慢性中性粒细胞白血病? OR 反应性中性粒细胞增多?——1例疑难病例的讨论分析

【第四届检验与临床(血液与体液)思维案例大赛总决赛稿件】


作者 | 丁国胜1 阎俊文1 赵进秀1 魏小芳2

单位 | 甘肃省人民医院:1.检验中心,2.血液科




前    言


本案例是一名老年女性患者,72岁,因“多次血常规检查发现白细胞增高”就诊。从开始时体检时发现白细胞WBC 18.6×109/L,至几个月后患者因“白内障”准备手术治疗,手术前血常规发现白细胞明进一步增高达到WBC>30×109/L。


怀疑血液系统肿瘤,送检外周血血细胞形态,分类计数中性粒细胞占89%,以分叶核为主,未见幼稚阶段粒细胞、未见原始细胞、异型淋巴细胞等其他异常细胞;外周血碱性磷酸酶积分(NAP)335分,阳性率99%。初步考虑为慢性中性粒细胞白血病(CNL)。于2019年7.2入住我院血液科,进一步做骨穿等相关检查。




案例经过


病史回顾


老年女性患者,72岁,因“多次血常规检查发现白细胞增高”就诊。一年前干部体检时发现白细胞升高,WBC18.6×109/L未予重视,仅给予“抗炎”处理。几个月后患者行白内障手术,手术前血常规发现白细胞明显升高WBC>30×109/L。


因怀疑血液系统肿瘤,就诊于我院血液科门诊,以“血液系统肿瘤待排除”收住,于2019年7.2入住血液科,进一步做骨穿等相关检查。入院查体:无发热,无肝、脾、淋巴结肿大,无骨痛、无胸骨压痛,腹部平坦,无压痛、无反跳痛,胸部未闻及干、湿性啰音。


既往史:患者2014年因乳腺肿瘤行左侧乳腺全切手术。


入院后相关检查


01
形态学检查:


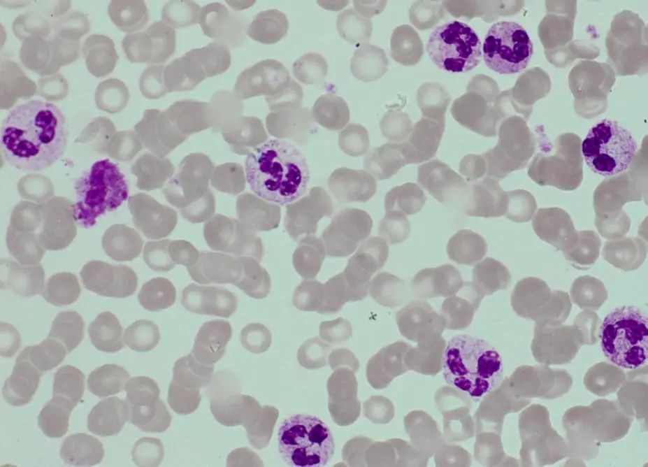
1、外周血白细胞数目明显增多,以中性粒细胞为主,分类计数约占89%,未见原始及幼稚阶段细胞,嗜酸性、嗜碱性粒细胞比例不高。中性粒细胞浆内颗粒增多、增粗,可见空泡变性及杜-勒小体。见图1。


图片

图1 外周血形态学检查 (×1000)


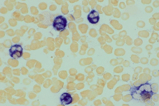
2、外周血NAP积分明显增高:积分325分,阳性率100%。见图2。


图片

图2 外周血NAP积分检查(×1000)


3、骨髓细胞形态学检查:


