白肺到底怎么回事?普通人需要担心吗?

图片
题图来自Bing
这两天,不止一位朋友让我说说“白肺”,他们很担心哪天自己白肺了,特别是已经咳嗽了很久的那些朋友们,如果再加上有一些基础的肺部疾病,就会特别担心。所以今天我就来说说“白肺”这个问题。
文 | 郝希纯
本文内容
1.什么是白肺
2.哪些情况会引起白肺
3.白肺和普通肺炎的区别
4.哪些人容易出现白肺
5.什么时候需要去排查是不是有肺炎
6.白肺怎么治疗
什么是白肺
其实所谓的白肺,并不是一个专业的医学名词或者疾病,而是根据形态学衍生的一个简单叫法,最早是一些医生为了描述严重的肺部疾病而取名的。
那为什么叫白肺呢?这是因为正常健康的肺,都是由通气功能正常的肺泡组成的,在X光和CT上都是透光的,并且显示为“黑色”。但如果肺部有严重的疾病(比如肺炎或者肺部肿瘤),或者有大量的胸腔积液,让健康的肺组织不再具有正常的通气和其他交换功能,肺泡组织被破坏了,这时候在X光和CT上就表现为“白色”。
一般情况下,我们说的白肺是指广泛的大面积的,至少累及到一个肺叶的病变,如果只是部分肺叶的改变,一般不称做白肺。
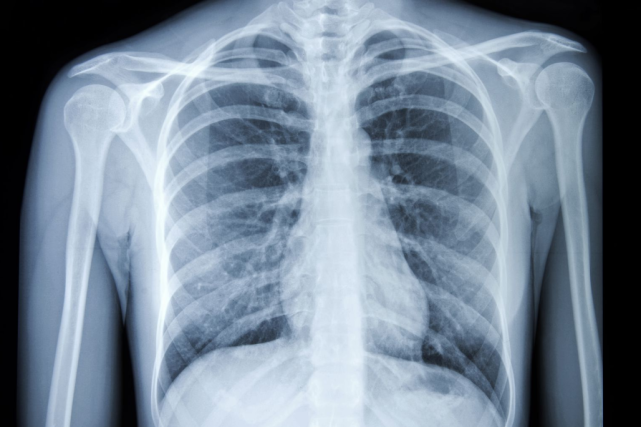
图片
健康的肺
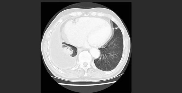
图片
白肺
哪些情况会引起白肺
引起白肺的原因其实挺多的,只要正常的肺泡被破坏了,肺泡里面的气体被液体替代或者肺泡塌陷了,都会出现白肺的情况。具体来说,有如下几种情况:
 1.  严重的肺部炎症
比如重症肺炎,像最近的新冠重症肺炎,这时候的肺泡被炎症渗出物完全充填,病人则表现为严重的缺氧,此时如果受影响的肺叶较多,病人往往需要气管插管,需要机器来帮助通气,不然呼吸会很困难。这是最常见的一种白肺。
 2.  严重的肺水肿
由于心功能衰竭,肺泡里也会被组织液充填,如果不积极恢复心功能,也是会缺氧的。这时候的白肺,并不是肺部本身的炎症引起的,而是因为心脏疾病引起的。
3.  肺不张
还有一种情况,就是肺泡不能充分的充气。大家可以想象一下,如果一个气球的吹气口被堵牢了,气球就吹不起来了,所以这时候整个肺组织会塌陷,也表现为白肺的情况。这种情况,比如肿瘤压迫,有些痰栓也会引起,这时候有经验的影像科医生或者临床医生可以鉴别出来。
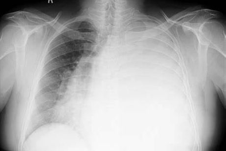
图片
肺不张
 4.  肺梗死
还有一种情况,就是肺部血管的疾病,导致供氧的肺组织出现了坏死,这时候也会出现正常的肺组织不能通气,这种情况下也可能出现白肺的情况。
以上就是比较常见的4种情况,它们都可能引起白肺。
白肺和普通肺炎的情况
正如上面说的,重症肺炎是白肺的一种原因。对于大部分的肺炎病人来说,并不会表现为白肺这样的重症肺炎,而是部分肺叶的部分改变,呈小片状的白色改变,并不会累积到多个肺叶。有些即便会累积到多个肺叶,但是炎症渗出不严重,肺泡仍然具备一定程度的通气功能,在临床上,病人不会出现严重的低氧血症,并不需要入住ICU。
