胸片如何看肺炎?看完这篇就会了!

No.1
肺部正常 X线表现
01
胸廓
胸廓由骨骼及软组织构成,两侧对称。
1、软组织是指皮下组织、胸大肌、胸锁乳突肌、锁骨上皮肤皱褶、乳房及乳头、肺尖部壁层胸膜反褶影。
2、骨骼包括肋骨共 12 对(肋软骨钙化在 25-30 岁开始,首先是第一肋软骨钙化,然后从第 12 肋软骨向上依次钙化,最后钙化者为第 2 肋软骨),肩胛骨,锁骨(呈 "S" 形),胸骨(包括胸骨柄、体、剑突三部分),胸椎(摄影条件恰当,第 1-4 胸椎可清晰显示,第 5 胸椎以下显示不清)。
02
肺门与肺纹理
正常表现如下:肺门和肺纹理都是由肺血管、支气管及淋巴组织等构成而以肺动脉和肺静脉为主构成影。
肺门在正位胸片位于肺野内带第 2-4 前肋端之间。
左侧比右侧略高约 1-2 cm,右肺门上部主要由右上肺静脉投影构成;下部由右下肺动脉,其宽度正常人不超过 1.5 cm,上下两部以钝角相交称为正常肺门角(外形像英语大写 "Y" 形,肺门角一般 90-110 度),左肺门主要由左肺动脉弯曲成弓形,称为左肺动脉弓,与其上方的主动脉弓相对应。
侧位片上两侧肺门重叠,位于气管分叉前上方,呈边缘清晰或不清晰的结节影,不要误认为肺门肿块,侧位片上可见三个透亮影排列成纵队,最上面为气管隆突投影,中间为右上叶开口,下面为左上叶开口(当左房增大时,左上叶开口则略后移,或滑到食管后面)。
标准左侧位胸片:左心室增大与下腔静脉影关系,正常时左心室后下缘应位于下腔静脉前缘,当单纯左心室增大时,左心室后下缘位于下腔静脉后。胸部正位片正常时肺泡气体成为天然对比,因此,肺、纵隔边界清楚称为心缘轮廓征(剪影征)阴性。
