最详细直肠癌 MRl 诊断指南,一图看懂

直肠癌的多学科诊疗模式包括术前新辅助放化疗和 TME 手术,增加了对局部进展期肿瘤的局部控制,成为直肠癌的标准治疗方法。
高分辨率盆腔磁共振成像(MRI)是直肠癌分期的主要方法,但尚未证明在再分期中有效,特别是在新辅助治疗后的完全应答评估中。
新辅助放化疗在直肠肿瘤和相邻区域产生许多变化,结果不能准确地确定局部肿瘤范围。然而,将动态增强或者扩散加权序列添加到标准方法可以提高诊断准确性。
一般不建议使用腔内造影剂如超声波凝胶进行常规灌肠,因扩张直肠并压缩直肠系膜脂肪可能导致对筋膜受累的高估并干扰直肠系膜结节的评估。
检查前一般不必肠道准备,但有过量的粪便时可以使用解痉剂。以此目的(除非禁忌),在将患者置于 MRI 台之前,肌肉注射 40 mg 丁基莨菪碱。
成像协议
标准的直肠 MR 协议至少包括具有 1~3 毫米切片厚度的矢状位、轴位和斜冠状位的 2D T2 加权序列。矢状位用于确定纵向肿瘤轴线,使得轴向和冠状面可以分别垂直于和平行于肿瘤轴。
冠状位必须与肛管一致,以便为低位肿瘤评估肛门复合体和盆底肌肉的关系。
图片
图 1. T2 加权矢状图像用于确定肿瘤纵轴,以便调整轴位和冠状位角度。A. 斜轴位在直肠肿块水平垂直于直肠壁;B. 斜轴位与盆底垂直,用于覆盖淋巴结引流区域;C. 冠状位与肛管平行,用于低位直肠肿瘤的成像。直肠肿瘤用箭头表示。
图片
图 2. 根据距肛门边缘的距离,可将直肠分成三段。T2 加权矢状图显示,直肠上段(> 10 厘米),中段(5~10 厘米),和下段(
中上段直肠壁由三个独立的层组成,可在 MRI 中进行区分,T2 加权 MRI 序列能很好地显示直肠壁解剖结构。
图片
图 3. A. 示意图;B. T2 加权轴位磁共振成像。内侧高信号层代表粘膜和粘膜下层(两层之间不可区分),中间低信号层和外侧的高信号区域代表固有肌层和直肠系膜,直肠系膜筋膜表现为低信号包绕直肠系膜(箭头)。
耻骨直肠韧带构成肛管的上限。肛管内层肌由内括约肌组成,是直肠固有肌层环形层的延续。肛管外层肌由耻骨直肠肌和外括约肌的尾端组成。
图片
图 4. 低位直肠正常解剖,A. 示意图;B. 冠状位 T2 加权磁共振成像。耻骨直肠韧带,耻骨直肠肌上部显示肛管的最高部分(虚线);肛门边缘是肛管的最下面部分(实线)。LA:肛提肌;IS:内括约肌;ES:外括约肌。
腹膜反折覆盖上段直肠前壁,矢状位在男性精囊腺上极和女性宫颈角上方。腹膜侵袭的评估在分期中非常重要,因为直肠肿瘤在腹膜受侵的情况下分期为 T4a。
图片
图 5. 女性(A 和 B)和男性(C 和 D)腹膜受侵 T4a 直肠肿瘤患者。在矢状位 T2 加权图像上,腹膜是肿瘤前面的低信号线性结构(A,C 中的箭头)。在轴位 T2 加权图像上,腹膜具有 V 形并且附着在直肠癌的前面(B 和 D 中的箭头)。T:肿瘤;U:子宫;P:前列腺。
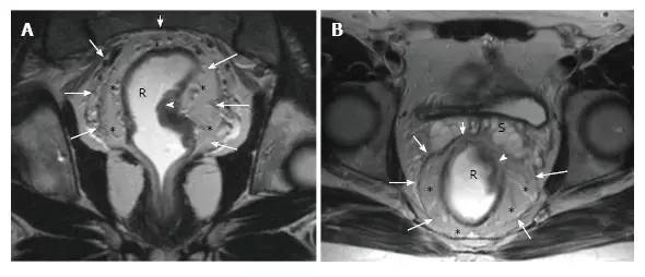
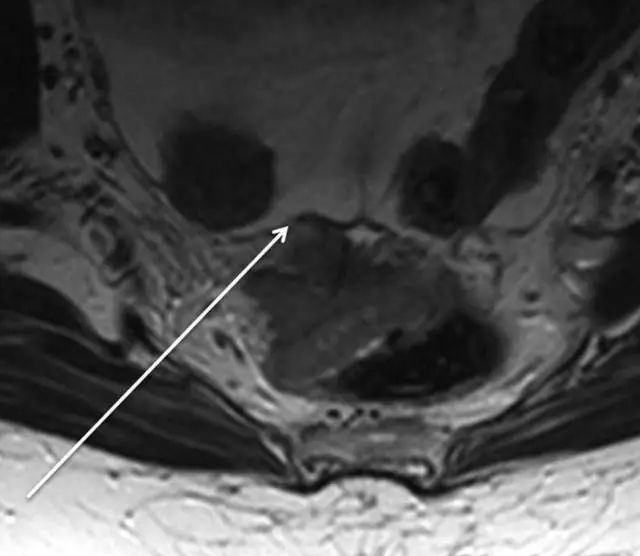
位于腹膜返折下方的中段直肠完全被直肠脂肪组织包围,称为直肠系膜。直肠系膜由 MRF 构成环周切缘(CRM)。
