探案丨肝脓肿后又肺炎,是为何因?

图片
作者:方婷婷 金文婷 马玉燕
审阅:胡必杰 潘珏
主诉:发热伴恶心呕吐、头晕头痛1周。
现病史
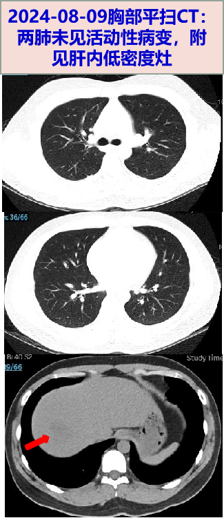
  • 2024-08-05 无诱因下出现发热,Tmax 40℃,伴畏寒寒战、头晕头痛,呕吐胃内容物1次。08-09就诊我院门诊,查WBC 18.9×109/L,N 81.9%;CRP 185mg/L;新冠、甲乙流、呼吸道合胞病毒、腺病毒、鼻病毒、肺炎支原体核酸均阴性。胸部CT平扫:未见活动性病变,附见肝右叶低密度灶。颅脑CT平扫未见异常。予左氧氟沙星0.5g抗感染,寒战高热无好转。
  • 2024-08-10 仍有寒战高热,Tmax 40.5℃。至我院门诊复诊,查WBC 15.2×109/L,N 81.9%;CRP 238.5mg/L,PCT 0.74ng/L;TB/DB 28.9/10.5μmol/L,ALT/AST 36/34U/L;D-二聚体 0.35mg/L。腹盆增强CT:肝脓肿,脂肪肝。肝脏B超: 肝右叶混合性占位,大小43*38mm—考虑脓肿形成可能。建议住院,患者拒绝。当日至急诊,考虑细菌性肝脓肿,予厄他培南 1g qd抗感染;介入B超下行经皮肝脓肿穿刺引流术,术中引流出脓血性液体(具体量不详)。08-10夜间出现剧烈呕吐1次,为胃内容物。
  • 2024-08-11 Tmax 40℃,急诊复查:WBC 10.07×109/L ,N 91.9%;CRP >90.0mg/L,PCT 4.48ng/mL;08-12改美罗培南1g q8h抗感染。08-12 仍高热,出现气急气促、咳嗽咳痰,为明确病因及进一步诊治,收入我科。
既往史:体健,无基础病。

图片

图片
  • T 38.5℃,P 92次/分,R 27次/分,BP:122/65mmHg
  • 神清,呼吸急促,两肺未闻及明显湿啰音及哮鸣音,两下肺呼吸音减低。心律齐,腹平软,右上腹见肝脓肿引流管,管中见血性脓液,全腹未及压痛、反跳痛。下肢不肿,四肢活动可。
【实验室检查】
  • 血常规:WBC 10.05×109/L,N 88.9%,Hb 133g/L,PLT 134×109/L。
  • 血气分析(鼻导管8L/min):pH 7.39,PaO2 39.9mmHg,SaO2 79.3%,PaCO2 36.26mmHg。
  • 炎症标志物:hs-CRP >90mg/L,ESR 24mm/h,PCT 3.42ng/mL;铁蛋白 811ng/mL
  • 生化:Alb 27g/L,TB/DB 19.3/12.3 μmol/L,ALT/AST 43/42U/L;Cr 82μmol/L。
  • 血氨:25 μmol/L,乳酸 2.22mmol/L
  • D-二聚体:4.37mg/L。
  • 心肌标记物:cTnT 0.078ng/mL,NT-proBNP 2503.0pg/mL
  • T-SPOT.TB:抗原A/B 0/0(阴性/阳性对照组:0/220),G试验/GM试验/隐球菌荚膜抗原、EBV-DNA、CMV-DNA阴性。
  • 甲状腺功能、自身抗体、肿瘤标志物阴性。
【辅助检查】
  • 心电图:正常心电图。
  • 心超:主动脉窦部稍增宽;右房室正常上限。
  • 肺动脉CTA(08-13 ):两下肺动脉分支远端充盈欠均;两肺炎症,两侧少量胸腔积液伴两肺部分不张。

