脂质体伊立替康耐药了竟然还可以再用,请看胰腺癌成功“再挑战”的故事!

【本文摘要】
1、晚期胰腺癌恶性度极高,探索性研究未见曙光,一线治疗耐药后无标准治疗方案;
2、NAPOLI-1显示了伊立替康脂质体组合(脂质体伊立替康+5-氟尿嘧啶+亚叶酸)的疗效证据,真实世界的数据提供了类似的结果;
3、真实案例:61 岁女性患者接受了脂质体伊立替康组合治疗7个月后反应良好,拒绝手术及化疗后疾病进展,再次应用脂质体伊立替康组合治疗,疗效仍持续了 7 个月。
难对付的“癌中之王”——胰腺癌
胰腺癌是公认的“癌中之王”,尽管发病率不高,但死亡率却高得惊人。据统计,2020年中国癌症新发病例457万例,死亡人数300万,其中胰腺癌新发病例数12.5万,死亡病例数高达12.2万。胰腺癌起病隐匿、恶性程度高、进展速度快、术后易转移等都是胰腺癌生存期短的主要原因。
对于早期胰腺癌,手术切除仍是目前唯一的根治方式,但由于其起病隐匿,大多数情况下,癌症发现时已处于晚期,失去了手术治疗的机会,患者的中位生存时间仅为3-4个月。尽管近年来癌症的诊疗手段不断更新迭代,但针对胰腺癌的大多数研究并未表现出显著的临床疗效。
目前,系统性化疗仍是发生转移的晚期胰腺癌患者主要的治疗方式。2011年PRODIGE 研究证明的FOLFIRINOX(5-氟尿嘧啶、亚叶酸钙、伊立替康和奥沙利铂)方案和2013年MPAC试验证明的NP(吉西他滨和白蛋白结合型紫杉醇)方案较既往的吉西他滨单药相比,将患者的生存期显著延长,但总生存期仍不足一年。在一线方案进展后,二线治疗更是缺乏标准的治疗方案。因此,改善晚期胰腺癌患者的预后仍需要加倍努力探索。
NAPOLI-1试验带来曙光
2016年,新药(脂质体伊立替康;Onivyde)问世,随机 III 期 NAPOLI-1试验中,伊立替康脂质体组合(脂质体伊立替康+5-氟尿嘧啶+亚叶酸)用于吉西他滨治疗失败的晚期胰腺癌获得了较好的疗效,被美国PDA批准成为晚期胰腺癌治疗的二线标准方案。但脂质体伊立替康尚未在我国上市,积极探索二线方案仍是我们的重要课题。
自NAPOLI-1试验以来,真实世界的数据提供了很多类似的结果。近期一个案例尤为特别,在吉西他滨加白蛋白结合型紫杉醇治疗失败后的二线治疗中,患者对 NAPOLI-1方案不仅表现出长期延长的药物反应,并且在再次应用时出现了再激发反应,继续延长了患者的生存期。这种重新激发的案例较为罕见,我们一起来看看这位患者的经历。
晚期胰腺癌患者曲折的抗癌历程
一名61岁女性于2018年11月以“黄疸”为主要症状入院。患者在一个多月前出现黄疸,进行性加重,并出现全身瘙痒的症状。除了高血压,患者没有其他病史,患者母亲在70多岁时死于胰腺癌。
入院后化验总胆红素为 6.3 mg/dL,AST 190 IU/L,ALT 287 IU/L,ALP 441 IU/L,CA 19-9 8840 U/mL。增强CT检查发现胰腺有直径1.4 cm 的肿物,进一步的MRI发现了多处肝转移。超声内镜活检确诊为胰腺导管腺癌伴多发肝转移。
患者以吉西他滨联合白蛋白结合型紫杉醇作为一线化疗方案,两个周期后,病情稳定,但四个周期后进行病情评估,疾病进展了。此时化验,AST 22 IU/L,ALT 8 IU/L,ALP 59 IU/L,CA 19-9 8961 U/mL。
在二线治疗时,给予患者NAPOLI方案:脂质体伊立替康 70 mg/m2、5-FU 400 mg/m2 静脉推注2400 mg/m2 ,每两周连续输注并持续了6 个月。期间,患者出现了程度一级的腹泻,通过止泻治疗缓解了,未出现其他不良反应。在两个疗程后患者出现了发热,确诊为梗阻性胆管炎,经胰内镜及抗生素治疗后好转。
期间化验CA 19-9显著下降(图1),2020年1月,CT显示仅存在体积缩小的胰腺原发肿块(图2b),MRI提示除胰腺原发肿瘤外,没有肝转移及其他肿块,可选择手术治疗,但患者及家属因经济等原因拒绝了。为降低治疗费用,患者增加了化疗的间隔,并在2020年2月26日之后患者失访,两个月没有回院。
图片图1. 应用 NAPOLI方案后患者CA 19-9 的血清浓度变化
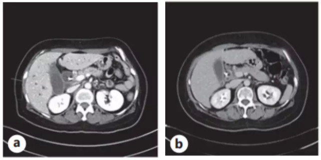
图片
图2. (a)脂质体伊立替康治疗前,胰腺癌的原发灶和多发性肝转移。(b)脂质体伊立替康五个月后,原发灶体积缩小,肝转移消失
停药两个月后,患者病情加重,确诊为广泛肝转移(图2 c-e),经多方考量,决定重新应用NAPOLI方案。治疗再次有效,共持续了7个月(2020年7月–2021年1月),CT 显示胰腺肿物减小,转移病灶均有所改善。
由于患者的身体状况,治疗时延长了给药间隔,在11个周期给药后,CT 证实疾病进展并停止化疗。这名患者对脂质体伊立替康组合第一次应用有反应7个月,13个周期,再次应用反应期7 个月,10个周期。最后,患者在停止化疗两个月后不幸去世,总生存期为20个月,再次应用的无进展生存期为 7 个月。
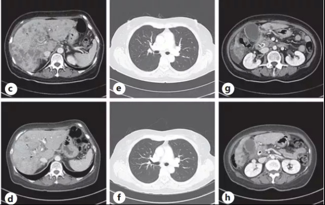
图片
图2.(c-e)在重新使用脂质体伊立替康之前,广泛的多发性肝转移、腹水、原发肿块的大小增加和肺转移。(f-h)再次使用脂质体伊立替康后6周,改善多器官转移并减少原发病灶。
小结
上文中这一真实世界的病例,是关于脂质体伊立替康重复激活(激发-停止治疗-重新激发)的报告。患者总共接受了14 个月的二线脂质体伊立替康治疗,共23 个周期,获得20个月的总生存期,实现了使用 NAPOLI 方案二线治疗获得了长期生存的稳定状态。在不良反应方面,患者表现出一次一级腹泻,且得到了有效控制,没有观察到中性粒细胞减少症。
该案例说明,晚期胰腺癌中,在以吉西他滨为基础的方案失败后,NAPOLI方案可能是二线最容易接受的治疗方法,且安全性良好。目前化疗仍是胰腺癌治疗的基础,如何选择合适的方案和合适的人群是治疗的关键。相信随着研究的深入,胰腺癌的治疗终会跨上一个新台阶,长期生存终会实现。
参考文献:Consistent Response on Challenge and Rechallenge of Liposomal Irinotecan in a Patient with Metastatic Pancreatic Adenocarcinoma Previously Treated with Gemcitabine plus Nab-Paclitaxel: A Case Report.Seong-Ryong Kim,Hyun Jung Lee,Dalyong Kim.Case Rep Oncol 2021;14:1882–1888.DOI: 10.1159/000521315 https://www.karger.com/Article/FullText/521315.