CT 上出现这些影像,其实都是肺转移瘤!

肺是肿瘤细胞的滤过器官,肺转移极为常见,是发生转移性肿瘤最多的部位。肺转移瘤典型表现为随机分布的多发边缘光滑、大小不等的球形结节(血行转移)和小叶间隔串珠状增厚(淋巴道转移)。符合上述表现的转移瘤一般认为比较典型,多能明确诊断,但临床常常遇到不典型肺转移瘤,需与其他病变鉴别。常见的不典型表现有单发肺转移、空洞性肺转移瘤、肺转移瘤并钙化或骨化、转移瘤内含气支气管征、栗粒型转移、肺炎型肺转移、转移结节周围模糊影、转移瘤并发气胸、肿瘤性动脉栓塞、支气管内膜转移等。


No.1

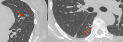
单发肺转移



无恶性肿瘤病史的患者单发肺转移的发生率很低(0.4-9.0%),有恶性肿瘤史的患者发生单发肺结节时 25-46% 为转移,且原发肿瘤多为腺癌或软组织肉瘤等。Cahan 总结 800 例肺孤立性肿物提出以下原则:原发肿瘤为鳞癌时肺内肿物多为原发,为腺癌时肺内原发和转移的概率各半,原发为软组织或骨肉瘤、黑色素瘤时肺内多为转移。CT 上单发转移瘤多数边缘光整,符合转移瘤特点,少数边缘可出现分叶、毛刺等,与原发肿瘤难以鉴别。

图片
直肠癌术后 2 年,发现右肺结节 1 周。双肺仅见 1 枚结节,穿刺活检证实为直肠癌转移。


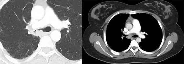
No.2

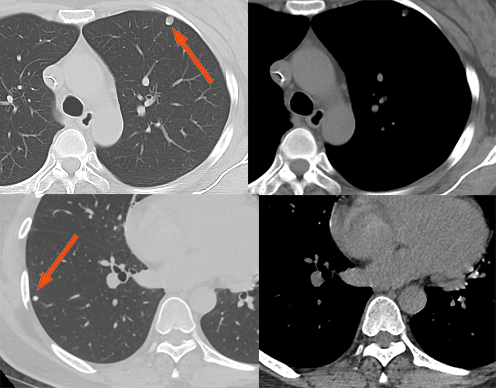
空洞性肺转移瘤



文献报道空洞型肺转移主要来自鳞癌和腺癌,鳞癌占 1/2-2/3,主要来自男性头颈部与女性生殖器肿瘤,其余为腺癌,主要来自结肠与乳腺癌。单亦有研究认为空洞性转移主要来自腺癌。其产生机制可能与鳞癌中心角化物排空、腺癌黏液样退变后黏液排空、肿瘤血供不足引起坏死、肿瘤继发脓肿、化疗、阻塞性肺气肿等有关。空洞性肺转移瘤变化快,短期内可见肿瘤增大、增多。CT 上空洞型转移结节外形上多保持了转移瘤的基本特点,即多发、圆形、边缘光整。洞壁多薄而均匀,内外壁光整,直径多 <1.0 cm,部分洞壁厚薄不均,厚壁空洞病变可随着病灶增大而出现分叶、毛刺及壁结节等恶性空洞特点,部分空洞型肺转移洞壁可菲薄(称空泡更合适)。

图片
乳腺癌空洞性肺转移。
图片
54 岁男性,肾癌病史。左肺下叶厚壁空洞性转移(穿刺证实),左肺另见不伴空洞的实性小结节转移灶。
男,63 岁。食管鳞癌术后 3 年,痰中带血丝半年。穿刺证实双肺多发空洞和空泡转移,周围磨玻璃密度是转移瘤引起出血。


No.3

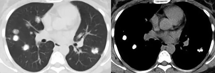
转移瘤并钙化或骨化



肺结节钙化常常提示良性,常见于肉芽肿性病变。但有些恶性肿瘤肺内转移也可发生钙化或骨化,转移瘤内的钙化或骨化可见于任何分泌黏液蛋白的腺癌,多见于骨肉瘤、软骨肉瘤、滑膜肉瘤、结肠癌、卵巢癌等。钙化机制主要包括骨形成不良、营养不良性钙化和黏液样钙化等。CT 上钙化形态可以为斑片状、结节状或弥漫分布,难与结核球、错构瘤等鉴别,但钙化结节常多发且可伴发典型转移结节。

图片
女性,31 岁。骨肉瘤病史。左肺上叶、右肺下叶转移瘤并钙化/骨化。

图片
骨肉瘤并两肺多发转移。转移瘤内可见斑片、结节状钙化。


No.4

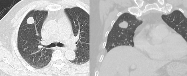
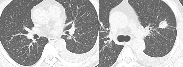
转移瘤内含气支气管征



