母亲逼孩子每天跳绳3000个结果……那些必须无条件休息的跑步伤痛

图片
#妈妈为让女儿长高每天逼其跳绳3000个#,这一话题冲上热搜。
妈妈对女儿说:“长不高你自己后悔!”,女儿反复高强度跳绳出现膝盖疼痛,妈妈还以为孩子装病,极不情愿带着孩子去医院看病,结果被诊断为胫骨结节骨骺炎……
图片
又是一例揠苗助长的典型案例,同时也是运动不科学带来的问题,人民日报官微也报道了这个新闻。
杭州一位13岁的女孩媛媛,身高1米58,体重将近120斤。为抓住最后的长高机会,媛媛的妈妈听说跳绳有助于长个子,每天逼着女儿跳绳3000个。
媛媛一直咬牙坚持,直至不久前,忽然感到左膝疼痛。妈妈一开始觉得是女儿想偷懒:“现在不愿意坚持,以后长不高后悔的是你自己。”到医院检查后才发现,女儿患上胫骨结节骨骺炎。
图片
胫骨骨骺炎又被称为生长痛,在青少年中多见,主要是由于胫骨结节骨骺在髌腱的牵拉下发生急性或反复慢性损伤的结果。
骨骺是青少年骨骼发育中心,而胫骨结节骨骺位于胫骨近侧前面,是股四头肌髌腱附着点,反复做屈伸跳跃运动,导致过度牵拉而引发胫骨结节疼痛,活动后加重。
这是一种典型的过度使用的疾病,问题不是太大,无需药物治疗,仅嘱托患者注意休息,限制膝关节活动,近期避免跑、跳、蹦,通常很快就能自愈。
图片
从媛媛身高1米58,体重将近120斤,其BMI已经接近24,在13岁年龄段女生已经属于超重,在体重较大的情况下,每天进行3次,每次1000个跳绳必然对于下肢产生较大冲击性负荷从而导致骨骺炎的发生。
一般来说,青少年要参加有氧运动、力量性运动和冲击性运动,跳绳属于典型的冲击性运动,冲击性运动对于骨骼发育的确有一定意义,因为骨骼必须要承受应力作用才能促进其生长,但过量负荷会对骨骼产生负面作用,也会对肌腱附着于骨骼出产生明显过度牵拉从而引发胫骨骨骺炎。
这个案例告诉我们过量运动对于身体的危害。膝痛是跑友最常见伤痛,成为困扰广大跑友、影响跑步的顽疾。
图片
图片
跑者对待膝痛的2种常见方式
发生膝痛时,跑者通常会有两种反应,一种就是休息和治疗,有些跑者休息后有所缓解,但再次跑步又会发生膝痛,可见休息显然不能根治膝痛。
道理是这样的,如果是由于负荷积累性的疼痛,比如跑多了,负荷超出身体承受能力,这种膝痛通过休息是可以暂时性缓解的;
但如果你的身体灵活性和稳定性存在问题比如关节僵硬、肌肉力量差,再加上跑姿动作模式不合理、以及明显影响跑步的结构性损伤问题不去处理,那么稍微跑多一点,反复发生膝痛也就在所难免。
图片
跑者的第二种反应是不在乎膝痛,表现为只要跑步时膝盖疼痛不是特别明显,还能继续跑,哪怕平时上下楼梯膝关节不舒服,下蹲时膝关节也不适,跑步时膝关节隐隐做痛但不太影响跑步,也忍着疼痛坚持跑步,又或者膝盖稍微缓解一点,又忙不迭地开始恢复跑步。
忍痛跑步或者伤痛后急于恢复跑步,显然是错误做法,越痛越跑的后果就是越跑越痛。
图片
其实,膝痛作为一种重要信号,是给予人体应当加强自我保护的重要提示,跑者一定要重视这种信号,发生膝痛时,必要的休息是需要的。
有些类型膝痛可能还需要休息比较长的一段时间才能有效控制,比如本文接下来要讲的骨挫伤,同时配合做好治疗、康复,待膝痛缓解后,重返跑步同时,也要注意第一养成正确跑姿,第二改变之前导致疼痛的错误跑步习惯,第三强化力量。
