产KPC酶肺炎克雷伯菌变脸:复杂突变导致的治疗失败

【2022年感染性疾病案例展示决赛稿件】
作者:丁丽1秦晓华2胡付品1
单位:复旦大学附属华山医院抗生素研究所:1.临床微生物室,2.临床应用室
头孢他啶-阿维巴坦与亚胺培南联合治疗产KPC-33型碳青霉烯酶肺炎克雷伯菌肺部感染一例
前言
随着头孢他啶-阿维巴坦应用后,产KPC新亚型碳青霉烯酶肺炎克雷伯菌开始在临床上不断被检出,因其对头孢他啶-阿维巴坦耐药且KPC变异体易恢复为KPC野生型,给临床抗感染治疗及微生物实验室碳青霉烯酶检测均带来极大挑战,尚未有明确的治疗方案,对全球公共健康构成严重威胁。本病例拟探讨产KPC新亚型碳青霉烯酶肺炎克雷伯菌感染的诊疗优化方案。
图片
图1 NCBI数据库中KPC新亚型报道数目逐年递增
案例经过
患者,男,22岁,56kg,于2020年12月在当地医院确诊非霍奇金淋巴瘤,于2021年7月行造血干细胞移植。术后患者出现高热、咳嗽咳痰,血液、痰液及粪便培养均回报碳青霉烯类耐药肺炎克雷伯菌(CRKP),诊断为CRKP血流感染、CRKP肺部感染。同时住院期间筛查到有CRKP肠道定植。先后予以美罗培南、多黏菌素、替加环素、头孢他啶/阿维巴坦等药物抗感染治疗。患者咳嗽咳痰症状仍未改善,CT显示双肺多发结节和斑片影,符合肺部感染表现,故于2021年10月,因造血干细胞移植术后发热伴咳嗽咳痰3月余收入复旦大学附属华山医院进行治疗(Day1)。
入院后,患者继续予以头孢他啶-阿维巴坦抗感染治疗(Day1- Day7),治疗一周后,患者仍有咳嗽咳痰症状,肺部炎症较前一次略有好转。第6天痰培养回报头孢他啶-阿维巴坦耐药CRKP(命名为HS01),药敏结果显示该细菌对亚胺培南、替加环素敏感,对美罗培南、多黏菌素、头孢他啶-阿维巴坦等抗菌药物耐药(图2)。酶联免疫层析法NG-testCarba5检测细菌碳青霉烯酶,结果显示为阴性,随即使用PCR及测序发现,HS01携带blaKPC-33。入院后第8天,根据细菌药敏结果调整抗感染治疗方案为亚胺培南西司他汀钠(1g,q8h)联合替加环素(100mg,q12h)静脉滴注。治疗1周后,患者咳嗽咳痰症状较前改善。
图片
图2 临床分离肺炎克雷伯菌HS01药敏结果及酶型检测图(A:联合药敏图;B:酶抑制剂增强试验:阴性;C:NG-testCarba 5:阴性)
但入院后第十六天,患者痰培养检出头孢他啶-阿维巴坦敏感CRKP(命名为HS02),药敏结果显示该细菌对头孢他啶-阿维巴坦、替加环素敏感,对亚胺培南、美罗培南、多黏菌素等耐药(图3)。NG-testCarba5检测结果显示KPC阳性,该细菌携带KPC型碳青霉烯酶。随即使用PCR及测序发现,HS02携带blaKPC-2。考虑患者体内不排除同时存在KPC-2阳性、KPC-33阳性肺炎克雷伯菌的感染,故再次调整抗感染方案,方案更改为头孢他啶/阿维巴坦2.5gq8h联合亚胺培南1gq8h。随后患者临床症状明显改善,咳嗽咳痰改善。第21天及第23天痰培养均未检出肺炎克雷伯菌,肺部CT显示阴影较前有所吸收,入院后第23天患者结束该阶段抗感染治疗,好转出院。
图片
图3 临床分离肺炎克雷伯菌HS02药敏结果及酶型检测图(A:联合药敏图;B:酶抑制剂增强试验:A类丝氨酸碳青霉烯酶阳性;C:NG-testCarba 5:KPC阳性)
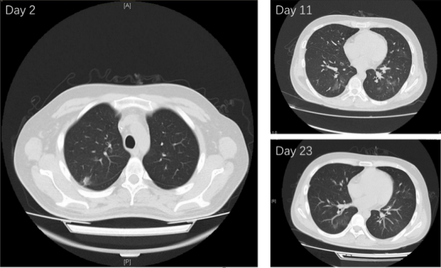
图片
图4 患者入院第2天、第11天及第23天肺部CT结果(第23天肺部CT结果显示阴影较前有所吸收)
图片
图5 患者抗菌药物使用史及微生物培养结果
表1 肺炎克雷伯菌HS01和肺炎克雷伯菌HS02抗菌药物敏感性分析
图片
R,耐药;S, 敏感
表2 肺炎克雷伯菌HS01和肺炎克雷伯菌HS02携带耐药基因汇总
图片
案例分析
临床案例分析
如何治疗产KPC新亚型肺炎克雷伯菌感染?
