医生,帮我看看,怎么CT报告上有个肺不张,是不是肺癌呀?

今天有个网友在网上向我提了这样一个问题:医生,帮我看看,怎么CT报告上写了个肺不张,这个是什么意思,是不是就是肺癌呀?
肺不张并不是一个具体的病名,它是一个影像上的术语,不一定就是肺癌。
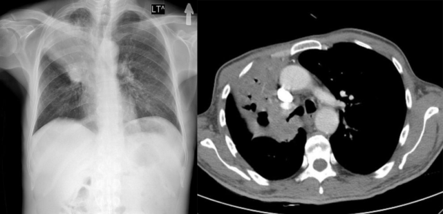
图片
什么是肺不张?
我们大家都知道, 肺是人体的呼吸器官,肺泡里充满了空气,但是一旦当气道由于各种原因堵起来了,那么通气就会发生障碍,这时空气就不能进入肺部了,而原来肺泡内的空气又被人体吸收,导致肺部极度萎缩,这就是我们所说的肺不张了。
肺不张的病因有哪些?
肺不张可分为先天性或后天获得性两种。
儿童肺不张的主要原因是炎症、异物和结核。新生儿的呼吸中枢发育不成熟、分娩过程中引起的脑损伤或宫内窒息,使呼吸运动减弱引起肺不张。细支气管被胎脂、胎粪、羊水阻塞。
成人肺不张的主要原因是支气管腔内阻塞,常见阻塞物为黏液、痰栓、肿瘤、肉芽肿或异物。气管插管、机械通气等不恰当的医疗操作也会引起肺不张。
一般来说青年人肺不张以炎症、肺结核为主,中老年的肺不张要当心肿瘤了。
非支气管阻塞性:胸部外伤、疼痛使得呼吸肌无力。当外伤或自发的原因,导致空气进入肺部和胸膜之间,压迫肺部。患有恶性肿瘤或其他原因引起的,导致液体在肺和胸壁内的胸膜之间堆积,引起胸腔积液对肺部产生压迫,造成肺不张。
哪些人容易发生肺不张 ?
1. 年龄:高龄或幼儿。
2. 高位截瘫,吞咽功能受损,呼吸肌无力的患者。
3. 心脏术后,胸壁、腹部疾病,近期做过全身麻醉的患者。
4. 慢性支气管炎、慢性肺部疾病的患者。
5. 气管插管、机械通气后使用镇静药或肌松药,昏迷、咳嗽反射减低的患者。
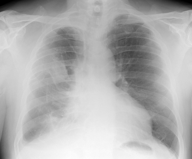
图片
肺不张有什么临床表现
缓慢发生的小面积肺不张通常无症状,多数患者是在体检时,通过胸部X线片或胸部CT发现。
如果是比较严重的肺不张,表现可以包括:胸闷、气急、呼吸困难、刺激性干咳、口唇、指甲等发紫(紫绀)、发热。
肺不张的诊断方法有哪些?
发现肺不张,先不要紧张不可过于担心,盲目地陷入肺癌恐慌,也不要妄下定论。
首先应该去找专科医生,医生还要通过问诊了解症状与病史,有必要的话还需做进一步检查,如血液学检查、影像学检查、支气管镜、剖胸检查等。
胸部 CT 可描述肺不张的位置与形状。支气管镜检查是肺不张最有价值的诊断手段之一,可进一步明确诊断肺不张的病因。
医生通过以上的检查结果来进行综合判断,明确诊断。一旦诊断明确,医生就会制定出相对应的有效的治疗方案。
肺不张都有什么治疗方法?
治疗方法取决于肺不张的原因和严重程度。
1. 肺不张的治疗原则是应根据病因采取不同的治疗措施,尽早去除致肺不张的因素,促使肺复张。
2. 痰堵导致的肺不张可以吸痰、呼吸治疗及物理治疗。合并感染时使用抗生素抗感染。如果为异物吸入,使用支气管镜取出。如为神经肌肉疾病引起,可使用无创呼吸机进行持续气道正压通气。
3. 如果是其他原因(如肿瘤)引起的肺不张,则需要放疗、化疗、止痛等进行对因治疗。
4. 如果出现频繁的感染和咯血,必要时需要手术切除受感染部位。
图片
如何预防肺不张?
1. 儿童肺不张通常是由气道堵塞引起的。为了减少肺不张的风险,家长应注意把小的物体(如纽扣、小零件)放在儿童够不到的地方,防止误吸。
2. 在成年人中,肺不张最常发生在手术后,因此术前就要进行预防。术前一周开始锻炼腹式呼吸、缩唇呼气、吹气球等增加肺活量,以及加强呼吸肌的训练。烟龄较长者戒烟1月以后再进行手术。
3. 预防慢性呼吸系统疾病。
不能认为有肺不张就认为是癌症,否则会导致出现误诊。如果仅从影像上判定肺癌或其他肺部疾病是不准确的。