VR腔隙、腔梗灶、微出血、脱髓鞘,傻傻分不清?快看这里!

图片
最近有读者留言表示搞不清颅脑MR中的一些小病灶到底应该叫什么,有时候打个脱髓鞘,被审核老师改成腔梗灶,而有的时候打个腔梗灶,却又被审核老师改成VR腔隙扩大,改来改去头都被搞大了。
作者:七田小溪
来源:“影海泛舟”公众号
事实上,这类脑内的小病灶统称为脑小血管病(CSVD),是由各种原因累及脑小血管并导致局部脑组织病理性改变的一组疾病的统称,具体包括腔梗灶、VR腔隙扩大、脱髓鞘改变(脑白质疏松)、微出血等,这些疾病可能不会引起患者明显的急性临床症状,但与痴呆等认知功能障碍密切相关。
图片
按血管直径,脑小血管可分为:小动脉(直径 100~400μm)、小动脉远端分支(< 200μm)、微动脉(直径 < 100μm)、毛细血管及小静脉。其中VR腔隙扩大主要涉及小动脉远端分支(即穿支动脉)和小静脉,腔梗灶主要涉及小动脉及其远端分支。      
按血管部位,脑小血管可分为来自脑表面的由皮层动脉分支构成的软脑膜血管网和脑深部的由大血管发出的穿支动脉,两组不同来源的小血管分别穿过大脑皮层和深部灰质核团后在大脑皮层下的深部白质区汇合。 
VR腔隙扩大
图片
 VR间隙(Virchow-Robin)又称血管周围间隙,是脑穿支血管(动脉、静脉)由蛛网膜下腔进入脑实质时,邻近软脑膜内陷在小血管周围(不包括毛细血管)形成的介于两层软脑膜之间的间隙,通常情况下MR图像上不可见,但在少数正常人及多数老年人可以见到,称之为VR间隙扩大,多对称性分布于半卵圆中心、放射冠、基底节下部、海马、中脑大脑脚、中脑脑桥交界区及额顶叶皮层下白质区等。
根据扩大VR腔隙的发生位置,将其分为3型,具体如下:
I型为基底节型,最常见,伴随血管多为豆纹动脉;
II型为大脑半球型,伴随动脉多为髓质动脉;
III型为中脑型,伴随动脉多为大脑后动脉及丘脑动脉的穿通支。
图片
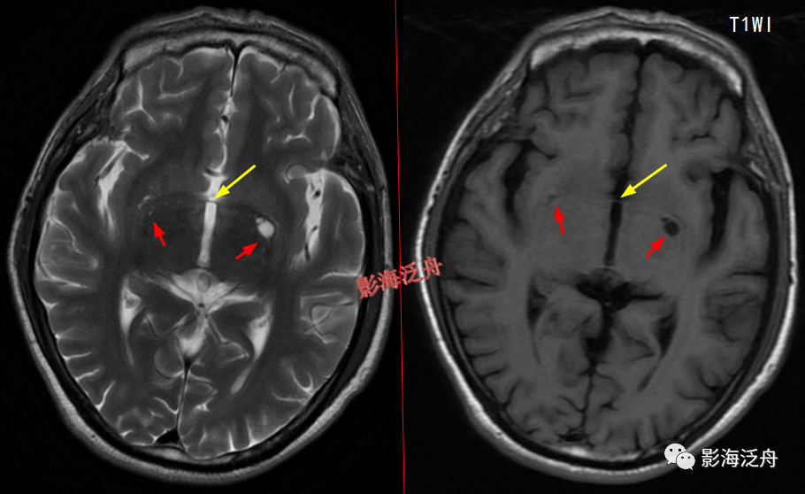
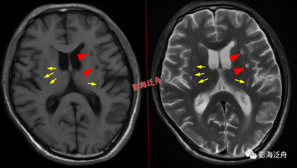
I型-基底节型:扩大VR腔隙呈对称性分布于双侧基底节区(红箭),左侧较大呈圆形,右侧较小呈斑点状。基底节型扩大VR腔隙好发于基底节下部,尤其是前联合层面(黄箭所指为前联合)。