头孢他啶-阿维巴坦、多黏菌素以及替加环素是治疗碳青霉烯类耐药肠杆菌目细菌感染的最后一道防线。但近年来国内外均有报道患者在使用头孢他啶-阿维巴坦治疗中,肺炎克雷伯菌携带的KPC-2突变为KPC-33等变异型,从而使得细菌对头孢他啶-阿维巴坦耐药,导致治疗失败。虽目前国内外关于KPC新亚型肺炎克雷伯菌感染治疗均没有相关指南推荐,但结合抗生素研究所临床微生物室前期收集的产KPC新亚型肺炎克雷伯菌感染患者特点发现在使用单药治疗后,细菌容易出现KPC-2或KPC-33交替变换,所以综合考虑该菌特点,使用头孢他啶-阿维巴坦联合亚胺培南进行治疗。
检验案例分析
如何帮助临床诊断和治疗产KPC新亚型肺炎克雷伯菌感染?
该病例是一例由产KPC-2肺炎克雷伯菌和产KPC-33肺炎克雷伯菌交替所致的肺部感染。KPC-33等变异型往往表现对亚胺培南及美罗培南低度耐药甚至敏感,且由于其对碳青霉烯类药物的水解能力减弱,从而使得基于以碳青霉烯酶水解碳青霉烯类药物为原理的mCIM试验和碳青霉烯酶抑制剂增强试验等碳青霉烯酶表型检测方法呈现假阴性的结果。
本实验室综合患者前期头孢他啶-阿维巴坦用药史、细菌药敏结果、PCR及测序结果最终鉴定该菌携带KPC-33型碳青霉烯酶,并积极与临床主动沟通,告知携带KPC新亚型细菌特点。
知识拓展
碳青霉烯酶类耐药肠杆菌目因其耐药率高、携带多种耐药基因使得可选抗菌药物有限、死亡率高,已被WHO列为最紧急威胁,急需研发新型抗菌药物。临床研究显示碳青霉烯酶耐药肺炎克雷伯菌血流感染死亡率已高达50%以上,是碳青霉烯类敏感肺炎克雷伯菌的2-3倍。头孢他啶-阿维巴坦因其能够抑制A类、C类以及部分D类碳青霉烯酶的活性备受青睐,成为治疗碳青霉烯类耐药肺炎克雷伯菌感染的一线抗感染药物(1,2)。不幸的是,KPC新亚型的快速出现给临床抗感染诊疗带来了新的挑战。KPC新亚型,相较于KPC-2或KPC-3发生关键位点的氨基酸替换或插入,从而使得细菌对头孢他啶-阿维巴坦耐药(3)。
值得注意的是患者使用头孢他啶-阿维巴坦抗感染治疗2周左右是KPC新亚型出现的主要危险因素。使用头孢他啶-阿维巴坦后出现耐药菌株的原因尚不明确,推测可能与头孢他啶-阿维巴坦的剂量不足有关,因而在使用头孢他啶-阿维巴坦抗感染治疗时,需要及时、多次送检标本进行微生物培养和药敏试验检测,以掌握患者体内KPC酶的动态变化。
目前产KPC新亚型碳青霉烯酶肺炎克雷伯菌感染的治疗尚不清晰。体外数据显示美罗培南-韦博巴坦对产KPC新亚型碳青霉烯酶肺炎克雷伯菌具有良好的抗菌活性(4)。零星的病例报道显示美罗培南-韦博巴坦在治疗产KPC-31型碳青霉烯酶肺炎克雷伯菌感染取得成功(5)。遗憾地是,美罗培南-韦博巴坦目前仅在少数国家上市,而KPC新亚型已在多个地区和国家检出,急需有效的抗感染治疗方案(3,6)。
有趣的是多数产KPC新亚型碳青霉烯酶肺炎克雷伯菌恢复对美罗培南或亚胺培南的敏感性,表明这些药物具有潜在的治疗作用。在9例使用碳青霉烯类或联合其他抗菌药物治疗产KPC变异体碳青霉烯酶肺炎克雷伯菌感染中,5例感染成功治愈(3,7-12)。然而在本病例中,在停用头孢他啶-阿维巴坦,使用亚胺培南联合替加环素治疗产KPC-33碳青霉烯酶肺炎克雷伯菌(亚胺培南MIC=0.5mg/L)后,KPC-2很快恢复至优势克隆,从而导致使用亚胺培南作为替代治疗方案失败。无独有偶,Shi(3)等人的报道同样显示亚胺培南作为产KPC-33碳青霉烯酶肺炎克雷伯菌的挽救治疗的失败,当使用亚胺培南治疗后,患者体内重新出现KPC-2克隆,这可能与患者体内同时存在KPC-2以及KPC-33两种克隆有关。
