宝宝们那些奇奇怪怪的乳牙,这几种情况要及时就医!

小宝宝们乳牙萌出是成长道路上一个必经的过程,可是在这个过程中,不少细心的妈妈们发现,“咦?我家宝宝的某颗乳牙怎么看上去奇奇怪怪的呀?要紧吗?需要就医干预吗?”


的确,我平时在门诊中见过各种堪称“可可爱爱、千奇百怪”的乳牙,这其中,有些是正常现象无需干预,而有些却需要留意观察,并且及时就医。


那么,如何在缓解不必要焦虑的同时,又不耽误有问题、隐患牙齿的及时干预呢?跟着我看下去吧~



奇怪的形状



像牙又不是牙

图片
图片


刚出生的小宝宝,口腔里经常能看到一些珍珠样的小白点,摸起来硬硬的像牙齿,但长得又不太像普通的牙齿,这就是俗称的“马牙”,学名“上皮珠”,是牙齿在发育过程中残留的一些上皮组织,过一段时间会逐渐消退,一般不需要特殊处理。家长给宝宝做口腔清洁的时候可以查看小白点是否有松动情况,若有松动脱落可能,建议就诊检查评估


牙齿上有小锯齿,上辈子瓜子磕多了?

有网友晒出宝宝刚萌出的牙上有俩豁口,这是上辈子嗑瓜子嗑多了吗?


图片



哈哈哈,当然不是。牙齿上有锯齿分两种情况:


1

 融合牙;


图片


多见于乳前牙,是一种比较常见的牙齿发育异常,也就是两颗牙在发育的时候融合在了一起,萌出后可以看到两颗牙之间有缝隙,就像一个小豁口。


融合牙除了锯齿状的,还有各种各样的其他形状,比如蝴蝶状、山丘状


图片
图片


发现自家孩子有这种情况也不用太担心,平时注意把豁口部位清洁干净,融合缝比较深的可以做窝沟封闭预防龋齿。有一半的融合牙可能伴有下方继承恒牙胚的缺失,可以等孩子大一点的时候拍片进一步评估


2

生长叶;


图片
图片


刚刚替换的门牙(恒牙)末端都会有锯齿状结构,这不是发育异常,而是年轻的门牙特有的结构,是“萌新”的象征,叫做“生长叶”。


为什么成人的门牙没有锯齿状结构,看上去很平整呢?那是因为随着年龄的增长,牙齿上锯齿状的结构被磨平了。因此,新换的门牙有这种小锯齿是正常现象,无需处理


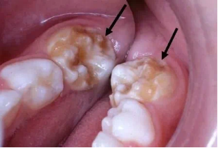
E牙专属:多长了一个尖?

有些牙齿性格比较“E”,由于个性太张扬,以至于发育的时候比正常牙齿多出了一个牙尖,门牙比较常见的是畸形舌侧尖,后牙则是畸形中央尖。


1

畸形舌尖;


图片
图片


多见于乳牙或恒牙的门牙,表现为牙齿形态呈“T”型,发现畸形舌尖建议由医生评估是否妨碍咬合,若妨碍咬合或牙尖折断则需要由医生处理


2

畸形中央尖;


图片


多见于9-10岁时替换的前磨牙,表现为牙齿中央突起的高耸牙尖,这种牙尖往往很细很高,容易折断并引起牙髓感染,因此建议在牙齿刚刚萌出时进行调磨或加固。由于家长自己很难发现和判断这种异常,因此定期看牙是非常重要的


I牙专属:畸形舌侧窝


图片


有些牙齿性格比较“I”,发育的时候牙釉质向内陷入,形成了“畸形舌侧窝”,常见于新换的上门牙内侧。


注意:畸形舌侧窝位置隐蔽,很容易藏污纳垢形成蛀牙甚至引起牙髓感染,所以建议及时发现并尽早做窝沟封闭进行预防



奇怪的数量



上腭多冒出一颗牙?

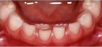
快到换牙年龄了,有些小朋友突然发现自己的上腭多冒出一颗牙,尖尖的还刮舌头,怪吓人的,带来一看,原来是多生牙。


图片


多生牙,顾名思义,就是额外多长的牙。临床上,多生牙不是什么稀罕事,每100个孩子里就有几个。能长出来的多生牙还算幸运的,事实上,相当一部分多生牙是偷偷藏在颌骨里面不吭声的,它们方向各异,很可能会影响到左邻右舍牙齿的正常萌出,因此需要引起重视,追踪观察。


既然埋在骨头里看不到,那我们怎么早期发现呢?


