KAPPA,CD200,CD25,sIgM;细胞体积小,SSC较大,符合毛细胞白细胞(HCL)。


骨髓活检:查见70%的肿瘤细胞,免疫组化CD3(-),PAX5(+),CD20(+),CD79a(+),CycimnD1(-),CD103(+),ANXA1(部分+),CD5(-),CD23(+),Bc2(+,90%),Ki-67(+,10%),为惰性小B细胞肿瘤浸润,网状纤维中度增生,符合HCL。


最终找到了隐藏在冷凝集素综合征背后的HCL。


临床案例分析:

老年男性患者,病程较长、病情反复。多次以贫血伴溶血的相关症状院外就诊,但病情均未得到明确。入我院后完善血常规提示中度贫血,呈大细胞性,伴骨髓代偿性增生;生化检查提示间接胆红素明显升高;腹部B超提示脾脏增大。指向有溶血性贫血的存在。


血常规里同时可以观察到的HGB/RBC比例失调、MCV及MCHC均明显增高,再仔细观察患者抗凝管管壁存在细沙样颗粒;进一步完善血涂片镜下观察到明显的红细胞聚集现象,而以上经过温育后聚集现象减少甚至消失。同时完善的Coombs试验检测到红细胞直接、间接抗体,且直接抗体为补体C3型。至此患者诊断冷凝集素综合征。


冷凝集素综合征是冷抗体型自身免疫性溶血性贫血(cAIHA)的重要类型之一,临床表现为冷凝集素介导的溶血性贫血及周围循环症状,包括原发性冷凝集素病(CAD)和继发性冷凝集素综合征(CAS)。


CAS常继发于肺炎支原体感染、EBV感染、风湿结缔组织疾病、肿瘤等疾病。该患者无感染、风湿结缔组织疾病及其他实体肿瘤的相关症状、体征,相关检验检查均未提示明确以上疾病的相关异常。


虽然该患者体制性症状并不明显、也未发现有淋巴结的肿大,血常规也仅有一系的异常,但就我们血液内科医师的经验,看见了自身免疫性疾病,就大多看见了淋巴瘤的影子。故该患者淋巴瘤的筛查必须进行。通过完善骨髓形态、免疫分型、骨髓活组织检查,最终诊断HCL。


HCL是一种罕见的惰性B淋巴细胞增殖性疾病。早期可有淋巴瘤的B组症状,但仍有少部分患者起病隐匿,无症状。而以CAS为首发症状的HCL极为罕见。该患者以CAS为首发症状,入住我科后通过综合患者的临床特点,凭借临床医师的临床经验,再从各项检验检查里抽丝剥茧寻求真相,最终将迷云揭开、明确诊断,为患者提供精准治疗。



知识拓展


自身免疫性溶血性贫血(AIHA)一类免疫介导的获得性溶血性贫血的总称,共同的病理生理基础是患者产生针对自身红细胞的病理性抗体并造成其免疫破坏,B淋巴细胞功能异常亢进,产生抗自身红细胞抗体,使红细胞破坏增加而引起贫血。


AIHA诊断标准参照中国成人自身免疫性溶血性贫血诊疗指南(2023年版):

1.血红蛋白水平达贫血标准;

2.检测到红细胞自身抗体;

3.至少符合以下一条:血结合珠蛋白降低(<250mg/L)、血总胆红素升高(≥17.1μmol/L,以非结合胆红素升高为主)、血乳酸脱氢酶升高且网织红细胞百分比>4%或绝对值>120×109/L[1]


冷凝集素病(CAD),为AIHA的一个较为少见的分支,占据了此类病症的大约10%到20%的比例。


冷凝集素综合征诊断标准:

1.符合溶血性贫血的临床和实验室表现:寒冷环境下出现耳廓、鼻尖及手指发绀,加温后消失,可有贫血或黄疸的体征;实验室检查发现胆红素升高,反复发作者有含铁血黄素尿等。

2.冷凝集素试验阳性。

3.直接Coombs试验几乎均为补体C3型[1]