此类肺转移多见于腺癌,癌细胞沿完整的肺泡壁及间隔生长,不破坏肺支架结构,影像学表现为含气支气管征的结节(单发或多发)、伴含气支气管征的实变、局灶或弥漫的磨玻璃密度等。
女性,55 岁。乳腺癌双肺多发转移。左肺上叶一枚转移结节内可见支气管走形。


No.5

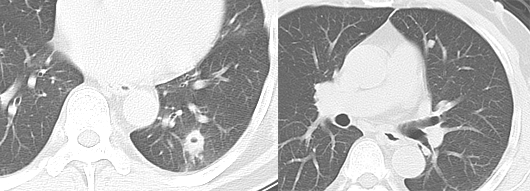
粟粒性转移



粟粒状病灶多见于甲状腺癌、肝癌、胰腺癌及绒毛膜上皮癌转移。常同时伴有纵隔淋巴结肿大及其他脏器转移。

图片
男性,45 岁。左肺上叶肺癌伴双肺粟粒性转移。


No.6

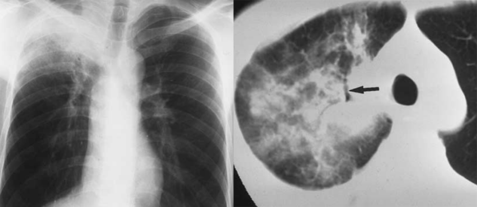
肺炎性肺转移



肺炎型的转移病灶边缘模糊不清,可局限于一肺叶或段并伴「充气支气管征」,颇似肺炎样浸润阴影,分布在肺周或肺底等。肺炎型转移特征性不大,需与肺炎区别,明确诊断须靠病理或随访。抗炎治疗无效,化疗后病灶可缩小。部分病灶发展为较大的肿块。肺炎型肺转移的产生机制可能为癌结节浸润生长,结节周围出血或伴癌周阻塞性炎症所致。

图片
男,38 岁。胃腺癌根治术后 4 年。1 年前的胸片显示右上肺片状边缘不清的病灶,怀疑结核,抗结核治疗无效。CT 显示右肺上叶实变应,周围伴磨玻璃密度,内部可见充气支气管征。穿刺活检证实。


No.7

转移结节周围模糊影



有研究认为血管肉瘤和绒癌的肺转移最易发生出血,可能因为新生血管壁脆弱而易破裂,表现为结节周围磨玻璃样密度或边缘模糊的晕(晕征),而病灶周围片状影可能代表由于较大支气管黏膜下转移而导致的阻塞性炎症。

图片
女性,52 岁。胰腺癌双肺多发转移,大部分转移结节周围可见磨玻璃密度晕征。
男,50 岁。肾透明细胞癌伴肉瘤样癌。双肺空洞型肺转移,部分周围可见「晕征」。双肺另有不伴有空洞的转移结节。


No.8

转移瘤并发气胸



肺转移瘤并发气胸罕见。多见于肉瘤特别是骨肉瘤或滑膜肉瘤肺转移,骨肉瘤病人发生气胸时应高度怀疑转移,也见于具有侵袭性和坏死特点的肉瘤样肿瘤。CT 除显示气胸外,多可显示肺内转移灶,且多在肺外围。其发生机制可能与原发肺癌引发气胸相似,即①肺表面的转移瘤液化坏死,发生穿孔,与胸膜腔相通形成气胸;②较大的支气管黏膜下转移影响气道,形成活瓣致管腔不全阻塞,远端肺泡过度膨胀破裂形成气胸。


No.9

肿瘤性动脉栓塞



肿瘤性栓塞位于血管内、无血管外增殖。增强主肺动脉或叶段肺动脉充盈缺损、增强后见强化为其特点。小动脉分支突然截断和扭曲。周围型肺动脉内瘤栓常位于胸膜下,肺动脉分支局部增粗、扭曲,可见树芽征。大量瘤细胞栓塞肺小动脉或毛细血管时可仅显示肺动脉高压征象。

图片
肉瘤样癌并肿瘤性动脉栓塞、自发性气胸。


No.10

支气管内膜转移



CT 示支气管内息肉样肿物,支气管壁增厚,管腔狭窄,可形成黏液栓、合并阻塞性肺炎或肺不张。其发生机制可能是肿瘤细胞通过淋巴或血行直接播散转移至支气管壁、淋巴结或肺实质内,肿瘤细胞沿支气管树生长并突破支气管壁形成腔内病灶。

图片
两图分别为直肠癌支气管内膜转移、软骨肉瘤支气管内膜转移。


者 | 乾坤;编辑 | 小雪球
责任编辑 | 彭龙;插图来源 | 作者提供 
题图来源 | 站酷海洛
首发|丁香园影像时间



[1] 张方石,孙英楠等. 45 例不典型肺转移瘤的影像学表现,2016,14(4):453-455.

[2] Seo JB, Im JG, et al. Atypical pulmonary metastases: spectrum of radiologic findings. Radiographics 2001,21(2):403-417.

[3]王宏菁. 不典型肺转移瘤 CT 表现 35 例分析 [J]. 中国临床实用医学, 2010,4(5):161- 162.