如何快速鉴别肺炎支原体肺炎?这篇讲得很清晰

病例回顾一:
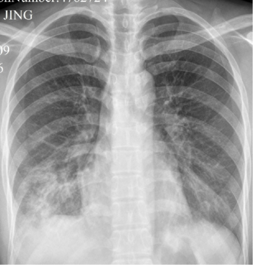
病史:29 岁女性,既往体健。主因「发热 13 天,咳嗽、咳痰 10 天,胸痛 4 天」入院。患者 13 天前无明显诱因出现发热,体温高达 40℃,伴畏寒,3 天后出现咳嗽、咳痰,夜间为甚,伴有解稀水样大便。于当地医院退热、抗炎对症支持治疗,无明显改善;3 天前患者出现左侧胸痛,咳嗽、左侧卧位等动作时疼痛加剧,至我院急诊科查胸部 X 线提示「双肺肺炎」(图 1)。
图片
图 1 胸部 X 线
查体:双肺呼吸音减弱,以右下肺为甚,双肺可闻及少许湿啰音,心腹及神经系统查体无异常。
辅助检查:CRP 30 mg/L、PCT 0.02ug/L、ESR 56 mm/h;血常规:WBC 7.8 g/L、NEU 5.63 g/L、NEU% 72.4%、RBC 4.21T/L、HGB 125 g/L、PLT 442 G/L;动脉血气:pH 7.426、PaO2 85 mmHg、PaCO2 36.7 mmHg、SaO2 97%。肺炎支原体 IgG 抗体阳性 1:1280(颗粒凝集试验 PA);肺炎支原体 IgM 抗体检测阴性 (-);
胸部 CT 提示右肺下叶背段及基底段、左肺下叶后基底段炎症(图 2)。
图 2 胸部 CT
完善电子支气管镜检查提示气管及各级支气管粘膜轻度充血伴有少许粘稠分泌物潴留,留取肺泡灌洗液进行快速检测,肺泡灌洗液核酸恒温扩增检测提示肺炎支原体 DNA 阳性。
上下滚动查看更多
病例回顾二:
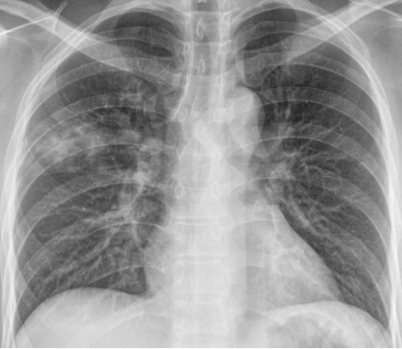
病史:25 岁男性,既往体健。主因「发热、咳嗽、咳痰 6 天」入院。6 天前起无明显诱因出现发热,体温最高达 39.7℃,阵发性咳嗽,咳黄白色粘痰,伴畏寒、乏力、牙龈肿痛,进而出现咽痛、头晕、头痛,1 天前查胸片示「右肺上叶斑片状密度增高影,边缘模糊」(图 3),予「头孢美唑、奥司他韦、布洛芬、肺力咳、氨酚双氢可待因」等药物治疗,症状仍未缓解。
图片
图 3 胸部 X 线
查体:体温 37.1℃,心率 111 次/分,呼吸 22 次/分,血压 133/80 mmHg,双肺呼吸音增粗,未闻及干湿啰音,无胸膜摩擦音,心腹及神经系统查体无异常。
辅助检查:CRP 97 mg/L,SAA >200 mg/L,PCT 0.26ug/L;血常规:WBC 4.0 g/L、NEU 2.50 g/L、NEU% 62.3%、RBC 5.41T/L、HGB 146 g/L、PLT 185 G/L、;肺炎支原体 IgG、IgM 抗体(颗粒凝集试验 PA 法)阴性;胸部 CT 提示右肺上叶多发斑片状、片状模糊影,边界不清,病变支气管壁增厚,部分可见支气管充气征(图 4)。
图 4 胸部 CT
入院后同样于当天完善电子支气管镜检查提示双肺各级支气管粘膜充血伴轻度水肿且以右上叶支气管为甚,留取肺泡灌洗液进行快速检测:1)核酸 DNA 恒温扩增快速检测示:肺炎支原体+;2)涂片示:较多中性粒细胞,未见细菌、抗酸杆菌、真菌孢子及菌丝。
