11岁“小孩哥”上臂骨折 “克氏针”不开刀助其康复

央广网北京10月19日消息(记者 郑洁怡)小孩子天性活泼好动,玩耍打闹中很容易出现意外,导致骨折时有发生。由于年龄尚小,小孩子如果采用传统的切开复位内固定的方法,可能损伤骨骺。一旦造成骨骺损伤,就有可能出现骨关节发育畸形,而且手术创伤较大,疼痛感强,恢复慢。那么,关于儿童骨折,有什么更好的诊疗方法吗?广州医科大学附属第二医院创伤骨科副主任胡海澜给出解答。

图片

近日,广州医科大学附属第二医院创伤骨科(骨科三区)收治了一名因为摔伤的小患者俊俊(化名)。11岁的俊俊摔伤后左侧肘部逐渐肿痛,左胳膊无法活动,家长随即带他到医院就诊,医生结合患儿入院情况、体征、X线检查等,明确诊断为左肱骨髁上骨折并肘关节周围软组织肿胀。接诊医生立即给予患者左上肢石膏固定制动,并收住院治疗。

图片

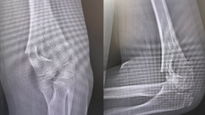
急诊X线提示:左肱骨髁上骨折(受访者供图)

专家表示:“肱骨髁上骨折常规可以选择切开复位内固定、闭合复位内固定,没有明显移位的稳定骨折可以单纯采用石膏外固定。”

考虑到患者年龄较小,还在生长发育期,保守治疗容易畸形愈合,影响肘关节活动度和以后肱骨的发育,因此,专家建议选择小切口的微创治疗

入院当天(12小时内),胡海澜便带领团队在手术室麻醉下手法复位后行经皮克氏针内固定术

术后第二天,俊俊感觉良好,伤口疼痛不适好转,肘关节内固定物无松动,手指活动自如,遂出院。

“等俊俊的骨折完全愈合后,固定的钢针只需在门诊直接抽取即可,不需要二次手术取出,这也是这类微创手术的一大优势所在。”胡海澜表示。

图片

(受访者供图:术后复查X线,骨折复位良好)

· 微创手术“近乎无疤痕”,克氏针取出更无需麻醉。

胡海澜介绍,肱骨髁上骨折是儿童最常见的骨折之一,如果不能良好地复位和固定,日后将遗留肘关节内外翻畸形甚至出现迟发性尺神经炎。左肱骨髁上骨折的俊俊,行闭合复位克氏针内固定,术口仅为2个3mm针眼大小伤口,小小的创口解决了骨折大问题。

· 微创手术治疗骨折,有哪些优点?

1. 创伤小,恢复快

微创手术的最大优点就是创伤小。通过微小的切口进入病灶,大大减少了对周围正常组织的损伤。这意味着术后恢复时间大大缩短,患者可以更快地回到日常生活和工作。

2. 减少并发症

由于创伤小,手术过程中的出血量也大大减少,降低了术后感染的风险。同时,微创手术减少了对神经和血管的损伤,降低了术后并发症的发生率。

3. 提高手术精度

微创手术依赖于先进的影像技术和精确的手术器械,使得手术过程更加精确。这对于复杂的骨科手术来说尤为重要,可以提高手术成功率。

4. 更好的美观效果

由于切口小,术后疤痕也相对较小,这对于追求美观的患者来说是一个巨大的优势。同时,微创手术也减少了患者的术后疼痛和不适感。

· 在日常生活中,如何预防儿童骨折?

专家提醒:“儿童生性活泼好动,而骨骼发育还不够强壮,很容易发生骨折。因此,家长应对孩子进行安全知识教育,不要打斗追闹等。孩子外出活动时,家长应观察场地是否适宜,为孩子戴上防护用具,如头盔、护膝等,做好热身运动。”