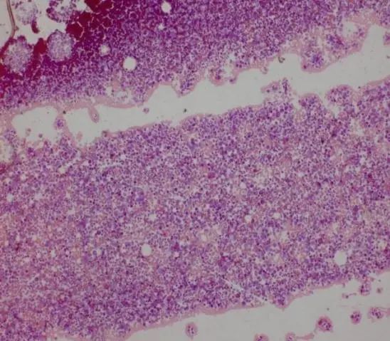
骨髓增生极度活跃,粒系占90.0%,红系占4.0%,粒:红=22.5:1。粒系增生明显,其中原粒0.5%,早幼粒1.5%,中性中幼粒12.0%,中性晚幼粒8.5%,杆状44.0%,分叶核21.0%,嗜酸分叶2.0%,嗜碱分叶0.5%;分类计数明显以杆状及分叶核为主。红系比例明显减低占4.0%,余未见明显异常,未见呈缗钱状分布者。淋巴单核细胞形态如常。浆细胞容易见到占2.5%,部分区域可见浆细胞成簇分布。巨核细胞常见,血小板成簇分布。未见特殊异常细胞及寄生虫。见图3、4。


图片

图3 骨髓涂片检查 (×100)


图片

图4 骨髓涂片检查 (×1000)


4、形态学特点总结:

(1)外周血白细胞明显增多,中性粒占80-90%,全部为杆状及分叶细胞,且有明显中毒性改变,多次NAP积分均在300分以上,阳性率几乎为100%;未见幼稚粒细胞。嗜酸、嗜碱性细胞比例不高。

(2)骨髓增生极度活跃,粒系占90%,以杆状、分叶为主占60%以上,原、早、中、晚幼粒比例不高。嗜酸、嗜碱性细胞比例不高。

(3)三系均没有明显病态造血表现。

(4)巨核细胞数目形态无明显异常。

(5)浆细胞常见占2.5%,部分胞体稍大,形态偏幼稚。


02
继续完善其他相关检查


CRP:2.24mg/L;细菌感染两项:PCT <0.5ng/LIL-2 2.15pg/L细胞因子12项:IL-2 1.65pg/LIL-4 7.23pg/LTNF-a 5.79pg/LIL-6 8.55pg/LIFN-Υ 10.41pg/LIL-10 19.55pg/L ,IL-17 8.54pg/L, IL-5 5.54 pg/LIL-8 19.22pg/LIL-12p70  2.98pg/LIL-1β 9.43pg/LIFN-a 1.41pg/L血沉 8 mm/h生化常规:无明显异常。


6-8月近3个月血常规结果见表1。


表1 近3个月的血常规结果

图片


03
影像学检查


1、胸腹部CT:胸部CT双肺纹理增重,左肺下叶陈旧性炎症病灶,余无异常;

2、妇科B超:无异常提示;

3、乳腺B超:左侧乳腺切除后,右乳腺无异常提示;


04
根据以上检查,提示可能的疾病有

1、感染

2、骨髓增殖性肿瘤(MPN):CNL、MF,形态特征更倾向于CNL

3、浆细胞疾病,


05
分子生物学相关检查


1、MPN相关基因检测未检测到异常突变:见图5。


图片

图5MPN相关基因检测结果截图


2、MDS免疫分型检查:


分析1.2%的优质细胞群体,未见异常表达,另外检89.0%的粒细胞分化抗原表达异常,建议加做CML与MPN相关基因检测。见图6。


图片

图6 免疫分型检查结果截图


3、白血病融合基因检查:未检测到BCR-ABL异常融合基因,见图7。


图片

图7 BCR-ABL融合基因检测结果


4、免疫球蛋白(Ig)基因重排克隆性分析报告单:检测到IgH和IgK基因克隆性突变,建议定期随访。见图8。


图片

图8 Ig基因突变检测结果截图


5、骨髓活检:骨髓增生明显活跃,粒系比例明显增高,红系比例减低,巨核细胞不少。网状纤维染色:MF-1。见图9。


图片

图9 骨髓活检结果截图


总结以上各项检查结果


1、血常规白细胞持续30×109/L左右,超过3个月;

2、骨髓象:粒系明显增生,以中性杆状、分叶为主,嗜酸、嗜碱细胞比例不高,无明显病态造血表现。

3、暂未发现提示髓系增殖的阳性基因;BCR/ABL融合基因阴性。

4、骨髓活检提示轻度骨髓纤维化;

5、流式细胞术检查提示89%粒系细胞表达异常


诊断考虑什么?