MRF 可以被看作是围绕直肠和直肠系膜的薄、低信号。MRF 在直肠下段逐渐变薄,MRF 在后侧位很容易看到,虽然很难将其与前壁的 Denonvilliers 筋膜区分开。
图片
图 6. 直肠系膜和直肠系膜筋膜共振成像解剖学。在 T2 加权(A. 轴位和 B. 冠状位)磁共振图像上,直肠系膜筋膜(箭头)被看作是一个薄的低密度层,包围男性直肠癌患者的直肠系膜脂肪组织(*)和直肠。
直肠癌分期
1. 肿瘤高度与长度
因预后和手术管理受肿瘤部位的影响,应报告肿瘤高度和长度。矢状位上划线测量肿瘤长度,肿瘤位置是肿瘤最低处至肛缘距离,并分作上中下三段(图 7)。
图片
图 7
2. 中高位肿瘤 T 分期
在 T2 加权成像中,固有肌层处于高密度直肠系膜脂肪和粘膜/粘膜下层之间,显示中度至轻度高信号。
T2 加权图像上的直肠肿瘤的信号强度通常介于固有肌层和粘膜的信号强度之间(图 8)。
T1 肿瘤局限于粘膜下层,T2 肿瘤向下延伸但不超过肌层,非相控阵线图条件下或直肠内超声下 T1 与 T2 的区分并不可靠,肿瘤可直接分作 T1/T2。
肿瘤超过肌层并延伸入直肠系膜脂肪时称为 T3,肌层受累时如果有穿透血管不要误将其划作 T3(图 8 和图 9)。
图片
图 8. 直肠癌 T 分期。美国癌症联合委员会根据侵润深度进行 T3 肿瘤的分层:小于 5 mm,T3a;5~10 mm,T3b;超过 10 mm,T3c。
图片
图 9. 直肠癌 T 分期磁共振成像。T2 加权轴向图像显示不同 T 阶段的直肠癌:A. T1 肿瘤局限于粘膜下层,尚未进入固有肌层(箭头);B. T2 肿瘤扩展到但不超出固有肌层(箭头);C. T3 肿瘤超出固有肌层和并延伸入直肠系膜脂肪(箭头);D. T4a 肿瘤侵入内脏腹膜(箭头)。
壁外侵犯深度指肿瘤超过肌层的延伸,美国癌症联合委员会建议根据壁外侵犯深度将 T3 分层:T3a<5 mm,T3b 5~10 mm,T3c>10 mm。T3a 者生存率更高,这些早期 T3 肿瘤单独手术就可控制,与 T1/T2 肿瘤预后相当。
T4 肿瘤延伸至脏层腹膜表面或邻近结构(表 1,图 8 和图 10)。
表 1. 直肠癌分期系统
图片
图片
图 10. 磁共振成像中 T3 肿瘤的分层。T2 型加权轴向磁共振图像在 T3 直肠癌患者中显示肿瘤超出固有肌层延伸(双头箭头)。A. 小于 5 mm,T3a;B. 5~10 mm,T3b;C. 超过 10 mm,T3c。
额外看几幅大图:
图片
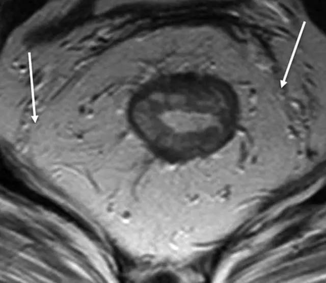
62 岁直肠癌妇女,薄层 T2 加权轴位 MR 图像显示直肠癌,在 9 点钟位置。
图片
箭头显示直肠系膜筋膜。
图片
MR 图像的示意图。
图片
图片
72 岁直肠癌男性,T2 加权轴位图显示 T1 肿瘤,紧邻肿瘤的粘膜下层消失而固有肌层完整。
图片
62 岁直肠癌男性,T2 加权轴位图像显示 T2 期,环形肿瘤侵犯但未超过肌层。
图片
图片
73 岁直肠癌女性,T2 加权轴位图像和相应的线图显示 T3a 肿瘤超出外肌层小于 1 毫米(箭头)。
图片
图片
