中国大宁:中国紫 | 天下同一——秦汉文明主题展

图片
中国大宁

值此举国同庆新中国成立75周年的喜庆日子,本号从陕西历史博物馆秦汉馆的基本陈列“天下同一——秦汉文明主题展”的同名图录《天下同一:秦汉文明主题展》中选取的7个精彩主题组成“中国大宁”系列,以此与您共度佳节,祝愿伟大的祖国繁荣昌盛,国泰民安!本文为系列第五篇。

◎ 中国大宁 | 中国紫

◎ 中国大宁 | 交流互鉴

◎ 中国大宁 | 从丝路向太空 


 




作为中国古代人工合成的两种有色化合物,中国蓝和中国紫不但代表了古代中国科技史中独树一帜的文明成果,还丰富了中国古代颜料的种类,是古代先民的智慧结晶。 


图片

▲ 中国蓝、中国紫的粉末


中国紫

 

“中国紫”目前在自然界中还未发现,是中国古代人工制备的一类无机颜料。化学成分为硅酸铜钡,属混合物,易溶于水,在今天也是需要利用最新科学技术才能合成的一种物质,化学式是BaCuSi₂O₆。


中国紫的广泛使用

 

该颜料在战国晚期至东汉晚期的中国大量使用,诸如秦始皇帝陵兵马俑、秦代宫殿壁画、西汉墓室壁画、彩绘陶器、彩绘陶俑等,均检测出极大量的“中国紫”和“中国蓝”及其他各色颜料的使用痕迹。 

 

▼ 中国紫为主要呈色物质时的使用情况表

图片


图片

 

▋中国紫的制备方法

 

中国紫的制备较为复杂,需要石英、石青、硫酸钡,同时需要使用氧化铅或者碳酸铅作为助熔剂,调和之后在1000℃左右的情况下,发生化学反应形成中国紫。在现代工业条件下,用石英粉作硅源,铜绿和氧化铜作铜源,硫酸钡、碳酸钡和氧化钡作钡源,氧化铅作铅源,才能模拟制备出包括中国紫(BaCuSi₂O₆)在内的古代人造硅酸铜钡颜料。


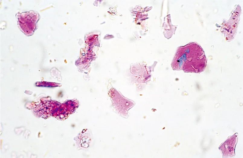
图片

▲ 偏光显微镜下中国紫颜料颗粒

 




图片


本文摘编自《天下同一——秦汉文明主题展(上下册)》(陕西历史博物馆编著 ; 侯宁彬主编. 北京 : 科学出版社, 2024. 7)一书。


审图号:GS(2024)2975 号


(本文编辑:刘四旦)


一起阅读科学!

专业品质  学术价值

原创好读  科学品位

科学出版社 视频号

硬核有料  视听科学

传播科学,欢迎您点亮星标,点赞、在看▼