病例共读丨一例罕见播散性隐球菌病伴肺部弥漫性空洞结节

图片
编者按:播散性隐球菌感染特别容易发生在免疫抑制的宿主中,但较少报道表现为弥漫性空洞性肺结节的肺隐球菌病(PC)。我国福建中医药大学附属人民医院呼吸内科黄进宝等人在BMC Pulmonary Medicine杂志报告了1名免疫抑制患者感染播散性隐球菌且肺部出现弥漫性空洞结节的罕见病例,该患者经抗真菌治疗成功改善临床和胸部影像学表现[1]。《感染医线》特此整理报道,供读者学习参考。
图片DOI: 10.1186/s12890-023-02332-8
隐球菌病是一种侵袭性真菌感染,由一种普遍存在的具有肺部入口的病原体引起[2]。其在免疫功能受损的宿主中更常见;因此,主要诱发因素之一是人类免疫缺陷病毒(HIV)感染[3]。增加感染风险的其他因素包括恶性肿瘤的化疗和放疗、长期接受免疫抑制剂或皮质类固醇治疗、严重糖尿病、肝硬化、透析治疗的慢性肾脏病和其他免疫缺陷疾病[4,5]。播散性隐球菌感染尤其容易发生在免疫抑制的宿主中。
01 病例介绍
该名16岁女孩因干咳、发热、发冷和疲劳持续10天入院。没有发现头痛、恶心、呕吐或盗汗等其他症状。患者身高165 cm,体重67 kg。有卵黄囊瘤病史,为此接受子宫和双侧附件切除术及术后抗肿瘤化疗。此外,患者有特发性血小板减少性紫癜病史,接受了长期皮质类固醇治疗。入院前,患者在当地社区医院接受了头孢哌酮-舒巴坦钠治疗疑似肺炎一周,但病情未改善。
体格检查显示肥胖、满月脸和皮肤多处暗红色瘀伤。胸部听诊显示双肺呼吸音减弱,但没有干湿啰音。病理反射和脑膜刺激征均为阴性。除超敏C反应蛋白水平升高和白细胞计数异常(13.7×109/L,正常范围:4.0~10.0×109/L)外,其他血液和生化分析并无显著差异。外周血动态监测显示淋巴细胞从1.0×109/L逐渐减少至0.7×109/L(正常范围:0.8~4.0×109/L)。血清肿瘤标志物也无明显异常,HIV抗体检测呈阴性。动脉血气分析:酸碱度为7.466;动脉血氧分压为70.1 mmHg(9.3 kPa);动脉血二氧化碳分压为35.3 mmHg(4.7 kPa);动脉血氧饱和度为95.0%。
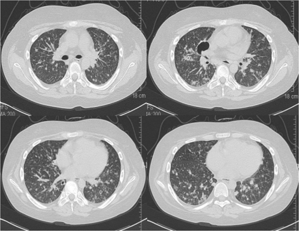
胸部计算机断层扫描(CT)显示肺部弥漫性微结节和小结节,伴有多个不同大小的空洞,右侧肺门有2.5×3.5 cm大小的局灶性厚壁空洞病变(图1)。纵隔内观察到直径<1.5 cm的小淋巴结病。腹部CT和腹部超声扫描均显示脂肪肝和左肾结石。脑部增强CT扫描未发现任何异常。
图片图1. 胸部CT显示右中叶有2.5 cm×3.5 cm大小的厚壁空洞病变,双肺均有弥漫性小结节和空洞[1]
主要诊断为不确定的肺结节,可能是恶性的,如原发性肺癌或转移性肿瘤,或良性病变,如播散性肺结核或细菌性肺脓肿。随后进行支气管镜检查,但支气管肺泡灌洗液(BALF)结果显示细菌、真菌和分枝杆菌均呈阴性。经支气管肺活检(TBLB)结果也未发现明显异常。黄进宝等人用利奈唑胺对血源性肺脓肿进行了经验性治疗。然而,发烧持续存在,主要表现为下午发烧。
由于临床上可能存在血源性播散性肺结核,容易并发结核性脑膜炎,因此后来进行了腰椎穿刺。脑脊液(CSF)分析显示颅内压为160 mmH2O(正常范围:70~180 mmH2O),蛋白质为458.3 mg/L,葡萄糖为3.1 mmol/L,氯化物为115.4 mmol/L。脑脊液检测显示细菌和抗酸杆菌呈阴性,而用印度墨水染色的CSF检测显示新生隐球菌呈阳性(图2)。通过sabouraud琼脂平板培养基进行的血液、骨髓和CSF培养的进一步结果也显示新生隐球菌呈阳性。
图片图2. 印度墨水染色的CSF检测呈典型的透明厚隐球菌孢子囊[1]
患者血液、骨髓和脑脊液培养中均发现隐球菌。因此,患者被诊断为播散性隐球菌感染,涉及双肺(PC)、骨髓(隐球菌性骨髓炎)、血液(隐球菌性败血症)和脑组织(隐球菌性脑膜炎),并停止使用上述药物。
为减少药物不良反应(肾功能、胃肠道反应等),患者首先接受静脉注射氟康唑(大扶康®)400 mg qd(起始剂量800 mg)和5-氟胞嘧啶150 mg qid(100 mg·kg-1·d-1)。治疗一周后,她的体温和发烧持续时间逐渐下降。然而,重复的脑脊液检测和血培养对新生隐球菌持续呈阳性。同时还观察到脑膜刺激和病理反射的迹象。重复胸部CT扫描显示双肺空洞病变扩大。
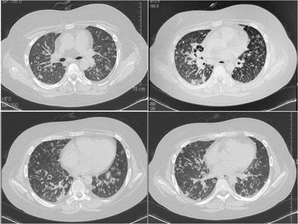
由于细菌含量高且传播范围广,因此给予两性霉素B脂质体(安必素®)60 mg qd(1 mg·kg-1·d-1)补充治疗,3天后患者发烧终于消失。经过10周的治疗,患者的症状消失了,随访的CT扫描显示双肺病变吸收明显,右中叶空洞病变明显改善(图3)。
图片图3. 治疗10周后,重复胸部CT显示病变吸收明显[1]
