晚期胃癌患者放弃治疗,肿瘤竟自行消退了

在肿瘤的治疗过程中,有一种罕见的现象“自我治愈”,这是指肿瘤在没有经过系统治疗的情况下,自行消失了。每10万名恶性肿瘤患者中,大约会有20名这样的幸运儿。
肿瘤为什么能自愈呢?目前还没有明确引起这种现象的原因,因为太罕见,因此也无法进行大规模的研究。根据研究者的探索,恶性肿瘤自发性消退比较常见的类型有:肾功能亢进瘤、神经母细胞瘤、恶性黑色素瘤、绒毛膜癌、膀胱癌。而在另一些癌种中,肿瘤自发性消退的概率是非常低的,比如胃癌。
癌度今天给大家分享的案例,是一名晚期胃癌患者,在几乎放弃治疗的情况下,出现了肿瘤自发性消退这样极为罕见的事件。
74岁老人拒绝治疗,6年后肿瘤消失了
一名74岁的南亚裔男性因为恶心、呕吐、体重突然下降而就医,由全科医生转诊至胃肠科门诊。患者之前有2型糖尿病、慢性肾病、高血压等疾病,但是使用药物控制得很好。患者没有恶性肿瘤的家族史。
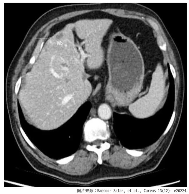
经过腹部超声检查发现肝部有转移性肿瘤,胃镜和CT扫描检查显示,胃小弯有大面积的恶性溃疡。活检证实为低分化腺癌。经过多学科会诊讨论之后,患者确诊为胃腺癌合并肝转移。
图片图1.腹部CT扫描显示胃癌已经转移至肝脏
病情明确之后,患者开始进行化疗,使用的药物有表柔比星、奥沙利铂、卡培他滨。第一个疗程的耐受性很好,但是在用药的第二个疗程,患者因为恶心和呕吐导致身体极度不适,他选择停止了化疗。临床医生评估患者的身体状况后,觉得继续化疗不能进一步让患者获益,因此病人被转移到社区的姑息治疗小组休养,停止了药物及其他治疗措施。
在接下来的6年时间里,患者一直未采取任何干预或是治疗措施,似乎完全忘记了肿瘤的存在。患者的全科医生对他进行了随访,中间仅仅出现了轻度的缺铁性贫血和轻度的消化不良。糖尿病也控制得很好,肝功能检查指标也正常。
6年后患者再次进行胃镜检查,同时进行胸部、腹部和骨盆CT扫描。检查结果表明,除去胃小弯有一个小结节,胃镜没有发现任何恶性肿瘤的迹象,胃部小结节也仅仅显示为慢性胃炎。与6年前的CT扫描结果相比,肝转移灶的大小和数量显著减少。其他的器官没有发现转移性疾病的迹象。
图片图2.6年后的腹部CT显示病灶都消失了
为了确保检查结果的准确性,医生根据胃部活检的样本反复核实了患者的身份。后期的随访中患者整体感觉良好,而且在没有经过任何干预的情况下,贫血症状已经消退。
幸运的老人,给我们什么启示?
对于恶性肿瘤的自发性消退,有研究者回顾了相关的文献,发生过自发性消退的恶性肿瘤有167种,其中4种是胃癌。
截止目前有文献报道的胃癌自发性消退的情况有20例,也有报道在手术之后或接受化疗后10天至6个月期间转移性胃癌的消退,这也表明上文中的案例并非个例。然而,这些自愈案例背后真正的机制目前还没有找到,科学家们也无法解释究竟是什么原因创造了这样的奇迹。
由于恶性肿瘤的自发性消退是非常罕见的情况,我们再次提醒大家,“放弃治疗”在绝大多数情况下不可取。很多时候恶性肿瘤病灶很大,肿瘤负荷很重,会严重影响病人的生活质量,单独靠人体自身的免疫系统已经不能抗癌,所以要积极地使用合适的治疗措施。我们提倡的是不要过度治疗,如果某些治疗药物和方案没什么依据,没有经过验证,或者通过临床试验发现对肿瘤没什么用,这种情况下就不必去进行额外的治疗,不然不仅花费高,不良反应对病人的身体摧残也会很严重,得不偿失。
人体的免疫系统很复杂,它可以致病,也可以治病。我们希望在不久的将来,研究者们在这个领域能有更多新的发现,让人体奇妙的免疫系统带给更多患者真正的自愈。
参考文献:Mansoor Zafar, et al., Delayed Spontaneous Regression of Metastatic Gastric Cancer: A Case Report of a Rare Finding,Cureus 13(12): e20224.