图片
病史特点:青年男性,既往无慢性疾病基础,急性病程,发热伴恶心呕吐、头晕头痛1周余,WBC、CRP、PCT明显升高,入院前8月9日胸部CT及8月10日腹部CT:未见活动性病灶,腹部增强CT见肝脓肿,介入超声下肝脓肿穿刺引流出血性脓液,肝脓肿临床诊断明确,需进一步明确病原学诊断,继续抗感染治疗。追问病史,08-10夜间出现的呕吐较剧烈,为胃内容物,量较多,约500ml,伴呛咳,考虑呕吐后有误吸,出现明显低氧血症,8月13日肺动脉CTA发现,两下肺动脉分支远端充盈欠均、两肺炎症、两侧少量胸腔积液伴两肺部分不张,肺部病变的原因,考虑如下:
  1. 社区获得性肺炎(CAP):患者急性起病,胸部CT显示两肺炎症,应考虑CAP,常见病原体包括肺炎链球菌、肺炎支原体、呼吸道病毒等,但该患者8月9日和10日的胸部CT检查中两肺未见活动性病灶,在极短的3天时间,迅速出现并发展为两肺较广泛的炎症,不符合CAP的病程进展规律,故常见病原体引起CAP的可能性不大
  2. 吸入性肺炎:该患者病程中出现两次剧烈呕吐,量较大约500ml胃内容物,伴有明显呛咳,提示可能发生了误吸。呕吐物中含有胃液和细菌,吸入后导致化学性肺炎和继发性细菌感染。文献报道,误吸后数小时内可发生明显的低氧血症,影像学可在数小时内显示单侧或双侧肺部浸润影,本例患者快速出现的肺部炎症,病灶以后坠部位明显,甚至出现肺不张,并伴严重低氧血症,符合吸入性肺炎的临床表现和病程规律
  3. 肺动脉栓塞:低氧血症迅速加重,肺动脉CTA报告肺动脉充盈欠均,本例两肺炎症病灶需要考虑肺栓塞可能。但CTA显示两下肺动脉系分支远端的充盈欠均,与两肺病症涉及的部位和广泛程度不符合,因此肺栓塞不能合理解释肺部病灶的原因
  4. 肺水肿:肺水肿是指液体在肺泡和肺间质积聚,可能由心源性原因(如心力衰竭)或非心源性原因(如ARDS、过敏反应、药物反应)引起。表现为急性呼吸困难、低氧血症、湿罗音,影像学上见弥漫性肺部阴影。该患者出现急性低氧血症,无心脏病史或明确的肺水肿诱因(如心力衰竭、过敏反应),心超心电图未见明显异常。肺动脉CTA结果提示两肺炎症表现,可疑肺动脉栓塞,而非典型的肺水肿影像学表现。同时,急性发热和炎症标志物升高更支持感染性或合并化学性炎症原因,而不支持肺水肿。
  • 2024-08-12 予吸氧、心电监护;予美罗培南1.0g q8h抗感染;肝脓液涂片找细菌、真菌、抗酸杆菌阴性
  • 2024-08-13 仍有发热、气急气促、咳嗽咳痰,复查血气分析(鼻导管10L/min):pH 7.44,PaO2 106.7mmHg, SaO2 99.2%,氧合指数:175;考虑肺炎进展迅速、I型呼吸衰竭,予告病危、面罩+鼻塞吸氧18L/min;予美罗培南1g q8h抗感染、低分子肝素抗凝;转入重症监护室。
  • 2024-08-13 肝脓液mNGS(08-12采样):类肺炎克雷伯菌(种严格序列数 4680)。痰涂片找细菌、真菌、抗酸杆菌阴性,继续美罗培南1g q8h,加用利奈唑胺0.6g q12h抗感染。

  •  2024-08-14 复查肝脏彩超:肝右叶71*46mm低回声不均质团块-脓肿治疗后改变。
  • 2024-08-14 血mNGS(08-13采样):类肺炎克雷伯菌(核酸种严格序列数 12)。