图片
什么样的膝痛
必须无条件休息3个月
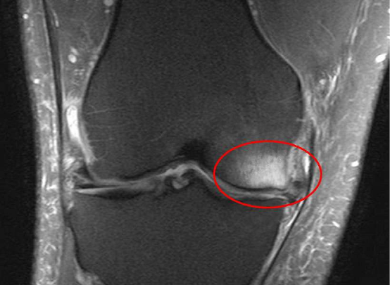
如果你跑步时膝痛较为明显,同时日常生活中上下楼梯等负重活动也出现较为明显的膝痛、休息后略微好转,但只要继续开始运动,膝痛反反复复发生,并无实质好转,那么你要警惕你是否发生了这种类型膝痛——骨挫伤,影像学上诊断称为骨髓水肿,其实是一回事。
图片
1、骨挫伤是一种什么样的疾病
骨挫伤,又称为骨髓水肿(bone marrow edema,BME)在临床医生没有充分认识前,常被误诊和漏诊,随着核磁共振成像(MRI)技术的应用普及,诊断准确率得到了有效提高,该病曾经出现过多种名称描述,比如:特发性骨质疏松、痛性营养不良、暂时性骨髓水肿、原发性骨髓水肿、骨髓水肿综合征等。
骨髓水肿的病理过程主要表现为:病变骨组织灌注过度,导致液体外渗,引起骨基质水肿、纤维组织增生及炎性细胞浸润。此外,还表现为骨髓脂肪坏死,骨质吸收导致呈现骨质疏松样改变,骨髓组织呈水肿样变化,常伴有血管增生。骨髓水肿可以理解为微骨折。
图片
2、膝关节骨挫伤有哪些症状?
骨挫伤的主要症状就是持续或者不断加重的膝关节疼痛,跑步时疼痛很明显,跑完步后第二天膝盖不适明显加重,上下楼梯也出现较为明显的疼痛。短期休息(比如1-2天)并不能有效缓解疼痛症状,只要跑步就容易再次出现疼痛。
单从症状上来说,骨挫伤的症状并不十分典型,所以跑友自己是无法判断的,需要到医院进行检查诊断。
但如果疼痛不断加重或者没有好转,经过短期休息也无法缓解,那么你要警惕了。
图片
3、为什么有些跑友会发生骨挫伤?
骨挫伤的发生与多种因素有关,比如感染、骨肿瘤、创伤、过度负荷、骨性关节炎、类风湿性关节炎等等,对于跑友而言,其发生的骨挫伤通常跟持续不断地负荷作用于骨骼有关,可能导致骨小梁发生微骨折,造成局部毛细血管通透性增加,细胞液外渗,局部血管灌注量亦增多。
因此,跑量较大、盲目增加跑量、不遵循循序渐进训练原则的跑友是膝关节骨挫伤的高风险人群。
图片
循序渐进地跑步有多重要从这里可以看到了吧?
如果运动负荷恰如其分时,我们身体不仅可以承受,而且还可以变得越来越强壮。
但是,当运动负荷达到身体能够承受的极限水平时,这时就有可能造成损伤,产生不适、疼痛、肿胀等炎症反应,炎症反应是一种信号,告诉我们运动负荷有点大了,此时身体也会启动修复机制,还是有可能修复的。
但如果运动负荷明显超过了身体承受能力,且持续不断,导致身体结构,比如关节软骨、软骨下骨组织(骨髓水肿就是这一类型)等实质性损害,修复无赶不上破坏,那么这时伤痛就真正产生。
4、怎么判断膝关节疼痛是由于骨挫伤造成的?
如果你的膝痛持续存在,并且并无好转,跑步还使得膝痛不断加重,那么最正确的处理方式就是到医院检查,建议找运动医学科或者运动损伤专科是最佳选择,如果没有运动医学科,也可以挂骨科或者康复科的号。
对于医生来说,往往也无法判断你的膝痛是不是骨髓水肿造成的,但医生会通过询问病情并通过检查进行准确诊断。对于骨挫伤来说,最有效精准的诊断手段就是核磁共振检查。核磁共振图像显示骨髓异常十分敏感,可以明确骨髓水肿的范围和严重程度。
图片
5、发生骨挫伤该怎么治?