图片
这种不成形的多发斑点状、细线样异常信号在基底节区下部也是比较常见的。
图片
图片
图片
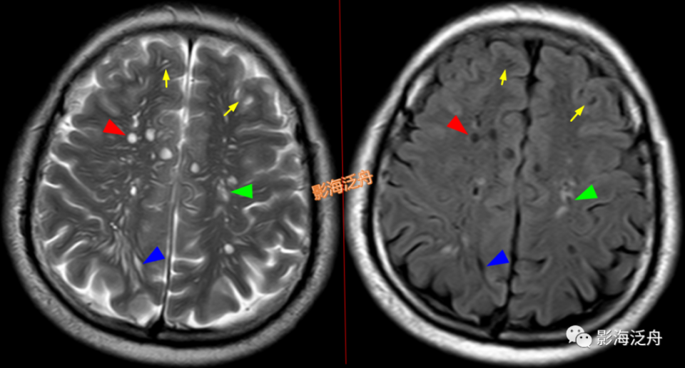
II型-大脑半球型:扩大VR腔隙呈对称性广泛分布于双侧半卵圆中心及皮层下白质区域(黄箭),少位于扣带回旁(白箭),部分呈类圆形(红箭头),部分呈裂隙样/线样(蓝箭头),注意绿箭头所指的VR腔隙边缘可见Flair高信号影,这种高信号可能是局部液体少量渗漏造成的。
图片
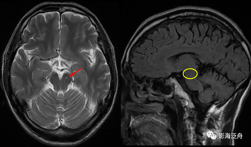
III型-中脑型:左侧大脑脚可见细条状T2WI高信号影(红箭),Flair序列上未见异常信号(黄圈为中脑左侧部),随访病灶大小及信号均无明显变化。III型VR腔隙扩大是最少见的,多数审核老师喜欢不分青红皂白直接诊断为腔梗灶,毕竟是脑干区域,报的过一点也无妨。
看完典型的,再来看看不典型的 ↓↓↓
图片
图片
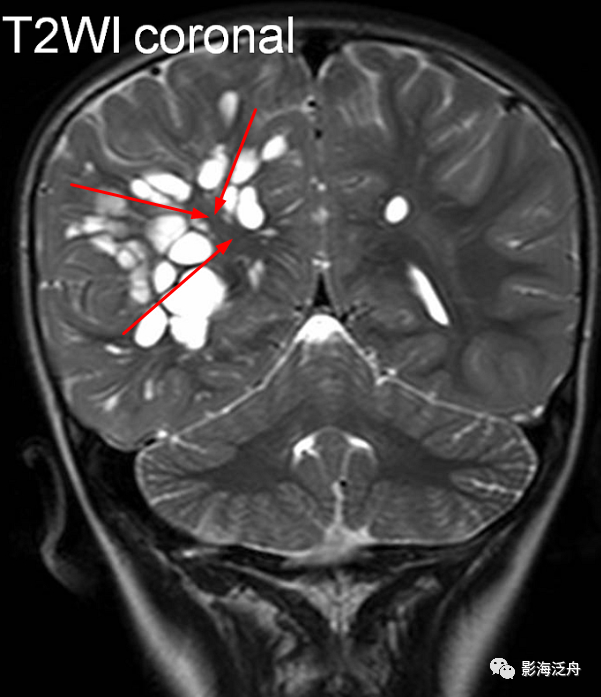
病例一:青少年男性,头痛就诊。右侧大脑半球多发扩大VR腔隙,病灶沿髓质动脉走行区域(红箭)呈簇状分布,VR腔隙呈类圆形或类椭圆形,边缘光滑,灶周不伴水肿。大脑半球型扩大VR腔隙多两侧不对称,这与基底节型不同。
图片
图片
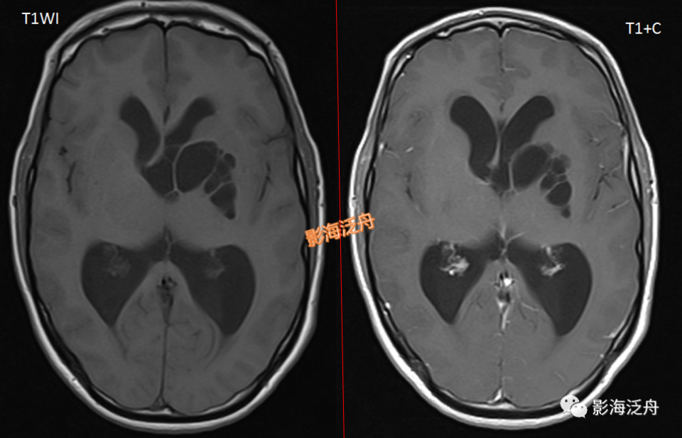
病例二:21岁女性患者,头痛数月前来就诊。左侧基底节区多发囊性病灶,部分突入第三脑室室间孔区域并引起梗阻性脑积水(红箭),病灶簇状分布,呈规则的圆形或类圆形,灶周无明显水肿,增强未见任何强化,符合扩大V-R腔隙的典型特征。值得注意的是,扩大的VR腔隙一般不会引起占位性效应。
腔梗灶
腔梗灶,也称腔隙性脑梗死或腔隙性梗死,有的单位也叫腔隙灶,都是一个意思。既往的文献常将长径<15mm的梗死灶称为腔梗灶,但近年来随着7T超高场强MR的投入使用,相关研究已经证实腔梗灶也可以很大呦!不过不论病灶直径的大小,腔梗灶一般都是由脉络膜前动脉、豆纹动脉分支、深部的长髓质动脉局部闭塞引起的。
图片
图片
左侧基底节区腔梗灶,病灶既不像类圆形也不像规则的长条状,在Flair序列上灶周可以看到淡淡的高信号影(红箭)。基底节区的腔梗灶位置相较于扩大VR腔隙往往更加靠近上份层面、形态不规则,且随着病程时间延长Flair序列高信号会愈加明显。
