知名漫画家鸟山明因急性硬膜下血肿离世,该病有哪些特点?如何预防?

硬膜下血肿是指颅内出血血液积聚在硬脑膜下腔,在颅内血肿中发生率最高。根据伤后血肿发生的时间,分为急性硬膜下血肿(伤后3天以内)、亚急性硬膜下血肿(伤后3天至3周内发生)和慢性硬膜下血肿(伤后3周以上)。
图片
急性和亚急性硬膜下血肿一般为加速性暴力引起皮质与静脉窦之间的桥静脉撕断或是脑挫裂伤皮质血管破裂引起出血,多发生在着力点的对冲部位。
急性硬膜下血肿是神经外科常见病种,常当合并其它颅脑损伤,其病情危重、进展快,若延误最佳治疗时机,则会因颅内压力急剧升高而导致患者死亡。
图片
约50%病例在受伤时,出现昏迷。然而,12%~38%的患者在急性损伤后,有一段短暂的“清醒期”,随后出现进行性神经功能下降直至昏迷。后颅凹硬膜下血肿表现出颅内压升高的症状,包括头痛、呕吐、瞳孔大小不等、吞咽困难、颅神经麻痹、颈强直和共济失调。
在某些硬膜下血肿患者中,由颅内压增高或占位效应导致的脑灌注不足,可能最终造成脑梗死。
目前大多数急性硬膜下血肿的患者都在早期采取手术治疗,但仍存在部分患者可以考虑保守治疗,比如颅内占位效应不明显、患者无明显临床症状等,对于这部分患者而言,在严密观测生命体征、意识状况等情况。
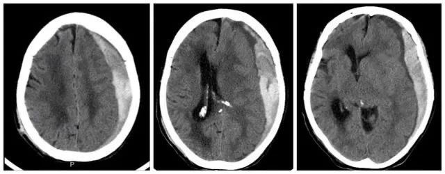
诊断硬膜下血肿最优检查是头颅CT,头颅CT很清晰的可以看到血肿量多少,中线移位情况,脑水肿情况,是否合并脑疝形成等;同时头颅CT检查速度快,经济性也挺好。
图片
如果检查出以下症状,需要尽快手术:
1.急性硬膜下血肿合并急性脑疝者;
2.急性硬膜下血肿最厚层面超过1cm者;
3.头颅CT检查中线移位超过5mm者。
急性硬膜下血肿出血量大,十分凶险,患者可能失去意识,陷入昏迷。我们要怎样预防硬膜下血肿呢?
首先,就是要避免受伤。骑车佩戴安全头盔,开车时系好安全带。行动不便的老年人出门最好有人陪同,走路也要慢一点,避免滑倒。家里光线要充足,地面不要有电线等障碍物,要避免被绊倒。浴室、卫生间等要保持干燥,避免湿滑。家中铺设防滑地板,最好在走道、楼梯及洗手间、马桶等位置安装扶手。
其次,保持健康的饮食起居。适度锻炼,晚间视线不好,最好不要出门锻炼了。
最后,在服用阿司匹林等抗血小板和抗凝药物时应遵从医嘱,这些药物可能会增加出血风险。硬膜下血肿虽然可怕,但是通过CT等现代化的检查手段可以及早发现,通过药物及手术治疗,可以有效减少并发症和后遗症,降低死亡率,提高治愈率。