颅内注射B7-H3的CAR T疗法在恶性脑瘤中显示初步有效性与安全性

撰文 | 周叶斌
弥漫性内生性脑桥脑胶质瘤(diffuse intrinsic pontine glioma,DIPG)是一种发生于脑干的致命恶性肿瘤。在美国大约每年有300名儿童确诊,中位确诊年龄为6岁。约有85%的DIPG因为有组蛋白H3的K27M基因突变,被重新归类为弥漫性中线胶质瘤(diffuse midline glioma,DMG),但所有的DIPG预后都很糟糕,由于恶性程度高、进展快,确诊后平均预期生存时间只有10个月,5年生存率不到1%。而DIPG的标准疗法自从引入了焦点放疗后未有进展,为提升患儿的生存质量与存活率,亟需新的治疗手段。
作为一种新型的肿瘤治疗手段,CAR T在血液瘤中展现了良好的临床效果,不过这类治k疗在DIPG领域的探索才刚开始。B7-H3(CD276)是B7蛋白家族的成员,几乎在非典型畸胎瘤样/横纹肌样瘤、DIPG、DMG、随母细胞瘤以及高级别胶质瘤中都有表达。现在也是一个非常热门的肿瘤新药靶点。
2022年10月19日,由美国华盛顿大学的 Julie R. Park 博士牵头的联合研究团队在 Cancer Discovery 上发表了题为 Intraventricular B7-H3 CAR T cells for diffuse intrinsic pontine glioma: preliminary first-in-human bioactivity and safety 的论文。文章描述了一种B7-H3 CAR T治疗的临床前抗肿瘤有效性,以及一项儿童与年轻成人复发/难治型中枢神经系统肿瘤与DIPG的单中心一期临床试验的部分中期分析结果。在前三位由可分析数据的DIPG患者中,没有发现剂量限制性毒性,也有免疫激活的证据,还有位患者有长达12个月的临床与影像学改善。这些数据显示,反复在颅内注射B7-H3 CAR T是可行的,有可能成为DIPG的潜在新疗法。
由于中枢神经系统肿瘤广泛表达H7-H3,研究人员在单克隆抗体MGA271的基础上设计了B7-H3的CART T。细胞实验证实了采用不同间距设计的B7-H3 CAR T均能对B7-H3阳性的中枢神经系统肿瘤模型(U87,D283和PBT-29)诱导细胞裂解和细胞因子的生成。其中,中等间隔(M-spacer)的B7-H3 CAR T对DPIG模型PBT-29产生了最特异的细胞裂解。而在U87的胶质瘤移植动物模型里,几种B7-H3 CAR T相比对照也延长中位生存时间达61天。根据这些结果,中等间距的B7-H3 CAR T被选为临床试验中使用的设计。
B7-H3 CAR的设计示意图:(a)与不同间距(spacer)设计的CAR在小鼠胶质瘤移植模型中的抗肿瘤效果(c)
根据上述临床前实验结果以及过往试验显示,在中枢神经系统肿瘤患者身上多次局部递送CAR T可行且可耐受,研究人员展开了一项名为BrainChild-03的单中心一期临床试验。该试验招募1~26岁患有复发/难治中枢神经系统肿瘤的儿童与年轻成人,接受多次的局部B7-H3 CAR T用药。其中DIPG患者是在该试验的Arm C,使用中枢神经系统导管(主要为Ommaya)输入CAR T(每次剂量为10^7个细胞)。由于需要做多次CAR T输入,患者不需要做淋巴细胞清除。此外,因为Arm C是针对在脑桥的肿瘤,不是针对某个分子亚型,所以在入组标准上也不需要有H3 K27M突变。B7-H3在这类肿瘤里普遍高表达,因此也不要求事先做活检确认它的表达。实际最后入组的患者大部分都在CAR T前做了多轮抗肿瘤治疗。
CAR T生产用了1:1比例混合的富集CD4与CD8细胞部分,使用以往就报道过的IL-7,IL-15和IL-15细胞培养扩增方法。但在BrainChild-03试验中还加入了甲氨蝶呤(MTX)筛选,这是因为B7-H3 CAR T的设计加入了具有甲氨蝶呤抗性的DHFR突变体。这也使得通过甲氨蝶呤筛选可以迅速生产出表达有B7-H3 CAR的T细胞。入组Arm C的5位患者都生产了足够的CAR T。