图片
图片
左侧基底节区腔梗灶(红箭头),尽管后部的那个病灶看起来有点圆,但在Flair序列病灶周围可以看到非常明显的高信号(绿箭),代表局部胶质增生,证明其为慢性期腔梗灶而非扩大的VR腔隙,其余病变(黄箭)为对称性分布,呈斑点状或长条状,Flair序列灶周无高信号,诊断VR腔隙更为合理。
图片
在大体标本上对照观察腔梗灶(红箭头)与扩大的VR腔隙(黄箭头)。
图片
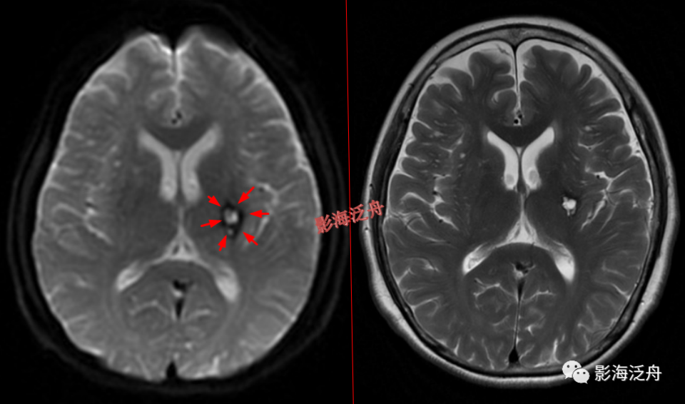
诊断腔梗灶的时候要注意与小的陈旧性出血灶相鉴别,如上图,T2WI序列上左侧基底节区可见不规则小片状T2WI高信号影,不仔细看很容易就诊断腔梗灶了,但在低b值DWI序列上病灶周围可见环状低信号影(红箭),代表含铁血黄素沉积,为慢性出血的特征性表现。
脱髓鞘
脱髓鞘、脱髓鞘改变、脑白质病变、脑白质疏松……叫什么的都有,公说公有理婆说婆有理,反正是没有个定论。不过需要明确一点,脱髓鞘改变和脱髓鞘病变可不是一个意思,脱髓鞘病变是非常大的一类,不光包括了脱髓鞘改变,而且更倾向于描述诸如多发性硬化(MS)之类的脑白质病变。本文所说的脱髓鞘(非特异性脱髓鞘病灶)是一种脑退行性改变,即脑白质疏松,多是由局部的脑血流量调节障碍所致。
图片
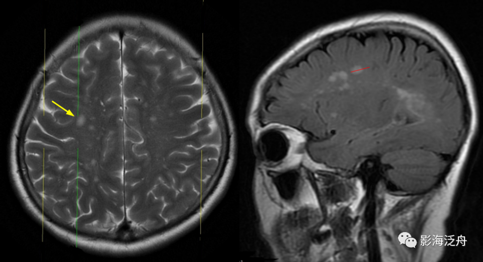
图片
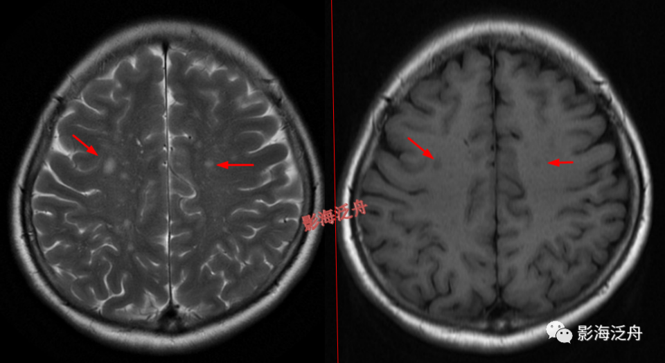
当脱髓鞘改变呈片状且沿着侧脑室周围对称性分布时,大家往往一眼就能识别出来,像上图这种双侧半卵圆中心多发非特异性脱髓鞘病灶,大家可能就有点心虚了。注意最大的一个病灶(黄箭)长轴平行于侧脑室(红线),所以只是普通的退变,而不是不是MS。      
当这种非特异性脱髓鞘病灶比较局限、散发的时候,如何与VR腔隙及腔梗灶区分呢?一般来说,前者显示比后两者更加浅淡和模糊,在T1WI序列尤为明显。
小结
通过不同序列的侧重观察,能够比较有效地鉴别上述疾病,如Flair序列在鉴别扩大VR腔隙与慢性期腔梗灶时非常有用,而低b值DWI序列则对陈旧性微出血很敏感,T1WI序列常可以用来排除是否为局灶性的脑白质脱髓鞘改变。