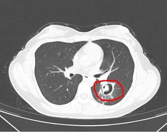
女子清理发霉衣柜后,竟查出肺部被曲霉菌感染

前不久,杭州一女子

在清理发霉衣柜后

出现了咳嗽、发热等症状

前往医院就诊

竟查出肺部被曲霉菌感染

 

图片


相关话题冲上热搜第一

引发网友广泛关注

霉菌真有这么可怕吗?

怎样防范霉菌感染?

一起了解↓


生活中霉菌比较常见

并非接触就会感染


在日常生活中,霉菌并不罕见。常见的霉菌种类包括:在空气中最常见的链格孢、枝孢,在发霉的食物中常见的青霉,以及在发霉的粮食中常见的黄曲霉,但并不是只要接触霉菌就会患上霉菌性肺炎。


大部分人机体免疫功能正常,身体会自动把霉菌清除。只有当霉菌数量过多,而且人的免疫系统功能较弱时,才容易感染。此外,易过敏人群吸入霉菌后可能引发过敏反应,引发呼吸道过敏、过敏性鼻炎甚至哮喘。


图片


霉菌喜欢潮湿、阴暗的环境。墙角、洗手池、马桶周围、木质家具、冰箱密封条、洗衣机内部、空调、长时间不用的书籍和地毯等地方,都容易滋生霉菌。


 

如何预防霉菌感染?

清洁霉菌滋生的地方,要戴好口罩,注意防护措施。

定期晾晒被褥、地毯、衣物等,定时清理发霉物品。

如木质家具等室内物品被雨水或洪水浸泡,应尽快烘干、晾干,并使用具有除霉菌功能的清洁剂。

家中注意通风、除湿,使用新风系统或空气净化器,能够帮助降低室内空气中的霉菌过敏原含量。

多锻炼、保证充足睡眠、提高自身免疫力。


△梅雨季怎样去霉菌?(央视频号:央视科教)


这些地方容易藏匿霉菌

清洁窍门学起来


正常情况下,霉菌是肉眼看不到的,如果在环境中能够看到,说明霉菌已经非常多了,要及时清洁。家中这几个地方往往容易藏匿霉菌,千万别忽视!


图片


1

卫生间


霉菌喜欢高温高湿的环境,卫生间很容易成为滋生霉菌的“重灾区”。比如台盆与墙壁的缝隙、肥皂盒、马桶底部、浴帘等地方。


清洁窍门



将漂白剂与水以1:10的比例兑成溶液,把餐巾纸在兑好的溶液里浸湿,贴在长霉菌的地方半个小时以上,然后揭开用刷子刷干净。


控制好卫生间的温度和湿度,家里是暗卫的可以加装排风扇,洗澡后要长时间开排风扇,门口最好敞开,浴帘拉开晾干。


2

冰箱门


冰箱门上的密封条塑料和乳胶部分都容易滋生霉菌,而且霉菌会播散从而污染冰箱内的食物,一定要及时清洗干净。


图片


清洁窍门



把酒精和可乐以1:1的比例兑成溶液,把吸水性强的纱布或纸缠绕在叉子上,蘸一蘸溶液,然后沿着冰箱门缝隙清除霉菌。


密封条上的霉菌及毒素不能用漂白粉擦拭,否则密封条老化后密封效果会不好,影响食物贮存。


3

洗衣机


长期使用的洗衣机内部易藏污纳垢,如果不定期清洗的话,不但洗不干净衣服,还有可能导致霉菌感染。所以洗完衣服后,建议用抹布擦干水渍,盖子打开通通风,保持内部清爽干燥,机中过滤袋时常取出晾晒干燥。


清洁窍门



如果洗衣机长久未清洗,运行时或清洗后衣物可能会闻到异味,说明洗衣机需要一次彻底地清洗消毒了。



可以选择专用洗衣机清洗消毒剂,定期清洗洗衣机内筒,保持洗衣机清洁。但要注意,按照产品说明书兑换比例,切忌随意购买消毒剂,以免腐蚀洗衣机。


方法不对等于白晒

get晒被子的正确方式


人在睡眠过程中,身体新陈代谢排出的汗液,会被被子吸收。卧室的空气通常也有一定湿度,被子在使用一段时间后,也会吸收空气中的湿气,慢慢变潮。如果卧室过于潮湿,比如恰逢南方的梅雨季节时,被子中还可能产生霉菌。


经常晒晒被子,不仅能杀菌、抑制螨虫繁殖,还能让被子蓬松柔软,恢复被子的保暖性。但晒被子也要讲究方式方法,如果没做对可能会适得其反。


1、晒被子的时间要选好


不要在清晨和黄昏时晒被子,因为这些时间段空气里的湿度很高,被子可能会越晒越湿。


图片


晾晒时间建议在10:30至14:30,这个时间段紫外线比较充足。晒完以后及时收回去,但不要马上叠起来,以免产生潮气、滋生霉菌,可以先将被子晾一下,晾凉之后再收纳。


2、晾晒频次建议每周一次


久存不用或新购被褥,用前都要进行一次晾晒,这样可以保证被子的干燥卫生。正在使用的被褥,建议每周晾晒一次即可。


3、将接触身体的那面朝向阳光


晾晒最好的方法是让被子接触身体的那面朝向阳光,一是保护被面的材质,二是被里接触人体更多,直接晒到阳光可以起到比较好的晾晒效果。


另外,不同材质的被子,晾晒的时长均不相同。收好这份被子晾晒大全↓


△不会晒被子等于白晒,别再盖“毒”被子了!(央视频号:乡村服务社)

来源 | CCTV生活圈

编辑 | 张向阳

转载须注明来源