原发性胆汁性胆管炎合并Evans综合征一例

前言
原发性胆汁性胆管炎(primary biliary cholangitis,PBC)是一种以肝脏小胆管为主要靶器官的慢性进展性自身免疫性胆汁淤积性疾病,主要病理改变为小胆管非化脓性炎症,最终导致肝纤维化及肝硬化。
Evans综合征(Evans syndrome,ES)是一种罕见的疾病,系血细胞特异性自身抗体引起红细胞和血小板破坏增加,其特征是同时或连续发生自身免疫性溶血性贫血(AIHA)和原发免疫性血小板减少症(ITP)。ES可以是原发或者其他疾病继发,研究表明,ES的年发病率为1.8/100万,患病率为21.3/100万[1]。
临床上,PBC并发ES病例相对罕见。本文就一位74岁老年男性患者PBC合并ES进行分享。
病例经过
一名74岁老年男性患者,3个月前无意中发现四肢皮肤瘀斑,无齿龈出血和鼻衄,后皮肤瘀斑自行消退;2个月前患者出现消瘦;2天前体检,肝功能提示总胆红素升高、以间接胆红素升高为主,为系统诊治来我院,6月9日收入院。
查体:一般状态可,神志清楚,贫血外观,皮肤黏膜无出血点及瘀斑,浅表淋巴结无肿大,巩膜黄染,肝脾未触及,双下肢无浮肿。
6月9日入院检查血常规:
图片
6月9日胆红质测定:
图片
6月10日网织红细胞测定:
图片
6月10日自身抗体检测:
图片
6月10日肝功五项测定:
图片
6月11日CD55、CD59检测报告单:
图片
红细胞、粒细胞表面:CD55、CD59抗原表达均正常。flaer检测报告单:
图片
直接抗人球蛋白试验:
图片
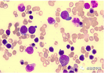
骨髓形态学检查(如下图):
图片
增生明显活跃,G=38.0%、E=54.5%、G/E=0.7:1。粒系比例偏低,各阶段粒细胞比例无明显异常。红系比例明显增高,以中晚幼红为主,可见巨幼变、H-J小体,成熟红细胞大小轻度不等,易见嗜多色性红细胞。全片共见巨核45个,分类25个,其中颗粒巨21个、产板巨4个,血小板散在分布。
意见:符合增生性贫血伴巨核细胞成熟障碍骨髓象,请结合临床做溶血相关检测。 
骨髓活检结果:
图片
病例检查及治疗经过
2022年
6月9日,贫血及血小板减少原因待查入院;
6月10日,血常规结果提示大细胞性贫血及血小板减少,间接胆红素增高,网织红细胞百分比23.09%,高度怀疑溶血性贫血;
6月10日,输注血小板及红细胞2U预防脏器出血;
6月13日,输血小板预防出血;
6月14日,临床诊断:Evans综合征、原发性胆汁性胆管炎?
6月15日,开始应用糖皮质激素治疗;
6月17日,输注血小板预防出血;
6月23日,出院,规律口服醋酸泼尼松片,门诊随诊。
图片
图片
图片
图片
左右滑动查看更多
2023年7月第二次入院诊治情况
7月26日,双下肢酸胀不适,血小板15*109/L入院;
7月31日,临床诊断:Evans综合征、原发性胆汁性胆管炎、新冠病毒感染;
8月01日;输注血小板,口服醋酸泼尼松;
8月04日,输注血小板治疗;
8月13日,新冠病毒核酸仍为阳性,CT值有所升高;
8月15日,患者出院。
2023年第二次入院检查:
图片
图片
图片
左右滑动查看更多
病例分析
Evans综合征是一种自身免疫性疾病,其特征是同时或连续发生AIHA和ITP,伴有或不伴有中性粒细胞减少症[2]。它可以是特发性的,也可继发于自身免疫病或恶性肿瘤等疾病。
本例患者以皮肤瘀斑、消瘦、活动后胸闷气短起病,血常规提示大细胞性贫血及血小板减少,间接胆红素增高,临床上高度怀疑溶血性贫血。抗人球蛋白试验显示直接抗人球蛋白IgG阳性、直接抗人球蛋白C3弱阳性,支持AIHA诊断。
骨髓活检诊断意见:考虑为骨髓增生性贫血病理改变;不除外ITP病理改变,结合临床。流式细胞术检测气单胞菌溶素前体变异体(flaer)阴性细胞占单核细胞比例0.01%,占粒细胞比例0.01%,红细胞CD55 99%、CD59 99%,粒细胞CD55 99%、CD59 99%,排除骨髓增生异常综合征和阵发性睡眠性血红蛋白尿诊断。
同时患者合并免疫性血小板减少,Evans综合征诊断成立。ES患者均有不同程度的贫血症状,85%患者有出血,主要为皮肤黏膜出血,严重者有内脏出血。
PBC也是一种自身免疫性疾病,其特征是抗线粒体抗体阳性和小胆管的特异性损伤。该病进展缓慢,自然病程大致分为4个阶段:
临床前期:此阶段可能仅有AMA等自身抗体阳性,无血清生物化学指标异常,该阶段通常持续10年以上;
无症状期:主要表现为生物化学指标异常,无明显临床症状,该阶段约5-10年;
此后会到达症状期,出现乏力、瘙痒等临床表现,5-8年进展为肝硬化;
最后阶段为失代偿期[3]。
PBC的诊断需依据生物化学、免疫学、影像学及组织学检查进行综合评估,满足以下3条标准中的2条即可诊断:
存在胆汁淤积的生物化学证据(主要是ALP和GGT升高),且影像学检查排除了肝外或肝内大胆管梗阻;
AMA / AMA - M2阳性,或其他PBC特异性自身抗体(抗gp210抗体、抗sp100抗体)阳性;
肝活检有非化脓性破坏性胆管炎和小胆管破坏的组织学证据[4]。