1、中性粒反应性增高?


炎症?隐匿性肿瘤等引起的类白血病反应?


2、克隆性增高?


MPN?包括CML、PV、PMF、ET、CEL、CNL和肥大细胞增多症等。

MDS/MPN?包括CMML、aCML、MDS/MPN-U、MDS/MPN-RS-T、JMML等。




临床案例分析


目前可考虑的诊断选项:


1.反应性中性粒细胞增多?

细菌感染?基本可排除(白细胞持续性增高但无明确感染灶,无发热,ESR、CRP均不高,炎症因子浓度不高)。

恶性肿瘤引起的类白血病反应?待排除。


2.MPN?

结合已有的实验室检查及形态学检查基本可排除:PV、ET、CML、CEL、肥大细胞增多症、CMML、JMML、MDS/MPN-RS-T。结合血常规结果、BCR/ABL融合基因、JAK2、CALR、MPL基因结果及骨髓细胞形态学检查,排除以上几种疾病并无多大困难。


筛选后需重点排除的疾病:CNL,aCML,PMF。


接下来请让我逐一分析逐一排查(图10)。


图片

图10 诊断分析流程图


01
是否aCML?


WHO2022版将不典型慢性粒细胞白血病(atypicalCML)更名为MDS/MPN伴中性粒细胞增多(MDS/MPNwith neutrophilia),强调了该病的MDS/MPN属性,避免与CML混淆。aCML诊断的主要难点是与CNL鉴别:


1)aCML特点:

A.中性粒细胞增多伴前体细胞增加(早幼粒、中幼粒、晚幼粒占白细胞>10%)

B.病态造血显著;现已归类于MDS/MPN

C.约1/3的aCML伴SETBP1和(或)ETNK1基因 突 变,罕有 JAK2、CALR以及CSF3R基因突变。


2)CNL特点:

A.成熟中性粒细胞增加为主

B.几乎无病态造血(可见中毒颗粒)。

C.CNL以CSF3R突变常见


3)aCML的诊断不仅要排除BCR/ABL1阳性CML,还要排除PV、ET、PMF在加速期出现的中性粒细胞增加的表现。


本例中,三系无明显增生异常情况形态学也不符合aCML特点,也没有检测到上述基因突变,基本可排除。CNL的诊断除非有明确的基因突变,否则基本是排除性的诊断,在排除其他MPN情况下,同时又能够排除继发性中性粒细胞增多方可诊断。


02
是否prePMF或PMF?


2016WHO新分类将PMF分为原发性纤维化早前期(prePMF)和 原 发 性 纤 维 化 明 显 期 (overtPMF)。而按MF研究和治疗国际工作组(IWG-MRT)达成的术语共识,推荐使用PMF、post-PVMF 和原发性血小板增多症(ET)后MF(post-ET MF)。首先是要明确骨髓中纤维化分级:


图片

图11 2016年WHO骨髓纤维化的半定量分级


2016 年WHO 原发性纤维化早前期(prePMF) 诊断标准


主要标准:

1.有巨核细胞增生和异型巨核细胞,无显著的网状纤维增多(≤MF-1),【网状纤维或胶原纤维增多(MF-2或MF-3)是为PMF明显期的诊断标准】巨核细胞改变必须伴有以粒细胞增生且常有红系造血减低为特征的按年龄调整后的骨髓增生程度增高;


2. 不能满足PV、慢性髓系白血病(Ph+)、MDS或其他髓系肿瘤的WHO诊断标准;


3. 有JAK2V617F、CALR、MPL基因突变。如果没有以上突变,需有其他克隆性增殖的证据,如有JAK2V617F、CALR、MPL基因突变。或不满足反应性骨髓网状纤维增生的最低标准。


次要标准:

1. 贫血非其他疾病伴发;

2. 白细胞计数>11×109/L;

3. 可触及的脾脏肿大;

4. 乳酸脱氢酶(LDH)增高。

注:确诊需要满足3项主要标准及1项次要标准;次要标准需重复检查1次。


03
临床诊断


目前临床不能明确诊断,考虑为疑似病例,需要进一步随访观察。




检验案例分析


01
骨髓活检分析:


1、骨髓活检网状纤维轻度增多,中性粒细胞明显增高,需要排除MF(MF加速期可有中性粒细胞明显增多表现);PMF的特征是骨髓中异常巨核细胞和粒细胞增生,纤维化期与成纤维细胞的多克隆增加相关,这导致继发性网状纤维和/或胶原纤维增生性骨髓纤维化、骨硬化和髓外造血。本例中不存在三系增生异常情况,尤其是巨核细胞系,并无小巨核、及成簇分布的小巨核等。


2、轻度网状增多可继发于感染、自身免疫性疾病、其他慢性炎症、毛细胞白血病、转移性肿瘤等。


3、无诊断PMF主要标准之一的JAK2、CALR以及MPL基因突变(三阴),因此PMF暂不考虑,网状纤维轻度增多多考虑继发性MF。


4、尚需要检测ASXL1、EZH2、TET2、IDH1/2、SRSF2、SF3B1等提示疾病克隆性的的伴发突变基因。

本例虽然持续性外周血中性粒细胞增多,但以成熟阶段细胞为主,未见幼粒细胞、幼红细胞等,无脾脏肿大等临床表现,结合基因等检查基本排除MF可能。


综合上述所有检查结果及分析,在排除aCML、PMF后,唯一需要鉴别的诊断的为CNL。本例形态学及临床表现极符合CNL,但仍然缺乏病理及分子检查的支持,诊断依据不充分。


so,What's the diagnosis ?


请继续往下看...


02
后期补充检查


1.血清蛋白电泳发现M蛋白:见图12。


图片

图12 血清蛋白电泳


2.免疫固定电泳:

图片

图13 免疫固定电泳


3.流式细胞术:发现少量单克隆浆细胞,约占4.5%。


4.反复阅读骨髓涂片:浆细胞容易见到,某些区域成簇状分布,形态:浆细胞胞体普遍偏大,胞浆量较丰富,并可见幼稚浆细胞,提示肿瘤性增殖的可能!见图14-15。


图片

图14 骨髓涂片中的浆细胞(×1000)


图片

图15 可见小簇状分布的浆细胞(×1000)


讨论分析:

1.骨髓形态学可见到幼浆细胞,且多数浆细胞体积均较大,提示浆细胞肿瘤性增殖的可能;

2.免疫学检查证实存在单克隆免疫球蛋白;

3.流式细胞术证实有单克隆性浆细胞存在;

4.该患者诊断MM的线索极为有限,免疫球蛋白相关检查是接诊医生一时的心血来潮还是既往的经验教训?复习CNL的诊断标准,发现标准里面重点提到了需要排除浆细胞肿瘤!!


浆细胞疾病引起反应性中性粒细胞增高事件文献报道并不少见:

A查阅文献,浆细胞疾病引起反应性中性粒细胞增高早有报道;

B早在2001年CNL正式命名前有学者报道单克隆丙种球蛋白血症相关“CNL”:现已明确其并非真正CNL,而是由浆细胞驱动的反应性中性粒细胞多克隆增多,经有效治疗浆细胞病,此类“CNL”,可自发缓解,CSF3R突变检测无一例阳性。

C有学者在单克隆丙种球蛋白血症相关“CNL”患者血清检测到高浓度的的G-CSF,更加证实了浆细胞疾病完全可导致中性粒细胞明显增高。


03
问题


1、该患者最后诊断?


浆细胞病疾病诊断明确:发现单克隆免疫球蛋白;流式细胞学证实有单克隆性浆细胞存在;检测到IgH和IgK基因克隆性突变。


因此,优先考虑浆细胞疾病伴反应性中性粒细胞增多。


如能证实存在血清高水平的G-CSF浓度,则更加支持浆细胞疾病引起的反应性中性粒细胞增高;针对浆细胞疾病进行试验性治疗,如果中性粒细胞大幅度下降则可排除CNL,如果无明显变化,则支持CNL诊断。


2、该患者目前能不能完全排除CNL?还需要补充的检查?


