男子跳了多年霹雳舞,发现头越来越凸。原因居然是练太猛,想恢复只好削脑袋

图片

每周一,【把科学带回家】的编辑们将为你带来一些有趣的本周新闻,帮你轻松地开启这一周!


【第19期】看点


科学新闻

🪼深海惊现怪东西,8条4米长的腿在散步?

🙆‍♂️霹雳舞受害者:练得太猛,头凸了


本周大日子

👋周二居然是全球洗手日?洗手也有纪念日?


大开眼界

♦️世界上最小的魔方:仅为0.3克,只能用镊子玩

🌭小家电越来越离谱了!你见过烤肠电击器吗?


展览信息
👀北京·遇见博物馆×英国阿伯丁大学博物馆



🪼深海惊现怪东西,用8条4米长的腿散步?
真的不会缠在一起吗?

在南太平洋汤加海沟3300米深处,澳大利亚的Minderoo-UWA 深海研究中心的水下探测车发现有怪东西缓缓走过了。


海洋深处总有一些超出我们想象的怪东西,而这次研究人员发现的,其实是一只非常罕见的大鳍鱿鱼!人们一共也就见过它不到20次,成年的大鳍鱿鱼有着橙色的身体,超级细长的手臂和半透明的大鳍,就连科学家都说它长得像外星人。


而这种大鳍鱿鱼的行为也十分古怪,首先是因为它头部的鳍会在游泳时十分夸张地摆动。另外,它光是触手有4~8米长,也就是有4个人那么高,从身体的附肢上伸出,又经历了一个90度的折角,然后直直地垂下去。

图片

感受一下这个海里的怪东西……


这么长的触手究竟有什么用?由于观测的数据太过稀少,大鳍鱿鱼在科学界还是一个谜。不过经过观察,科学家发现大鳍鱿鱼的8条触手上都覆盖着一些小小的粘性吸盘,因此,超长触手可能不仅能用来散步,更像是一种“蜘蛛网”般的存在,在大鳍鱿鱼游动的过程中,浮游动物们会被牢牢粘在这种触手形成的网中。


但为什么这些腿这么长,却不会彼此相缠呢?有人猜这种触须就像头发一样,上面并没有肌肉,在水中就不会相缠;还有人猜这些触手是可伸缩的。

总而言之,大鳍鱿鱼还有更多秘密等待我们发现。而如今,深海探测器,甚至是用于勘测海底油田的探测设备,都加大了人类发现深海奇怪生物的可能性。



🙆‍♂️霹雳舞受害者:头凸了


随着霹雳舞(breaking)进入奥运会,越来越多的人们注意到了这一舞种。不过想要学会这一舞蹈,可能要付出不少身体上的代价。最近,医学期刊BMJ Case Reports上发表的一篇病理报告,就提到了霹雳舞者的罕见病症:头转洞(headspin hole)或霹雳舞凸起(breakdance bulge)


患有该病的舞者是一名30岁出头的男性,他练习各种类型的头转(headspin)已有19年多。他每周跳舞五次,每次训练1.5小时;每次训练大约有两到七分钟的时间会对头顶施加压力。

图片


头转指的是舞者以头为支点倒立,利用手脚带动全身旋转的经典霹雳舞动作。一些舞者会戴上帽子或头盔作为保护,但也有人会裸头硬转。|thebreaks.org

该男子称,五年前,他发现头皮上长了一个肿块,并伴有脱发,也没当回事。但这个肿块不断增大,现在摸起来有些许疼痛感,甚至严重影响到了他的外貌,需要戴帽子才能出门。

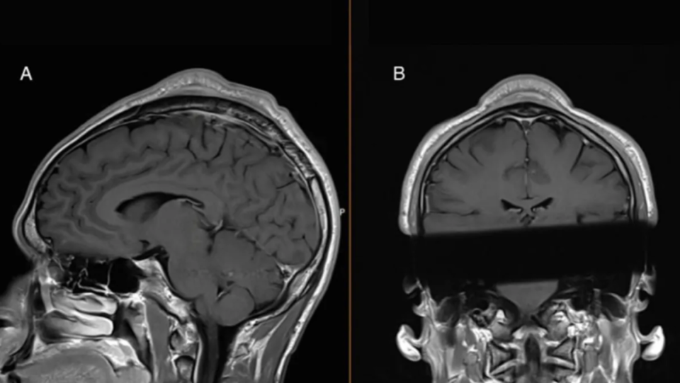
医生在他的头顶检测出了一块尺寸约3.3厘米的肿块,还发现肿块上方的皮肤和下方的头骨比周围的组织更厚。不过幸运的是,肿块并没有发生癌变,通过手术很快就被切除了,医生还将他头骨增厚的部分削回到正常厚度。

