头颅 MRI 不会看?DWI、ADC、T1WI……这篇文章讲清楚了!

‍‍
‍‍磁共振成像(Magnetic Resonance Imaging,MRI)对于神经科疾病的诊断和鉴别诊断非常重要,准确的识别和判读 MRI 图像不仅仅是影像医师应掌握的技术,也已成为神经科医师的基本功之一。
如何进行磁共振图像的阅片呢?这篇文章对你一定会有帮助。
1 磁共振成像(MRI)概述
基本原理:磁共振成像是将人体置于强磁场内,此时体内的氢质子发生自旋运动而产生磁矩,操作者给予计算机指令让线圈发出事先设计好的不同外加磁场(即射频脉冲),使得氢质子发生重排,之后去除外加射频脉冲,反复多次并通过接收器采集信号,通过计算机后处理即得到 MRI 图像。
简单的来讲,相当于把一瓶水摇一摇,让水分子振动起来,再停止下来,反复多次,感受振动情况。而这些不同射频脉冲的排列和组合就形成了不同的检查序列。
对于 MRI 初学者,我们无须知道 MRI 图像怎么来的、射频脉冲怎么激发的、信号怎么采集的以及扫描参数如何调整优化的,因为 MRI 成像原理太复杂了且枯燥乏味很难理解,即使花费很大功夫,当时理解了,如果不常用,很快就会忘的一干二净。
我们只要知道怎么识别各个检查序列以及如何判读就可以了。下面以神经系统为例,介绍读片的步骤:
MRI 读片的前提:掌握脑部 MRI 的正常解剖及变异;
MRI 读片的基础:识别 MRI 不同检查序列及其应用;
MRI 读片的核心:分析和判读 MRI 图像及信号特点;
MRI 读片的目的:图像结合临床信息做出最终诊断。
2 磁共振图像如何识别?
01. MRI 扫描序列
MRI 扫描序列很多,包括:
T2 加权成像(T2WI)、T1WI 加权成像(T1WI)、扩散加权成像(DWI)、液体翻转恢复衰减序列(FLAIR)、T1WI 增强扫描、磁敏感加权成像(SWI)、动脉自旋标记灌注成像(ASL)、灌注成像(PWI)、磁共振波谱成像(MRS)、颅脑动脉成像(MRA)、颅脑静脉成像(MRV)等。
国内大多数医院无法将这些检查序列全部扫描。一般常规扫描序列是 T2WI、T1WI、FLAIR 和 DWI,DWI 在一些医院也不作为常规扫描序列,T1WI 增强扫描常根据需要进行扫描。
ASL、PWI、SWI 和 MRS 不作为常规扫描序列,有需要时有些医院会补充扫描。MRA 和 MRV 是单独收费项目,图像比较好识别,在此不做介绍。
02. MRI 信号描述术语
在这里,我们要明确几个常用的 MRI 信号描述术语,病变信号的高低的判断一般与同层面的正常皮层比较。
脑脊液信号为例,可描述成长 T1、长 T2 信号 (或 T2WI 上表现为高信号,T1WI 上表现为低信号);而脑水肿(T2WI 信号不及脑脊液亮但比皮层亮),可描述成稍长(较长)T1、稍长(较长)T2 信号(或 T2WI 表现为稍高信号,T1WI 表现为稍低信号)。
图片
表 1. MRI 不同信号描述
下面以神经系统为例,按照个人阅片习惯顺序来依次介绍临床常用的扫描检查序列,如 T2WI、T1WI、DWI、FLAIR 及 T1WI 增强。
3 临床常用的 MR 扫描序列
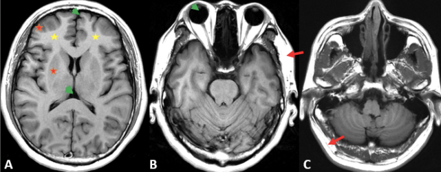
01.T2 加权成像(T2WI)
T2WI 是最重要的扫描序列,是其他扫描序列的基础,利于观察病变。
识别方法:
可以看胶片上的信息(T2 或 T2WI);
脑脊液、眼球玻璃体是明显高信号(亮);
脑白质呈稍低信号,脑灰质(皮层和灰质核团)呈稍高信号;
颅内大血管(如静脉窦、大脑中动脉、基底动脉)呈流空信号(黑)。
图片
图 1. T2WI 上脑白质呈稍低信号(黄色星);脑灰质(皮层和灰质核团)呈稍高信号(红色星);脑脊液及玻璃体呈明显高信号(绿色箭头);颅内大血管(静脉窦、大脑中动脉及基底动脉)流空信号,呈低信号(红色箭)
小贴士:
绝大多数病灶在 T2WI 上表现为稍高信号或高信号,少部分可以表现为稍低信号或低信号,下面列出在 T2WI 可以表现为低信号的生理和病理因素(表 2)。
图片
表 2. 引起 T2WI 低信号的原因