CNL目前诊断依据不足,但不完全排除,因为:

A、缺乏PDGFRα,PDGFRβ或FGFR1基因结果;

B、不排除CSF3R基因其他少见突变类型;

C、缺乏ASXL1、EZH2、TET2、IDH1/2、SRSF2、SF3B1等提示疾病克隆性的伴发突变基因检测。

D、不排除存在JAK2、CARL、MPL基因少见类型突变。


3、活检提示骨髓轻度纤维增多,目前没有依据表明为PMF或prePMF,缺乏相关基因支持,骨髓活检液不支持,基本可排除,至于骨髓中提及到的网状纤维增多考虑为继发性。


04
病例追踪


我们加强对该患者的随访,该患者平均每2-3月在我院复查血常规,WBC多在(18~25×109/L之间,2022年6月患者去天津血研所治疗,骨穿提示浆细胞占有核细胞的7.0%,与2019年7月比较浆细胞比例进一步增高。常见40余种白血病基因检查,发现TET2基因突变,出院诊断:1.浆细胞疾病;2.可疑CNL待排,建议随诊。


浆细胞比例从最初的占2.5%逐步增加到7.0%。为MM前状态,没有采取任何治疗措施,任然以随访为主。对于该病例,我们仍然会加强随访,有新的变化或进展我们会随时补充。


因此,对于该病例我们的诊断是:

1、浆细胞疾病(MM前期),

2、反应性中性粒细胞增多;

3、可疑CNL,继续加强随访。


分析依据:

1、存在浆细胞疾病这一诱发中性粒细胞增高的“元凶”,从初次诊断到目前,已经历时4年,浆细胞比例从初诊时的2.5%增加到目前的7.0%,但因为达不到多发性骨髓瘤的标准,没有采取任何干预治疗措施,导致白细胞增高的因素持续存在;


2、分子生物学等相关检查均不支持CNL,虽然后期在常见白血病基因筛选中发现了TET2基因突变,但该基因无特异性,也常见于其他血液系统肿瘤;


3、从2019年初诊至今,历时四年,患者白细胞数目并没有进一步增高,除了浆细胞比例增高外,其病情并没有进一步恶化、进展;


4、CNL的诊断标准主要是排除性的,除非有明确的基因突变存在,另外需要排除继发性的中性粒细胞增多。本例恰恰符合1.缺乏基因突变的支持,2.不能排除继发性的中性粒细胞增多。


目前并不能完全排除CNL,理由是:

  1. 持续性中性粒细胞增高;

  2. 流式细胞术提示有89.0%中性粒细胞表达异常;

  3. 后期检测到TET2基因突变;

  4. 基因检测并不全面,不排除存在少见突变点的可能。




知识拓展


01
什么是MPN?


即骨髓增殖性肿瘤,包括CML、PV、PMF、ET、CEL、CNL和肥大细胞增多症。WHO(2016)中强调JAK2、CARL、MPL基因突变为主要诊断标准之一,诊断模式已从以前的临床诊断模式转变成了临床—病理—分子诊断模式。WHO(2022)版骨髓增殖性肿瘤(MPN)的分类,主要类型与以前的版本基本保持不变。MPN的初步诊断仍然依赖于临床特征、分子诊断和骨髓活检形态学评估。


WHO2022版MPN分类

图片


图片

MPN的分子学诊断思路流程图


JAK2、CALR、MPL基因为MPN的重要的特征基因,联合检测能极大的提高MPN的阳性率。


1、JAK2基因:即胞内型络氨酸激酶基因。基因编码一种含有自我抑制结构域的酪氨酸激酶,在JAK-STAT信号通路中发挥作用。而JAK2基因突变几乎只见于血液系统肿瘤。突变的JAK2蛋白失去自我抑制活性,对EPO表现出超敏感性,还可以逃避SCS3抑制因子的负性调节作用,导致肿瘤细胞不受调控的持续性增殖。A.常见突变点:14号外显子,即JAK2V617F突变;12号外显子:见于JAK2V617F突变(-)的病例。B.与JAK2基因相关的疾病主要是PV、ET、PMF、B-ALL、T-ALL、BCR-ABL1样ALL。