56 岁直肠癌女性,T2 加权轴位图像和线图(b)显示:后壁环形肿瘤(箭头),浸润的部分在 6 点位置,T3b 超过外肌层扩展<5 毫米。
图片
51 岁直肠癌女性,T2 加权图像显示 T4 期浸润性肿瘤(箭头),并通过腹膜反折扩张。
图片
图片
58 岁低位直肠癌男性, T2 加权冠状 MR 图像显示左侧入侵到内侧平面(箭头)。
3. 与直肠系膜筋膜距离
对于 T3 肿瘤,应测量肿瘤穿透最重处与 MRF 间的最短距离,它是非常重要的局部预后因子,肿瘤与 MRF 距离超过 1 mm 是 TME 后可靠的切缘阴性预测指标。
存在诸如肿瘤沉积、淋巴结或壁外血管侵犯(EMVI)时,应报告结节与 MRF 间的最短距离(图 11 和图 12)。
图片
图 11. 阳性切缘示意图。
图片
图 12. T2 加权轴向图像不同患者的直肠系膜筋膜和直肠系膜筋膜受侵的距离。A. T3a 肿瘤远离直肠系膜筋膜(双头箭头);B. T4a 肿瘤(白色箭头)和可疑的直肠内淋巴结(箭头)邻接直肠系膜筋膜;C. 直肠肿瘤位于直肠系膜筋膜 > 1 mm 处;然而,位于直肠系膜筋膜之外的可疑淋巴结位于直肠系膜筋膜(箭头)的
4. EMVI
EMVI 与局部和远处复发相关,生存率差,定义为在直肠系膜脂肪的血管内存在恶性细胞。EMVI 表现为接近肿瘤的血管明显不规则或肿瘤信号强度增加(图 13)。
图片
图 13. EMVI。T2 加权(A)冠状和(B 和 C)连续轴向磁共振图像,在 T4a 直肠癌患者中显示不规则和扩大的血管信号插入肿瘤,与肿瘤有相同的信号强度(圆圈)。
5. 低位肿瘤 T 分期
表 1 和图 14、图 15 显示了如何鉴别肿瘤 T 分期和环周切缘(CRM)。
图片
图 14. 根据低直肠癌的每个阶段的示意图和高分辨率冠状 T2 加权磁共振图像。不同患者的直肠肿瘤用磁共振图像上的箭头表示。
图片
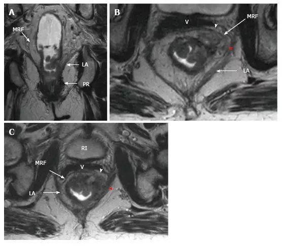
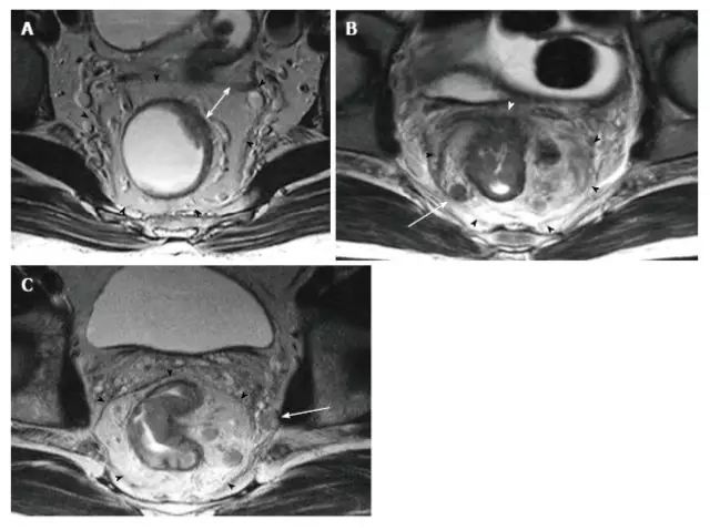
图 15. Ⅳ 期低位直肠癌。
在 T2 加权(A)冠状面(B,C)轴向磁共振图像显示,直肠癌浸润提肌(红色箭头)和直肠系膜筋膜(白色箭头)。
LA:肛提肌;PR:耻骨直肠肌;MRF:直肠系膜筋膜;BL:膀胱;V:阴道。
6. N 分期
淋巴结分期对术前治疗计划很重要,TNM 分期中仅累及区域淋巴结包括直肠系膜和髂内淋巴结(表 1),其它淋巴结受累认为是转移。
直肠系膜淋巴结通常最先也是最常受累,多位于肿瘤 5 cm 范围内。直肠系膜外淋巴结(髂、直肠上或肠系膜下淋巴结)受累时为局部进展期,低位直肠肿瘤可转移至腹股沟浅淋巴结,提示预后不良。
淋巴结大小是使用 MRI 进行 N 分期的主要标准,当短轴超过 0.5 cm 时认为是病理性的,但是没有最佳的阈值。
在大小基础上加入形态学特征如圆形、轮廓不规则和信号强度不均一,提高了 MRI 诊断精确性。虽然 MRI 特征的描述不够准确,但对于定位可能有用(图 16)。
图片
图 16. 直肠系膜和直肠系膜外淋巴结受累。A. T2 加权;B. T1 加权造影增强轴向 MR 图像;C. 18 F-FDG PET-CT;D. DWI 在直肠系膜内(红色箭头)和直肠系膜外(白色区域)显示可疑淋巴结。直肠系膜外淋巴结在 DWI 上比 T2W 和 T1W 序列更为明显。
