外周血仅1%异常早幼粒细胞的M3漏诊思考

作者 | 杜永光
单位 | 河南大学淮河医院检验科
前 言
血常规检查作为筛查血液病的第一道关口,其审核严格来说需要遵循国际血液学复检专家组推荐的41条复检规则[1],但实际工作中,由于血常规标本量大,复检人员配备不足等原因,真正能严格按照复检规则审核的医院并不多,多数医院还是依据自己的实际情况制定相应的复检规则,难免会有漏诊,特别是一些迷惑性很强的结果,我们检验人员稍有疏忽,可能就会漏诊。
今天和大家分享的就是我遇到的一例外周血仅1%异常早幼粒细胞的急性早幼粒细胞白血病(M3)的诊断过程,我们都知道M3是非常凶险的一类急性白血病,如果发现不及时,患者就可能因为DIC导致重要脏器(脑、肺)出血而死亡,但是M3也是目前唯一可以用药物治愈的白血病。提高M3的生存率,关键在于早发现、早诊断、早治疗。希望通过这个病例能够警示我们,患者即使只有百分之一的希望、我们也要付出百分之百的努力。
案例经过
记得那天一早来到科室,桌子上就摆了几份骨髓标本,在等待染色的时候,我习惯先浏览一下患者的病历。只有一份是新入院的患者,其他几份都是确诊的老病号复查。我就重点浏览了一下新患者的病历。
女性,71岁,主诉“头晕、面黄、乏力半月”,半月前无明显诱因出现头晕,面黄、乏力、纳差,活动后心慌、喘息、休息后可缓解。门诊化验提示全血细胞减少,遂以“全血细胞减少”收入血液科。神志清、精神可,大小便正常,体重无下降。既往体健。查体无异常。T 36.5℃、P 108次/分、R 25次/分、BP 139/79mmHg。
门诊血常规:
图片
凝血功能:
图片
常规生化:
图片
尿常规:
图片
贫血三项:
锚蛋白:
在浏览了患者病史和相关检查后,我当时的思路是:患者血常规三系减低,淋巴细胞比例明显增高、MCV轻度增高,为大细胞性的贫血。常见的血常规三系低合并轻度的大细胞性贫血的疾病有MDS、巨幼细胞性贫血、再障、白血病、自身免疫病、PNH、肝病等。
但是患者贫血三项正常,排除了巨幼细胞性贫血;锚蛋白正常排除了PNH;肝功正常也无肝病病史;自免疾病需做自身抗体排除;散点图未见明显异常急性白血病可能性也不大;剩下就是MDS、再障的可能性较大。
生化检查总蛋白略高、白蛋白略低、存在蛋白倒置、IgG偏高,尿蛋白+,需提防浆细胞疾病。尿常规白细胞、红细胞高提示尿路感染。D二聚体、FDP的明显升高,我想到了患者体内存在纤溶亢进,静脉血栓、DIC的可能,然而FIB的增高蒙蔽了我的双眼,根本没想到M3。
结果大家也知道了,当我把骨髓片放到低倍镜下看的第一眼就意识到我判断错了。随即就电话告知临床患者为M3的可能性。
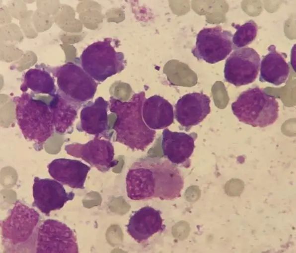
图片
▲10*100倍骨髓
图片
▲10*100倍骨髓 MPO染色
图片
随着MPO染色强阳性的结果,患者基本确定为M3。几天之后其他结果陆续反馈
流式结果:
染色体:
36种融合基因结果:
至此,急性早幼粒细胞白血病的诊断尘埃落定。患者目前也在巩固治疗中。然而回顾这次本该从患者门诊血常规检查中发现的M3,为何直到两天后才从骨髓穿刺中发现,中间存在哪些疏忽,怎样避免类似事件的发生?
案例分析
我了解了当时的情况,由于患者是下午在门诊做的血常规检查,当时下午值班人员并非是专门做血常规的人员,对异常结果和散点图的认识不足,而且也没有查阅结果的原始记录。没有按照复检规则涂片镜检就审核了。我保留了当时的原始结果,我们再来回顾分析,以吸取这次教训。
图片
图片
从WBC Flag的报警信息提示BLasts/Abn Lympho?(原始/异常淋巴细胞)、PLT Flag的报警信息提示PLT Clumps?(血小板聚集)、散点图原始细胞区域(红圈内)仅有很少量的散点(容易忽视),结合三系减低的结果,触发了复检规则,需要涂片镜检。
就是未涂片镜检的疏忽造成了患者晚了两天才确诊,不过之后从骨穿时一起送的外周血涂片中分类才得知,此患者外周血异常早幼粒细胞的比例非常低,仅仅只有1%,如果复检人员经验不足,即使涂片镜检,也有漏诊的可能。
那么日常工作中,如果白细胞很低的时候,我们要掌握在低倍镜下辨别异常细胞,特别是原始细胞的能力。
这里我也分享一下自己的工作经验:不能按照常规的先低倍镜找涂片的体尾交接处,再转油镜计数细胞,这样的话常规计数100个白细胞会很费时间而且会漏掉一些原始细胞比例很低(不足1%)的病例。
应该低倍镜下先浏览涂片尾部以及两侧,因为推片时像原始细胞以及一些胞体大(比如异常早幼粒细胞)的异常细胞多会分布在片尾和两侧,因此找到的几率会大一些。
如果结合报警信息和散点图提示有原始细胞,一定要浏览全片。一旦发现有胞体和成熟中性粒细胞大小接近,呈圆形或椭圆形,核浆比大(胞核大、胞浆少)的细胞要引起重视,需转到油镜下确认是否是原始细胞;如果发现胞体比中性粒细胞还大,且不规则,胞浆颗粒多,有伪足的细胞,一定要转到油镜鉴别是否是异常早幼粒细胞。
图片
10*10倍,本例患者外周血
图片
10*100倍,油镜视野
总 结
实际工作中M3的患者血常规常常三系减低,同时容易合并DIC导致纤维蛋白原减低、D-二聚体和FDP的升高。其机制是M3患者机体高表达组织因子、肿瘤促凝素、血浆微粒、炎性因子等促凝物质,引起高凝状态,导致血栓形成,进而纤溶酶原被激活引起纤溶亢进,导致纤维蛋白原减低,纤维蛋白原降解产物(FDPS)和D-二聚体水平升高,引起出血倾向[2]。
当碰到这种典型的结果时我们会有所警惕。但是当我们遇到像本例一样的具有迷惑性的结果时,也要提高警惕,加强血常规的复检。总之,要有对待每一份标本都百分之百的付出,以争取那百分之一的希望之责任心。
参考文献
[1].尚红,王毓三,申子瑜.全国临床检验操作规程[M].第4版.北京:人民卫生出版社,2015:16.
[2].申彪,高俊星,曹峰林.急性早幼粒细胞白血病合并弥散性血管内凝血的 相关机制及治疗进展[J].医学综述,2018,24(13):2580-2584.
END
说明:本文为原创投稿,不代表检验医学新媒体观点。转载时请注明来源及原创作者姓名和单位。
图片
欢迎关注
编辑:徐少卿 审校:陈雪礼