晚期脑转移肺癌患者如何拥有12年有质量的生存期?

根据统计,如果癌症发生全身性转移,出现脑部转移的概率达40%,而其中肺癌是比较容易向脑部转移的恶性肿瘤。
对脑转移的患者,放疗是最常用的治疗措施。对于多发性脑转移的患者,往往使用全脑放射治疗。但是由于放射的危害性,以及潜在的认知下降风险,全脑放射治疗往往只有一次机会,而且五年之内往往不能再次进行全脑放疗。因此,是否使用全脑放疗,什么时候使用全脑放疗,是一个困扰人的难题。
下面的这个案例报道中,患者接受了重复性的全脑放射治疗,获得了长达12年的生存期。最为重要的是,整个生存期内,患者的生活质量很好。
晚期脑转移肺癌患者的抗癌历程
2006年5月,一名42岁的中国男性患者因为咳嗽、咳痰而就诊,纤维支气管镜检查显示左肺下叶部位有腺癌细胞。
磁共振MRI检查表明肿瘤已经转移到脑部。由于脑部有多个转移灶,不能使用伽马刀治疗。患者属于四期肺癌,也失去了手术治疗的机会,医生建议患者使用化疗联合放疗作为治疗措施。
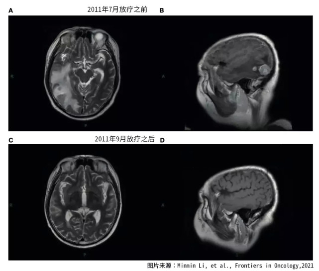
图片图1. 2011年7月-9月放疗前后脑核磁检查结果
在进行了一个周期的吉西他滨联合顺铂的化疗后,对患者的原发病灶进行了放射治疗,使用的是二维放射治疗技术,总剂量为70格瑞,治疗分为35次。对脑部进行了全脑放射治疗,共20次分割,总放射剂量为40格瑞。
放疗之后,患者接受了三个周期的化疗,化疗用药为紫杉醇和顺铂。经过这些治疗,患者的症状明显减轻,血液的肿瘤标志物明显下降。放疗后的肿瘤病灶被评估为完全缓解(可见肿瘤病灶消失)。这种情况持续了近五年时间。
五年后复发再次全脑放疗
2011年7月,患者因为脑部转移瘤复发而入院,患者表现为意识障碍。PET-CT扫描显示脑外的肿瘤病灶稳定。
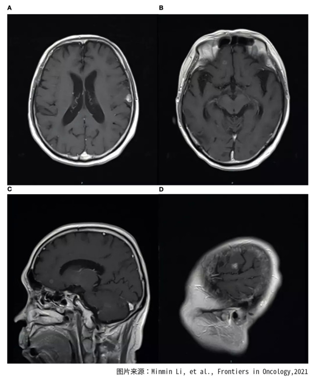
图片图2. 2016年1月脑放疗之前的核磁结果
患者每天使用150毫克的厄洛替尼进行治疗,同时使用三维放射治疗,再次进行了全脑放射治疗。总剂量为30个格瑞,分15次完成。放疗完成之后,患者进行了四个周期的尼莫司汀和厄洛替尼的维持治疗。2011年9月,脑部核磁发现转移灶显著缩小,患者的病情得到了有效控制。
2016年1月,时隔近五年,患者出现了病情进展的迹象。医生使用18毫米准直器对患者的脑单病灶进行了放疗,放疗靶区中心剂量为25.4格瑞,治疗评估为部分缓解。但是3个月之后,出现了新的脑部病灶。由于放疗后短时间内复发,因此选择了尼莫司汀化疗,治疗时间为四周,作为姑息治疗方式。由于后期反复的肺部感染严重影响了患者的健康, 患者于2018年8月不幸因呼吸衰竭而去世。
图片图3.2016年4月放疗之后再次出现脑进展
尽管在治疗期间进行了多次放射治疗,但是患者的生活质量良好,即使进行了二次全脑放射治疗,也没有出现严重的神经认知缺陷和其他严重的不良反应。
启示
回顾这名患者的治疗过程,曲折而又艰难。不断反复出现的脑转移灶,让患者不得不经受两次全脑放疗。万幸患者在治疗后,得到了有质量的生存期。
医生在制定治疗方案时,需要根据患者的整体情况,考虑放疗的剂量,部位等等,这需要医生具备专业的知识技能和丰富的临床经验。否则,同样的放疗,同样的设备,治疗效果也有可能会出现差异。
本案例中患者的驱动基因状态我们无法得知,如果有可能,也许可以通过入脑效果好的靶向药物治疗,这样对患者的脑部病灶进行一些控制,从而减少脑放疗的次数和剂量,患者可能会因此受益更多。
参考文献:Minmin Li, et al., Reirradiation of Whole Brain for Recurrent Brain Metastases:A Case Report of Lung Cancer With 12-Year Survival, Frontiers in Oncology,2021