上下滚动查看更多
治疗上抗感染药物均选定为莫西沙星 0.4 g,每天 1 次,静脉滴注;辅以对症止咳、化痰及抗过敏等治疗。两例患者病情均逐渐改善,达到临床稳定标准后办理带药出院,使用莫西沙星 1 周后停药。
肺炎支原体肺炎的临床特征
非典型病原体肺炎临床特征与细菌性肺炎有很大区别。非典型病原体肺炎较起病更缓慢,一般不出现发热,无脓痰,临床表现不典型(表 1)。在我国社区获得性肺炎病原体谱中,肺炎支原体占据重要位置。在已经完成的两项全国多中心成人 CAP 调查中,肺炎支原体感染的比例分别达到了 20.7% 和 38.9%(图 5,表 2)。
表 1 常见社区获得性肺炎的临床特征
图片
图片
图 5 社区获得性肺炎病原学检出率
表 2 肺炎支原体在社区获得性肺炎中检出率
图片
寻找到呼吸道感染的致病病原体是社区获得性肺炎目标性抗感染治疗的关键。因非典型病原体呼吸道感染临床表现不典型,增加临床非典型肺炎诊断难度。日本 JRS 评分系统基于临床标准,可以有利于临床医生快速鉴别非典型病原体肺炎。JRS 评分系统包括六项(图 6),满足 1~6 中至少 4 条应考虑为非典型病原体肺炎,敏感性 77.0%,特异性 93.0%;满足 1~5 中至少 3 条应考虑为非典型病原体肺炎,敏感性 83.9%,特异性 87.0%。
图 6 JRS 评分系统
2010 年《成人肺炎支原体肺炎诊治专家共识》指出血清特异性抗体检测仍然是目前诊断的主要手段,病例一的血液标本肺炎支原体颗粒凝集试验特异性 IgG 抗体呈阳性,也印证了肺泡灌洗液病原快速核酸检测的准确性,进一步支持抗感染方案的合理性和准确性。2014 年《成人支原体肺炎患者抗菌药物治疗选择》则指出,临床上最优实验室诊断主要是结合急性期 IgM 抗体测定和 PCR 法。肺炎支原体(MP)细胞分离培养法是 MP 感染诊断的「金标准」,但传统的细胞培养法临床已基本不用,多为科研及回顾性诊断。肺炎支原体快速培养法是近年来兴起的一种检测手段,利用 MP 生长代谢的酸性产物使培养基液体中指示剂颜色发生改变来判断 MP 生长,24 ~ 48 h 即可出结果,但对于真菌及耐药菌而言,易有假阳性出现。肺炎支原体及肺炎衣原体核酸检测已用于临床,可作为早期快速诊断的重要手段。
肺炎支原体肺炎的影像学特点
不同年龄阶段的肺炎支原体肺炎患者的胸部 CT 特点有所不同,尤其是儿童与成人胸部 CT 特征区别更明显。在儿童组中,肺炎支原体感染的最常见 CT 特征是肺叶和 / 或肺段实变伴胸腔积液,而成人组中弥散状的磨玻璃样密度影是最常见的 CT 特征(表 3,图 7-9)。
表 3 儿童与成人肺炎支原体肺炎的胸部 CT 特征
图片
图 7. 患有肺炎支原体肺炎的 14 岁男孩的胸部 CT:a.轴向对比增强 CT 扫描(5 mm 层厚)显示右下叶有肺段实变,伴有少量胸腔积液。空气支气管征很好地表明了实变;b.高分辨率 CT(1 mm 层厚)的肺窗图像显示在肺段实变周围具有小叶中心结节和腺泡结节的片状肺叶实变(箭头).