图片

  • 2024-08-15 痰细菌培养阴性。
  • 2024-08-15 肝脓液细菌培养(08-12采样):肺炎克雷伯肺炎菌肺炎亚种1+,对受试抗菌药物均敏感。

图片

  • 2024-08-15 继续美罗培南抗感染,吸氧、抗凝、保肝等治疗。患者体温平,气急气促、咳嗽咳痰等症状较前好转。
  • 2024-08-16 随访WBC 7.82×109/L,N 47%,Hb 119g/L, PLT 193×109/L;hs-CRP >90mg/L,PCT 0.56ng/mL;Alb 42g/L, TB/DB 16.9/8.7 μmol/L,ALT/AST 307/354U/L;血氨 51 μmol/L,D-二聚体 6.06mg/L
  • 2024-08-16 肝脏B超:肝右叶54*43mm低回声不均质团块-脓肿治疗后改变。
  • 2024-08-17 血培养(08-12采样):阴性。
  • 2024-08-19 胸腹CT平扫:两下肺为著炎症及不张,较24-08-13片部分吸收,两侧少量胸水较前略吸收;肝脓肿穿刺引流术后改变。

图片

  • 2024-08-19 体温平,氧合好转;复查血气分析(吸氧3L/min):pH 7.39,PaO2 98mmHg,氧合指数:297。WBC 7.68×109/L,N 55.1%,Hb 119g/L, PLT 288×109/L;hs-CRP 25.4mg/L,PCT 0.13ng/ml;Alb 42g/L,ALT/AST 230/100 U/L;D-二聚体 4.35mg/L;炎症标志物显著下降。从ICU转回我科,抗感染降阶梯,予哌拉西林钠/他唑巴坦钠4.5g q8h抗感染。
  • 2024-08-22 双下肢深静脉B超:无殊;随访WBC 6.6×109/L,N 49.7%;ESR 11mm/h,CRP 12.5mg/L,PCT 0.05ng/mL;ALT/AST 85/29U/LD-二聚体 1.60mg;cTnT: 0.007ng/mL,NT-proBNP 33.2pg/mL。炎症指标、肝酶、D-二聚体等明显好转,体温平,气急气促、咳嗽咳痰较前好转。
  • 2024-08-23 肝脓肿引流管每日仅引流少许脓性液体,复查肝脏B超:引流管位置正常,目前病灶大小约32×27mm,较前吸收,无液性暗区。予莫西沙星片 0.4g qd口服抗感染、利伐沙班片15mg bid 抗凝出院。

出院后随访
  • 2024-08-30 体温平,精神可,无明显呼吸急促、咳嗽课题等不适,肝脓肿引流管近2天来无明显引流,SpO2 96%(不吸氧);随访WBC 6.82×109/L,N 54.7%,Hb 132g/L, PLT 262×109/L;hs-CRP 10.7mg/L,PCT 0.04ng/mL;ALT/AST 53/33 U/L;D-二聚体 0.29mg/L。
  • 2024-08-30 肝脏彩超:病灶缩小至21×20mm,较前明显吸收。胸部CT:双侧胸腔积液及两肺炎性病灶基本吸收。继续予莫西沙星片 0.4g qd口服抗感染、利伐沙班片15mg bid抗凝。告知患者可予肝脓肿引流管拔管。

图片

体温变化和抗感染方案

图片

图片
最后诊断
  1. 细菌性肝脓肿:肺炎克雷伯杆菌
  2. 两肺吸入性肺炎伴I型呼吸衰竭
  3. 肺动脉栓塞(可疑)
诊断依据

患者青年男性,既往无慢性疾病基础,本次急性病程,发热伴恶心呕吐、头晕头痛1周余,WBC、CRP、PCT明显升高,入院前胸部CT:未见活动性病灶,腹部增强CT见肝脓肿,介入超声下肝脓肿穿刺引流出血性脓液,肝脓肿临床诊断明确,完善病原学诊断为肺炎克雷伯杆菌感染,但患者呕吐后出现明显低氧血症(I型呼衰),完善肺动脉CTA:两下肺动脉分支远端充盈欠均;两肺炎症,两侧少量胸腔积液伴两肺部分不张。短期内迅速出现的肺炎和低氧血症,痰mNGS提示口腔菌群,综合患者危险因素评估、抗感染治疗反应及肺炎影像学特征变化,考虑剧烈呕吐后误吸导致的吸入性肺炎。