当右肺中叶,左肺上叶舌段炎症及其他病变,左右心缘显示模糊,称轮廓征(剪影征)阳性,肺纹理是由肺门向周围肺野放射分布的树枝状影,在向外延伸过程中逐渐分支变细,两肺野外带肺纹理逐渐消失。下肺野纹理比上肺野粗,右下肺纹理比左下肺多,右下肺尚可见水平走向纵隔的下肺静脉影。
03
肺门异常
1.肺门增大可通过测量(正常肺门间距平均为 11 cm)或自身对比法确定。
2.肺门结构异常,右下肺动脉增粗,肺门角变浅或消失,肺门区可见结节影等。
3.肺门影增大,模糊,密度增高。肺门增大常见原发或转移性淋巴结肿大,良、恶性肿瘤,动脉或静脉血管扩张等。
04
肺纹理增强
 X 线表现包括增粗,增多
肺纹理不伴随向外周延伸而逐渐变细。
肺野外带纹理增多。
肺纹理分布不均,走行不规则,边缘模糊,管壁增厚。
肺纹理增强常见:慢支,肺循环异常,肺纤维化,间质性疾病,淋巴管炎。
05
肺叶和肺野
右肺有二个叶间裂,斜裂在侧位片上由第四胸椎下缘向前下斜行,止于前肋膈角后方 2-3 cm 处,水平裂(侧位)起自斜裂中部,水平向前稍向下倾斜直达胸壁。
正位片:水平裂内缘起自右侧肺门角,向外走行止于第 6 后肋腋部,叶间裂正常片不显示,若有显示应如发丝纤细,肺叶由叶间裂分隔,右肺分为上、中、下叶,左肺分上叶(左固有上叶及舌叶)、下叶。以从第二和第四前肋端下缘各画一条水平线,将左右两肺分为上、中、下肺野。、
06
纵隔
正常心影可见五个弓,纵隔的范围上自胸廓入口,下达横膈,前自胸骨后缘,后达胸椎及其两侧脊柱旁沟,两侧为纵隔胸膜及肺门,纵隔分区有四分法,三分法,七分法、九分法,各种分法均采用侧位胸片,现多采用九分法。
图片
胸部正侧位片
图片
胸部右侧位片
图片
胸部双斜位片
No.2
肺部炎症病变
01
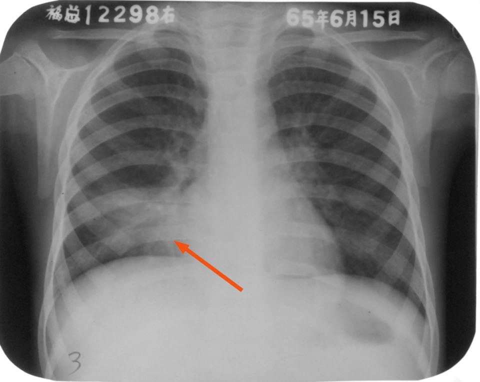
