补过的牙又坏了的痛,谁懂?

来源:南先森(ID:i_dentist)
作者:管牙管脸的南先森
前段时间有个热议话题:有哪些地方是你去旅游过一次还想再去的?
比如成都长沙这些一次没吃够的地方,去一次景点逛不完的大西北,一年四季风景都值得逛的内蒙古等等都上榜了。
说到“去了还想再去”,你的牙齿就是个好地方,细菌是来了又来。说的就是补过的牙还会坏这个事儿。
图片
为啥补过的牙还会坏?
我们的修复体,无论是补牙、牙冠还是嵌体,它的边缘,在微观上和牙齿健康组织是有一个缝隙的,没有绝对密合。
图片
这些肉眼不可见的间隙, 在10 微米至几百微米不等。当间隙大小超过 35~50 微米时,比一般头发丝还细的缝隙,微量的唾液就会进去。当微裂隙的环境合适时,唾液中的致龋微生物就会生长繁殖,从边缘或底部开始龋坏,继发龋就是这么来的。
图片
这个微渗漏一般怎么发生?
·一开始原有的龋损没清理干净。
·充填体的边缘有菌斑滞留。
·补过的牙在咀嚼时破碎、折断,也和使用的充填材料、粘结材料等有关,比如树脂材料固化时体积收缩,可能出现微渗漏。
图片
咋看出来是不是又坏了
判断补过的牙是不是坏了,一定得打开补牙材料吗?
图片
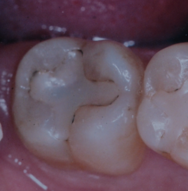
其实,要是看到原充填物边缘如果有黑线,就得提高警惕了。
总塞牙、充填体或修复体破损、脱落的也要注意。
如果补过的牙冷热刺激敏感、疼痛、松动,也建议去检查看看。
图片
如果不管,随着龋坏向牙齿内部深入,可能出现:牙髓炎(冷热刺痛、锐痛、夜间痛等)、根尖炎(胀痛、跳痛、发热)、缺牙、间隙感染(严重时甚至危及生命)……
发现了或怀疑可能有继发龋就需要去找牙医拍片检查,早治疗说不定还能赶上“再补一补就好”的末班车。
图片
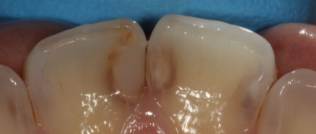
一些面积较大或特殊部位的龋坏,可以试试边缘密合性较好的嵌体补牙。详情可以戳图
图片
让补过的牙多用几年
你能做到的是:刷它!不要因为想着补过了就特殊对待,还是要有效刷牙,彻底清洁每个牙面。
图片
补过的牙体表面很快就会有细菌薄膜覆盖,形成菌斑,有效防止继发龋的手段之一就是彻底清洁牙齿。
使用牙线,尤其戴了冠的牙和邻牙处,菌斑容易堆积,记得定期洗牙和口腔检查。
剩下的就看你找的靠谱牙医的了,比如去干净龋坏组织、充填时注意消毒和隔湿、选择适合你的补牙材料和方式等,从而降低牙齿补了又坏的可能。
图片