杭州男子反复高烧三周,体温超过39℃!检查发现,肝脏里竟插了一根牙签

一个月前,家住杭州拱墅区的高先生遭遇了一场突如其来的健康危机。
一开始出现发热,他并没有放在心上,以为就是普通感冒,在家吃吃药很快就能好。但是三周过去了,高先生依旧反复发热,体温飙升到39℃以上,还伴有上腹部疼痛,这才慌了神,赶紧来到杭州师范大学附属医院发热门诊就诊。
经过系列检查,医生发现高先生的炎症指标非常高,已经出现脓毒血症,赶紧将他收到感染性疾病科(肝病科)进一步治疗。
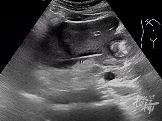
陈公英主任团队给高先生做了相应检查,最后,通过CT和B超检查发现他的肝脏竟然有一个8cmx6cm的脓肿,随后安排至超声医学科做了肝脓肿穿刺引流术。术后,高先生不适感慢慢缓解,2周后复查B超,医生竟在高先生的肝脏脓肿处发现了一根牙签
这个检查结果让所有人都深感意外。牙签是如何“长”在肝脏里面的?
高先生反复回忆,才想起一桩旧事。原来高先生有饮酒习惯,吃完饭后习惯用牙签清理牙齿。最近有一次吃完饭严重醉酒,醒来后感觉肚子不舒服,后面好转后也没当回事。很有可能就是那次误吞了牙签,牙签进入胃后又穿透了胃壁,插进肝脏从而形成了肝脓肿。当脓肿消退后,被脓液包裹着的异物(牙签)自然就显现出来了。
图片
那么,怎么将牙签取出呢?经过多学科会诊讨论,高先生转到胃肠肝胆胰脾外科,接受了腹腔镜下肝部分切除术+异物去除术,终于把体内的牙签取出来了。经过医护人员的精心护理,高先生已顺利出院。
肝脏内管道系统丰富,包括胆道系统、门脉系统、肝动静脉系统及淋巴系统,这样的结构大大增加了微生物寄生、感染的几率。肝脓肿是细菌、溶组织阿米巴原虫、真菌等微生物引起的肝脏化脓性病变,若不积极治疗,死亡率可高达10%-30%。高先生吞入的牙签刺破胃壁,导致消化道细菌的移位,从而导致肝脏脓肿。
陈公英主任提醒:大家在进食时要细嚼慢咽,不要狼吞虎咽,特别是在饮酒后也要注意,有些人喜欢叼着东西或用牙签清理牙齿,这些尖锐的物体一旦掉进肚子里,如果不能顺利排出,就可能造成胃肠道穿孔,甚至危及生命。
不小心吞入异物怎么办?异物一旦误吞到肚子里,是否能够自然排出,取决于异物的大小、形状和质地。切勿惊慌,采取用力呕吐、喝水、喝醋、吞饭、吞馒头、吞菜叶等“土办法”强行咽下或吐出异物,处理不当,异物很可能会越卡越深。
1、无毒无害、小而圆滑的异物,例如硬币、小石子等,如果被误吞,通常会在一周内通过消化道自然排出。这期间,应注意观察排便情况,如有便秘、腹痛等异常症状,应及时就医。
2、大的、尖锐的异物,如牙签、鱼骨、塑料等,可能会卡在食道、胃或肠道,导致疼痛、呕吐、出血等症状。这种情况下,应立即就医,医生可能会采用消化内镜或手术等方法取出异物。
3、有毒的异物,如电池、含铅玩具等,误吞后可能会对消化道造成化学性损伤,甚至引发中毒症状。这时,应立即就医,并尽可能提供误吞物品的详细信息,以便医生做出准确诊断和及时治疗。
无论何种情况,一旦发现异物误吞,都应保持冷静,及时就医,避免因延误治疗而导致更严重的健康问题。
来源:橙柿互动·都市快报