“肺炎”患者检出烟曲霉和肺孢子菌,积极治疗后“大白肺”反而迅速进展,如何走出被误导的困局?诊断如何“一锤定音”?

一名62岁的女性因“咳嗽、咳痰、胸闷、气短半年”就诊,尽管她按照“肺炎”治疗方案接受了治疗,但病情却逐渐加重。半月前胸部CT提示“白肺”,支气管灌洗液她感染了烟曲霉和肺孢子菌。尽管进行了抗真菌治疗,但症状没有明显好转,反而越来越严重,迅速发展为呼吸衰竭,需要高流量氧疗。在抽丝拨茧的检查中,最终确定了元凶……


辗转求医,病情依旧


半年前患者无明显诱因出现咳嗽、咳痰,咳少量白痰,不易咳出,伴活动后胸闷气短,无咯血胸痛,无发热,无心悸头晕,无周身痛,曾于当地卫生院就诊,考虑“肺炎”,予以“阿莫西林”抗感染、止咳化痰等治疗后效果不佳,1月前感咳嗽、咳白色粘痰,痰量较前增多,呈拉丝状,感气短较前加重,休息时即感气短、呼吸困难、乏力,无发热、盗汗,无胸痛、咯血,无心悸头晕,于区人民医院就诊,查胸部CT提示双肺炎性改变。NGS提示烟曲霉,序列数13;肺孢子菌,序列数:79,予以“莫西沙星”抗感染、止咳化痰等治疗后症状未见明显好转。


6月19日,患者来到了一家省级三甲医院,胸部CT显示她的双肺有大片状感染性病变,尤其是左肺下叶。肺功能检查结果显示,通气功能中重度受限,弥散功能严重下降。从一开始只是在活动后气短,现在却坐着都感到严重气短。


该患者不吸烟、不饮酒,“高血压”病史5年,血压最高180/100mmHg,口服“硝苯地平控释片”,血压控制尚可。“2型糖尿病”病史5年,口服“盐酸二甲双胍片”、“达格列净片”。无旅行史或患者接触史,不养宠物。


当地医院5.4日生化检查:


血常规、肾功、凝血功能、传染病系列、尿常规、粪便常规、肝功正常;

T-SPOT:阴性;
肿瘤标志物:CEA 5.07ng/ml;
西京医院,2024-05-07:
支气管肺泡灌洗液NGS:烟曲霉,序列数13;耶氏肺孢子菌,序列数79。
肺功能:中重度限制性通气功能障碍,弥散功能重度降低,FEV1/FVC91.48,FEV1/(预计值)52.6%。


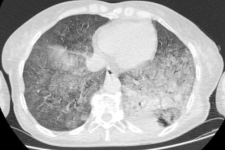
图片
图片

2024-5-2胸部CT影像


图片


初步诊断

1. 卡氏肺孢子菌肺炎

2. 曲霉菌性肺炎

3. I型呼吸衰竭

4. 高血压3级(极高危)

5. 2型糖尿病。


给予SMZ-TMP口服、伏立康唑、头孢哌酮/舒巴坦静点1月效果不佳。6月19日,患者入住西安市胸科医院就诊。


第1周:初步治疗


入院时氧饱和度仅为89%,氧合指数为145mmHg。


2024/6/19 西安市胸科医院部分检验检查:


血气分析:酸碱度7.393,二氧化碳分压34.9mmHg↓,氧分压80.3mmHg。氧合指数:145mmHg;


血常规+超敏CRP、降钙素原、血沉、肾功、电解质、葡萄糖、心肌酶谱、脑钠肽、呼吸道九联、真菌D-葡聚糖检测、内毒素鲎定量测定、半乳甘露聚糖检测、血浆D-二聚体定量检测、凝血四项、纤维蛋白(原)降解产物:大致正常;


自身抗体、血管炎抗体:阴性;


肝功:白蛋白33.4g/l↓,余指标大致正常;


肿瘤标志物:CEA 5.38 ng/ml,余指标正常; 


一般细菌涂片检查:涂片革兰染色:革兰阳性球菌2+P,涂片革兰染色:革兰阴性杆菌2+P,涂片革兰染色:革兰阴性球菌1+P,涂片革兰染色:革兰阳性杆菌1+P;


心脏B超:EF:61%,右肺动脉正常高限;主动脉瓣图像所见考虑老年退行性改变;左室舒张弛缓功能减低,收缩功能正常;彩色血流:主动脉瓣返流(少量)。二尖瓣返流(少量)。三尖瓣返流(少量)。心包探查未见明显液区,心包膜未见明显增厚;


双下肢静脉血管B超:双侧髂外静脉,双侧股总静脉,双侧股深静脉,双侧股浅静脉,双侧腘静脉,双侧胫后静脉,双侧肌间静脉,双侧大隐静脉,双侧小隐静脉,上述静脉血管内径、走形正常,管腔内清晰,静脉压缩性好,未见血栓形成。


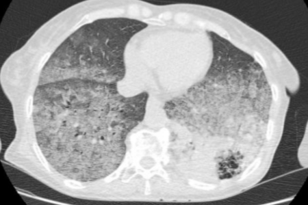
给予高流量氧疗(流量30L/min,氧浓度70%)、改用卡泊芬净进行抗真菌治疗。支气管镜检查显示,患者的气管、隆突、左肺及右肺各级支气管管腔内有大量白色稀薄痰液涌出。尽管进行了积极治疗,但一周后复查胸部CT发现,患者的双肺仍呈“大白肺”样改变,病变范围扩大,密度增加。提示不排除肺水肿可能……


