与人芽囊原虫的偶遇

作者 | 李东旭  郑州大学第一附属医院郑州大学检验系实习生
指导老师 | 张慧慧 郑州大学第一附属医院检验科
1
前 言
去医院实习是我们每个医学生都要经历的一个过程。可能很多检验同学都觉着医院实习的生活枯燥乏味,但是我觉着只要我们做个有心人,每天都能在检验科重复的工作中找到乐趣。
2
案例经过
这天上午,已经转到免疫室的我和往常一样去门诊采血处看有没有标本需要取走,突然听到远处体液值班的老师喊我:“东旭!快来!”我的大脑快速运转,“一定是大便那里有了新发现!”
我边想边跑,冲到了大便岗位的显微镜前。看到那一个个圆圆的虫体,再联想课本以及网上见到的照片,我情不自禁地说出了他的名字“人芽囊原虫!终于见到活的了,而且数量还这么多。”
紧接着我和老师们一起又对标本涂片并进行碘染和瑞姬后染色。染色后虫体及细胞核更加清晰可见(图1—3)。值班老师最后在报告中备注人芽囊原虫+/HP(图4)。
图片
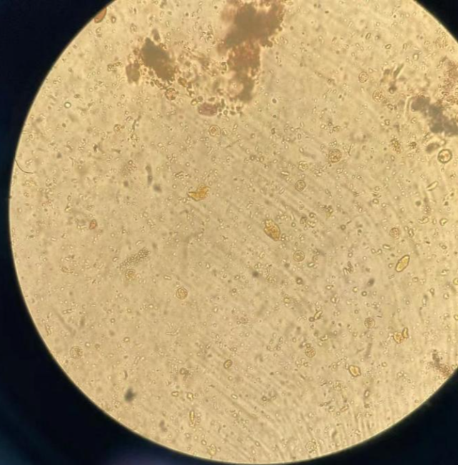
图1 湿片直接镜检的人芽囊原虫
虫体中等大小,直径约10-13微米,圆形,胞膜较薄,透明,内含一个较大空泡,与胞膜之间可见一些圆形颗粒(核或其他细胞器)
图片
图2 碘染后的人芽囊原虫
图片
图3 瑞姬氏染色后的人芽囊原虫
图片
图4 大便常规报告结果
人芽囊原虫(Blastocystishominis)在1912年首次被发现并命名,曾被长期误认为一种对人体无害的肠道酵母菌。1967年依形态学被分类为原生动物门下确认为原虫,1991年按其形态学及其寄生于人体特性命名为人芽囊原虫。
人芽囊原虫是一种呈世界性分布的人兽共患的肠道内寄生原虫。虽然致病性尚有争议,但随着近年来人类对人芽囊原虫认识的深入,越来越多的证据表明人芽囊原虫与人类多种疾病密切相关,如腹痛、腹泻、肠黏膜损伤等。
它可通过粪-口途径、水源污染等方式传播,主要寄生在宿主回盲肠处。80%-90%病人不具症状,除可引起目前所知的胃肠道症状外,还可引起其他非胃肠疾病,包括急性及慢性荨痲疹、掌跖搔痒症、缺铁性贫血等。
人芽囊原虫的形态主要有4种:空泡型、颗粒型、阿米巴型(如图 5)和包囊型。在人类消化道中,主要寄生在盲肠结肠的肠道上皮细胞,常见型态为阿米巴型及无空泡型。一旦通过肠道时,细胞质内逐渐生成空泡,形成多空泡形,是实验室培养和粪便样品中最常见形态。
空泡型的特征是中央有一个占据细胞总体积90%左右的空泡,细胞核与线粒体样细胞器往往被挤到细胞周边狭窄的胞质区内。核深染,多在3个以上。空泡型的大小变化较大,直径范围2-200μm,平均直径4-15μm。这份标本中见到绝大部分也都是空泡型的人芽囊原虫。
图片
图5粪便标本人芽囊原虫形态(×1000)[1]
A:无症状者粪便标本中人芽囊原虫颗粒型滋养体(直接涂片法);B:无症状者粪便标本中人芽囊原虫颗粒型滋养体(碘染色法);C:有症状者粪便标本中人芽囊原虫阿米巴型滋养体。
人芽囊原虫感染从粪便中检获人芽囊原虫虫体可确诊。轻微症状者无需治疗,当大量寄生或出现严重症状而又排除其他感染时可用灭滴灵(甲硝唑metronidazole)治疗,亦可用碘化喹宁治疗。对灭滴灵有抗性的虫株可用甲氧苄氨嘧啶(TMP)/磺胺甲恶唑(SMX)混合治疗。
3
案例分析