你猜对了,拍片!一般建议在孩子6岁左右开始换牙的时候常规拍一张全口牙片,对牙齿数目、排列、发育情况进行筛查


图片
埋伏倒置多生牙


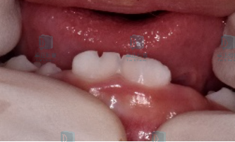
牙缝稀稀拉拉,原来是缺了几颗牙

有些小朋友牙缝很大,是因为牙齿数目不足,也就是先天缺牙。先天缺牙有遗传倾向少数情况跟全身疾病相关


图片


乳牙的先天缺牙一般不需要干预,恒牙先天缺牙如果影响咀嚼或美观,建议检查后根据具体情况决定是否需要处理。


不过并不是牙缝稀稀拉拉的小朋友都有缺牙的情况,比如大多数乳牙列都是有一些散在牙缝的,这是正常现象,家长们不必太紧张。


图片

健康的乳牙列有散在生理间隙



奇怪的颜色



奇怪的颜色分两种情况:1.牙齿本身的颜色异常;2.因为外部原因导致的牙齿颜色异常。


牙齿本身颜色异常

常见的有牙釉质发育异常、牙本质发育异常、氟斑牙等。


1

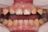
牙釉质发育不全;


图片


牙釉质发育不全的病因尚不明确,目前认为是一种多因素疾病,包括全身系统疾病、环境因素、表观遗传因素等引起的牙釉质矿化缺陷,牙釉质发育不全的孩子要做好防龋工作,对缺损较严重的牙釉质进行冠修复,成年后再根据情况进行牙齿修复


2

牙本质发育不全;


图片


牙本质发育不全是一种遗传性疾病,典型表现是牙齿呈琥珀色,容易出现广泛的磨耗、釉质剥脱,继而引起牙髓根尖周病变,因此早期发现、早期保护至关重要。如果发现孩子牙齿呈现出这种琥珀色改变,应尽早寻求专业儿童牙医的帮助。


3

氟斑牙;


图片


氟斑牙一般是由于6-7岁前体内氟摄入过量引起,多见于高氟地区人群。主要的防治措施是改良水源、改变不良饮食习惯。儿童期的氟牙症一般不需要治疗,缺损严重的部位可以局部修复,成年后可进行一些改善外观的治疗。


因外部原因导致的颜色异常

比如黑色素、黄色素、牙结石等。


图片

黑色素

图片

黄色素

图片

牙结石


这些外部原因导致的颜色异常不是牙齿本身的问题,因此可以去除。比如儿童牙齿色素可以由牙医使用特殊工具进行清洁抛光。



奇怪的队形



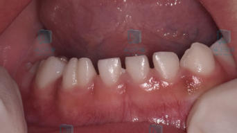
八字队形

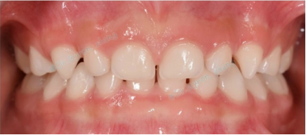
小朋友刚萌出的乳门牙或恒门牙呈“八字”形,需要干预吗?


图片


对于乳门牙的“八”字形排列,如果上下牙齿之间的咬合是正常的,一般不需要干预,这个阶段注意关注孩子是否有一些不良的口腔习惯(如吃手、啃指甲、躺着喝奶等),如果有可予以纠正,并定期复查即可;乳牙八字形并不代表恒牙也一定会八字形排列;


如果换牙后仍然呈“八字”排列,建议7岁左右进行正畸评估,一般来说单纯的“八字”排列不需要立即干预,可以等牙齿换完后再进行调整;如果合并牙弓狭窄、咬合干扰等问题则可能需要早期干预


图片


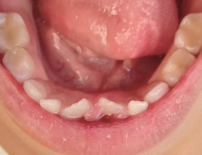
双排队形

现在很多孩子换牙的时候会出现“双排牙”:新牙和旧牙排成两排,同时出现在口腔里。这种情况叫做乳牙滞留,俗称“双排牙””,简单来说就是旧的乳牙还没来得及脱落,新的恒牙就已经迫不及待的长出来了。


图片


出现双排牙,提前拔除滞留的乳牙有利于新牙尽早的排齐,同时也便于清洁尤其是上颌的双排牙,应尽早拔除滞留乳牙,避免造成前牙反颌。因此,如果孩子出现了双排牙情况,是时候去拜访一下牙医了。


好了,以上就是临床上常见的奇奇怪怪牙齿的盘点,你还见过哪些奇奇怪怪的牙齿呢?欢迎评论区留言。


*卓正医疗最新推出儿童蛀牙自测测评量表,可以作为初步筛查工具,辅助判断是否需要进一步的专业评估或治疗。

图片

赵河川

卓正齿科医生

北京大学口腔医学院博士

| 内容团队

医学编辑/达达