省医专家精准联合“除”肿瘤,助力晚期多元大肠癌男子重获生机

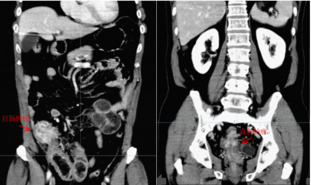
湖南长沙69岁的李先生2022年3月27日因腹部隐痛湖南省人民医院结直肠肛门外科门诊就诊,入院完善相关检查后诊断为“大肠多元癌并腹腔广泛转移并不完全性肠梗阻”。
因患者病情复杂,结直肠肛门外科、肿瘤科、影像科立即组织MDT讨论,决定先予以手术解除肠梗阻,改善营养情况,为后续化疗及靶向治疗创造条件,以期控制肿瘤生长,甚至完成由不可切除肠癌向可切除肠癌转化。
图片
在2022年4月3日施行的腹腔镜探查术中发现,大肠肿瘤分别位于盲肠及直肠中段,均广泛侵犯周围组织器官,且大网膜、腹膜多发种植转移,无法切除,遂予以末端回肠造口解除肠梗阻,并进行腹腔热灌注化疗。
术后按计划予以化疗及靶向治疗,期间多次评估肿瘤变化并组织MDT讨论,调整治疗方案。
经过9个周期的化疗及5个周期的靶向治疗后,评估盲肠及直肠肿瘤均有不同程度退缩。
经结直肠肛门外科、泌尿外科、肿瘤科、影像科MDT讨论,认为有根治性切除可能,并由黄忠诚主任医师、肖志刚主任联合泌尿外科李远伟主任共同制定了详细的手术方案。
经过充分术前准备后,于2022年12月18日由结直肠肛门外科联合泌尿外科及麻醉科完成腹腔镜下直肠癌扩大切除吻合、盲肠癌扩大切除、盆底腹膜结节切除、腹膜后肿块切除、大网膜切除、腹膜转移结节射频、右侧精囊腺部分切除、右侧输尿管探查、双侧输尿管镜检、双侧D-J管置入、腹腔热灌注管置入术
图片
经过9个小时的紧张操作,完成大肠多元癌原发灶及转移灶的R0切除。术后,患者生命体征平稳。
手术当日即予以腹腔热灌注治化疗,术后施行快速康复方案,患者恢复良好,第二天已能下床活动,第三天肠道功能恢复,可进食半流质饮食,并于2022年12月27日康复出院。
黄忠诚主任医师指出,该患者是由无法根治性切除转化为可根治性切除的成功案例。
经多学科通力合作,完成晚期大肠多发癌的根治性切除,充分体现了湖南省人民医院结直肠肛门外科、泌尿外科、麻醉科、肿瘤科及影像科的综合实力,对延长患者生存期具有积极意义,也是对晚期多元性大肠癌治疗方案的一次重要探索。
(编辑Rainbow。)
湖南医聊特约作者:湖南省人民医院 结直肠肛门外科 周宇帆