新辅助治疗后再分期
新辅助 CRT 可以降期、缩小肿瘤,减小手术范围,减少局部复发和改善生存。重新分期需比较治疗前后图像所有因素,要尽量保证图像相同条件和层面。
1.T 分期
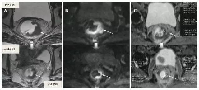
采用传统 MRI 序列对 CRT 后肿瘤重新分期的精确性差于初始分期,尤其在证实完全缓解(yT0),主要是很难将残留的肿瘤与纤维化、水肿和正常粘膜区分开,因此 CRT 后正常的 2 层直肠壁提示为完全缓解,而残留纤维化既可以是肿瘤残留也可以是完全缓解(图 17)。
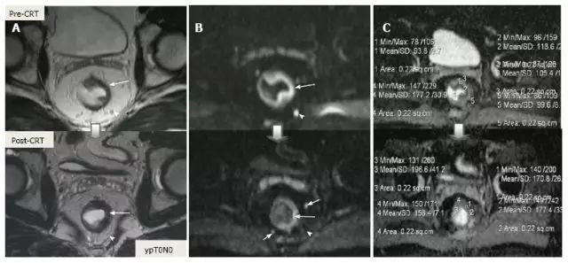
实际上 CRT 后 T2 加权 MRI 后上纤维化的信号强度很低,而残留肿瘤区域则为中等强度,仔细评估高分辨图像和 DWI 是能区分小的残留病变和纤维化的(图 18)。
图片
图 17. 新辅助放化疗后肿瘤重新分期。在不同患者的 T2 加权 MR 图像上分别显示(上:治疗前,下:治疗后)。A. 在 ypT0 直肠肿瘤中,治疗后的轴位图像显示正常的两层直肠壁(箭头),对应完全缓解;B. 在 ypT3 直肠肿瘤中,治疗后的轴位图像显示正常的双层直肠壁(箭头)。这是 MR 评估完全缓解的假阴性例子;C. 在 ypT0 直肠肿瘤中,原有肿瘤区域治疗后呈现厚的、纤维化的低信号强度疤痕(箭头)。
除了形态学发现之外,DWI 可以提供与细胞水平相关的功能信息变化。
CRT 后细胞密度减低、纤维化或坏死使弥散加强,从而降低弥散加强图像的弥散信号强度,并增加在 ADC 图像 [ADC 值和 ADC 的信号强度(图 18 和图 19)。
虽然 DWI 能从纤维化中区分活的肿瘤细胞,也能区分治疗反应好与差,但不能预测完全缓解(图 20)。
而且 CRT 后不能使用 DWI 评估肿瘤反应,因为即便在治疗前此类肿瘤也显示为 ADC 高密度(图 21)。
图片
图 18. DWI 对放化疗后为 ypT3 的肿瘤重新分期。A. T2 加权轴位显示治疗后半圆形浸润肿瘤,与残留的 T3 肿瘤相符(箭头);B. 治疗后 DWI;C. ADC,图像分别对应肿瘤的高低信号强度,治疗前后 ADC 值分别为 0.68-0.72 和 1.22-1.44×10-3 mm²/s,治疗后 ADC 值增加与治疗反应相符。
图片
图 19. DWI 对放化疗后 ypT0 直肠肿瘤重新分期。A. 治疗后 T2 加权轴位图像显示,先前直肠肿瘤区域的低信号强度纤维化厚壁(箭头),难以确定该区域是否含有肿瘤细胞还是完全缓解;B. 在治疗后 DW 图像(B-800)中,在以前的肿瘤区域(箭头)没有弥散信号,与完全缓解相符。在这种情况下,DWI 正确区分肿瘤与纤维化;C. ADC 图像显示治疗后平均 ADC 增加(0.70 × 10-3 mm²/s 对比 1.40 × 10-3 mm²/s)与治疗反应相符,但不能预测完全缓解。
图片
