肺泡灌洗液细胞学检查“只需”看细胞吗?(续)

作者 | 付兆强 秦尤文
单位 | 上海闸新中西医结合医院
卡氏肺孢子虫(PC)是一种酵母菌样真菌,它引起的肺部感染称为肺孢子虫肺炎(PCP),感染人的是PC中一种特殊亚型,后改称“耶氏肺孢子虫”,限于习惯仍称呼为PC和PCP。
PCP感染患者的呼吸衰竭发生率和死亡率很高,PCP的防御主要靠CD4+T细胞。放、化疗后或造血干细胞移植患者因使用免疫抑制剂使CD4+T细胞功能低下,增加了PCP的发病危险。痰液、支气管肺泡灌洗液(BALF)等标本可以用来检测肺孢子虫(PC),随着纤维支气管镜的普及,纤支镜下取BALF进行病原体检查是目前推荐的方法。
【案例经过】
患者2020年4月因“尿频、小便控制不佳”起病,在本市三甲医院查腹部彩超提示腹膜后肿块,活检病理示:CD20(+)、Bcl-2(>90%)、LEF-1(背景细胞+)、CD19(+)、Bcl-6(+)、CD43(+)、CD23(背景细胞+)、C-myc(-)、CD38(部分+)、Bob.1(+)、Mum(-)、EZH2(40%),Pax-5(+)、CD3(背景细胞+)、Ki-67(60%)、CD5(背景细胞+)、CD4(背景细胞+)、CD10(+)、CD8 (背景细胞+)、CyclinD1(-)、CD30(-),结论:倾向弥漫大B细胞性淋巴瘤(GCB型)。后转院至另一三甲医院血液科,入院查PET/CT考虑淋巴瘤。根据骨髓形态、分子、荧光原位杂交、病理和影像学等结果诊断为“弥漫大B细胞性淋巴瘤Ⅳ期 A组(GCB型)。
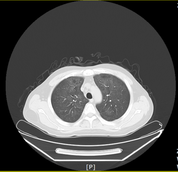
2020年10月27日因“淋巴瘤化疗后发热5天”来我院治疗。入院时血常规正常,CRP51.75mg/L,PCT阴性,血气未见明显异常,血清(1-3)-β-D-萄聚糖阳性(G试验)549.14pg/ml(≥100pg/ml阳性),GM试验阴性,LDH 537.3U/L、CMV和EB病毒定量阴性;胸片示肺间质改变明显,胸部CT示两肺弥漫磨玻璃样模糊影,考虑PCP可能大。
图片
图片
图片
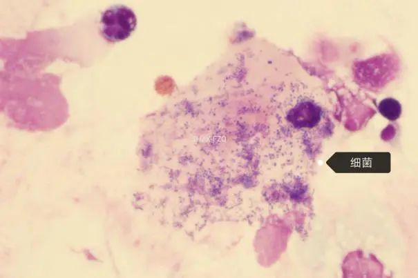
11月2日行支气管镜送检BALF,细胞形态学检验结果:查见成团出现的滋养体,偶见真菌及细菌(考虑耶氏肺孢子菌感染,合并真菌及细菌感染不排除)。瑞-姬氏染色和六胺银染色(1000×)图片及报告分别如下:
图片
图片
图片
图片
图片
【案例分析】
PCP感染前期临床症状不典型,听诊多无异常,呼吸困难、干咳、发热是典型临床表现。PCP的诊断需结合临床症状、感染的危险因素、影像学特征和病原学检查。本病例中,临床医生根据患者体征、胸片、胸部CT以及感染因素的评估对患者进行了初步判断,入院第二天(10月28日)就加用复方磺胺甲噁唑片、索洛芬钠退热进行经验性抗感染治疗。
用药后次日体温正常,临床症状得到有效控制,在患者体征基本恢复正常后于11月2日送检BALF样本,在样本送检当天即通过形态学检验在BALF样本中查见PC,确认了之前的判断,本案例由于发现和处置都非常及时,患者顺利进入下一阶段的自体干细胞移植治疗。
【心得体会】
PCP的临床及实验室检查均不具特异性,确诊有赖于病原体的检测。实验室尚不能或难以对PC进行培养,因此样本中有形成分查找病原体是PCP的重要诊断依据。痰液标本的PC检出率很低,而支气管镜可直接观察感染部位的形态改变,创伤较小,不但可以减少定植菌的污染,而且可以到达病灶部位,增加致病菌检出的机会,纤支镜下收集BALF是查找PC的首选标本。