2、钙网蛋白(CALR)基因突变:与JAK2和MPL是相互独立的,仅见于JAK2-/MPL-的患者。CALR基因编码钙网蛋白,参与细胞增殖、凋亡、免疫反应等多个生物学过程。A.最常见的位置:9号外显子;目前已有超过50种CALR突变类型被报道。B.突变后的意义:见于67%-88%的JAK2/MPL突变阴性的ET或PMF患者。C.特点:青年男性居多,PLT更高、WBC及HB水平较低,总体生存期更长。


3、血小板生成素受体基因(MPL基因),(也叫髓系增殖性白血病基因myeloproliferativeleukemia,MPL)突变:A.最常见突变发生区域:第10号外显,最常见类型W515L和W515K,W515A、W515S、S505N也有报道。B.突变后的意义及特点:见于3%-5%的ET和8%-10%的PMF患者。C.伴MPL基因患者预后较差。


图片


4、文献也报道“三阴”患者(JAK2/MPL/CALR突变阴性MPN):全外显子组测序的结果显示,18.9%的患者存在MPL及JAK2基因非热点区域突变,其中MPL突变位于非10号外显子;JAK2基因突变位点为G335D、G571S、F556V和V625F。


02
什么是CNL?


是一种罕见的BCR/ABL阴性的MPN,表现为中性粒细胞持续增多,伴肝脾肿大、AKP活性增高,容易误诊。老年人好发,其特征为外周血中中性粒细胞持续增多(白细胞计数≥25×109/L,杆状及分叶核粒细胞≥80%),骨髓增生明显活跃,中性粒细胞增殖明显。


早期仅表现为白细胞增高,晚期可出现发热、出血、贫血、脾大等临床症状,且过程缓慢,易误诊为类白血病反应。2001年WHO造血和淋巴组织肿瘤分型中才作为独立疾病得到正式的认定,是一种排除性诊断,因为有许多情况可能与CNL相似。2013年发现CSF3RT618I突变是CNL一个高度特异而敏感的分子诊断标志,CSF3R突变在本病中很常见,见于>60%的病例。


1.CNL诊断标准:


在2016版WHO分类中,CNL诊断标准如下:


1、外周血WBC≥25×109/L,分类中分叶+杆状核≥80%,前体(早幼、中幼和晚幼粒细胞)<10%,原粒罕见,单核细胞计数<1×109/L,无病态造血表现。


2、骨髓细胞增多,中性粒细胞比例和数量增多,中性粒细胞成熟表现正常,原粒细胞<5%。


3、不符合WHO的BCR-ABL1阳性CML,PV,ET或PMF标准。


4、无PDGFRα,PDGFRβ或FGFR1重排,或PCM1-JAK2。


5、存在CSF3RT618I或其他CSF3R激活突变;在无CSFR3R突变时,持续中性粒细胞增多至少3个月,脾大和无明确的反应性中性粒细胞增多原因,包括无浆细胞肿瘤,如有则需用细胞遗传学或分子生物学检查显示的髓系细胞克隆性。


图片

CNL诊断思路流程图



2.CNL的鉴别诊断


图片

另外:单克隆丙种球蛋白血症相关“CNL”:现已明确其并非真正CNL,而是由浆细胞驱动的反应性中性粒细胞多克隆增多,经有效治疗浆细胞病,可自发缓解。此类“CNL”CSF3R突变检测无一例阳性,与真正的CNL不同。


3. 诊断CNL需要做的分子检查:


