血管介入的钥匙——心导管传奇诞生史

来源:东方创新中心
在医学领域,许多伟大的突破都是通过不懈的努力和勇敢的尝试实现的。其中,心导管检查是一项具有里程碑意义的技术的发明,它对心血管疾病的诊断和治疗产生了深远的影响。本文将讲述第一例心导管检查的故事,以及德国医生Werner Forssmann在这一重大突破中所做出的贡献。
01
一个惊人而又刺激的想法的诞生
1929年的一天,年仅25岁的福斯曼(Werner Forssmann,1904年8月29日—1979年6月1日)正不声不响地盯着天花板出神。
他是一个孤僻的人,古怪而又特别,不愿意跟别人打交道,人们永远也弄不清他到底在想什么。此时此刻,他正在为自己头脑中一个惊人而又刺激的想法激动不已。
图片
在医学院读书时,他曾读过法国生理学家伯纳德(Claude Bernard)、肖沃(Auguste Chauveau)和马雷(tienne-Jules Marey)的几部著作。书中关于动物心脏导管实验的部分让他着迷。有一副插图给他留下了很深的印象:一个人在马的颈静脉上切口后,插入手指粗细的导管,直通心脏,导管的另一端连着橡皮囊和测量装置,用于测量心脏血压的变化。
图片
几年后,那幅图仍清晰地镌刻在福斯曼的脑海中。他经常想,为什么不可以用同样的方法来测量人体心脏的指标或治疗与心脏有关的疾病?
在那个年代,心脏受了伤、出了毛病或有了缺陷的患者生存的希望很渺茫。当时的医学界对心脏持有高度敬畏的态度,认为心脏是生命的中心,是神圣不可侵犯的圣殿,触碰心脏是一种犯罪,所以几乎没有人敢做心脏手术。
另一方面,寥寥无几的医生即使敢做,但为了保证手术的成功,他们需要提前 “看到” 心脏,以准确知道心脏什么地方出了毛病。这在当时还很难做到。活人的心脏隐藏在黑暗中。有限的几种监测心脏指标的方法包括叩诊、听诊、X光检查和心电图,既不准确又几乎完全依赖于医生的个人经验。
福斯曼急切地想找到一条通往心脏的安全之路——不通过开胸手术,不需要全身麻醉,在正常生理条件下观察、测量心脏。让 “光” 照进心脏,让医生看到它,心导管似乎是最佳途径。
心导管术在马身上操作是安全的,为什么不能在人身上做?
福斯曼知道所有的静脉血都回流到心脏。静脉插管的好处是,导管是顺着血流的方向推向心脏,不会影响血流。另外,静脉瓣的单向性也便于导管深入。他反复地考虑着一个可行的方案,觉得如果在人身上做,颈静脉不适合作为插入点。没有患者希望仅仅为了诊断目的就要切开颈静脉,更别提要在脖子上留下伤疤。而且,打开任何颈部静脉都有产生空气栓塞的风险。
心导管术要想成为能被广泛应用的诊断手段,最好的选择是导管从肘弯处的静脉进入。这里的静脉也是静脉注射的首选部位。肘部静脉通往心脏的途径线路清晰、直截了当。患者把胳膊抬起来后,导管基本走的是直线。
图片
这个设想当中,导管插入是关键,因为当时普遍的观点认为,无论何种方式,只要接触到心脏都将置人于死地!深思熟虑之后,他决定对自己进行试验。
02
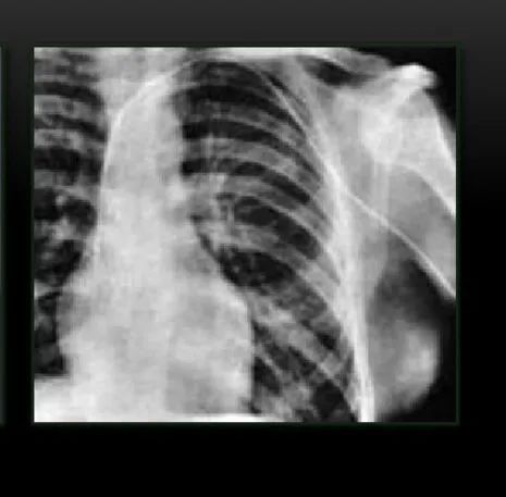
史上第一张“心脏导管”X光照片
顶着重重压力,福斯曼对自己进行了手术。局麻见效后,他划开自己肘弯皮肤,用一根动脉瘤结扎针将肘前静脉定位好,切开静脉,插入套管,再塞进导管,约35厘米。福斯曼没有感到任何疼痛,这说明血管内壁没有感觉痛觉的神经末梢。他唯一感到的是一股暖流随着导管的深入而延伸。
图片
在护士的协助下,他步行来到了楼下的放射室。要知道,导管还在福斯曼的体内呢!借助护士手持的一面镜子,福斯曼从X光机观察到导管的插入进程。
不出所料,导管已进到了肱骨头的位置。福斯曼把导管的体外部分继续往里推。导管在锁骨下静脉的上缘处碰到一些阻力。他感受到锁骨后面、脖颈底部的一团炽热。他不由自主地轻咳了几下——他后来分析那是来自对迷走神经干的刺激。福斯曼继续推导管,直至65厘米都进入了自己体内。从屏幕上看,导管的另一端已进入右心室。他马上让护士拍了X光照片,并拍下一张足以震惊世界的“心脏导管影像”!
