可乐加炸鸡,原来是这样诱惑大脑的!《自然》子刊揭示垃圾食品为何令人着迷

▎药明康德内容团队编辑  
我们都知道,冰淇淋、芝士蛋糕、可乐配炸鸡……这些高脂、高糖的食物容易让我们长胖。更多研究也告诉我们,这些食物的危害不仅于此:它们在代谢后可以摧毁我们的胰腺细胞,还会损伤中枢神经系统……
但问题是,明知道不健康,可当我们面对这些高脂、高糖食物,大脑常常像是受到诅咒一般无法抵御诱惑。甚至即使已经填饱了肚子,但看到甜品,还是能再多“长”出一个胃,这是怎么回事?
现在,一项发表于《自然·神经科学》的研究揭开了这类食物向大脑发出的“咒语”。美国冷泉港实验室李波教授团队在小鼠实验中发现,之所以高脂、高糖的食物格外具有吸引力,即使在已经吃饱的情况下也难以抗拒,根源在于大脑杏仁核延长区域的一组神经元。针对这些神经元,未来科学家或许可以开发出安全有效的减肥疗法。
图片
无论是我们还是这项研究用到的小鼠,对高脂、高糖食物都有着别样的喜好——这类食物的意义已经超出了生存,而是成了一种愉悦的享受。这种行为也被称作“享乐型进食”(hedonic eating)。
享乐型进食让我们长胖,而要通过调节身体的稳态来长期控制体重,则会受到自身代谢过程的限制。无论是限制能量摄入还是多运动,代谢的适应性都会试图逆转我们努力取得的进展。另一方面,辅助减肥的药物往往存在副作用。因此从机制出发,开发更具针对性的干预措施就显得尤其重要。
明确控制享乐型进食的神经回路,对于为那些难以控制体重的人开发更有效的疗法,有着重要意义。”李波教授说。
图片
图片来源:123RF
以往的研究提供了一些线索。作为杏仁核延伸区域(在杏仁核外部,与杏仁核紧密连接的一些区域)的主要结构,前连合后肢间质核(IPAC)区域的神经元在味觉刺激下会变得活跃。不过,此前的研究尚未揭示IPAC在机体能量稳态中的作用。
在最新研究中,李波教授团队试图揭开IPAC中表达神经降压素(neurotensin)的神经元(简称IPACNts神经元)对于饮食选择和代谢过程的影响。
研究团队通过光遗传手段激活IPACNts神经元,结果这样的操作促进小鼠形成容易导致肥胖的享乐型进食习惯,并且小鼠对美味食物的喜好也受到了调控。IPACNts神经元的活动对于建立饮食喜好、指导能量消耗都起着重要作用。
相反,暂时抑制这些神经元的活动时,小鼠的食物摄入以及享乐型进食行为都明显更少。而在IPACNts神经元永久性失活的小鼠中,也观察到了类似的效果。进一步的实验说明暂时性抑制神经元活动,可以对进食产生持续数日的较长期影响,从而实现降低能量摄入、预防体重增长的效果。
图片
▲研究团队发现,图中绿色的神经元能诱导享乐型进食行为(图片来源:Bo Li Lab/CSHL/2022)
只是影响进食还不够,研究团队进一步揭示了这些神经元对能量消耗的影响:IPACNts神经元失活的小鼠有氧运动量迅速增加,并且实现了长期减重、提升了代谢健康。研究指出,这样的变化可能是因为,神经降压素1型受体在特定脑区中调控能量消耗与运动行为,而IPACNts神经元恰好投射至这一区域,从而促进运动行为与能量消耗。
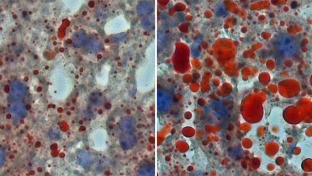
图片
▲当IPACNts神经元失活时,小鼠肝脏中的脂滴(红色颗粒)明显更少(左图)(图片来源:Bo Li Lab/CSHL/2022)
由此,这项研究揭示了IPACNts神经元对于编码对“垃圾食物”的喜好、调节进食选择与能量消耗的作用,证实了单一的神经元集群能够实现对能量稳态的双向调控。
研究团队表示,目前他们正在探索操控这些神经元的方式。接下来,他们将检验这些神经元如何响应不同类型的食物。最终,对IPACNts神经元的探索或许能为我们找到控制不健康饮食摄入、治疗肥胖的新策略。
封面图来源:123RF
参考资料:
[2] Got junk food on the brain? These cells may be to blame. Retrieved October 20th, 2022 from https://www.eurekalert.org/news-releases/968561
图片
图片
图片
图片