图片
图片

2024-6-26胸部CT影像


图片

支气管镜下改变


第2周:疑难重重


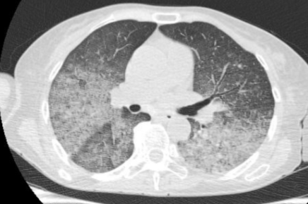
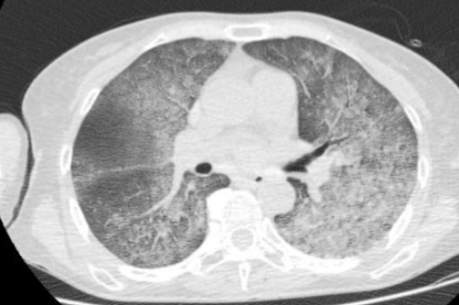
由于抗真菌治疗效果不佳,怀疑是否合并了其他病原菌感染。第二次支气管镜检查。检查发现,气管、隆突、左肺及右肺各级支气管管腔内仍有大量白色稀薄痰液涌出。支气管肺泡灌洗液二代测序报告显示近平滑念珠菌,于是加用了氟康唑进行抗真菌治疗。然而,经过一周积极治疗后,于2021年7月4日复查胸部CT显示,患者的双肺仍呈“大白肺”样改变,病变更为严重。


图片
图片

2024-7-4胸部CT影像


第3周:最终确诊


科室组织全科讨论,分析:抗感染治疗后症状无减轻、CT显示病变加重、氧合指数不升反降(氧合指数99.5),考虑:


1.感染性因素:

2.非感染性因素:
过敏性肺泡炎?
心源性肺水肿?
自身免疫相关性疾病?
肺炎型肺癌?


欲知后事如何,请看后文:


李文洁副主任医师:血常规、降钙素原、C-反应蛋白均为正常。两次支气管镜检查均未查见病毒、细菌、真菌、结核分枝杆菌,既往从未长期用过抗生素及免疫缺陷疾病,不符合感染;


张红军副主任医师:患者血常规未提示嗜酸性粒细胞增高,否认烟雾、农药、油漆或其他化工物质接触,过敏性肺泡炎不考虑;无皮疹、关节痛、结膜炎、口腔溃疡、干眼症状,双下肢无水肿,心脏彩超未提示异常,平卧位休息,无端坐呼吸和夜间阵发性呼吸困难,自身抗体阴性,心源性肺水肿、自身免疫相关性疾病可排除;


顾兴主任医师:发病过程长达半年,无发热、盗汗,未发现凝血异常或双下肢深静脉血栓,不考虑肺栓塞;阅片可见该患者双肺可见片状磨玻璃影,左肺下叶可见条片状高密度影,期内可见支气管影及边界不清类圆形透亮空洞影,该空洞无晕征、反晕征、新月征、曲霉球等表现,不符合曲霉菌感染的特点。需考虑肺炎型肺癌的可能性,可请肺穿小组评估肺穿刺活检风险性。


赵延军副主任医师:该患者虽氧合指数99,但在高流量氧疗支持下能平卧、侧卧无呼吸困难,左下肺空洞紧靠胸壁且周边无肺大疱,可与家属沟通后行经皮肺穿刺活检术,


7月10日, CT引导下的经皮肺穿刺活检,病理报告最终确诊患者患有粘液腺癌。


图片
图片

图:2024-7-10 CT引导下经皮肺穿刺、2024-7-12肺穿刺活检病理


评论:什么是肺炎型肺癌?


肺炎型肺癌是一种影像学上表现为实变、斑片或大片状模糊阴影的肺癌。它属于周围型肺癌,病理类型多见于肺腺癌,尤其是粘液腺癌。粘液腺癌是一种原发性肺腺癌的变异型,起源于细支气管壁以远的支气管与肺泡上皮,早期表现为单发结节,中后期会出现斑片状实变和磨玻璃样的肺炎影像学改变。随着粘液腺癌体量的增大和粘液的播散,临床上会有咳白痰的症状,痰液脱落细胞中可见肿瘤细胞。早期无远处转移的患者,手术治疗为首选;对于广泛转移的患者,可通过化疗、靶向或免疫治疗来抑制肿瘤生长。


该患者的经历提醒我们,在胸部CT提示双肺大片磨玻璃样渗出及大片实变影,提示“白肺”,初期的真菌检查(曲霉菌、耶氏肺孢子菌、光滑念珠菌)对医生带来很大的误导,在调整抗生素无效的情况下,一定要反复推敲、思路开阔,想到肺炎型肺癌的可能。

 

专家介绍

图片

顾兴

空军军医大学硕士生导师,曾在第四军医大学唐都医院工作近 20 年,2020 年 1 月-7 月在唐都医院呼吸与危重症医学科负责 RICU 病区,熟悉呼吸与危重症医学科各种疾病的诊治, 现任西安市胸科医院呼吸与危重症医学科主任,陕西保健学会呼吸专业委员会呼吸介入学组负责人,陕西保健学会睡眠障碍学组副主任委员,西安市医疗事故鉴定委员会专家库成员,中国肺癌防治联盟青年委员,全军呼吸内科学专业委员会介入学组委员,发表中英文论著 10 余篇,参编介入专著3部,参与主持陕西省重点研发课题 1 项,西安市科技局重大课题 1项,兼任《国际呼吸杂志》编委。


* 文章仅供医疗卫生相关从业者阅读参考


本文完

责编:Jerry


关注我们