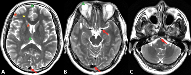
02. T1 加权成像(T1WI)
T1WI:以前老师经常讲,T1WI 看解剖(灰白质对比好)、T2WI 看病变,但是不绝对,有些病变 T2WI 上显示不佳,可以在 T1WI 上看。
识别方法:
可以看胶片上的信息(T1 或 T1WI);
脑脊液、眼球玻璃体是明显低信号(黑);
脑灰白质对比好,脑白质呈稍高信号,脑灰质(皮层和灰质核团)呈稍低信号。
图片
图 2. T1WI 上可以很好的区分灰白质,脑白质呈稍高信号(黄色星);脑灰质(皮层和灰质核团)呈稍低信号(红色星);脑脊液和眼球玻璃体呈明显低信号(绿色箭头);皮下脂肪呈高信号但比 T2WI 更亮(红色箭)
小贴士:
绝大多数病灶在 T1WI 上表现为稍低信号或低信号,少部分可以表现为稍高信号或高信号,下面列出在 T1WI 可以表现为高信号的生理和病理因素(表 3)。
图片
表 3. 引起 T1WI 高信号的原因
>> 脂肪抑制扫描:
有时病变在 T1WI 上表现为高信号,此时需要进行「脂肪抑制扫描」来判断是脂肪成份还是其他成份,脂肪抑制顾名思义就是将脂肪抑制掉(从高信号变成低信号),而其他的非脂肪成份不会被抑制(如出血)。
进行脂肪抑制另外一个目是为了增强扫描,如果病变内有脂肪呈高信号,会干扰增强扫描后强化程度的判断,在后面增强扫描会介绍。
图片
图 3. 左侧基底节区血肿:A 和 B 分别为 T1WI 和 T1WI 加脂肪抑制序列;T1WI 显示左侧基底节区高信号(绿色箭头);在 T1WI 脂肪抑制仍呈高信号(绿色箭头),提示不是脂肪组织;而皮下脂肪组织在 T1WI 呈高信号(红色箭);在 T1WI 脂肪抑制序列呈低信号(红色箭)
03. 扩散加权成像(DWI)
DWI:扩散加权成像可反映水分子的扩散情况,在脑卒中的早期诊断中应用尤为广泛,有人又称其为「卒中序列」。提到 DWI 序列,不得不提表观扩散系数图(Apparent Diffusion Coefficient,ADC)。
ADC 图:是通过 DWI 的两个 b 指图在后处理工作站上计算而来,可以判断是不是真正的扩散受限,即在描述病变 DWI 时应结合 ADC 图:DWI 高信号,ADC 图低信号/等信号/高信号。
DWI 高信号,ADC 值降低,提示真正扩散受限,如急性脑卒中、高级别胶质瘤和淋巴瘤等;
DWI 高信号,ADC 值不降低,提示并不是真正扩散受限,如血管源性水肿,可逆性后部脑病(PRES)等。
小贴士:
看 DWI 图像时,需要结合 ADC 图,否则容易出现对扩散是否受限判断失误。此外,DWI 上可出现 T2 的各种效应(如 T2 穿透效应、T2 廓清效应和 T2 暗化效应),也需要结合 ADC 图进行判断。
识别方法:
可以看胶片上的信息(DWI 或 ADC);
DWI 有两套图像(即 b = 0 和 b = 800 × 10-6 mm2/s 图),我们看图的时候看其中的一套(b = 800)代表真正的 DWI 图像,而 ADC 图只有一套(大部分 ADC 图是工作站自动生成,有的设备需要人工后处理生成);
DWI 在常规序列中可以认为是图像质量最差的,在颅底有变形或磁敏感伪影的图像;
DWI 图采用脂肪抑制技术,皮下脂肪是低信号。
图片
图 4. A. DWI 上(b = 800)图像质量差且颅底有变形或磁敏感伪影的图像(红色箭),皮下脂肪为低信号(绿色箭头);B. b = 0 的图像可以认为相当于低配版的 T2WI(实际上相当于是 GRE 成像的 T2*WI);C. ADC 图:在看完 DWI 后需要看 ADC 低不低
04. 液体翻转恢复衰减序列(FLAIR)
FLAIR:就是我们常见的压水序列,由于水在 T1WI 为低信号,通常是指 T2 压水序列。这里要指出,T2-FLAIR 压水压的是自由水(如脑脊液、囊肿等),而不能抑制结合水(如水肿)。
通常进行横轴面扫描,有些医院进行冠状面扫描(由于常规 T1WI、T2WI 和 DWI 均进行轴位扫描,冠状位扫描可提供额外信息)。
识别方法:
可以看胶片上的信息(T2 FLAIR);
