15岁少年一吃就吐,十二指肠狭窄如针孔!竟与这种生活方式有关

图片
不吃早饭、暴饮暴食、
吃饭不准时、爱点快餐外卖
······
这是当代不少年轻人的饮食习惯
图片
最近
江苏省中医院普内科
就收治了一名年轻的患者
虽然只有15岁
却因长期不规律的饮食习惯
引起十二指肠降部溃疡
导致针孔样狭窄
出现呕吐等严重症状
高中少年呕吐不止
最多时吐了2000多毫升胃液
15岁的振宇(化名)来自泰州,二周前因咽痛、鼻塞流涕等,服用感冒药次日出现恶心呕吐,吃什么吐什么,而且上腹部阵阵疼痛。起初家人未特别重视,以为是得了急性胃肠炎,在当地医院输液治疗1周,但症状未见好转,呕吐越来越严重。家长开始紧张担心,经人推荐送到了江苏省中医院,住进了普内科病房。
图片
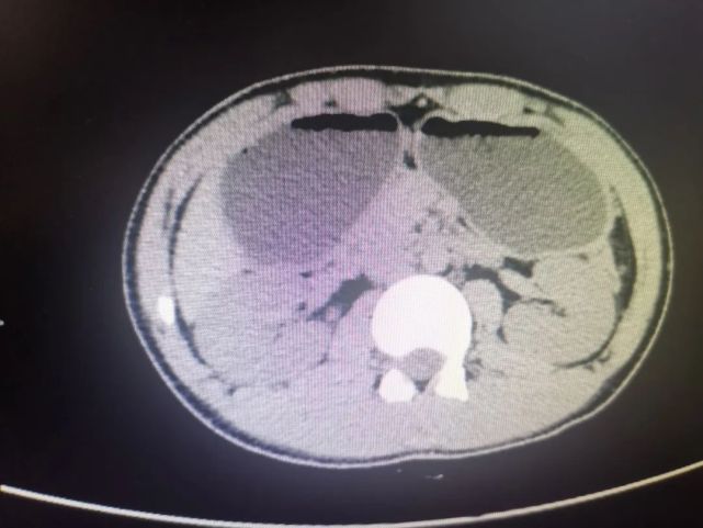
入院时,该患者神情疲乏,恶心呕吐不止,吃不好睡不好,形体消瘦,1米67左右的个子,体重只有50kg左右。”普内科主任陆为民介绍,全腹部CT显示,患者胃内有很多潴留液,一吃东西就吐,血液生化、动脉血气分析等检查结果显示,患者已经出现了急性肾功能损伤、代谢性碱中毒、低钾、低钠、高尿酸血症等症状。
图片
▲全腹部CT显示,患者胃内有很多潴留液
但入院第二天,振宇又开始觉得上腹部胀满,随之呕吐了约2000多毫升的墨绿色胃内容物。经胃镜检查,发现胃内有大量黄绿色液体潴留,局部见0.5cm溃疡。
图片
▲胃镜检查显示,患者十二指肠降部溃疡引起针孔样狭窄
“该患者由于十二指肠降部溃疡引起针孔样狭窄,吃的东西根本下不去,所以导致恶心呕吐,并出现急性肾功能损伤、水电解质及酸碱平衡紊乱。”陆为民主任认为,患者因为十二指肠降部狭窄梗阻,反复呕吐时间较长,出现了严重的并发症,容易并发胃肠功能的衰竭。
图片
▲陆为民主任正在为患者查房
经过积极治疗,目前振宇的症状已基本缓解,精神面貌改善,整体恢复良好。医生建议1个月左右复查胃镜观察他的溃疡愈合情况。
溃疡病容易导致并发症
不规律饮食是“祸根”
溃疡病一般是指胃溃疡和十二指肠溃疡,其发作呈周期性,发作期和缓解期交替出现,发作期间常伴有腹痛。“尽管溃疡病是一种常见疾病,但它引起的并发症危害极大,如幽门梗阻、十二指肠梗阻、出血、穿孔等并发症,严重者可危及生命,少部分胃溃疡甚至会导致癌变。”陆为民主任介绍。
振宇的父亲介绍,振宇从小体质就比较弱,以前偶尔也有呕吐的“毛病”,去年夏天游泳回来后吹了空调,当天凌晨便开始呕吐,送到当地医院输液后,没两天就好了,以为身体受凉就没当回事。父亲显得有些愧疚,要是早点重视起来就好了。据了解,振宇平时住校,早晨6点多上课,经常起床洗漱完不吃早饭就直接跑去上课,晚上也常吃油炸烧烤等夜宵,到23点多睡觉更是常事。
