肺部感染?间质性肺炎?原来是它!

作者 | 秦辉 武婉君 崔靖 冯婵婵 陈派强

单位 | 河南大学附属郑州颐和医院医学检验科








前   言


干燥综合征(Sjögrensyndrome,SS)是一种侵犯外分泌腺体尤以侵犯唾液腺和泪腺为主的慢性自身免疫性疾病。主要表现为口、眼干燥,还可出现全身症状,如乏力、低热等。部分患者可累及皮肤、关节、肺、肾、消化系统、血液系统、神经系统等,引起多器官、多系统损害,累器官中有大量淋巴细胞浸润。本病起病多隐匿,临床表现多样。本文将分享一例干燥综合征合并间质性肺炎诊疗过程。






案例经过


01
病史简介


患者,男,67岁,2022.5.24因“胸闷原因待查”收入我院心内科。主诉:间断胸闷1个月。


现病史:近1个月来无明显诱因间断出现胸闷,活动后胸闷为主,伴心悸,间断发热,体温最高38.0℃,偶有双膝关节疼痛,咳嗽、咳痰,口干;无眼干,皮疹、技工手、雷诺现象,无猖獗齿,无胸痛、咯血,为进一步治疗收入心内科。患病以来,神志清,精神尚可,胃纳、睡眠较差,大小便无殊,体重下降5kg


既往史及个人史:“高血压病”病史7年,最高血压180/100mmHg,间断口服“吲达帕胺缓释片1.5mgQd”,血压控制可。“高尿酸血症”病史12年余。12年前患“肺结核”,规范抗结核治疗后临床治愈。“颈椎病、腰椎病、枕神经痛”病史11年,曾行封闭治疗,后症状可缓解,但头痛、颈部疼痛间断发作。“胃溃疡、糜烂性胃炎”病史8年,7年前行肠镜示“肠息肉”,后行肠息肉切除术。1年半前胃镜发现胃黏膜上皮内瘤变,行内镜下粘膜剥离术。1年前行胃镜示慢性萎缩性胃炎(K-T分型O1)伴肠上皮化生;肠镜下行结肠息肉圈套器冷切除术。


02
入院检查及诊断(2022-5-24入院)


【体格检查】

T36.5℃,P 70次/分,R20次/分,BP128/80mmHg。患者神志清,皮肤黏膜未见皮疹,全身浅表淋巴结未见肿大。双肺叩诊呈清音,呼吸音粗,中、下肺可闻及Velcro啰音,未闻及干、湿罗音及胸膜摩擦音。心律齐,心前区无异常隆起及凹陷,心尖搏动不能明视,未触及心前区震颤及心包摩擦感。叩诊心脏相对浊音界无明显扩大。余未见异常。


【实验室检查】

血常规:WBC5.35×109/L,N%63.7,RBC4.02×1012/L,Hb118g/L,PLT136×109/L。


CRP:103.44mg/L↑ 血沉:50mm/h↑ PCT:0.06ng/L↑。


血清G试验:<10pg/mL  血清GM试验:0.15μg/L。


结核分枝杆菌DNA测定:阴性  结核TB-spot:阴性。


术前八项、肝肾功能、凝血功能、血糖、血脂、甲状腺功能、肿瘤标志物等均未见异常。


【辅助检查】

心脏彩超:左心增大,升主动脉内径增宽,左室松弛能力减低。

心脏冠脉CTA:LAD近段管腔轻度狭窄,中段心肌桥,LCX中远段管腔轻微狭窄。

动态心电图:窦性心律偶发房性早搏  肺功能检查:肺弥散功能中度减低。

胸部CT:双肺多发斑片影及条状影,间质性改变;主动脉及冠脉钙化,详见图1。


图片

图1 胸部CT影像学表现


【入院诊断】


1.胸闷原因待查2.高血压病3级(很高危)3.间质性肺炎?4.陈旧性肺结核5.慢性萎缩性胃炎伴肠上皮化生6结肠息肉切除术。


03
进一步检查、诊治过程和治疗反应


2022.5.26结合患者目前临床表现、实验室检查及影像学改变,考虑肺部感染可能性大;但经验性给予头孢曲松3g/qd抗感染后疗效不佳,遂请呼吸内科会诊,建议转科并尽快行气管镜等检查,排除感染性疾病可能。


2022.5.27转科后给予头孢哌酮舒巴坦钠3g/q12经验性抗感染,同时给予氨溴索、多索茶碱及法莫替丁、非那雄胺片等对症治疗。完善抗核抗体ANA、抗ENA抗体谱、ANCA两项、风湿三项、IL-6、补体C3/C4、涎液化糖链抗原KL-6、肌炎抗体谱等实验室检查等实验室检查。


后结果回报:抗核抗体ANA:阳性(核均质型,1:3200)抗Ro52抗体:阳性(>400RU/mL),KL-6结果回报:150U/mL,肌炎抗体谱:抗Ro52抗体:阳性(1:30),详见图2~5。