  1. 吸入性肺炎是由于胃液、口咽分泌物或外源性物质(如食物颗粒、矿物油等)进入下呼吸道引起的肺部感染,约占社区获得性肺炎(CAP)的5-15%,在老年患者中可高达71%。其主要类型包括化学性肺炎、细菌性感染和气道梗阻。常见病原体为口腔菌群,典型临床表现包括急性发热、咳嗽、脓性痰液和呼吸困难,严重时可出现低氧血症。影像学检查常见局部或弥漫性肺部浸润,多累及右下肺叶。该患者急性病程中剧烈呕吐后出现短期内快速进展的两肺炎症和低氧血症,痰mNGS提示口腔菌群,符合吸入性肺炎的诊断。
  2. 吸入性肺炎的高危因素有:意识水平降低(如药物、酒精、麻醉、癫痫)、吞咽困难(如神经肌肉疾病)、胃食管反流、咳嗽反射减弱(如气管插管或鼻胃管使用)、频繁呕吐、胃肠道梗阻和溺水。特别是剧烈呕吐后若未及时清理口腔和呼吸道分泌物,或呕吐后患者保持平卧位,误吸的风险显著增加。本例患者虽然为青年男性,无慢性疾病基础,但在细菌性肝脓肿可能存在全身感染引起的剧烈呕吐下,胃内容物误吸的风险显著增加,尤其是在呕吐后没有及时清除口腔和呼吸道分泌物,或患者在呕吐后保持平卧位,从而增加了误吸的风险。
  3. 预防吸入性肺炎应注重高危患者的管理,包括使用鼻胃管患者应保持头高位(30-45度),呕吐患者应侧卧位,进行定期口腔护理。对于有吞咽困难或反流风险的患者,应避免进食前使用镇静药物。在本例中,患者的预防策略应包括呕吐后及时清理呼吸道和口腔,避免平卧位,并考虑胃肠减压或使用制酸剂来减少误吸风险。
  4. 吸入性肺炎的诊断依赖于病史、临床症状和影像学表现。患者通常有误吸史,表现为急性发热、呼吸困难和低氧血症,影像学常表现为右下肺的局部或弥漫性浸润。痰培养和支气管肺泡灌洗液检查有助于确定病原体。治疗的关键在于早期使用广谱抗生素覆盖需氧和厌氧病原体,如阿莫西林/克拉维酸、氨苄西林/舒巴坦、氟喹诺酮或碳青霉烯类,必要时联合使用甲硝唑或克林霉素。治疗应根据病原学结果和临床反应调整,同时提供氧疗和支持治疗。本例患者1次呕吐误吸后短期内迅速出现两肺炎症及低氧血症,病原学检查提示口腔菌群,后续病程中未再出现呕吐误吸,经抗感染及吸氧等治疗后,快速好转,体现了及时识别吸入性肺炎并早期干预的重要性。预防措施的实施和早期诊断、治疗对于患者预后至关重要。临床经验显示,积极的支持性治疗和适时的抗感染治疗能有效改善患者的预后。
[1] Mandell LA. Niederman MS. Aspiration pneumonia [J]. N Engl J Med, 2019, 380 (7): 651663. 
[2] Ott SR, Lode H. Diagnosis and therapy of aspiration pneumonia [J]. Dtsch Med Wochenschr, 2006, 131 (12): 624- 628. 
[3] Simpson AJ, Allen JL, Chatwin M, et.al. BTS clinical statement on aspiration pneumonia. Thorax. 2023,78 (Suppl 1): s3-s21.
[4] Momosaki R. Rehabilitative management for aspiration pneumoniainelderlypatients [J]. J Gen Fam Med, 2017, 18 (1): 12-15. 

图片

图片

每周一晚
上海复旦大学附属中山医院感染病科与你不见不散!
图文:小小