脑脊液、眼球玻璃体液体是明显低信号或无信号(黑);
与 T1WI 的区别是灰白质对比差,脑白质呈低信号,脑灰质(皮层和灰质核团)呈稍高信号;
对微小病灶显示比 T2WI 好。
图片
图 5. A. T2 FLAIR 灰白质对比差(红色星和黄色星);脑脊液、玻璃体及病变内囊性成份(自由水)呈明显低信号(绿色箭头);B. 为同层面的 T2 FLAIR 和 T2WI 显示病变周围水肿(结合水)仍呈稍高信号(红色箭);C. 冠状位为 T2 FLAIR
05. 增强扫描(T1WI+C)
增强扫描:可以反映的是血脑-屏障完整与否的情况,对于疾病的诊断和鉴别诊断具有重要意义。由于 T2WI 上脑脊液及多数病变是高信号(亮),加之核磁对比剂的特性,增强扫描通常在 T1WI 上进行三个方位(轴位、矢状位和冠状位)的扫描。
前面讲到有些病变在 T1WI 上呈高信号,所以增强扫描通常是在 T1WI 脂肪抑制的基础上进行的,有些医院为了节省扫描时间,通常增强扫描不进行脂肪抑制,个人建议三个扫描方位增强图像至少有一方位图像进行脂肪抑制扫描。
识别方法:
可以看胶片上的信息(T1+C 或 T1WI+C);
血管、脉络丛和鼻粘膜组织呈高亮信号,特别注意,有些 T1WI 扫描序列平扫时血管可以表现为高信号(如 MRA),此时不能通过血管来判断是否为增强扫描,可通过脉络丛和鼻粘膜强化与否进行判断。
图片
图 6. A:轴位 T1WI 增强扫描可见静脉强化呈高亮信号(红色箭);B 和 C 分别为冠状位和矢状位增强扫描图像;脉络丛也呈高信号(绿色箭头);鼻粘膜组织可见强化呈高亮信号(红色星)
小贴士
由于硬脑膜内含有丰富的毛细血管网,正常硬脑膜可有强化,表现为纤细光滑且不连续的线样影,如强化长度超过 3 cm 或超过 3 个扫描层面,可以认为为异常强化。
正常情况下柔脑膜(包括蛛网膜和软脑膜)无强化,一旦脑沟、脑裂及脑池内出现强化,即可认为异常。
4 磁共振图像疾病诊断举例
我们通过几个实战病例进行分析,按照时间顺序或检查序列顺序排列图像,以常规 MRI 图像为基础,先平扫后增强,先 T2WI,T1WI,再判断其他序列,其他功能图像(如灌注成像,波谱成像)是诊断的参考。
例 1.65 岁男性,左侧丘脑出血(亚急性早期)(图 7)。
图 7. A. T2WI 示左侧丘脑见片状低信号(红色箭),周围见片状稍高信号(水肿);B. T1WI 示病灶边缘呈高信号(红色箭),内部呈等信号;C. DWI 病灶呈明显低信号,由于出血引起的 T2 暗化效应(黄色星);D. CT 平扫病灶呈明显高密度(红色星),提示为出血
例 2.66 岁男性,右侧肢体无力 3 h,诊断脑梗死(图 8)。
图 8. T2WI(A)和 T1WI(B)未见明显异常信号(绿色箭头);C. DWI 示左侧大脑半球弥漫性高信号(红色箭头);D. ADC 图示病变呈明显低信号,提示为扩散受限(红色箭头)
例 3.男 35 岁,直立性头晕,诊断低颅压综合征(图 9)。
图 9. A. T2WI 示双侧硬膜下积液(红色箭);B. T1WI 呈低信号(绿色箭头);C. DWI 示积液呈低信号(黄色星),可与脑脓肿鉴别;D. 冠状位 T1WI 增强:硬脑膜呈弥漫性、连续性线样强化(红色箭头),软脑膜未见强化
例 4.29 岁男性,发热 2 天,诊断为单纯疱疹病毒性脑炎(图 10)‍‍‍‍‍‍‍‍‍‍‍‍‍‍。
图 10. A. T2WI 示右侧海马肿胀,呈稍高信号(红色箭);B. T1WI 呈稍低信号(红色箭头);C. T2 FLAIR 病变呈稍高信号(绿色箭头),比 T2WI 显示病灶佳;D. 轴位 T1WI 增强扫描病变未见强化(黄色星)
总之,磁共振扫描序列多,信息丰富,在临床实践中要反复练习,磁共振病变的诊断是在熟悉解剖及病理生理的基础上,通过识别和判断各个检查序列图像信息,再结合其他检查及临床信息做出的综合性诊断。
(以上为个人经验总结,不足之处请批评指正)
本文作者:李锐 医学博士 目前就职于天津市环湖医院/南开大学附属环湖医院医学影像科
策划|时间胶囊
文图|作者提供
本文首发于丁香园旗下专业平台:神经时间