图 20. DWI 对放化疗后 ypT0 直肠肿瘤重新分期。A. T2 加权轴位图像显示低信号强度纤维化的厚壁,可疑残留肿瘤区域具有中等信号强度(长箭头);B. 治疗后 DWI 图像,低信号强度的小焦点与残留肿瘤(长箭头)相符;C. ADC 图像显示治疗后平均 ADC 增加,与治疗反应相符, 但没有完全缓解。可疑直肠淋巴结(箭头)在 CRT 后 T2 和 DWI 不可见,但另外两个仍然可见(短箭头)。此例是 DWI 评估肿瘤和淋巴结反应假阳性。
图片
图 21:粘液腺癌。粘液性肿瘤在治疗前后 T2,弥散和 ADC 图像均显示出高信号,无论其治疗反应如何。他们对 CRT 的反应不能使用 DWI 进行评估。
2.直肠系膜筋膜距离
如果在 CRT 后距离 MRF 至少 1 毫米观察无肿瘤边缘则认为 CRM 未累及,阴性预测值达 98%,但阳性预测值很低。
有些直肠癌,CRT 导致肿瘤容积明显减少同时,也导致最初与 MRF 相接的缘收缩,此时难以确定此区域是否存在肿瘤细胞(图 22 和 图 23)。
图片
图 22. 放化疗对直肠肿瘤和周围切缘影响的示意图。
图片
图 23. 放化疗对直肠肿瘤和周围切缘的影响。不同病人的 T2 加权轴位磁共振图像(上:基线,下:CRT 后)。A. 在没有 MRF 侵袭的 ypT2 直肠肿瘤中,在直肠系膜筋膜(箭头)处厚厚的低信号组织浸润导致过度分期;B. 在没有 MRF 侵袭的 ypT3 直肠肿瘤中,肿瘤的纤维性纤维性缩小,CRM 阳性可疑(箭头);C. 直肠肿块明显缩小,低信号强度浸润直肠系膜筋膜(箭头)。手术中证实肿瘤侵犯了直肠系膜筋膜。
3.N 分期
CRT 后淋巴结大小用于重新分期更可靠,放疗导致的正常淋巴结形态学变化使得转移淋巴结与正常淋巴结很难采用形态学和 DWI 相区分,经常导致淋巴结过度分期(图 24 和图 25)。
图片
图 24. DWI 对直肠癌放化疗后 ypT0N0 直肠系膜淋巴结评估假阳性。A. T2 加权轴位磁共振图像显示放化疗后结节大小明显减少,与阴性淋巴结(箭头)相符;B. DWI 图像,直肠周围淋巴结治疗后高弥散信号,与阳性淋巴结(箭头)相符。
图片
图 25. DWI 成像,直肠癌放化疗后 ypT0N0 阳性直肠系膜淋巴结。A. T2 加权轴位图像显示淋巴结大小明显减少,与完全反应相符;B. 残余的纤维化淋巴结呈现高弥散信号强度,错误提示为转移性淋巴结(箭头)。
MRI 重新分期的精确性通常低于初始分期,主要源于淋巴结过度分期,不能区分肿瘤浸润、肿瘤残留、治疗反应与纤维化的差异。
有 meta 分析显示新辅助治疗后 MRI 重新分期的精确性变化很大,但如果联合 DWI、有经验的专家结果会更好,也有报道 MRI 可用于 CRM 分期,但对淋巴结分期则一直是挑战。
声明:此为近期对直肠癌 MRl 学习之笔记,为编译形式,欢迎批评指正!
参考文献
1. World J Clin Oncol. 2017 Jun 10;8(3):214-229. doi: 10.5306/wjco.v8.i3.214.
2. AJR Am J Roentgenol. 2008 Dec;191(6):1827-35. doi: 10.2214/AJR.08.1004.
策划:汪小鱼,GoEun
本文首发于丁香园旗下专业平台:肿瘤时间