图片
如今,年轻人得消化性溃疡很常见,陆为民主任解释,这和长期不规律的饮食习惯有着密切的关系。最近,陆为民主任的门诊平均每天都有20多个左右消化道系统疾病的年轻患者前来就诊,“年轻人长期不规律的饮食习惯,再加上运动少,压力大,经常熬夜,情绪不稳定等因素都会诱发溃疡病的发生。”
年轻人掌握日常四关键
打造健康的胃肠道
陆为民主任告诫年轻人,身体健康是重中之重,要在完成工作或学业的同时,保证适当的运动、充足的睡眠和良好的饮食习惯,以防止消化系统疾病,特别是消化性溃疡及其并发症的发生。
1.适当的运动。(1)要注意劳逸结合,抽出时间运动,比如慢跑、骑自行车、游泳、中医八段锦、太极拳等。(2)保证“晒太阳”的时间。见不到阳光容易骨质疏松,适当的户外运动,多晒晒太阳,有利于保持胃肠功能的健康。
图片
2.充足的睡眠。睡眠充足不仅可以增加机体抵抗力,缓解疲劳,提高记忆力和促进新陈代谢,也可以增强消化功能,增加对营养物质的吸收及利用。
图片
3.良好的饮食习惯。(1)要注意“质”。保证营养均衡,瘦肉、鱼、鸡蛋、牛奶等蛋白质要摄入足够,多吃新鲜的蔬菜、水果以及清淡易消化食物,少吃快餐外卖等高油高糖高能量食品。(2)要注意“度”。注意食物的温度,食物不能太凉、太烫,尤其是夏季很多人爱吃冷饮,以图一时之快,时间一长容易导致胃粘膜受损,供血减少,影响胃分泌、动力等,从而引起炎症溃疡。注意吃饭的速度,充分咀嚼,细嚼慢咽。注意食物的软硬度,饮食应偏软些,少吃油炸、烧烤等偏硬的食物。此外,有溃疡病史的患者,竹笋、芦蒿等粗纤维的要尽量少吃或不吃。(3)要注意“量”。切忌暴饮暴食,食物摄入量突然增加,超过胃容量的正常水平,轻者会影响消化系统功能,重者会导致急性胃扩张、胃穿孔,甚至还可能诱发急性胰腺炎而危及生命。(4)要注意“节”。人的胃是有节律性的,尤其不要因为没时间、不喜欢、不饿或不想吃、节食减肥等而不吃早餐,如果饥饱不定,很容易打破消化系统的节律性,所以一日三餐要定时有规律。
4.加强心理调节。人的消化功能会随着情绪波动而出现“情绪化”的反应。众多能够影响自主神经功能的异常刺激,如压力过大、过度劳累、情绪紧张、焦虑、抑郁等,都可能导致胃肠蠕动减慢,消化液分泌异常,出现各种消化不良症状,引发消化性溃疡。所以平时要加强心理调节,必要时到心理专科进行诊断治疗。
戳这里关注我,看江苏新闻
详细报道请关注江苏公共·新闻频道
江苏广电融媒体新闻中心记者/ 杨雯
综合/ 江苏省中医院
编辑/ 圆圆
©江苏新闻
警惕!