图片
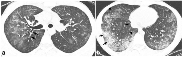
图 8. 20 岁男性肺炎支原体肺炎的胸部 CT:a.高分辨率 CT(1.25 mm 层厚)的肺窗图像显示两肺弥散斑片状的磨玻璃样密度影。注意支气管壁的轻度弥漫性增厚(箭头);b.在较低等级下获得的肺窗图像显示两肺中斑片状的磨玻璃样密度影。在左下叶显示了小叶中心结节的周围磨玻璃样密度影。注意小的融合性支气管周围实变(箭头)和小叶间隔增厚(箭头)
图片
图 9. 57 岁女性肺炎支原体肺炎的胸部 CT:a.高分辨率 CT(1.25 mm 层厚)的肺窗图像显示弥散和斑片状的支气管周围区域,融合性结节或实变与双肺上叶中的周围磨玻璃样密度影。注意不透明的小叶分布,在正常和异常的肺小叶之间有明显的分界(箭头);b.在右主支气管获得的肺窗图像显示双肺上叶中的斑片状周围磨玻璃样密度影。注意小叶间隔增厚(箭头)与小叶分布的磨玻璃样密度影。右侧小裂隙(箭头)升高,表明右上叶体积减小。
在肺炎支原体肺炎患者中(表 4),支气管壁增厚最常见(81%),其次是中心小叶结节(78%)、磨玻璃样密度影(78%)和实变(61%)。还观察到网状影索条状影、胸腔积液和淋巴结肿大,但比例较低。在 CT 表现中,肺炎支原体患者的支气管壁增厚和小叶中心结节多于肺炎链球菌患者(p
表 4 肺炎支原体肺炎和肺炎链球菌肺炎患者的胸部 CT 表现
图片
肺炎支原体肺炎的治疗
我国肺炎支原体对抗生素的耐药现象严重。一项来自我国成人 CAP 肺炎支原体敏感性研究(图 10),纳入 2010 年 9 月 ~ 2012 年 6 月北京、上海、广州 3 个城市的 6 家医院的 520 例 CAP 患者,研究发现肺炎支原体对红霉素和阿奇霉素的耐药率分别为 80% 和 72%,目前未发现有莫西沙星及四环素类药物耐药株的报道。克林霉素及 β-内酰胺类药物对肺炎支原体无效,在 2016 年版中国成人社区获得性肺炎诊断和治疗指南中,肺炎支原体肺炎的治疗用药推荐以四环素类和呼吸喹诺酮类抗生素为首选,大环内酯类抗生素仅作为次选且要求参考药敏结果考虑应用(表 5)。根据现有的专家共识和诊治指南,建议临床上对大环内酯类抗生素治疗 72 h 仍无明显改善的成人肺炎支原体肺炎患者,应考虑大环内酯类抗生素耐药菌株感染的可能,若无明确禁忌症,可换用呼吸喹诺酮类药物或四环素类抗生素。
图片
图 10 75 株肺炎支原体对抗菌药物的耐药率
表 5 社区获得性肺炎支原体肺炎治疗药物推荐
图片
上述两个病例在入院初期通过电子支气管镜获取肺泡灌洗液进行核酸恒温扩增检测,从而快速确定肺部感染病原体,进而指导选择合理的抗生素进行个体化抗感染治疗,取得良好的临床学效果和效率。核酸恒温扩增芯片检测可以对厌养菌和不可培养的病原体进行快速检测,其检出阳性率明显高于传统培养法,且其检测快速可靠,整个过程在数小时内即可完成,这适合在临床一线应用中推广,并将为个性化治疗下呼吸道感染提供重要的参考依据,避免了大包围、广覆盖式抗生素治疗。
本文作者:南方医科大学第三附属医院 呼吸与危重症医学科 张达成
排版:美超
题图:站酷海洛
参考文献:
1. Miyashita N, et al. Intern Med. 2006,45(7):419-428.
2. Baron E J. Clin Infect Dis. 2013,57(4): e22-e121;
3. Zumla A. Lancet Infect Dis. 2014,14(11): 1123-1135;
4. 中华医学会呼吸病学分会. 中华结核和呼吸杂志, 2016,39(4) : 253-279.
5. Yan L,et al.Mol Biosyst,2014,10(5) : 970-1003.
6. Lee I. European Radiology, 2006, 16(3): 719-725.
7. Miyashita N [J]. Bmc Medical Imaging, 2009.
9. 蔡柏蔷, 等. 协和呼吸病学. 北京:中国协和医科大学出版社. 2011
10. Atkinson TP,et al.FEMS Microbiol Rev.2008,32(6)956-73
11. Liu YN.BMC Infect Dis.2009,9_ 31
12. Tao LL,et al. Chin Med J (Engl). 2012;125(17):2967-2972.