患者2022年第一次入院时,自身免疫肝病抗体:抗线粒体抗体AMA - M2 +++、AMA - M2 3E+++、r-谷氨酰基转移酶GGT 41.0 U/L(10.0-60.0)和碱性磷酸酶 107U/L(45-125)正常。2023年第二次入院后,碱性磷酸酶 189U/L(45-125)高于正常值。
溯源患者血液检测结果,2016年,该患者血常规检测RBC、HGB、PLT、WBC正常范围,r-GGT 82.2U/L(10.0-60.0)升高,抗线粒体抗体阳性。按照《原发性胆汁性胆管炎的诊断和治疗指南》推荐,排除肝内外大胆管梗阻,与其它肝脏本身的疾病如病毒性肝炎、自身免疫性肝炎、药物性肝损害、肝功能衰竭、酒精性肝病等伴有肝功能异常同时合并AMA阳性情况相鉴别[5],符合PBC的诊断,但患者未进行服用UDCA治疗。
本例老年患者在PBC的慢性病程中合并了ES。患者于2022年入院治疗好转,给予应用泼尼松片,后逐渐减量后停药,此后院外定期复查血常规。在2023年因血小板减低,下肢酸胀不适入院,血小板出现波动,患者经抗病毒治疗后血小板上升。
在与ES相关的自身免疫性疾病中,SLE报道最多。ES的病理生理学仍然未知,PBC合并Evans综合征的发病机制尚不清楚,但原发性Evans综合征的体液和细胞免疫异常似乎都参与了其起源。在PBC患者中经常检测到血小板抗体,这表明免疫失调和自身抗体的发展似乎起着主要作用。有学者认为血小板糖蛋白复合物和线粒体M2抗原的氨基酸序列相似可能在免疫失调和免疫性血小板减少症中发挥作用[6]。
知识拓展
Evans综合征是一种罕见的自身免疫性疾病,同时或连续发生AIHA和ITP,据统计会发生在7%的AIHA和3%的ITP病例中,发病平均年龄55±33岁,以女性为主[7]。大约一半的Evans综合征病例是特发性的,但另一半是继发于其他系统性疾病或恶性肿瘤。18%的病例与自身免疫性疾病相关[8]。诊断程序必须排除鉴别诊断,如血栓性微血管病、ITP并发出血引起的贫血、维生素缺乏、骨髓增生异常综合征、阵发性夜间血红蛋白尿或妊娠期间发生的HELLP综合征等特定情况[9]。
AIHA是由于机体免疫功能异常,导致B细胞功能亢进,产生针对自身红细胞的抗体,红细胞吸附自身抗体和(或)补体,致使红细胞破坏加速、寿命缩短的一组溶血性贫血。AIHA的诊断依据以下标准:
血红蛋白水平达贫血标准;
血结合珠蛋白降低(<250mg/L),血总胆红素升高(≥17.1umol/L,以非结合胆红素升高为主),血乳酸脱氢酶升高,网织红细胞百分比>4%或绝对值>120*109/L;
部分可检测到红细胞自身抗体[10]。
有病例报道,18名患者的AIHA发生在PBC诊断之后,这种情况表明这两种疾病之间可能存在联系[11]。
AIHA是在PBC的基础上发生的,AIHA的逆转和PBC肝功能的改善与免疫抑制剂的使用同时发生,二者都是已知的免疫介导的疾病,因此,我们可以称之为PBC相关的AIHA[12]。推荐治疗方法包括足够剂量的皮质类固醇以及控制急性期的溶血,以及足够剂量的UDCA以维持治疗。
根据国内外文献报道,ES的治疗推荐皮质类固醇或静脉注射免疫球蛋白作为一线治疗;二线治疗为免疫抑制剂及脾切除等;存在感染者,应积极进行抗感染治疗;严重出血或溶血者,可输入洗涤红细胞或血小板,以改善病情。本病成人疗效较差,病情反复呈慢性病程,并且可以产生耐药。
案例总结
患者老年男性,因皮肤瘀斑、消瘦来诊,血液检查发现红细胞,血红蛋白减低、胆红素增高(间接胆红素增高为主)、血小板减低,高度怀疑AIHA和ITP。后继回报的结果,直接Coombs试验阳性、网织红细胞增高、骨髓形态学及活检显示增生性贫血骨髓象,诊断为Evans综合征。
患者既往存在抗AMA - M2抗体+++、AMA - M2 - 3E+++,最后诊断为PBC合并Evans。Evans综合征患者的病情具有迁延、反复、不易彻底治愈的特征。主要临床症状是溶血的表现和血小板减少的表现,包括贫血、黄疸、皮肤黏膜出血等。通过实验室与临床积极沟通,检验医师对结果综合分析,助力临床对疾病的诊断,更多让患者受益。
专家点评
李云  主任医师  大庆油田总医院血液内科主任
本案例为一名74岁老年男性患者,以皮肤瘀斑及消瘦入院,通过一系列检查及检验科与临床的积极沟通,最后确诊为原发性胆汁性胆管炎合并Evans综合征。
Evans综合征是免疫因素造成的自身免疫性溶血性贫血和血小板减少,患者血清中抗红细胞抗体及抗血小板抗体,其诊断需综合临床和实验室等相关检查,在除外其他溶血性贫血及继发性血小板减少后,符合诊断标准即可诊断。确切的病因及发病机制尚未明确,可能与免疫失调有关。本病病例少见,值得分享。
【参考文献】
[1]Hansen DL, Moller S, Andersen K, et al. Evans syndrome in adults - incidence,prevalence, and survival in a nationwide cohort. Am J Hematol. 2019;94(10):1081e1090.