毛细胞白血病(HCL)是一种罕见的慢性B淋巴细胞增殖性疾病,这种疾病通常影响老年人群,其主要临床表现包括乏力、出血和反复感染等症状。相比之下,发热和盗汗的情况较为少见。患者常常伴有脾脏肿大以及全血细胞减少。此外,HCL具有独特的临床表现、细胞和组织形态学特征、免疫表型以及分子学特征。


1、诊断指标见表1:


图片


2、鉴别诊断见图11:


图片

图11  来源毛细胞白血病诊断与治疗中国指南(2023年)[2]


如图12示毛细胞白血病的免疫表型主要为CD5-,CD10-,CD103++/CD11c+,CD123+/CD25+,通过流式细胞免疫分析可以很好的诊断毛细胞白血病。


图片

图12  来源毛细胞白血病诊断与治疗中国指南(2023年)[2]


需要警惕的是,溶血性贫血系部分淋巴瘤的首发表现,或是在典型淋巴瘤的临床表现出现之前的一定时期内先表现为AIHA,加之糖皮质激素的应用,干扰了淋巴瘤的进程,导致延误或错过原发病的诊断并不少见[3]。溶血反复发作和较难控制时,需警惕潜在或演变进展恶性淋巴瘤的可能。


淋巴瘤并发溶血性贫血的发病机制至今仍是一个未解之谜,但长期慢性抗原刺激的作用不容忽视,被视为发病机制中的一个关键要素[3]


淋巴瘤合并溶血性贫血的现象,可贯穿于淋巴瘤发展的各个阶段,存在引发严重溶血、危及生命的潜在风险,必须对此保持高度警觉。在诊断过程中,应避免单纯依赖血常规检测和Coombs试验的结果,而应综合评估多种临床指标,以确保诊断的准确性。


一旦确诊,必须迅速启动治疗流程,其中利妥昔单抗是首选的治疗药物。同时,积极控制淋巴瘤原发病灶也是治疗的关键环节。值得注意的是,部分抗淋巴瘤药物可能会诱发溶血反应,这是治疗过程中需要特别关注的事项。


此外,淋巴瘤的病情进展与溶血症状之间存在一定的关联性,即随着肿瘤负荷的增加,溶血表现可能会加剧;反之,当淋巴瘤病情得到缓解时,溶血症状也有望得到改善。



总结


本病例患者入院时有典型的溶血性贫血的临床表现,进行针对性检查后确诊AIHA,结合血常规、血涂片及Coombs实验后诊断冷凝集素病,治疗的同时积极寻找病因,经骨髓检查后找到隐藏在背后的HCL。



专家点评


点评专家:曾海波 副主任技师 


文章先讲述了从考虑溶血性贫血到确诊毛细胞白血病的诊疗过程,再介绍了相关疾病的知识要点。尤其是在诊疗过程中涉及的一系列检查技术,充分体现了医学实验室检测水平对临床诊断能力的决定性作用。用实际案例,告诉我们提升专科能力,需要临床与实验室的共同提高。无论是对临床诊疗、疾病研究,还是专科建设都有显著的借鉴意义。






参考文献

[1]中华医学会血液学分会红细胞疾病(贫血)学组.中国成人自身免疫性溶血性贫血诊疗指南(2023年版)[J].中华血液学杂志,2023,44(1):12-18. 

[2]中国抗癌协会血液肿瘤专业委员会,中华医学会血液学分会,中国慢性淋巴增殖性疾病工作组.毛细胞白血病诊断与治疗中国指南(2023年版)[J].中华血液学杂志,2023,44(12):969-976.

[3]丁华,朱锋.自身免疫性溶血性贫血合并淋巴瘤的临床特点及预后因素[J].循证医学,2024,24(01):51-59.

[4]刘珊,施怡玢,陈为民,等.非霍奇金淋巴瘤合并自身免疫性溶血性贫血临床特征及预后分析[J].中国免疫学杂志,2021,37(23):2912-2915.

[5]何臻,李建勇,范磊.毛细胞白血病诊断和治疗的研究进展[J].国际输血及血液学杂志,2022,45(5):436-441.