《Science Adv.》浙大、清华:水凝胶递送miRNA,抑制骨关节炎大鼠的衰老,促进软骨再生!

骨关节炎(Osteoarthritis,OA)是一种常见的关节疾病,其特征是软骨进行性丧失和润滑滑液减少,目前缺乏有效的治疗方法。最近,科研人员提出了一种基于水凝胶的 miRNA递送策略,通过创建再生微环境来减轻软骨细胞衰老,从而使受损的软骨恢复活力,而软骨细胞衰老主要导致 OA 发育过程中的软骨分解。衰老相关 miRNA miR-29b-5p 首次被发现在 OA 软骨中显着下调,其上调通过 10-11 抑制基质金属蛋白酶和衰老相关基因 (P16INK4a/P21) 的表达-易位酶1(TET1)。一种可注射的生物活性自组装肽纳米纤维水凝胶被用于递送agomir-29b-5p,该水凝胶通过结合干细胞归巢肽SKPPGTSS进行功能化,同时进行内源性滑膜干细胞募集。持续的 miR-29b-5p 递送和滑膜干细胞的募集以及它们随后分化成软骨细胞导致成功的软骨修复和软骨细胞再生。该策略使基于 miRNA 的治疗方式成为 OA 治疗中手术的可行替代方案。
图片
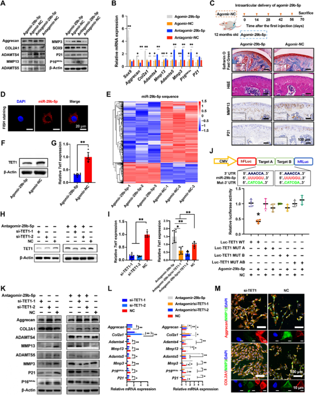
图1. 鉴定miR-29b-5p的功能和靶点。
图片
图2. 基于水凝胶的 miR-29b-5p 递送系统的表征。
图片
图3.从水凝胶释放的agomirs在体外的吸收和渗透以及在体内的延长作用。
图片
图7. SKP@miR 诱导 SMSC 募集并促进软骨形成分化。
图片
相关论文以题为Stem cell–homing hydrogel-based miR-29b-5p delivery promotes cartilage regeneration by suppressing senescence in an osteoarthritis rat model发表在《Science Advances》期刊上。通讯作者是浙江大学方向前主任医师、清华大学王秀梅研究员。
参考文献:
DOI: 10.1126/sciadv.abk0011