[2]Michel M, Chanet V, Dechartres A, et al.: The spectrum of Evans syndrome in adults: new insight into the disease based on the analysis of 68 cases. Blood. 2009, 114:3167-72. 10.1182/blood-2009-04-215368.
[3]张奉春,王立,帅宗文,等.原发性胆汁性胆管炎诊疗规范(2021)[J].中华内科杂志, 2021,60(8):709-715.DOI:10.3760/cma.j.cn112138-20210520-00360.
[4]中华医学会肝病学分会.原发性胆汁性胆管炎的诊断和治疗指南(2021)[J].中华内科杂,2021,60(12):1024-1037.DOI:10.3760/cma.j.cn112138-20211112-00794.
[5]Duan W, Chen S, Li S, Lv T, Li B, Wang X,Wang Y, Zhao X, Ma H, Ou X, You H, Jia J. The future risk of primary biliary cholangitis (PBC) is low among patients with incidental antimitochondrial antibodies but without baseline PBC. Hepatol Commun. 2022 Nov;6(11):3112-3119.
[6]Panzer S, Penner E, Nelson PJ, Benda H, Saurugger PN. Identififi- cation of the platelet glycoprotein IIb/IIIa complex as a target antigen in primary biliary cirrhosis-associated autoimmune thrombocytopenia. Evidence that platelet-reactive autoantibodies can also bind to the mitochondrial antigen M2. J Autoimmun 1990;3:473—83.
[7]Evans RS, Takahashi K, Duane RT, Payne R, Liu C: Primary thrombocytopenic purpura and acquired hemolytic anemia; evidence for a common etiology. AMA Arch Intern Med. 1951, 87:48-65.10.1001/archinte.1951.03810010058005.
[8]Hansen DL, Möller S, Andersen K, Gaist D, Frederiksen H: Evans syndrome in adults - incidence, prevalence,and survival in a nationwide cohort. Am J Hematol. 2019, 94:1081-90. 10.1002/ajh.25574.
[9]Audia S, Grienay N, Mounier M, Michel M, Bonnotte B: Evans' syndrome: from diagnosis to treatment. J Clin Med. 2020, 9:3851. 10.3390/jcm9123851
[10]中华医学会血液学分会红细胞疾病(贫血)学组. 中国成人自身免疫性溶血性贫血诊疗指南(2023年版)[J]. 中华血液学杂志,2023,44(01):12-18.
[11]Yu Tian Chi Wang, et al. Primary Biliary Cirrhosis-Related Autoimmune Hemolytic Anemia:Three Case Reports and Review of the Literature.Yu Tian Chi Wang Jian-Xiang Liu Hua-Hong Wang.Case Rep Gastroenterol 2009;3:240–247 DOI: 10.1159/000229189  
[12]Packman CH, Leddy JP: Aquired hemolytic anemia due to warm-reacting autoantibodies (chapter 64); in Bentler E, Lichtman MA, Coller BS, Kipps TJ (eds): Williams Hematology, ed 5. McGraw-Hill Health Professions Division, New York, 1995,pp 677–685.
转自:检验医学网