图片
入组患者的治疗流程与5位入组患者的CAR T生产量、时间
研究人员也对生产出来的CAR T做了功能分析。发现不同患者的CD8+ CAR T在表型上类似,只有S006患者在细胞组成中有比较多的CD38高表达CD127低表达细胞,与其它患者有异。使用PMA/ionomycin刺激后,大部分CD8+ CAR T都表达了较高的IFNgamma、GM-CSF、granzyme-B、perforin和TNFalpha,而PD-1表达很低,显示细胞都有很好的激活。其中S006的CD8+ CAR T大部分是IFNgamma低表达细胞,与其他患者不同。不同患者的CD4+ CAR T在表型与功能上也类似。总之,这些质量检验实验证明利用甲氨蝶呤筛选快速生产B7-H3 CAR T是可行的。
图片
体外实验验证B7-H3 CAR T可被激活
入组Arm C的患者如果完成了两次疗程,即4次B7-H3 CAR T输入,或者前一次输入出现剂量限制性毒性,就属于可分析安全性的主要终点。在最初入组的5位患者中,S005、S008与S014分别接种了10、18与12次CAR T输入,属于可做分析的患者。S006之前经历过多种治疗与多次疾病进展,在做了一次CAR T输入后疾病仍然在进展,在这种情况下,经过主治医生与患者家属商议,终止后续试验,转而接受维持治疗。S007则在采血后疾病进展迅速,没有接受CAR T输入。在试验中,没有患者出现剂量限制性毒性。最常见的可能与治疗相关的不良反应包括头痛、恶性/呕吐与发烧。这些往往发生在输入CAR T的24小时内,在72小时内又恢复正常。
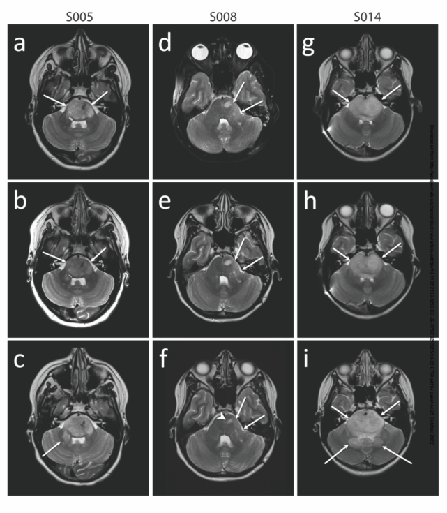
患者在接受完两个治疗疗程(8周)会做神经影像检查。S005与S014是在肿瘤出现进展后入组,两位患者经过6个月的治疗,在影像上出现了肿瘤体积增加,对应了细胞浸润到右侧脑桥臂(right brachium pontis)。而S008是在肿瘤进展前入组,接受CAR T治疗后在影像上出现了肿瘤体积轻度缩小。到第八次CAR T输入时,患者已有临床症状上的改善,改善一直持续到加入试验12个月后,此时患者决定终止试验,回到自己本地的机构治疗。
图片
3位患者接受治疗后不同时间的影像跟踪
在试验过程中,没有患者出现颅内压升高或需要紧急神经手术干预。S005在进展性疾病下从入组起存活17个月(确诊起36个月),S008从入组起具有稳定疾病存活16个月(确诊起20个月),S014进展性疾病入组起存活12个月(确诊26个月)。S005与S014这两位疾病进展后入组的患者在CAR T治疗开始后分别存活了494天与328天。
在对脑脊液的流式细胞仪检测中,S005与S008患者样本中都检测到了CAR T。S014因医生不建议从Ommaya中抽取样本,因此脑脊液样本较少,未检测到CAR T。对脑脊液、血清的各种细胞因子检测中也观察到了免疫激活的迹象。
综合全文,研究人员开发了一种B7-H3的CAR T治疗,该CAR T在临床前实验中的有抗肿瘤作用,也在初步的临床试验里显示了良好的耐受性。这种新型CAR T在生产过程中利用了甲氨蝶呤(MTX)筛选,加速了制备过程。
从结果来看,为患者在较短时间内制备足够数量的CAR T,用于多次输入是可行的。虽然该临床试验较为初步,仅用了最低剂量,但没有患者出现剂量限制性毒性,脑脊液、血清分析都显示有免疫激活,这些都是积极的信号。作为恶性程度极高的DIPG,试验中观察到有患者出现影像与临床改善颇为难得,患者们的存活时间也较久,这些都预示着B7-H3 CAR T可能会是DIPG的潜在疗法。但是为克服肿瘤抗原异质性,最终治疗DIPG可能需要不同靶点的治疗方案联合使用,这也是研究人员下一步尝试的方向。而该试验也在继续进行,包括更高剂量的招募,我们也期待在DIPG这类极为恶性的儿童脑瘤中,今后有更多研究突破。
撰文
  
图片
制作
排版 | Sheila   校对 | uu