大叶性肺炎
病理:分为充血,红色肝变期,灰色肝变期及消散期四个期。
发病后 12-24 小时充血期,2-3 天红色肝变期,再过 2-3 天灰色肝变期,一周后转入消散期。
X 线表现:
充血期:无明显的 X 线征象,仅见病区局限性肺纹理增强,肺野透亮度稍减低,下叶病变见同侧膈肌略升高,运动略受限。
实变期:(包括红色肝变期和灰色肝变期),表现为密度均匀的致密影,炎症累及肺段示片状或三角形致密影,累及整个肺叶,示以叶间裂为界的大片状致密影,有时致密影内可见透亮支气管影(即支气管充气征)。
消散期:实变区密度逐渐减低,表现为大小不等,分布不均的斑片状或片状影。炎症最终可完全吸收,或只留少许索条状阴影,偶尔可机化转变为机化性肺炎。
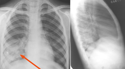
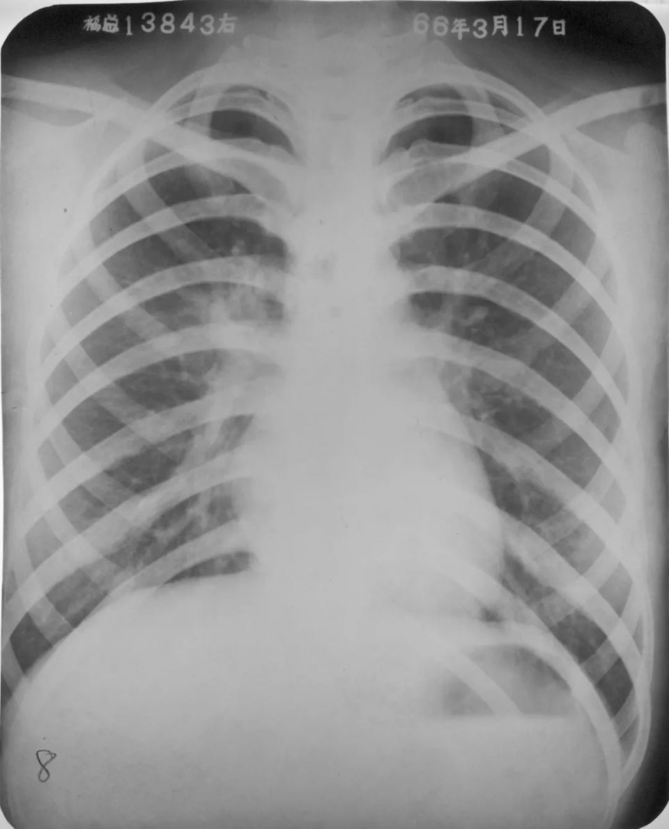
右肺下叶背段大叶性肺炎正侧位
图片
胸部正侧位片:右肺下叶背段见片状、三角形致密影,边缘模糊(箭头所指)
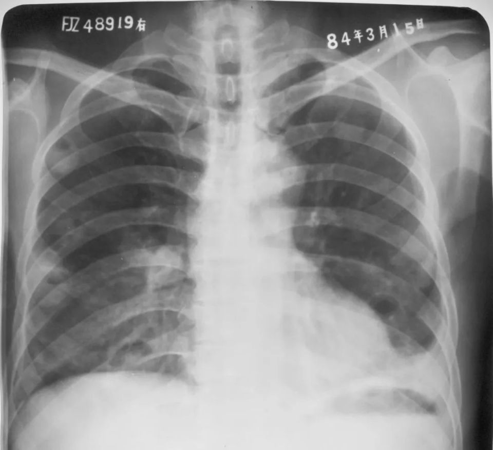
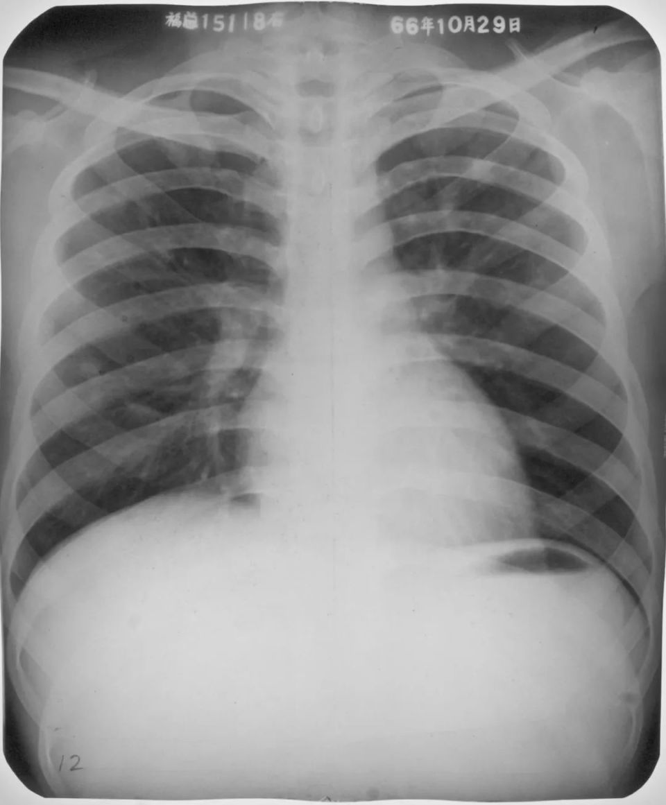
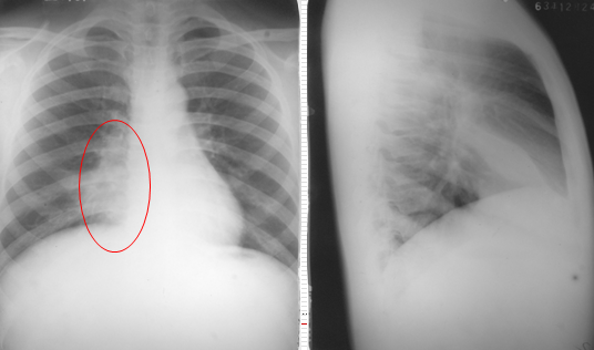
右肺中叶大叶性肺炎正侧位  
图片
胸部正侧位片:右肺中叶见片状致密影,边缘模糊,局部呈剪影样改变(红圈所示)
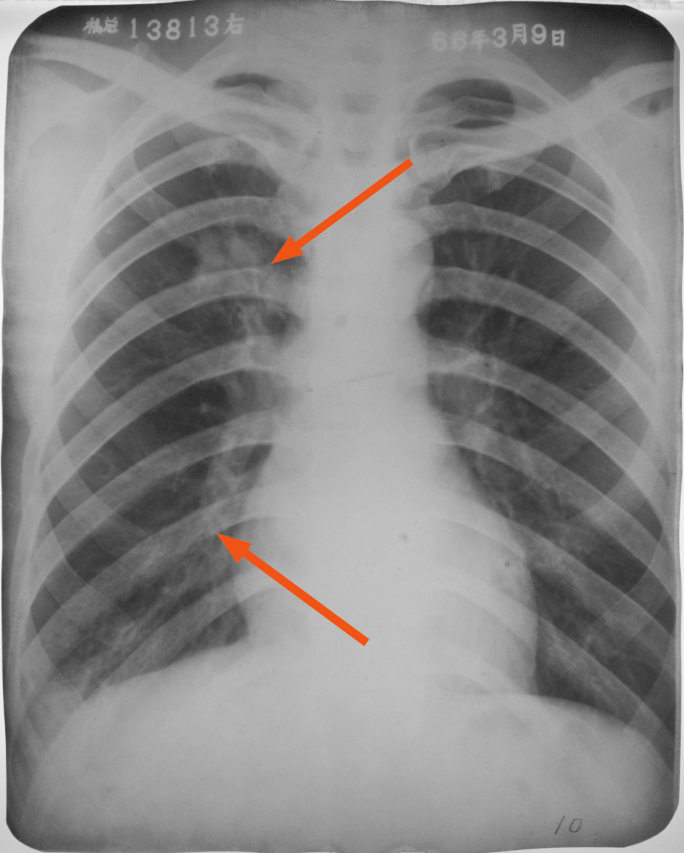
右肺中叶大叶性炎症
图片
胸部正位片:右肺中叶见片状致密影,边缘模糊(箭头所示)
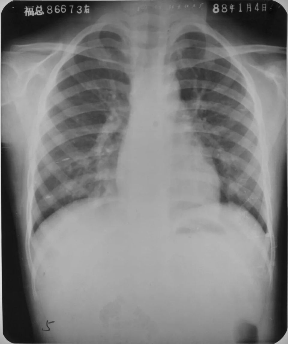