涂片镜检或PCR检测是主要的检测方法。涂片镜检不依赖仪器、操作简便,适合于各临床实验室使用。PC主要在肺泡内繁殖,滋养体附着肺泡上皮细胞,进入支气管多为包囊,因此镜检时大多数情况下仅查见包囊。
染色方法有瑞-姬氏染色、吉姆萨染色法、六亚甲基四胺银染色法(GMS)、亚甲胺染色法和免疫荧光染色。其中GMS染色能清晰地勾勒出孢子的荚膜和核区,是查找PC的经典方法。推荐BALF样本先进行甩片或离心处理,此步骤能浓集有形成分,可显著提高PC的检出率,甩片后宜自然干燥,不建议通过加热等方式加速干燥,以免影响菌体形态及着色效果。
近年来逐渐在临床推广的宏基因组测序(mNGS)是病原学诊断的有力武器。相对于传统检测方法,mNGS灵敏度显著高于GMS、可检测的微生物类型更全面,检测菌种更多,尤其是在检测苛养菌和罕见菌时更有优势,还不受抗生素的影响。
基于PCR原理的二代测序技术(NGS)还能同时评估微生物的耐药性基因,对于指导用药十分重要。但此技术也有自身的缺点,首先大部分医院不具备NGS的实验室条件,其次实验和分析时容易受人源核酸、背景微生物等影响,并且目前没有标准化的质量控制规范,时效性虽然已相当高,但仍达不到当天出报告的需求。相较而言形态学查找病原体快速、简便、直观,目前仍是PC诊断的首选方法。
除病原学检查外,感染的危险因素、影像学特征和其他生化指标也可辅助PCP的诊断。PCP是一种机会感染性疾病,其危险因素包括艾滋病、白血病、淋巴瘤、器官移植术后、免疫功能缺陷、自身免疫病、抗肿瘤药物应用、放射治疗、长期大量应用糖皮质激素、广谱抗菌药物等。
PCP影像学随着病程进展呈现动态变化,疾病不同时期表现可明显不同,典型表现为双肺弥漫性或局限性磨玻璃样影像,星云雾状、树枝挂霜样改变,呈非对称性、非均匀性随机分布;慢性或复发病例可引起间质结构和小叶间隔的增厚。
有文献显示PCP感染早期G试验及LDH会显著升高,本案例G试验和LDH上升明显,但这2个指标在各种感染或各种疾病状态中常见升高,特异性不高。PC虽然归类于真菌,但对抗真菌药物不敏感,磺胺类药物治疗PCP有特效。当患者具备感染PC的危险因素,临床表现、影像学和血清学又高度怀疑PCP时,提前进行预防性或经验性抗PC治疗,同时寻找PC的病原学证据,可显著降低PCP的死亡率。
【参考文献】
[1]黄汉莲,代小燕,周林涛,等.6例耶氏肺孢子菌肺炎的临床特征和实验室检测分析.热带医学杂志.2021,21(2):181-200.
[2]李秀文,王运铎,张毅华.肺泡灌洗液、纤支镜刷出物及痰病原菌培养对下呼吸道感染的诊断价值.中国实验诊断学.2018,22(12):2091-2094.
[3]李肃,万理萍,谢国刚,等.支气管肺泡灌洗液病原体检测在异基因造血干细胞移植后肺部并发症中的诊断价值.中华血液学杂志.2019,40(10):822-826.
[4]孙明,杨宇如,卢一平.器官移植后并发卡氏肺孢子虫肺炎研究进展.国外医学《移植与血液净化分册》.2004,2(2):23-27.
[5]单俊丽,刘心洁.宏基因组二代测序技术在感染性疾病中的应用.山东大学硕士学位论文.
END
说明:本文为原创投稿,不代表检验医学新媒体观点。转载时请注明来源及原创作者姓名和单位。
图片
欢迎关注
编辑:徐少卿 审校:陈雪礼