诊断明确的最大意义是在于对症下药,而不是盲目治疗。
骨挫伤既是一种比较严重的损伤,也是一种具有自愈倾向的疾病,说它严重是在于如果存在持续的关节压力,比如跑步、爬山、越野跑、下蹲等等,那么这个病不仅不会好,甚至还会加重,说它具有自愈倾向,是指只要经过足够休息,减少负重。
该病一般不需要其他治疗手段,就能养好,时间多长呢?休息2-3个月。
图片
因此,长期膝痛并且逐渐加重的跑友,到医院如果诊断明确是骨挫伤,那么首要就是完全停止跑步3个月,在这期间,除了暂停跑步,也要暂停下肢负重性力量训练,比如靠墙静蹲、下蹲、弓箭步之类练习都不要做,减少上下楼梯,能坐电梯就坐电梯,也就是说以完全休息为主,而不要给予膝关节过多的运动负荷刺激,特别是负重负荷刺激。
3个月后复查核磁共振,如果水肿吸收,那么就可以重新恢复跑步。
有跑友担心,骨挫伤会留下后遗症吗?得了这个病还能跑步吗?
一般情况下,经过完全休息一段时间,水肿吸收、组织修复后,这个病就算痊愈了,就可以像以前一样正常跑步。
图片
当然,多数情况下,跑友的核磁共振检查结果不会只有骨挫伤一条,往往诊断结果还包含半月板退变、软骨损伤、滑膜炎等诊断,但只要诊断中提示骨挫伤,基本建议就是完全休息。
当然,对于治疗来说,除了休息,还需要针对原发问题,比如半月板损伤进行必要治疗,是否该病有复发的可能性。
图片
图片
什么膝痛该积极康复?
除了骨挫伤,其他类型的膝痛往往光靠休息只能部分缓解疼痛,非常容易恢复跑步或者跑量增加后再次出现疼痛,即便是骨挫伤彻底吸收后,跑者也是需要进行康复训练的,只不过康复的时机不同,骨挫伤建议2-3个月后开始进行康复训练,而其他类型膝痛,在急性炎症期过了之后就可以进行康复训练了。
1、积极康复,祝你早日重返跑步
康复医学的突飞猛进,更是让“好好休息,祝你早日康复”这样的传统用语可以走进历史了,“好好运动,才能帮助你早日康复”,这里的运动就是指康复训练,通过合理的康复训练可以有效增加肌肉力量、提高关节稳定性、建立正确的运动模式,是帮助伤痛跑友重返跑步不可或缺的重要环节。
图片
当然,康复训练也要掌握正确方法,从一般意义上说,那些在对抗自身体重甚至更大负重情况下的(比如杠铃下蹲),还要求膝关节有较大屈伸运动幅度的动作,都不太适合膝痛跑者。因为在负重情况下,膝关节弯曲幅度越大,膝关节所受到的压力也就越大,这会导致膝痛跑者疼痛加重。
以下动作均不适合膝痛跑者
图片
膝痛跑者需要加强腿部力量,但又要避免在训练时膝关节承受过大压力,这的确是一个看似比较矛盾的话题,这是需要讲究康复训练方法的,所以力量训练是康复训练的重要手段,但力量训练和康复训练并不能直接划等号。
对于膝痛跑者来说:需要减少较大负重下大幅度膝关节屈伸练习就是指减少下蹲、弓箭步、低位靠墙静蹲练习,但膝关节较小幅度的自重练习,比如采用幅度较小的靠墙静蹲、仰卧直腿提高等等练习是完全允许的,但也不能只是练大腿前侧,大腿后侧、臀肌、核心强化也必不可少。
膝痛跑者要做正确的康复训练
图片
2、改变不良跑步习惯:合理控制跑量、重视休息
膝痛往往都是跑者自己“zuo”出来的,所以改变之前导致膝痛的不良习惯很重要,最重要的就是根据自己身体能力,合理地控制跑量,循序渐进地增加跑量,就可以确保身体能够承受和适应跑量。
控制跑量其实也就意味着增加休息,给予身体足够的修复和恢复时间,避免疲劳积累,对于减少伤痛是不可或缺的重要一环。
图片
3、改善柔韧、增强力量、改进跑姿
这一部分是跑者需要花费一定时间和精力,才可以改善的部分。也是考验一个跑者是否真正重视和积极解决伤痛的试金石。
对于伤痛,自己给予自己的,远比医生给予你的更重要。休息和治疗往往只能治标,而改善身体柔韧性、提高力量素质、改进不合理的跑姿,才能让你成为一名无伤跑者。
图片
跑者膝痛的正确处理之道
图片
图片
总结
随着跑步人群越来越多,骨挫伤发生率也在明显增加,继续强行坚持跑步可能变得愈发严重。
核磁共振检查可以明确是否存在骨髓水肿,如果发生这一伤病,休息2-3个月是必要的。
此外,大多数膝痛,需要积极进行康复训练。