研究生图片造假,导师道歉!

图片
林文斌,美国北卡罗来纳大学化学与药学教授,世界著名化学家,中国科学院海外评审专家。1988年毕业于中国科学技术大学,1994年获得美国伊利洛大学博士学位。1994-1997年在美国西北大学从事博士后研究;2001年至2013年就职于美国北卡罗莱纳大学,并于2003年和2007年先后被聘任为副教授和全职教授。现就职于美国芝加哥大学,任化学教授。 同时,自2013年起,受聘于厦门大学。
林文斌教授在化学与生物化学及纳米医学方面有重要贡献,在包括Nature Chemistry,J. Am. Chem. Soc. Angew. Chem. Int. Ed,等世界顶级杂志上发表文章160余篇,文章被广泛引用,1999-2009 年度为世界前十位化学家(Top Ten Chemists)。
研究生图片造假,导师道歉!
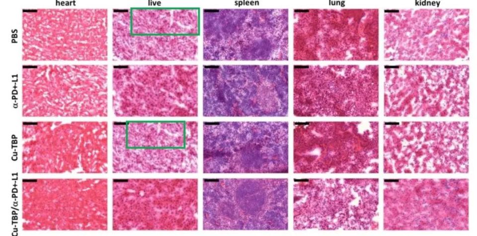
2019年6月11日,美国芝加哥大学林文斌教授课题组报道了一种新型的纳米金属有机骨架(nMOF)调控的自由基疗法。该疗法利用Cu2+催化E2诱导的CDT和光驱动的PDT,从而在具有高E2表达的小鼠模型中实现局部肿瘤控制与免疫激活,并将自由基疗法与CBI结合以协同治疗皮下黑色素瘤。基于Cu-TBP的酸响应性降解,nMOFs可以在肿瘤内有效释放Cu2+和H4TBP。其中,Cu2+催化E2代谢以产生H2O2,进而生成羟基自由基和超氧化物物质,而H4TBP介导光触发的PDT。nMOFs调控的CDT同时消耗肿瘤内E2并抑制肿瘤生长。结合抗PD-L1抗体使得nMOFs调控的自由基治疗不仅可以根除局部肿瘤,而且还可以通过同系B16F10黑色素瘤癌症模型中的全身抗肿瘤免疫来消退远处肿瘤。此外,作者还对免疫反应进行了分析,以进一步了解双重触发的基因治疗与协同CBI引起的局部效应。研究成果以题为“Nanoscale Metal-Organic Framework Mediates Radical Therapy to Enhance Cancer Immunotherapy”发表在国际著名期刊Chem上,论文第一作者为Ni Kaiyuan。。
图片
被爆图片造假
该论文的1L、2G、3D和S12中存在重复图像后,作者撤回了这篇论文。作者无法找到这些图像的原始数据,削弱了他们对这项工作完整性的信心。所有作者都同意撤回。
图片
图片
图片
图为上文重复图像案例(彩色框表示重叠部分)
不止于此
2022年2月21日,芝加哥大学林文斌教授设计了一种新型Bi-nMOF纳米放疗增敏剂(nanoradiosensitizer),它不仅能最大限度地提高局部RT-RDT的疗效,还能激活先天免疫、调节免疫原性差的肿瘤的生物力学,与CBI结合发挥协同作用,激发全身抗肿瘤免疫。研究显示,Bi-DBP介导的RT-RDT不仅可以根除局部肿瘤,还可以通过全身抗肿瘤免疫、免疫调节和肿瘤中T细胞浸润增加,使小鼠模型中的远端肿瘤消退。相关工作以“Synergistic checkpoint-blockade and radiotherapy–radiodynamic therapy via an immunomodulatory nanoscale metal–organic framework”为题发表在Nature Biomedical Engineering,论文第一作者为Ni Kaiyuan
图片
该论文随后也被爆出,图片使用不规范。据林文斌介绍,目前该技术已经在人体试验中。林文斌教授对该质疑在PubPeer上发表了5条不同的评论后,最终表示“在分析了有问题的图像并与其他作者多次会面后,我们得出结论,这些问题完全是由第一作者Kaiyuan Ni(倪开元)的不当行为引起的。”而Kaiyuan Ni(倪开元)本人对此事目前还没有作出任何回应。
图片
上文图片不规范使用案例(彩色框表示重叠部分)
截至发文前,由Kaiyuan Ni(倪开元)作为第一作者,林文斌教授作为通讯作者,还有其他多篇文章涉嫌图片问题在Pubpeer平台被质疑。
在回应Pubpeer部分评论时,林文斌表示:
我们正在对此事展开调查,并将查明此事的真相。我们将报告我们的发现并与期刊合作解决这些问题。作为这些有问题的论文的通讯作者,我为未能发现我实验室一名前研究生的潜在不当行为而道歉。
--纤维素推荐--
来源:撤稿资讯、材料人、高分子科学前沿
声明:仅代表作者个人观点,作者水平有限,如有不科学之处,请在下方留言指正!