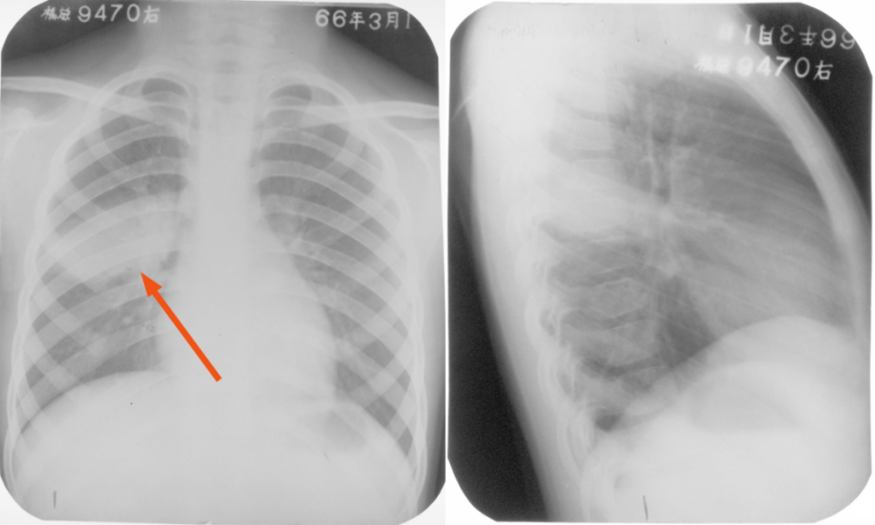
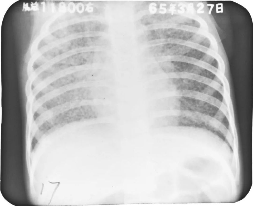
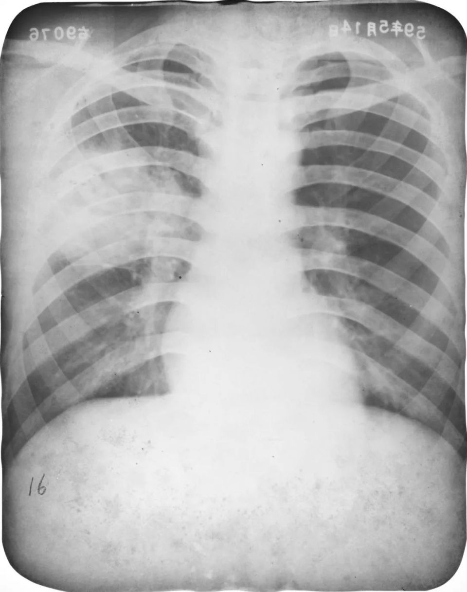
右肺下叶后基底段大叶性炎症
图片
胸部正侧位片:右肺下叶见片状致密影,右侧膈面及邻近胸廓边缘模糊(箭头所示),心缘清楚
02
支气管肺炎
支气管肺炎又名小叶性肺炎,致病菌是肺炎双球菌、链球菌、支原体等等,多见于婴幼儿、老年人或极度衰弱的病人。
病理:与大叶性肺炎的病理表现基本上相似,只是病变的范围是小叶的。
X 线表现:病变常见部位为两肺中下野的内、中带,沿肺纹理分布,表现不规则的小片状或斑片状边缘模糊的致密阴影,阴影密度不均,中间密度高,边缘淡,密集的病变可融合呈较大的片状。
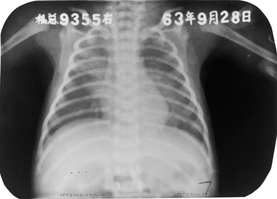
两肺支气管肺炎
图片
胸部正位片示:两肺多发不规则的小片状或斑片状边缘模糊的致密阴影,阴影密度不均,中间密度高,边缘淡,局部融合呈片状分布
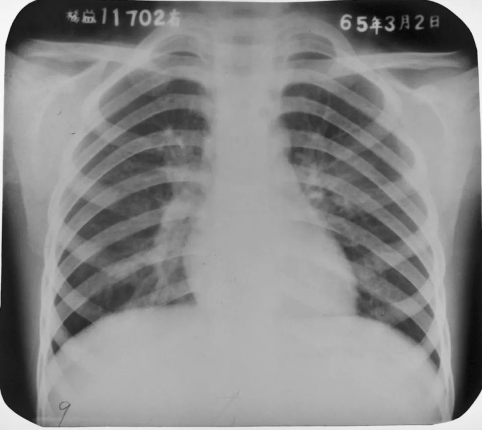
两下肺支气管肺炎
图片
胸部正位片示:两下肺可见不规则的小片状或斑片状边缘模糊的致密阴影,阴影密度不均
03
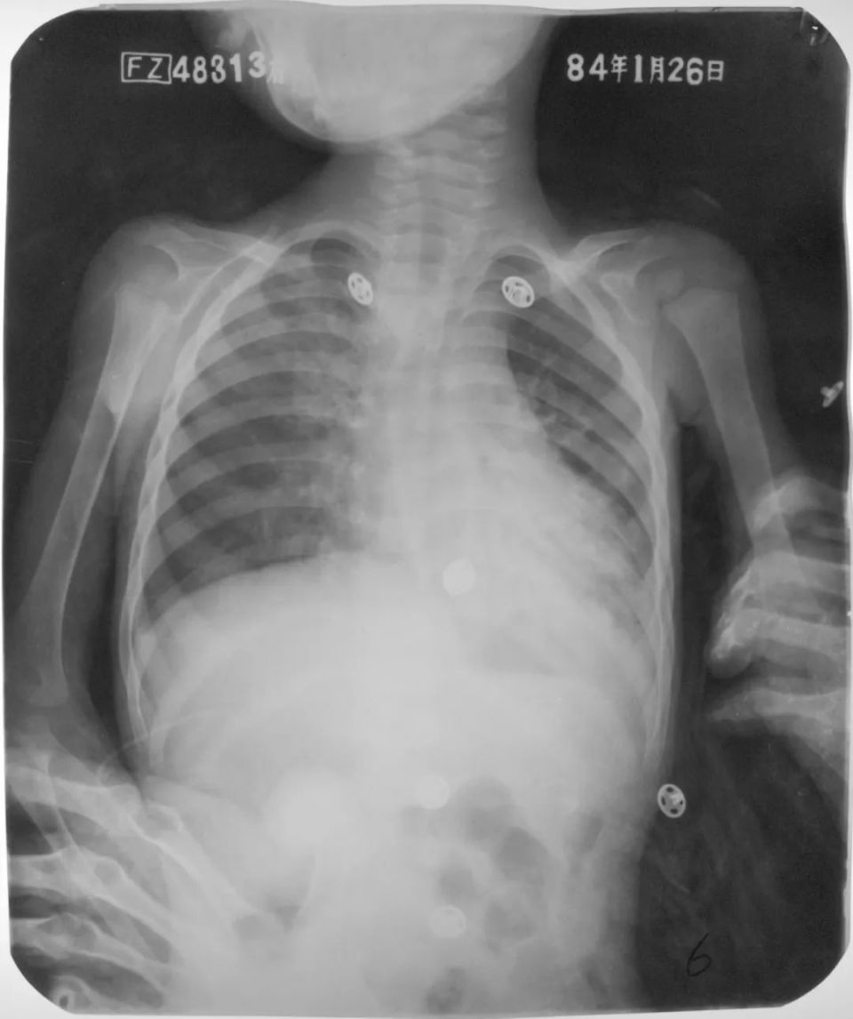
婴幼儿肺炎
婴幼儿肺炎以病变所涉及的解剖部位为分类基础,分为三大类:
肺泡性肺炎。
间质性肺炎(间质指支气管周围、血管周围、肺泡壁、小叶间隔及胸膜下的间质间隙)。
混合性肺炎(间质+肺泡炎症)。
