左前臂肿物,呈低回声,你考虑什么?

图片

病例回顾

患者严 XX ,男, 28 岁,以「 发现左前臂肿物 1 月余 」为主诉就诊,来我科行浅表超声检查。

查体

左侧前臂触及一肿物,大小约 2.0cm×1.0cm ,局部皮肤无红肿,无疼痛,无破溃,浅表静脉无曲张,边界清楚,质软,表面光滑,无明显压痛。

超声所见

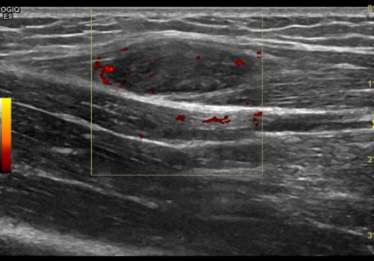
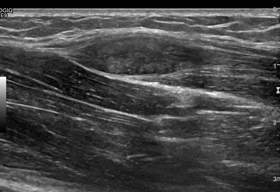
左侧前臂肌层可见低回声结节,大小约 2.3cm×0.8cm ,呈梭形,边界清楚,形态规则,回声欠均匀,可见少许血流信号(见图 1-2 )。

超声提示

左侧前臂肌层低回声结节,神经鞘瘤?肌间血管瘤?请结合其他检查。

图片
图 1 肿物二维声像图

图片
图 2 肿物能量多普勒图

术后病理

(左上臂肿物)梭形细胞病变,考虑为结节性筋膜炎。

病例讨论

结节性筋膜炎是 1955 年由美国病理学家 Kouwaker 首次提出的,是筋膜成纤维细胞瘤样增生性的一种良性疾病,具有自限性。

1、 发病原因

病因不明,有学者认为结节性筋膜炎的发生与局部损伤或感染有关;妊娠有可能是结节性筋膜炎的危险因素,有研究表明结节性筋膜炎内有雌激素受体的表达。

2、 流行病学

可发生于任何年龄,但多见于 20-40 岁的中青年人;发病率无性别、种族及地域的差异性。

常见发病部位在四肢及躯干皮下筋膜,尤其是上肢前臂,肌肉及实质性的脏器较少见。

3、 临床表现

起病迅速,病程较短,一般小于 3 个月,患者常以发现肿块来就诊,无明显的临床症状,偶尔局部有疼痛感。

4、 病理学特征


肿瘤位于皮下软组织层内或肌肉内,边界清楚,无包膜,随着病程的延长,纤维母细胞或肌纤维母细胞略减少,而胶原纤维增多,粘液基质、炎症细胞及毛细血管减少。

按病变部位可分为:皮下型(最为常见)、筋膜型、肌内型。

按组织学特征可分为:粘液型、肉芽肿型、纤维瘤型。

5、 超声表现

不同类型的结节性筋膜炎超声表现上可能不大一样,但是其有共同的特点:

病灶一般是单发的;边界清楚,无包膜,椭圆形或梭形伴浅分叶的结节,多数肿块内无或有少许血流信号,极少数可见较丰富血流信号,常为低速高阻血流频谱。

皮下型

位于筋膜的脂肪层内,表现为边界清楚、形态较规则的低回声结节,内部回声较均匀。位于皮下软组织内的结节性筋膜炎常无占位感。

筋膜型

位于浅筋膜的膜性层或深筋膜内,也包括肌肉之间的肌外膜。此型结节性筋膜炎浸润性生长,边界不清,与周围筋膜相连,可见特征性的「 筋膜尾征 」 。

肌内型

位置较深,体积较大,肌内低回声肿块,边界清楚,后方回声可有不同程度的增强。肌内型结节性筋膜炎占位感明显。

6、 鉴别诊断

(1) 神经源性肿瘤

包括神经纤维瘤或神经鞘瘤,神经源性肿瘤一般与神经关系密切;肌内型的结节性筋膜炎较容易与神经纤维瘤混淆,但通过仔细观察,肌内型的结节性筋膜炎两侧与肌纤维相连。

(2) 脂肪瘤

脂肪瘤是软组织层最常见的良性肿瘤,超声上表现为脂肪层内稍低回声结节,边界较清晰,内部回声不均,可见条索状高回声,未见明显血流信号。

(3) 腱鞘巨细胞瘤

发生于肌腱周围或关节旁,肿块包饶肌腱,生长较为缓慢,而且腱鞘巨细胞瘤质地较硬。

(4) 血管瘤

血管瘤是浅表组织中常见的良性肿瘤,声像图上表现低回声结节,内部可见管状无回声,有的血管瘤内可见静脉石,血流信号较丰富。

探头加压血管瘤可被加压变形,加压后血流信号增多,此征象可作为鉴别手段。

(5) 软组织恶性肿瘤

生长迅速,体积较大,一般无明显的疼痛感,超声上内部回声不均,高低回声相间,周边可见低回声环,血流信号丰富。

超声可清晰显示结节性筋膜炎所在软组织内的层次,结节的边界、内部回声及血流信号情况亦可显示清楚,可成为其诊断的重要的影像学手段。

掌握结节性筋膜炎的超声表现,并与其他浅表肿块相鉴别,有助于提高诊断率。

本文首发于丁香园旗下专业平台:丁香园超声时间