哪些人容易出现白肺
这个问题,换一种问法就是,哪些人容易出现重症肺炎,或者哪些人容易出现严重的肺水肿。由于大家现在比较关心新冠肺炎,因此我们就讲讲重症新冠肺炎,多见于哪些人群,有如下五类:
1.年龄65岁以上
2.免疫抑制状态(比如长期使用激素等)
这里需要解释下,所谓的免疫抑制状态,就是正常的免疫功能因为疾病或者药物受到了影响(比如艾滋病,比如器官移植的病人),长期服用免疫抑制剂这类药物,还有长期服用激素的人以及患有类风湿疾病的人,都属于免疫抑制。而不是大家所谓的“免疫力”差,其实这个概念比较模糊。真正的免疫抑制状态,是非常确切诊断的。
3.有重要器官慢性疾病史(比如心脑肾肺等)
这个比较好理解,有心脏病的,中风过的,有慢性肾脏病的,在透析的病人,还有比如肺气肿的病人,长期需要呼吸机帮忙呼吸的,这些都很麻烦。
4.有多种并存疾病
这个也好理解,有些人虽然病情不如上面的重,但是有多种疾病,比如既有心脏病,又有肺病,然后肾脏还不好,也需要小心。
5.病情进展快的
还有一类人,我们需要注意,如果感染之后,迅速的出现血氧饱和度下降,低于94%,特别是上面的这些高危人群,需要特别小心,说明很快累积到了肺部,需要去医院,密切监测。
什么时候需要排查是不是有肺炎
这是大家最关心的问题,我之前其实也讲过了,这里再和大家讲一次。
高热一直不退,比如持续5天,还在39℃以上。
呼吸急促,喘气了。我们正常成人,一分钟呼吸是在20次以下的,如果你现在30次了,那就要小心,这个指标和肺炎的相关性还是挺大的。
体温已经正常了1-2天,突然又出现了高热,39℃以上,伴有呼吸急促,也需要重视。
精神状态很差,一天不如一天,或者不见好转,也需要重视。
当然,如果家里有血氧饱和度仪,当血氧饱和度低于94%,也是需要警惕的。
如果只是单纯的咳嗽,不伴有呼吸困难,不伴有发热,不伴有精神状态差,不建议去做CT。
另外,黄痰也不是要去排查肺炎的标志,也不需要去做CT。其实不管是病毒感染还是细菌感染,黄痰都可以出现。
白肺怎么治疗
正如上面说的,形成白肺的原因不一样,治疗起来其实也是不一样的。现在大家最关心的是重症新冠肺炎的治疗,我结合NIH的新冠治疗指南来说一下。
对于重症肺炎来说,如果真的表现为白肺,一般都需要进行气管插管上呼吸机了,有些甚至已经用上了ECMO,对于这样类型的严重肺炎,该怎么治疗呢?
治疗的原则主要是:
使用血管活性药物或者血液透析来维持血压和血流动力学稳定;
使用呼吸机保持肺部的正常功能;
如果有休克,积极复苏;
如果没有确切的细菌感染证据,是不建议使用广谱的抗生素的,同时建议每天评估一次相关的证据,是否需要启动或者终止抗生素治疗。
总之,如果真是白肺了,治疗起来还是有点困难的,需要多学科团队的协作。
审核 | 可友线上医生崔磊
排版 | 丽
参考文献
[1]https://files.covid19treatmentguidelines.nih.gov/guidelines/covid19treatmentguidelines.pdf