X 线表现:病灶呈小斑片状,边缘模糊,密度增深阴影,病灶可融合较大的斑片状,融合病灶可见支气管充气征,另外常见肺气肿征,多见于两肺内带及下肺野,横膈低平。
婴幼儿肺炎
图片
胸部正位片示:两肺内带及左肺下野可见不规则的小片状或斑片状边缘模糊的致密阴影,阴影密度不均,局部可见支气管充气征
04
过敏性肺炎
过敏性肺炎是由于机体对某种物质的过敏性反应所引起的一种肺部疾病,过敏物质:有药物、花粉、尘埃或寄生虫(如钩虫、蛔虫等),临床大多无症状,或有低热、干咳等症状。
实验室检查:血嗜酸性粒细胞增高。
X 线表现:肺内密度较低,边缘模糊,云雾状阴影,其中尚可见肺纹理,阴影可在肺内任何部位出现,不按肺段分布。病变变化迅速,旧的病变吸收,新的病变又出现在其他肺野(呈游走性),多变性为本病的特征,胸片表现特异性很低。
两肺过敏性肺炎
图片
胸部正位片:两肺内密度较低,可见片状云雾状阴影,边缘模糊,分布不均匀。
两中下肺过敏性肺炎
图片
胸部正位片:两肺中下野内密度较低,可见片状云雾状阴影,边缘模糊,分布不均匀。
05
肺炎支原体肺炎
肺炎支原体肺炎过去称为非典型性肺炎,认为是病毒致病,现在是肺炎支原体致病。临床上多数不发热或有低热,胸闷、咳嗽、痰多粘稠。
化验:血冷凝集试验效价 1:32 以上有意义。
X 线表现:形态多样,早期局部肺纹理增粗及斑片状阴影,密度较淡,有的常呈扇形自肺门部发出。2-3 周后肺部炎症实变开始吸收消散,炎症浸润影消失。
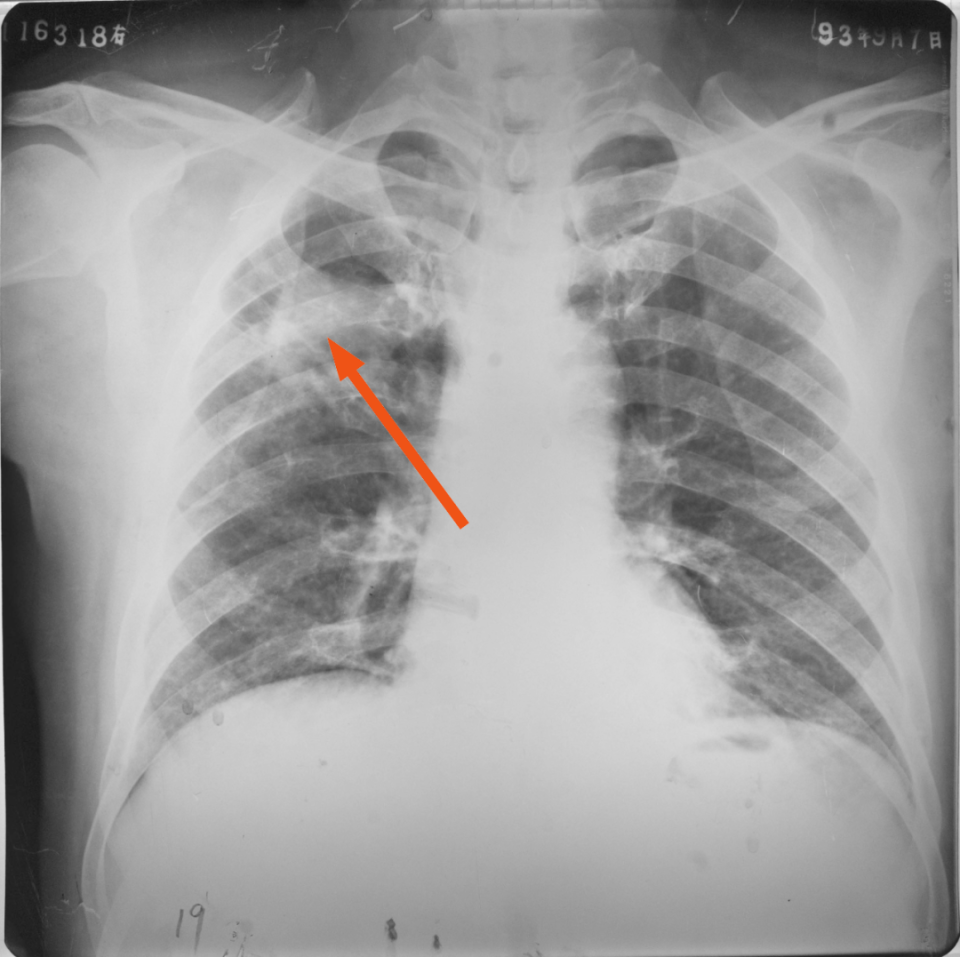
右上、下肺支原体肺炎
图片
胸部正位片示:右上、下肺野肺纹理增粗,可见斑片状阴影,密度较淡,局部呈扇形自肺门部发出(箭头所指)
右肺中叶支原体肺炎
图片
