不同脑出血时期的核磁信号表现

当怀疑急性脑卒中,急诊首先的处理是做头颅 CT检查,确定是否存在脑出血。
当怀疑有特殊原因导致的脑出血,例如脑部动静脉畸形、脑部肿瘤、淀粉样血管变性等,医生一般建议再做个 头颅MRI(核磁),进一步明确脑出血的病因。
核磁上脑出血的表现,困扰医生的难题
长期以来,核磁诊断脑出血一直是个问题,CT上很容易诊断出脑出血,颅内高信号首先考虑出血。但是到了MR上,由于不同时期的脑出血会导致血液的不同状态,而不同的状态会导致不同的核磁影像学(T1、T2、DWI 各种高信号、低信号,绕的你头痛,让人崩溃。)改变。
再次强调!!!正因为这个原因,所以脑卒中首选的检查是头颅CT(NCCT)
很多老师想出了各种各样的方法记忆脑出血的MR信号变化,运用了比喻,肢体、数字、绕口令等方法,实际上,记住脑出血的MR影像变化,最好的方法还是掌握脑出血病理生理学特点,理解血红蛋白从「氧合血红蛋白」、「脱氧血红蛋白」、「高铁血红蛋白」到含铁学黄素的变化规律。
脑出血的一生(红细胞的演变)
人体中,氧气的快递员(红细胞)每天不停歇的在血管中快速的奔跑,一切井然有序,突然,有一根脑部血管破裂了,血液哗的一下流出来,裹挟着不明就里的红细胞。
超急性期(<24 小时)
超急性期是指出血的即刻,流出的血液尚未凝固,一般仅持续数分钟到数十分钟。
(红细胞的演变)这个阶段,红细胞们虽然不开心,但是因为之前他们都携带着充足的氧气,满腔氧合血红蛋白。他们天真烂漫,自由自在,没什么顺磁性,对核磁根本不影响。
超急性期尚未凝固的血液表现出血液的长 T1 长 T2 特性,因此在 T1WI 上表现为略低信号,在 T2WI 上呈现高信号。
急性期(1-3 天)
急性期一般为出血后 3 天内,血肿已经凝为血块,在这一期红细胞的细胞膜保持完整,细胞内的氧合血红蛋白释放出氧变成脱氧血红蛋白。
(红细胞的演变)红细胞的处境变得艰难了,氧气满满的血管没有了,他们被迫流落到没什么氧气的脑组织、脑室、蛛网膜下腔中。现实就是这么残酷,满腔的氧合血红蛋白根本保不住,一点一点变成脱氧血红蛋白。
红细胞们挣扎呐喊,他们不能就这样屈服于现实,即使没有氧合血红蛋白又怎样,他们要顺应形势,做时代的弄潮儿,发出属于自己的信号。他们利用脱氧血红蛋白,干扰 T2 弛豫时间,在 T2 像上留下自己的痕迹。
血肿 T2 弛豫明显缩短,在 T2WI 或 T2*WI 上表现为低信号。脱氧血红蛋白对 T1 值的影响较小,因此该期血肿在 T1WI 上信号变化不明显,常表现为略低信号或等信号。
图片
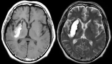
脑出血急性期
核心区域 T1 等信号(左),T2 低信号(右边)
亚急性早期(4-7 天)
亚急性早期一般为出血后第 4 天到 7 天。红细胞的细胞膜尚能保持完整,细胞内开始出现正铁血红蛋白,而细胞内正铁血红蛋白的出现一般从血肿周边向中心逐渐发展。
(红细胞的演变)时间一点一点过去了,氧气越来越少,即使脱氧血红蛋白也保不住了。这真的就是他们的命运吗?所有脱氧血红蛋白都是不甘而愤怒的,他们牢牢抱成团,以此抵抗命运的不公。可即使如此又能怎样,抱成团的脱氧血红蛋白在命运面前仍是不堪一击,他们从外到内,慢慢变成氧含量更少的高铁血红蛋白/正铁血红蛋白。
 因此在 T1WI 上血肿从周边向中央逐渐出现高信号。早期血肿在 T2WI 上不表现为高信号,一般仍为低信号。
图片
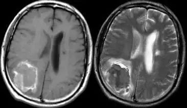
脑出血亚急性早期
T1 低信号核,高信号环(左),T2 低信号(右)
亚急性后期(7 天-14 天)
亚急性晚期一般为出血后 7 天到 14 天。该期红细胞完全崩解,血肿内主要以正铁血红蛋白为主,但血肿的周边的巨噬细胞吞噬了血红蛋白并形成含铁血黄素。后期,红细胞的细胞膜开始破裂,正铁血红蛋白溢出到细胞外,红细胞的破裂一般也是从血肿周边逐渐向中心发展。
(红细胞的演变)昂首问苍天,苍天饶过谁?命运的大手一把抓来,所有的红细胞都碎了一地,高铁血红蛋白散落着,哭泣着,茫然四顾着。即使妥协如此,难道还不能逃此厄运?那么,呐喊吧,扼住命运的喉咙吧,让暴风雨来的更猛烈些吧,他们要发出最强 T1 / T2 双信号!血肿在 T1WI 上仍表现为高信号,在 T2WI 上表现为从血肿周边向中心逐渐蔓延的高信号。
图片
脑出血亚急性晚期  T1 高信号(左),T2 高信号(右)
慢性期(14 天到数月)
慢性期一般为出血 14 天至数月以后。血肿逐渐吸收或液化,病灶周边的巨噬细胞内有明显的含铁血黄素沉积。
(红细胞的演变)命运震怒不已,这些轻贱如蝼蚁的红细胞,居然妄图改天换地,哼,不过是蚍蜉撼树罢了。他派出吞噬细胞,做最后的清算。一夕之间吞噬大军碾过,没有一个血红蛋白逃脱,他们被吞噬,被降解,变成一个个如行尸走肉般的含铁血黄素。他们从未如此顺从过,如此屈服于命运,没有什么可以发出的了,T1 与 T2 都暗淡了。
因此该期血肿逐渐演变为液化灶,在 T1WI 上为低信号,在 T2WI 上为高信号。
图片
脑出血慢性期
T1 低信号(左),T2 低信号(右)
从故事到知识
整理汇总一张核磁上的脑出血信号变化表:
图片
排版 | 里里
审核 | 暖暖
来源 | 神经重症