本病例最终使用头孢他啶-阿维巴坦与亚胺培南的联合抗感染方案取得成功,头孢他啶-阿维巴坦与亚胺培南联合的方案能够同时杀灭KPC-2阳性肺炎克雷伯菌和KPC-33阳性肺炎克雷伯菌,阻断了KPC-2与KPC-33之间反复替换的可能。体外数据同样显示头孢他啶-阿维巴坦与亚胺培南的组合能够有效防止KPC-3肺炎克雷伯菌出现KPC-X耐药亚群的出现。但头孢他啶-阿维巴坦与碳青霉烯类联合使用在体内是否能够有效防止KPC-X耐药菌的出现尚未有定论,本病例中头孢他啶-阿维巴坦与亚胺培南组合的成功或能够为美罗培南-韦博巴坦尚未上市的国家提供参考。
KPC新亚型碳青霉烯酶的出现无疑是耐药菌新增的强有力武器,不仅给临床抗感染治疗增加难度,也给微生物实验室检测碳青霉烯酶带来极大的挑战。多种KPC变异体能够躲过碳青霉烯酶表型检测方法(包括mCIM,酶抑制剂增强试验)、酶联免疫层析法(如NG-testCarba5),造成假阴性的结果,从而进一步延误临床抗感染治疗。当临床微生物实验室遇到此类菌株(头孢他啶-阿维巴坦耐药、亚胺培南敏感且碳青霉烯酶表型检测方法阴性)时,需要引起警惕,及时使用分子生物学手段检测碳青霉烯酶基因型。
案例总结
本文报道一例严重血液病患者肺部KPC-2阳性肺炎克雷伯菌和KPC-33阳性肺炎克雷伯菌交替感染,使用头孢他啶-阿维巴坦与亚胺培南联合治疗,最终实现病原学清除和临床改善。目前KPC新亚型的报道数目在不断增加,国外虽有文献报道美罗培南-韦博巴坦在治疗产KPC新亚型肺炎克雷伯菌感染方面颇具优势,但目前美罗培南-韦博巴坦仅在少数国家及地区上市。在美罗培南-韦博巴坦尚未上市的低资源国家及地区,急需在现有抗菌药物中选择出合理有效的搭配组合。本病例中头孢他啶-阿维巴坦与亚胺培南联合使用的成功经验可为无法获得新型抗菌药物的国家及地区提供参考。
专家点评
新KPC亚型肺炎克雷伯菌所致感染,是目前临床抗感染治疗的新挑战。由于该类耐药菌株往往均是在治疗过程中演变为耐药,且药敏谱表型独特,常规碳青霉烯酶表型和基因型检测方法又往往呈现假阴性结果,容易误导临床的抗感染治疗。因此,加强新KPC亚型肺炎克雷伯菌所致感染实验室和临床特征的认识,是及早进行精准抗感染治疗的关键。
参考文献
1.YinD, Wu S, Yang Y, Shi Q, Dong D, Zhu D, et al. Results from the ChinaAntimicrobial Surveillance Network (CHINET) in 2017 of the In VitroActivities of Ceftazidime-Avibactam and Ceftolozane-Tazobactamagainst Clinical Isolates of Enterobacteriaceae and Pseudomonasaeruginosa. Antimicrob Agents Chemother. 2019;63(4).