胸部正位片示:右肺中叶肺纹理增粗,见斑片状阴影,密度不均匀,局部呈扇形自肺门部发出(箭头所指)
06
化脓性肺炎
化脓性肺炎又称金黄色葡萄球菌肺炎,致病菌为金黄色葡萄球菌,本病好发于婴幼儿,体弱多病的成年人,临床上以寒战、高热、咳嗽、咳脓血痰,气急胸痛等为主要症状。
X 线表现(三大特征):
肺部弥漫性病变,两肺出现多发小片状或大片状密度增高影,边缘模糊。两肺野可见多发性大小不等的圆形或椭圆形结节状阴影,边缘较清楚,随着病变进展,结节内出现空洞和气液平面。
肺气囊形成:肺气囊是本病的特征性表现,病后 1-2 天内出现,肺气囊是圆形、椭圆形、壁菲薄,其大小、数目和部位可发生变化,甚至一日数变。
出现脓胸,脓气胸,气胸,胸腔积液等,其中以脓胸常见。
双肺化脓性肺炎
图片
胸部正位片示:两肺多发小片状密度增高影,边缘模糊。另见大小不等的圆形或椭圆形结节状阴影,边缘较清楚,部分可见空洞
07
肺霉菌病
致病菌:有放线菌、念珠菌、曲霉菌、隐球菌和组织胞浆菌等。临床上本病是慢性病程,颇似结核,复发与静止交替出现。
化验:痰液找到大量的致病霉菌,或脑脊液中找到致病霉菌可确诊本病。
病理:
急性期,肺内渗出,破坏及脓肿形成。
慢性期:形成肉芽肿。
最后纤维化,钙化,愈合。
X 线表现:缺乏特征性表现(五花八门)常见表现如下:
① 浸润型:斑片或斑片状,边缘模糊。
② 结节或肿块型:是肺内肉芽肿表现,单个或多个肺内结节或肿块。
③ 实变型:肺内均匀而较浅淡的大片状实变阴影,类似大叶性肺炎。
④ 粟粒型:分布两肺中下野,粟粒影比血行播散型肺结核大,边缘模糊。
⑤ 肺门淋巴结肿大:可与肺内病变共存或单独出现。
⑥ 胸膜病变:本病常侵犯胸膜,引起化脓性胸膜炎和胸膜肥厚。
肺霉菌病
图片
胸部正位片:两肺散在斑片状密度增高影,边缘模糊,局部呈结节状改变
