心血管病体检,为何要查那么多项目?直接冠脉造影好不好?

对于心血管疾病的朋友,医生会建议做相关的检查,一般要从简单到复杂、从无创到有创进行。告诉您该查的项目,及检查的意义。
首先要做生化检查。抽血化验的目的,是为了寻找心血管病的危险因素,指导医生治疗的方向。如果检查发现血脂高尤其是低密度脂蛋白胆固醇高、血糖高,说明这是冠心病等心血管病的高危因素,必须积极控制好。
图片
如果检查肾功能异常,蛋白尿,肝功能异常等,那么,在造影、增强CT以及使用他汀类药物等的检查治疗时,就要充分评估安全性。
其次做心电图和心脏超声检查。心电图能够反映心肌缺血、
心律失常等情况,但也不是万能的,有的冠心病心电图完全正常,还有的心电图检查有问题,但心脏并不一定都有问题。具体要根据临床情况和医生的知识经验进行综合判断。
心脏超声检查的是心脏的大小,心脏瓣膜的情况,心肌收缩舒张的情况等。对于高血压、冠心病、心脏瓣膜病等都需要心脏超声进行评估。
图片
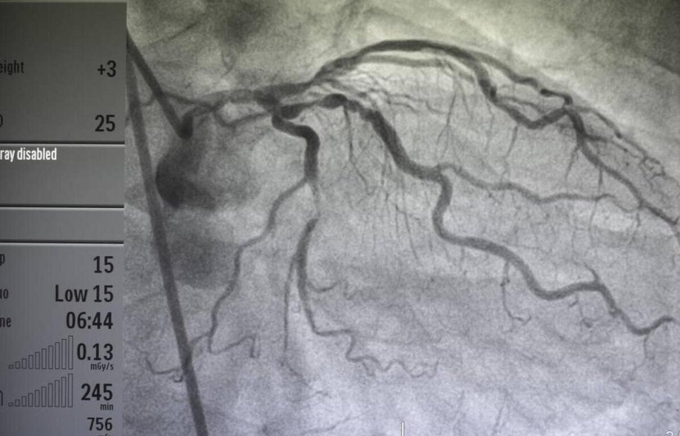
如果高度怀疑是冠心病,以上的检查都无法确诊,需要进行冠脉造影,这是冠心病诊断的“金标准”。没有前面的检查评估,也就无法进行进一步的冠脉造影检查。对于前面的检查考虑冠心病可能性较小的人,冠脉造影可能就不需要进行,毕竟这是微创检查,有一定的风险。
图片
总之,冠心病等心血管病的诊断要根据临床的表现,体征,相关的检查来明确。心脏就像我们“四室”的房子,要想看看电路通不通,有没有短路或者断路,那就检查心电图;如果想了解房间的水管通不通,那就查冠脉造影;如果想搞清楚房间结构大小以及房门开合是否正常,那就只能靠心脏超声了。#世界心脏日#
个人观点,仅供参考