2.YahavD, Giske CG, Grāmatniece A, Abodakpi H, Tam VH, Leibovici L. Newβ-Lactam-β-Lactamase Inhibitor Combinations. Clin Microbiol Rev.2020;34(1).
3.ShiQ, Yin D, Han R, Guo Y, Zheng Y, Wu S, et al. Emergence and Recoveryof Ceftazidime-avibactam Resistance in blaKPC-33-Harboring Klebsiellapneumoniae Sequence Type 11 Isolates in China. Clin Infect Dis.2020;71(Suppl 4):S436-s9.
4.HackelMA, Lomovskaya O, Dudley MN, Karlowsky JA, Sahm DF. In Vitro Activityof Meropenem-Vaborbactam against Clinical Isolates of KPC-PositiveEnterobacteriaceae. Antimicrob Agents Chemother. 2018;62(1).
5.TiseoG, Falcone M, Leonildi A, Giordano C, Barnini S, Arcari G, et al.Meropenem-Vaborbactam as Salvage Therapy for Ceftazidime-Avibactam-,Cefiderocol-Resistant ST-512 Klebsiella pneumoniae-Producing KPC-31,a D179Y Variant of KPC-3. Open Forum Infect Dis. 2021;8(6):ofab141.
6.VendittiC, Butera O, Meledandri M, Balice MP, Cocciolillo GC, Fontana C, etal. Molecular analysis of clinical isolates ofceftazidime-avibactam-resistant Klebsiella pneumoniae. Clin MicrobiolInfect. 2021;27(7):1040.e1-.e6.
7.ShieldsRK, Nguyen MH, Press EG, Chen L, Kreiswirth BN, Clancy CJ. Emergenceof Ceftazidime-Avibactam Resistance and Restoration of CarbapenemSusceptibility in Klebsiella pneumoniae Carbapenemase-Producing Kpneumoniae: A Case Report and Review of Literature. Open Forum InfectDis. 2017;4(3):ofx101.
8.GiddinsMJ, Macesic N, Annavajhala MK, Stump S, Khan S, McConville TH, et al.Successive Emergence of Ceftazidime-Avibactam Resistance throughDistinct Genomic Adaptations in bla(KPC-2)-Harboring Klebsiellapneumoniae Sequence Type 307 Isolates. Antimicrob Agents Chemother.2018;62(3).
9.ShieldsRK, Potoski BA, Haidar G, Hao B, Doi Y, Chen L, et al. ClinicalOutcomes, Drug Toxicity, and Emergence of Ceftazidime-AvibactamResistance Among Patients Treated for Carbapenem-ResistantEnterobacteriaceae Infections. Clin Infect Dis. 2016;63(12):1615-8.
10.ShieldsRK, Chen L, Cheng S, Chavda KD, Press EG, Snyder A, et al. Emergenceof Ceftazidime-Avibactam Resistance Due to Plasmid-Borne bla(KPC-3)Mutations during Treatment of Carbapenem-Resistant Klebsiellapneumoniae Infections. Antimicrob Agents Chemother. 2017;61(3).
11.GaibaniP, Campoli C, Lewis RE, Volpe SL, Scaltriti E, Giannella M, et al. Invivo evolution of resistant subpopulations of KPC-producingKlebsiella pneumoniae during ceftazidime/avibactam treatment. JAntimicrob Chemother. 2018;73(6):1525-9.
12.CanoÁ, Guzmán-Puche J, García-Gutiérrez M, Castón JJ,Gracia-Ahufinger I, Pérez-Nadales E, et al. Use of carbapenems inthe combined treatment of emerging ceftazidime/avibactam-resistantand carbapenem-susceptible KPC-producing Klebsiella pneumoniaeinfections: Report of a case and review of the literature. J GlobAntimicrob Resist. 2020;22:9-12.
志谢:感谢碧迪医疗器械(上海)有限公司对【2022年全国感染性疾病检验与临床案例展示活动】的大力支持!
编辑:笪文武 审校:方 琪