15张图谱轻松掌握:桥小脑角区正常解剖及常见病变丨实战读片

图片
导读
累及桥小脑角区域的疾病可由脑池内病变引起,或由脑干、第四脑室、脉络丛和颅底等部位的病变延伸而来。其症状和体征通常非特异,这与该部位的解剖基础密切相关。本文将对该区域的正常影像解剖及典型病变进行介绍,助您更好地理解该部位的结构特点。
医脉通编译整理,未经授权请勿转载。
图片
图片
图1  桥小脑角区正常解剖 
图片
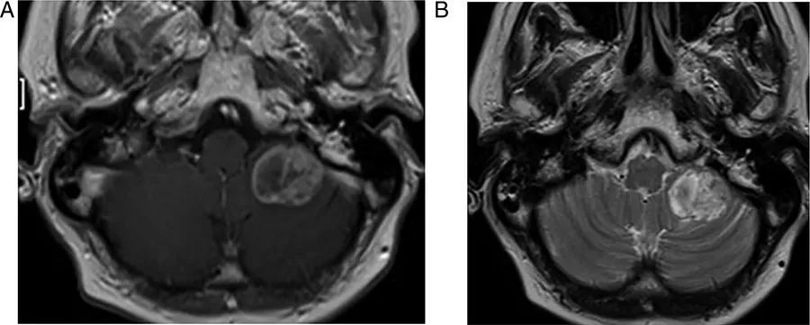
图2  肺部原发肿瘤转移。左侧桥小脑区可见转移灶,当桥小脑区结构不清时,有时很难区别是轴内病变还是轴外病变。这种不均匀的强化提示转移瘤,小脑无水肿则提示轴外病变
图片
图3  结核瘤。左侧小脑表面可见一环形强化的结核瘤,膨胀进入桥小脑角区,并呈现出类似于轴外病变的外观,不过由于存在小脑水肿,该病灶更可能源于轴内。此外,右侧外侧裂可见脑膜强化,即脑膜炎的证据
图片
图4  巨大椎基底动脉连接处动脉瘤。患者表现为延髓症状,影像学显示左侧桥小脑角区不规则占位性病变,并呈流空信号,第四脑室受压变形,通过血管造影最终证实了巨大动脉瘤的诊断
图片
图5  右侧桥小脑角区脑膜瘤。可见类圆形病灶压迫右三叉神经和脑桥,增强扫描可见显著均匀强化,强化的硬脑膜尾沿着颞骨岩部向下延伸
图片
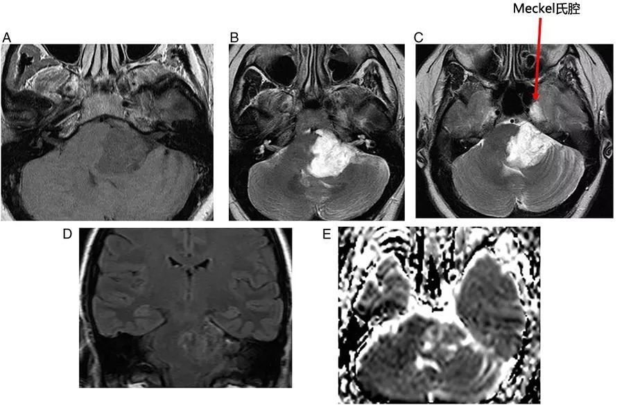
图6  左侧桥小脑角区表皮样囊肿。病灶呈T1低信号、T2高信号,DWI上弥散受限,延伸至Meckel氏腔,左侧小脑中脚和第四脑室受压,三叉神经、面神经、听神经也被压缩
图片
图7  蛛网膜囊肿。可见右侧桥小脑角区呈脑脊液信号的不规则肿物,右侧小脑半球受压变形
图片