因病情稳定,患者被转移至当地社区医院继续治疗。出院5个月后,通过电话获取了相关的患者随访信息。数据显示,在随后用氟康唑治疗后,CSF标本显示新生隐球菌呈阴性,胸部CT图像显示隐球菌病变明显吸收且空腔闭合。
02 病例点评
播散性隐球菌病多见于免疫抑制患者,由于吸入气溶胶隐球菌感染,肺部常受累。在该病例中,患者因卵黄囊瘤相关治疗以及特发性血小板减少性紫癜的长期皮质类固醇治疗而受到免疫抑制。此外,观察到淋巴细胞减少,表明患者存在免疫力下降。
患者发病后仅表现干咳、高热、寒战和乏力,未发现头痛、恶心、呕吐、脑膜刺激和病理体征等症状,这可能是由于处于疾病早期,入院时没有颅内高压(仅160 mmH2O)。胸部CT扫描显示右肺门肿块伴弥漫性肺结节,双肺有空洞。考虑到患者的癌症和免疫抑制病史,入院时应考虑肺转移和肺部感染性疾病(肺结核和肺脓肿);因此,进行了支气管镜检查。然而,BALF的细菌检查为阴性,TBLB的病理检查也无明显异常。血清肿瘤标志物也呈阴性,抗菌药物经验性治疗无效。以上所有结果均不支持细菌性肺脓肿或肺恶性肿瘤。
即便如此,由于患者表现为干咳和下午发热,并伴有双肺弥漫性结节性病变,不能排除血源性播散性肺结核。由于这类结核病容易并发结核性脑膜炎,因此进行了脑脊液检测,结果为新生隐球菌阳性。这为隐球菌性脑膜炎提供了明确的诊断。
此外,由于下呼吸道标本(痰液和BALF)中隐球菌的检出率较低,大多数病例中肺隐球菌病的诊断仍主要依赖于肺组织的病理活检。遗憾的是,该患者未发现TBLB阳性结果,无法及时诊断为PC。虽然支气管镜检查对PC的诊断没有帮助,但仍然有助于区分肺结核、肺脓肿和肺部肿瘤。
PC的胸部影像学表现多种多样,包括结节和肿块、实变、胸腔积液等,最常见的影像学表现为单个或多个结节。PC可表现为肺内空洞,发病率为11.0%~34.6%[11,12,13],但双侧弥漫性空洞结节罕见。本病例胸部CT显示随机分布的弥漫性结节,与隐球菌气道内播散的常见影像学特征不同,与肺血源性传播一致。
此外,患者有恶性肿瘤和潜在免疫抑制疾病病史,很容易与其他疾病混淆,例如血源性播散性肺结核、肺转移和血源性肺脓肿。虽然播散性隐球菌病的肺部受累通常是由吸入气溶胶隐球菌引起的,但肺部可被血液中携带的隐球菌再次感染。在这种情况下,隐球菌感染涉及血液,PC被认为是由隐球菌在肺部的血源性传播引起的。
该病例的临床表现和胸部影像学特征均缺乏特异性,因此,很难做出明确的诊断。也因为非典型临床表现和罕见的PC胸部CT表现,类似播散性隐球菌感染患者很容易被误诊。所以有必要使用多种方法深入剖析以明确诊断。
该患者进行了支气管镜检查、血培养、骨髓和脑脊液检查。患者脑脊液染色和培养以及血液和骨髓培养检测均显示新生隐球菌阳性。患者经过10周的两性霉素B脂质体抗真菌治疗,观察到临床和胸部影像学表现的改善。
患者最终诊断为播散性隐球菌感染伴PC、隐球菌性脑膜炎、隐球菌性骨髓炎和隐球菌性脓毒症,并经抗真菌治疗实现了治愈。该例罕见播散性隐球菌病的成功救治,为临床相似病例的诊疗提供了宝贵的参考。
参考文献
[1] Huang J, Li H, Lan C, et al. Disseminated cryptococcal infection with pulmonary involvement presenting as diffuse cavitary nodules in an immunocompromised patient: a case report. BMC Pulm Med. 2023 Jan 27;23(1):38. doi: 10.1186/s12890-023-02332-8.
[2] Severo CB, Bruno RM, Oliveira Fde M, et al. A case of miliary pulmonary cryptococcosis and review of literature. Mycopathologia. 2015;179:313–5.
[3] Jarvis JN, Dromer F, Harrison TS, et al. Managing cryptococcosis in the immunocompromised host. Curr Opin Infect Dis. 2008;21:596–603.
[4] Wang JL, Li SY, Luo YF, et al. Changes of Th1/Th2 cytokines in immunocompetent patients with pulmonary cryptococcosis. Genet Mol Res. 2013;12:5733–42.
[5] Xie J, Ge Y, Qiu ZF, et al. Immunophenotype of peripheral lymphocytes in HIV-negative patients with cryptococcal meningitis. Chin J Mycol. 2017;12:262–7.