图片
人类历史上第一张“心脏导管”的X线照片诞生!福斯曼以过人的勇气、胆识及坚强的意志完成了对人类自身的一次伟大探索!
图片
凭借自身研究所得到的体会,他撰写了题为《右心导管检查术》的论文,发表于德国主要的医学杂志上。
03
因“异想天开的荒唐行为”被解雇
福斯曼想继续在这个科研方向探索,但随之而来的,不是对他过人勇气的赞誉,也不是对他超前思维的钦佩,更不是对他用自身进行实践的嘉奖,而是同行们严厉的批评与无谓的嘲笑。
1929年11月,福斯曼的心导管论文发表了。论文得到了媒体的广泛报道,却也使他的处境变得更糟。学术界集体声讨福斯曼,批评他鲁莽,所创造的技术没有任何应用价值。而有几个学者声称福斯曼剽窃他们的通过动脉注射药物的技术,虽然他们以前发表的论文与心脏无关。
他的上司认为他所有的尝试是愚蠢的“小丑表演”,完全配不上高尚的医学事业。好心的同事则警告他:由于他所进行的实验,他可能会在牢中度过一生!
1931年4月,德国外科协会在慕尼黑召开了年会。
福斯曼将自己进行的脉管造影的初步研究成果进行了汇报。与会者反响极为冷淡,没有掌声,也没有讨论,只是漠然。
最终,福斯曼因“异想天开的荒唐行为”而遭到医院无情解雇,不得已,他放弃了自己的研究。
二战伊始,福斯曼成为了一名军医,到被捕投入战俘营之前,他已经升为军士长。1945年被释放后,他转学泌尿科,到了德国边远地区,成了一名泌尿外科医生。
04
拉开了心导管介入治疗的序幕
福斯曼在德国被冷落的研究工作,几年以后,得到了美国纽约的两位外科医生——安德烈·库南德(Andre F. Cournand,1895-1988)和迪金森·理查兹(Dickinson W.Richards,1895-1973)的极大关注。
图片
福斯曼的探索极大地启发了他们。他们积极改进并应用这项技术,来进行人体血流动力学及循环呼吸生理学方面的研究,并将诸多成果公之于众。
图片
这一突破引起了世界范围内的关注和震惊。通过导管将探测器插入到心脏内部,可以更准确地了解心脏的实际情况,包括血流情况、瓣膜功能等。这种方法为心血管疾病的诊断和治疗提供了全新的视角和依据。
Forssmann的这一发明被证明是医学史上的一个里程碑。心导管检查已经成为现代医学中不可或缺的一项技术,被广泛应用于各种心血管疾病的诊断和治疗中。它为心血管医学的发展带来了深远的影响,拯救了无数患者的生命。
1956年10月11日,福斯曼接到一个陌生的来电,让他准备一张13×18厘米的照片,并通知他获得了当年的诺贝尔生理学或医学奖。当得知自己将与两位美国学者分享诺贝尔生理学或医学奖时,福斯曼说道,“我就像个刚知道自己当上了大主教的农夫一样”。
图片
载誉归来之后,他被任命为Dusseldorf教会医院的外科主任。1954年,又被授予德国科学学会的Leibniz勋章,同年,他成为科尔多瓦、阿根廷国立大学的贵宾。1961年被聘为名誉教授。
1962年成为德国外科学会、美国胸科医师学会委员,瑞士心脏病学会、德国儿童福利会名誉委员。
福斯曼一生有6个孩子,其中一个儿子Bernd Forssmann是一名物理学家,发明了碎石器,一个微创的打碎胆囊结石的设备,每年都造福于世界上数百万计的患者。他的另一个儿子,系解剖学家Wolf-Georg Forssmann,是第一个分离心房利钠肽的学者。
这位几乎被心脏病学术圈遗忘了20多年的老兵,终于在这一荣誉到来之后,重新杀回了自己的主战场。
福斯曼开创的这一方法使无数生命获得了救治机会。
图片
1990年,为了纪念福斯曼这位现代心脏病学介入治疗的开创者之一,他当年进行自体试验的奥古斯特-维多利亚医院更名为沃纳·福斯曼医院(Werner Forssmann Krankenhaus)。
他的女儿雷娜特曾访问过这家医院,父亲当年进行操作的那间手术室和X线室仍在使用。
图片
雷娜特想象着父亲的静脉中带着那根插管的情景,一步一步从那间手术室走向楼下的X线室,那是一种怎样不可思议的经历啊!
图片
黑格尔说过:“要是没有热情,世界上任何伟大事业都不会成功。”
是的,正是福斯曼的创举,拉开了人类心导管介入治疗的序幕……