图8  双侧桥小脑角区脂肪瘤。T1WI上呈现高信号,压脂像上则无信号。如果只根据增强扫描的图像(E和F),很容易将脂肪瘤误认为前庭神经鞘瘤或脑膜瘤
图片
图9  乳腺癌所致恶性脑膜炎。可见左侧内听道强化肿物,类似于前庭神经鞘瘤,桥脑池中另可见一肿物,沿着左三叉神经的走行路径延伸
图片
图10  右侧前庭神经鞘瘤。位于内听道基底部,向上延伸至耳蜗孔,病变随访3年以上未进展
图片
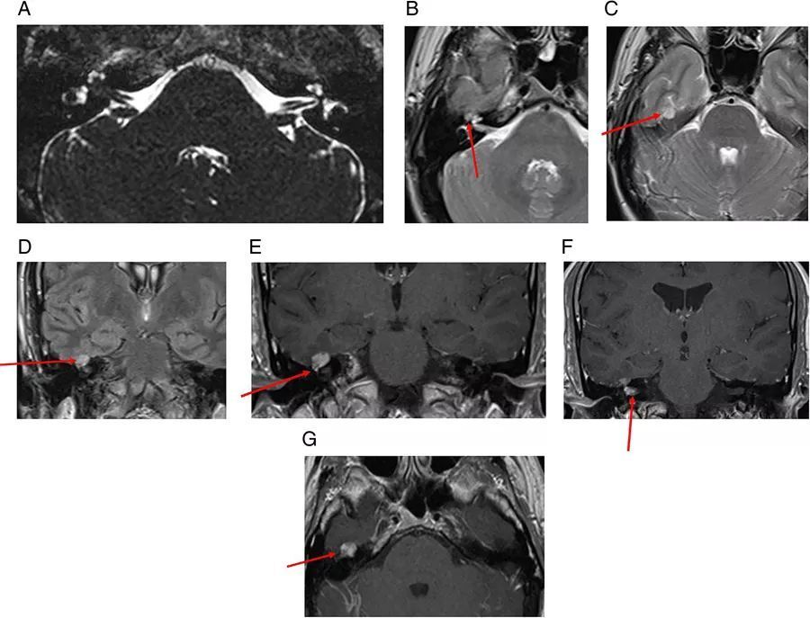
图11  右侧面神经瘤。位于右侧内听道基底部,可见膝状神经节和内听道处强化肿物
图片
图12  右侧舌咽神经/迷走神经鞘瘤。可见桥小脑角区域混杂信号的肿物,增强扫描可见显著强化,右侧小脑中脚受压变形,病灶向下延伸并进入颈静脉孔
图片
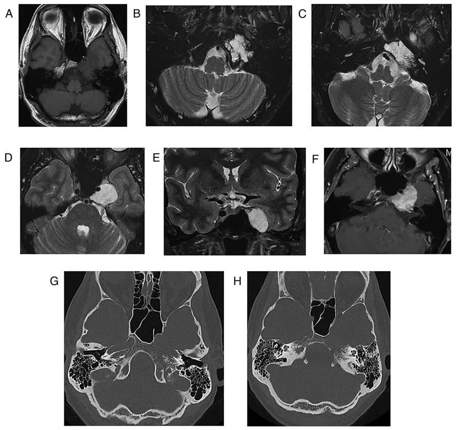
图13  软骨肉瘤。可见肿物破坏颅底,以左内耳骨裂缝为中心,延伸至桥小脑角和海绵窦。其发源位置和T2W上的明亮信号表明它是一种软骨瘤,颅底的CT扫描骨窗证实了病灶的起源和骨质破坏的性质
图片
图14  脊索瘤。中线区可见一巨大不规则占位,斜坡和蝶窦被破坏,肿瘤延伸到右侧的脑池和桥小脑角区。脊索瘤在MRI上通常表现为T2高信号和T1上的局灶性高信号
图片
图15  多发副神经节瘤。患者右侧有搏动性耳鸣,影像学可见右侧颈静脉球瘤以颈静脉为中心延伸到右侧桥小脑角,由血管流空信号和出血性变化组合而产生典型“胡椒盐”外观
医脉通编译自:Renowden S. Imaging of the cerebellopontine angle.[J]. Practical Neurology, 2014, 14(5):299-309.
图片