图片


扫描显示,该男子皮肤下方和颅骨顶部有一个大肿块。|BMJ Case Reports

哥本哈根皇家医院神经外科的专家说:“可能是因为舞者在进行头转时,头骨和头皮等部位与地面反复摩擦,再加上头部需要支撑身体的全部重量,从而引发了炎症,随着时间的推移,微的出血导致皮肤增厚并形成疤痕组织,最终形成了凸起。”

这一病例公开后,引发了不少讨论。许多舞者纷纷献策,保护自己的头顶和头发,例如在表演动作时戴上带衬垫的无檐便帽或在帽子下添加凝胶垫,或者在摩擦力较小的地板上练习。



📅本周大日子

周二是全球洗手日?

洗手也有纪念日?


没错,居然还有一个节日是世界洗手日。这个节日旨在让大家意识到认真洗手、用肥皂洗手是一件很重要的事。联合国儿童基金会提到,可能很多人都没有意识到,在饭前便后用肥皂洗手,比任何单一的疫苗或医疗干预都能挽救更多的生命,使腹泻导致的死亡人数减少近一半。
不过在2015年的一项研究发现,平均只有 38.7% 的家庭用肥皂洗手。另外,潮湿的皮肤更容易传播细菌,如果洗手后只甩干双手,一些细菌可能会残留,用干手器和纸巾擦干也很重要。

另外,2003年10月15日,载有杨利伟的神舟五号自酒泉卫星发射中心发射升空,这是中国第一艘载人航天飞船。


♦️世界上最小的魔方:

仅为0.3克,只能用镊子玩


日本Megahouse和Iriso Precision公司制作了世界上最小的魔方,宽度只有0.5厘米,重量仅为0.3克,人们只能拿着镊子小心翼翼地旋转魔方。这个迷你魔方的零售价为777777日元,约合36854元人民币。

图片

图源:Megahouse


🌭小家电越来越离谱了!

你见过烤肠电击器吗?

图片

各种千奇百怪的烤面包机。面包:我经历了太多……|参考资料


在美国密苏里州的Richard Larrison专门开了一家店,名为“JR小家电博物馆”。收集神奇的古早的小家电。他发现,光是烤面包机就能有十几种完全不同的设计,有“夹式”和“栖式”,“滴式”和“翻式”,“倾卸式”和“翻转式”,更不用说“摇摆式”,“穿过式”,“平板式”,当然还有一直很受欢迎的“弹出式”。

有一种能给热狗做“电击”的家电,能瞬间烤好5根热狗!?一时也不知道这是“神器”还是“鸡肋”了?

在短视频平台上,你是不是也曾种草过各种奇思妙想的小家电?在评论区里分享你的发现吧,让我们也跟着你大开眼界!


👀展览信息
北京·遇见博物馆×英国阿伯丁大学博物馆

《永恒的木乃伊之谜》

展览时间:2024.11.1~2025.2.9
在这个展览中,你可以看到有关木乃伊的一切,比如木乃伊棺椁(含2具木乃伊)、木乃伊内脏、面具、裹尸布、木乃伊盒等随葬品,还有机会看到世界最神秘的文献《亡灵书》。

图片

图源:pxhere

撰文 Skin,阿娴

参考资料:

大鳍鱿鱼

霹雳舞凸起

世界洗手日

烤肠电击



将“把科学带回家”
设为星标

不错过每条有趣科学推文!

凡本公众号转载、引用的文章 、图片、音频、视频文件等资料的版权归版权所有人所有,因此产生相关后果,由版权所有人、原始发布者和内容提供者承担,如有侵权请联系删除。