图片
胸部正位片:两肺弥漫性分布粟粒状、斑片状、结节状密度增高影,边缘模糊,局部呈大片状实变阴影改变,边缘模糊。
08
支气管囊肿(肺囊肿)
部分病人无症状,如囊肿甚大压迫邻近肺组织或纵隔可产生呼吸困难。少数病人有咯血,如继发感染则有发热,咳嗽、胸痛等。
X 线表现:
多发性肺囊肿:可见于一叶、一侧或双侧肺野,一般为气囊肿,呈弥漫性,多数壁薄环形透亮影,有些含有小液平面。
孤立性肺囊肿:一般下叶比上叶多,含液囊肿表现为圆形或椭圆形的水样密度阴影,密度均匀,边缘光滑锐利,如囊肿与支气管相通,有空气进入则成含气囊肿或液气囊肿,壁薄,囊肿越大壁越薄。
多发性肺囊肿
图片
胸部正位片:右肺透亮度减低,呈代偿性肺气肿,气管纵隔左移,左肺可见多发含气囊肿,呈弥漫性分布,多数壁薄环形透亮影。
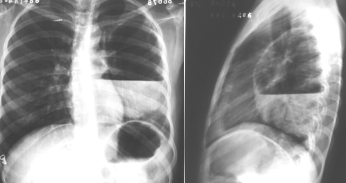
左肺巨大孤立性囊肿
图片
胸部正位片:左肺可见一较大含气囊肿,边界欠清,内可见液平。
09
肺脓肿
由化脓性细菌(葡萄球菌,肺炎球菌及链球菌等)引起的肺实质化脓性病变。
发病初期 1-2 个月称急性肺脓肿,未得到有效及时治疗,病程达 3 个月,称为慢性肺脓肿。
临床:全身中毒症状重,寒颤、高热、咳嗽和胸痛等症状,病后 1-2 周有大量脓臭痰咳出为典型症状。
化验:白细胞,中性多核白细胞增高。
X 线表现:
急性期,由于脓肿周围炎性浸润存在,使空洞壁相当厚且边缘模糊,空洞常为中心性,壁虽厚,但内壁较光整,底部常见宽液平。
慢性期:空洞周围炎性浸润逐渐吸收减少,空洞壁逐渐变薄,腔也慢慢缩小,周围有较多紊乱的条索状纤维病灶。
鉴别诊断:
肺结核空洞:多发生在肺上叶尖段、后段和下叶背段,通常较小,壁薄,壁内光滑,外壁也较光整,周围有卫星病灶,在同侧或对侧常见有结核病灶。
癌性空洞:多见于老年,厚壁空洞,空洞常呈偏心性(位于肿块外侧缘与肺门方向相反),壁内结节,呈凹凸不平,空洞外壁见分叶及毛刺征,常有肺门淋巴结肿大。
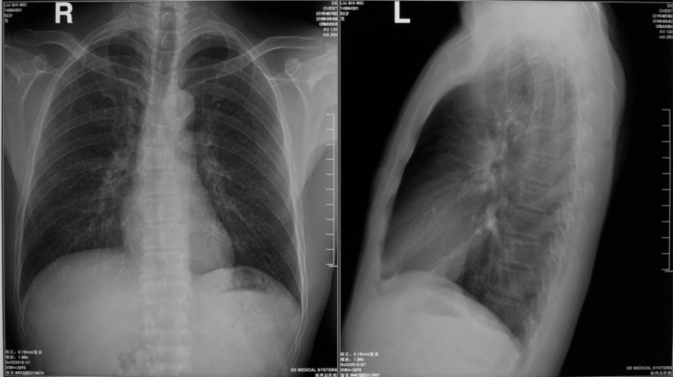
右上肺脓肿
图片
胸部正位片示:右上肺见不规则团块状混杂密度增高影,内似可见空洞影,边缘模糊。
10
肺结核
原发性肺结核(I 型):包括原发综合征和胸内淋巴结结核。
血行播散性肺结核(II 型):包括急性血行播散型肺结核(急性粟粒型肺结核)及亚急性、慢性血行播散型肺结核。
继发性肺结核(III):包括浸润型肺结核与慢性纤维空洞性肺结核。
结核性胸膜炎(IV):包括结核性干性胸膜炎,结核性渗出性胸膜炎,结核性脓胸。
其它肺外结核(V):如骨关节结核、结核性脑膜炎、肾结核、肠结核。
急性粟粒型肺结核(三均匀)
图片
胸部正位片:两肺弥漫性分布大小不等的、分布均匀的粟粒状密度增高影,边缘模糊
左上肺结核球(箭头所指)
图片
左肺上野斑片状、条索状密度增高影,箭头所指处规整结节影,周围可见多发卫星灶及钙化
右上肺浸润型肺结核(箭头所指)
图片
右上肺结核性空洞伴两肺播散
图片
胸部正位片示:右上肺见大片状密度增高影,边缘模糊,内见空洞影,两见两肺沿气道分布的片状、结节状播散灶
11
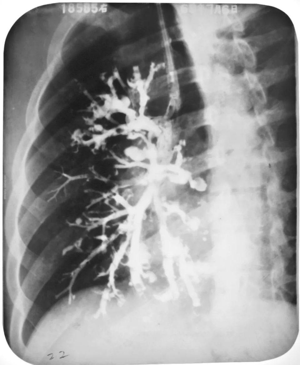
支气管扩张症
支气管扩张是指支气管生理腔隙的异常扩张。
左下叶支气管扩张
图片
左下叶支气管囊状、柱状扩张
右肺支气管扩张
图片
右肺支气管呈囊状、柱状扩张
首发:丁香园影像时间
插图来源:作者提供