图2 抗核抗体ANA结果


图片

图3 抗ENA抗体谱


图片

图4 肌炎抗体谱28项结果

图5 涎液化糖链抗原KL-6结果


2023.5.28支气管镜下可见右上叶、右中叶、下叶粘膜光滑,管腔可见少量粘稠分泌物,左上叶固有支、舌叶、左下叶及背段管腔可见少量分泌物(详见图6);取肺泡灌洗液(BALF)送检涂片、培养、GM试验、结核分支杆菌xpert试验、病原微生物宏基因组测序(mNGS)、体液细胞形态学及脱落细胞学检查;行TBLB肺活检,取左上叶内基底段和左下叶内基底段沉渣送检病理。


图片

图6 支气管镜下气道情况


2022.5.29患者目前间断发热,咳嗽,咳痰,给予头孢哌酮-舒巴坦钠后体温较前下降,为加强抗感染力度,加用依替米星0.3gqd联合抗感染,给予氨溴索、多索茶碱及法莫替丁、非那雄胺片、氨基酸等对症支持治疗。邀请口腔科、眼科及风湿免疫科等多学科会诊,结合患者临床表现、实验室检查及影像学考虑舍格伦综合征(干燥综合征)可能性大,建议取唾液腺病理活检,明确诊断。


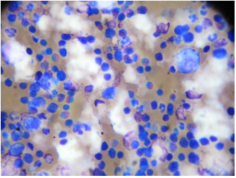
2022.5.30考虑患者目前给予抗感染治疗后体温逐渐正常,停用依替米星,给予甲波尼龙琥铂酸钠40mgqd+硫酸羟氯喹0.2gq12+免疫球蛋白2.5gqd+磺胺等联合治疗。给予补钙、抑酸等综合治疗。当日BALF细胞形态学回报:中性粒细胞32%,巨噬细胞5%,淋巴细胞40%,嗜酸性粒细胞23%,详见图3/4;涂片、培养、GM试验、结核Xpert试验及tNGS等均为阴性。


图片

图7 淋巴细胞及嗜酸性粒细胞(瑞吉染色x1000)


图片

图8 中性粒细胞及嗜酸性粒细胞(瑞吉染色x1000)


2023.5.31病理结果回报:1.左下叶内前基底段可见间质纤维化形成,肺泡间质内及腔内可见灶状淋巴细胞,个别浆细胞及嗜酸性粒细胞浸润,同质纤维化伴轻度透明变性,详见图9;2.下唇睡液腺可见唾液腺腺体部分扩张,问质内可见较多淋巴细胞灶状浸润和弥散浸润,少量嗜酸性粒细胞,考虑:干燥综合征,详见图10。


图片

图9 左下叶内前基底段病理切片结果


图片

图10 下唇唾液腺病理结果


2023.6.21患者目前无明显咳嗽、咳痰症状,活动后胸闷症状较前明显好转,无发热,病情趋于稳定,要求出院。嘱院外口服醋酸泼尼松片+硫酸羟氯喹+磺胺,同时注意补钙、抑酸及预防感染等,1月后复诊。






案例分析


本例患者为老年男性,间断出现胸闷,咳嗽,咳痰,伴心悸,间断发热,体温最高38.0℃,入院查白细胞、中性粒细胞占比均正常,CRP、血沉及PCT等升高,胸部CT示:双肺多发斑片影及条状影,间质性改变;主动脉及冠脉钙化,以“胸闷原因待查”收入我院。


综合目前资料,考虑肺部感染可能性大,但后续经验性抗感染疗效不佳。气管镜取肺泡灌洗液涂片、培养、结核xpert试验及tNGS结果均阴性,基本排除肺部感染和肺结核可能。


后进一步实验室检查示抗核抗体ANA:阳性(核均质型,1:3200)抗Ro52抗体:阳性(>400RU/mL),结合患者间断咳嗽、咳痰,活动后胸闷伴有发热,口干等症状;胸部CT示双肺外带弥漫性改变,以磨玻璃结节、实变为主等影像学改变;唾液腺病理可见淋巴细胞灶状浸润等,经验性抗感染治疗效果,最终临床诊断为“干燥综合征”。


后请风湿免疫科会诊,给予醋酸泼尼松片+硫酸羟氯喹等联合治疗,同时进行抗炎、抑酸保护胃黏膜及对症支持治疗,3周后患者症状较前明显好转,最终出院。因此在临床初始治疗效果欠佳时,实验室应积极与临床沟通,完善自身免疫相关项目,协助临床尽早明确病因。






知识拓展


干燥综合征(Sjogren’ssyndrome,SS)是一种慢性炎症性自身免疫性疾病,以侵犯泪腺、唾液腺等外分泌腺为主,典型表现为口干、眼干,还可累及肺、肾、消化系统、血液系统、神经系统等,引起全身器官受累[1]