镜检之后我又查看了患者资料:患者男,胸闷、气喘2天。急诊抢救室以“1.急性心力衰竭 2.冠心病PCI术后3.慢性肾脏病4期”收入院。既往患“高血压”14年余;“冠心病”30年,患者生于并久居河南省睢县。
患者并不是以消化道症状为主诉入院,也没有明显的消化道系统感染症状,大便性状也为棕黄色软便,故考虑这是一例慢性的人芽囊原虫感染。患者大便中虫体数量虽然很多但是依然没有表现出明显的腹泻症状。说明人芽囊原虫是一种条件致病性原虫,感染者不一定表现出明显的症状。
我脑海里不禁又浮想起上一次的人芽乌龙事件,萍萍老师在某天下午工作中在一份大便标本中发现了人芽囊原虫。我第二天满怀期待的找到标本再涂片观察。一番寻找之后,我终于发现了“人芽囊原虫”。
不过令我感到奇怪的是,这些“人芽囊原虫”虽然是圆形的,但是不仅在边缘看不到网上图片上那样的边缘上的小泡形的细胞核或细胞器,而且碘染也染不上色,瑞姬氏染色后还消失不见了。
怀着满腹疑惑的我便去急诊化验室找到了慧慧老师。慧慧老师的“慧眼”打破了我的幻想,原来这些我以为的“人芽囊原虫”是植物细胞崩解产生的脂肪滴!
他的折光性太强了,大小悬殊很大,而且看不到细胞核或细胞器。所以在瑞姬氏染色时溶解在甲醇中后消失不见。至于萍萍老师昨天看到了而我却没有找到应该是虫子数量太少或者放置时间太长虫体崩解死亡等等原因。所以小伙伴们要练就“火眼金睛”,一定不要像我一样再被脂肪滴欺骗了。
图片
图6“假人芽囊原虫”——脂肪滴
4
总结及心得
这个病例告诉我们粪便常规是不能离开显微镜,否则就会对某些寄生虫感染者造成漏检。该患者隐血阴性,且为棕黄色软便,可能某些检验人员就会认为这是一件基本正常的标本而不去镜检。显然这样的做法会造成漏检。
在临床工作中我们还要注意人芽囊原虫与脂肪滴、白细胞以及其他原虫如脆弱双核阿米巴、蓝氏贾第鞭毛虫包囊等的鉴别。再鉴别困难时可用碘染色法、瑞姬氏染色进行鉴别。
对于实习生来说,形态学在刚开始学习时面对书上的一张张照片会感到其枯燥晦涩,但是在亲眼镜下观察之后会对虫体结构有清晰的认识,记忆也更加深刻。所以要劝各位检验实习小伙伴们要多去看显微镜,多向经验丰富的老师请教,就一定能在实习期间有所提高。
看完了虫虫,又进入到繁忙的工作中。其实看似枯燥的实习生活,只要我们善于发现、勤于思考,总能找到自己的乐趣所在。告别了人芽囊原虫,不知道下一个等待我去发现和探究的是什么呢?敬请期待吧!
参考文献:
[1]申继清,田春林,卢作超,等.人芽囊原虫滋养体的形态及其与致病的关系[J].中国寄生虫学与寄生虫病杂志,2013,31(02):137-139+142.
[2]孙沁,严宜明.芽囊原虫致病机制的研究进展[J].中国人兽共患病学报,2019,35(04):345-349+354.
[3]张富强,王沛,冯霞,等.全球人群人芽囊原虫感染情况及基因亚型研究进展[J/OL].中国血吸虫病防治杂志:1-11[2021-01-25].https://doi.org/10.16250/j.32.1374.2020083.
[4]廖远泉,余学留.国内人芽囊原虫研究的一些进展[J].中国血吸虫病防治杂志,2003(04):315-318.
END
说明:本文为原创投稿,不代表检验医学新媒体观点。转载时请注明来源及原创作者姓名和单位。
图片
欢迎关注
编辑:徐少卿 审校:陈雪礼