1、BCR/ABL,PDGFRα、PDGFRβ和FGFR1。

2、JAK2、CALR以及MPL,约10%患者JAK2V617F 阳性。

3、80%以上的CNL患者CSF3R阳性,目前已证实CSF3R突变是CNL最特异的诊断指标。

4、约33%的CNL单独或同时联合SETB1突变。

5、ASXL1、EZH2、TET2、IDH1/2、SRSF2、SF3B1等提示疾病克隆的伴随基因突变。


4. CSF3R介绍:


即集落刺激因子3受体基因(或干细胞因子受体基因)。又名CD114、GCSFR,编码集落刺激因子3受体蛋白。CSF3R是一种穿膜型受体蛋白,具有调节粒细胞生长、分化和功能的作用。CSF3R突变常见于CNL患者,用靶向药物治疗有效。


见于约80%的CNL患者,最常见的是T618I突变,较少见于aCML;CSF3R突变可发生于近膜区(T615、T618突变多见,位于exon14)和胞浆内尾区(D771fs、Y752X等截短型突变多见,位于exon17),少数患者同时携带两种类型的突变。两个部位的突变均可导致白细胞具有非IL3依赖的增殖活性,近膜区突变增殖活性更强。




案例总结


1、该患者骨髓活检未提示浆细胞异常的任何情况,仅有形态提示浆细胞容易见到,导致一开始的诊断偏离了方向!


2、过多增殖的粒系细胞拉低了浆细胞在骨髓中的比例,也掩盖了浆细胞疾病的诊断线索,从一开始形态学的重点在MPN这一方向,忽略了浆细胞情况,让诊断过程走了不少的弯路。


3、CNL为极少见病例,借助该病例系统复习了CNL的相关知识,全面了解CNL诊断与鉴别诊断,丰富了经验知识。CNL本身缺乏典型的形态学特征,其增高的中性粒细胞主要是成熟阶段细胞,而这一特征与反应性粒细胞增高没有明显区别,很难通过形态将两者区分开来。


4、针对浆细胞疾病可进行试验性治疗,如果中性粒细胞明显下降则可排除CNL,如果无明显下降则支持CNL。


5、重视与临床的沟通,该病例在形态学判断过程中反复与临床沟通,并由我实验室牵头,与血液科等学科医师举办CNL的MDT,开拓了视野,丰富了相关知识。


对于该病例,您的诊断是?您认为还需要哪些检查?





专家点评


慢性中性粒细胞白血病是一种少见类型的白血病,该病进展缓慢,目前已报道的病例数不多。2013年发现CSF3R基因突变是CNL一个高度特异而敏感的分子诊断标志,但也仅见于约60%的病例。对于没有该基因突变的病例,诊断基本是一个排除性的过程,相对比较困难。主要是与反应性的中性粒细胞增高相鉴别,本例恰恰没有检测到CSF3R基因突变,且有持续存在浆细胞疾病这一诱发因素,在这种情况下优先考虑反应性中性粒细胞增高。

此病例详细介绍了CNL的诊断思路、与其他MPN相关疾病的鉴别诊断,思路清晰。虽然最终也未能明确诊断,但也能使大家全面了解CNL这一少见病例的诊疗过程。




参考文献

[1]肖志坚。进一步规范我国骨髓增殖性肿瘤的诊断和治疗。中国实用内科杂志,2018,38:89-922.

[2]中华医学会血液学分会白血病淋巴瘤学组.原发性骨髓纤维化诊断与治疗中国指南(2019年版)。中华血液学杂志,2019, 40(1):1-7。

[3]徐俊卿,徐泽锋,王静雅,等。615例Ph染色体/BCR-ABL融合基因阴性骨髓增殖性肿瘤患者的症状负荷评估。中华血液学杂志,2016,37(1):26-29。

[4]徐泽锋,李冰,刘晋琴,等。 JAK2、MPL和CALR基因突变在中国原发性骨髓纤维化患者中的预后意义。中华血液学杂志,2016,37(7):576-580。

[5]LiB, Xu Z, Li Y, et al. Thedifferent prognostic impact of type-1 or type-1 like and type-2 ortype-2 like CALR mutations in patients with primary myelofibrosis.AmJ Hematol. 2016, 91:E320-321。

[6]宫跃敏,李悦,何广胜《中国实用内科杂志》2023年第43卷第1期专家论坛。