干燥综合征的病因目前尚未完全明确,可能与遗传、病毒感染、性激素水平等有关,为多因素共同作用导致免疫功能紊乱的结果。干燥综合征不仅表现在口干、眼干等,由于外分泌腺分泌减少,细胞、组织或器官失去分泌液的濡养,进而出现猖獗性龋齿等功能障碍或病变,约50%的患者可出现龋齿,表现为牙齿逐渐变黑,继而小片脱落,最终只留残根[1]


干燥综合征起病多隐匿,大多数患者很难说出明确的起病时间;临床表现多样,病情轻重差异较大[1]。目前干燥综合征诊断广泛采用2012年美国风湿病协会提出的干燥综合征诊断标准[2],此外在诊断干燥综合征前必须除外头面部颈部放疗史、丙肝病毒感染、AIDS、结节病、淀粉样变性、移植物抗宿主病及IgG4相关疾病。


临床上经典的诊断手段是唇腺活检和自身抗体,近年来新的辅助检查方法如涎腺超声、腮腺动态显像等也被证实对诊断干燥综合征有帮助,尽管目前尚未列入干燥综合征的诊断标准,但因其安全、快速、无创性的特点,目前广泛应用于干燥综合征患者病变的评估和诊断[3,4]


原发性干燥综合征目前尚无根治方法,常用的对症治疗措施是采用涎液和泪液的替代治疗以改善口干和眼干症状、使用非甾体抗炎镇痛药减轻肌肉、关节痛、使用糖皮质激素和免疫抑制剂控制炎症反应,这些措施在一定程度上可缓解患者症状,但不能真正缓解疾病进程,且对于其他重要脏器受累的患者效果不佳[5]


原发性干燥综合征患者临床上突出的免疫学改变为高球蛋白血症和多种自身抗体阳性,其中IgG增高较其他自身免疫性疾病更多见,文献报道约50%以上的原发性干燥综合征患者有高IgG血症[6,7];而Bossini等报道60例原发性干燥综合征患者中,高IgG血症比例达72%[8]


干燥综合征具体的发病机制非常复杂,其中与一些炎性因子也有一定的相关性,例如抑制白介素6、白介素17等,通过抑制这些细胞因子可以获得病情的缓解。






案例总结


该患者病程中初始抗感染疗效不佳,临床表现无明显改善,后期症状加重,病因不明,通过气管镜取灌洗液进行涂片、培养、GM、tNGS等检测基本排除感染性因素;后通过ANA、ENA抗体谱等免疫学检测找到证据,最终结合患者临床表现,肺部影像学及病理学等诊断为干燥综合征,为后续治疗提供有力支撑。


因此,对于眼干、口干的中老年患者伴不明原因的胸闷、全身肌肉酸痛、关节痛、反复发热、乏力等症状者,尤其当抗感染疗效不理想时,应考虑干燥综合征等自身免疫病的可能性,尽早完善ANA、ENA抗体谱等自身抗体相关检查,必要时可行唇部组织活检等病理学检查。一旦出现疑似干燥综合征的相关症状者,切勿掉以轻心,及早就医,以免延误诊治,早日控制病情,将负面影响降到最低。




参考文献

[1]中华医学会风湿病学分会.干燥综合征诊断及治疗指南.中华风湿病学杂志,2010,14:766-767.

[2]ShiboskiSC, Shiboski CH. Criteria for Sjogren' s syndrome: a da-ta-driven,expert consensus approach in the Sjugren's internation-alcollaborative clinical alliance cohort [J].Arthritis CareRes,2012,64(4):475-487.

[3]张霞等.干燥综合征诊断的新方法:涎腺超声的价值被证实[J].中华内科杂志,2015,11月,54(11):975.

[4]向阳,周陆.唾液腺动态显像定量分析对原发干燥综合征的诊断及评估病变程度的临床研究[J].中国全科医学,2013,8月,16(8C):2809-2812.

[5]屈剑峰,肖卫民.以中枢神经系统受损为首发表现的干燥综合征临床分析[J].广东医学,2016,37.

[6]FoxR,HowellFV,BoneR,eta1.PrimarySjÖgren’s syndrome:clinicaland immunopathologic features.SemiArth Rheum,1984,l4:77.

[7]TalalN,ZismanE,SchurP.Renaltubular acidosis,glomerulonephritis and immunologic factors inSjÖgren’s syndrome.ArthritisRheum,1968,11:774-786.

[8]Bossini N,SavoldiS,FranceschiniF.etal.Clinicaland morphological features of kidney involvement in primary SjÖgren’ssyndrome.NephrolDia Transplant,2001,16:2328-2336.




说明:本文为原创投稿,不代表检验医学新媒体观点。转载时请注明来源及原创作者姓名和单位。




编辑:徐少卿   审校:陈雪礼